严道医声网讯:
2018年10月21日,福建省立医院心内科郭延松副院长、陈新敬副主任团队,顺利为一名重度主动脉瓣狭窄的92岁超高龄老年患者完成经导管主动脉瓣植入术。近日(术后1月)患者来我院随访,精神状态佳,活动自如,无气促,无胸闷等不适,之前的心衰症状完全消失。这是目前福建省接受经导管主动脉瓣植入术的最高龄患者,为广大不能耐受开胸换瓣手术的主动脉瓣狭窄的高龄老年患者带来福音。

郭延松副院长、陈新敬副主任手术中
病史资料
>>患者:
男 92岁
>>主诉:
活动后胸闷气促2年,加重半年。
>>现病史:
患者2年前出现活动后胸闷、气促伴不能平卧休息,半年前上诉症状加重。
>>既往史:
慢性阻塞性肺疾病及贫血。
>>体格检查:
脉搏91次/分,呼吸28次/分,血压170/50mmHg ,心律不齐,第一心音减弱,主动脉瓣听诊区可闻及IV/VI收缩期杂音。
>>心超:
重度主动脉瓣狭窄伴反流,室间隔及左室壁增厚,左房扩大伴二尖瓣反流,右房扩大伴三尖瓣反流,主动脉增宽,左室舒张功能减退。
>>主动脉根部解剖:
左右冠窦融合功能性二瓣,瓣叶及左右冠窦连接处重度钙化。窦部结构较大,冠脉高度尚可,左心室心肌肥厚。

病例分析及策略选择
>>病例分析
患者超高龄,心肺功能不佳,外科手术风险高,经心脏团队评估,拟行经导管主动脉瓣植入术。
>>治疗策略
患者下肢血管情况良好,选择右股动脉为主路径,猪尾导管放置于无冠窦窦底,运用DSA及超声指导下进行定位,选择TAV8-2126球囊预扩张,根据扩张情况选择植入L26规格VenusA-Valve瓣膜。
>>手术过程
术前心超提示type1型二叶瓣,闭合受限,返流明显


主动脉根部造影

1.直头导丝通过主动脉瓣口;
2.顺利跨瓣,测跨瓣压差80mmHg;
3.经猪尾导管更换超硬钢丝进入左室;
4.选择TAV8-2126球囊预扩同时造影,造影显示有腰没返流;

5.结合术前CT筛查及术中球囊预扩情况,选择L26规格VenusA-Valve瓣膜;
6.沿超硬导丝导入L26规格VenusA-Valve瓣膜,调整位置使mark点平齐窦底,慢慢释放瓣膜;

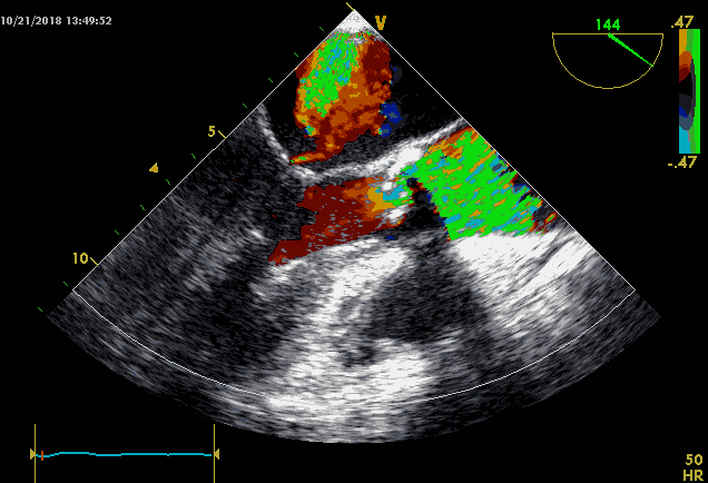
7.瓣膜释放后心超及造影显示轻中度瓣周漏;

8.选择TAV8-2126球囊后扩;

9.术后造影显示轻微瓣周漏,无返流,测跨瓣压差3-4mmHg;

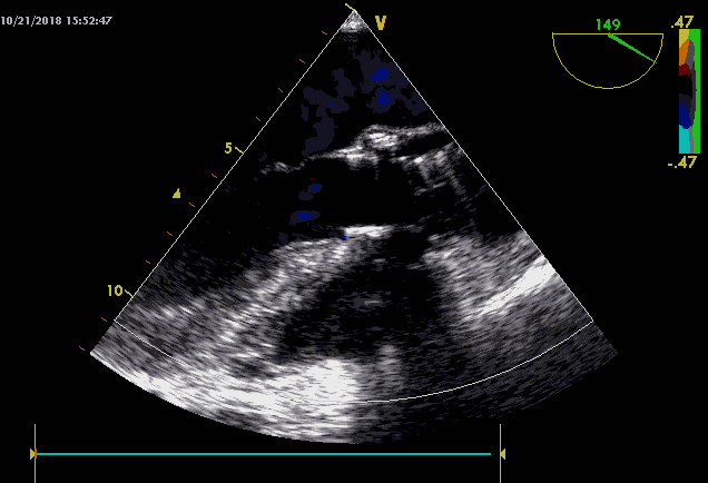
10.术后心超提示瓣膜形态可,少量瓣周漏;


11.患者血压稳定,血压150/64mmHg,拔除鞘管,局部压迫止血,结束手术。
>>术后随访
患者术后即可完全平卧休息,术后第1天即可下床活动并自行进食,术后第5天顺利出院。

1月后患者来我院随访,精神状态佳,活动自如,无气促,无胸闷等不适,之前的心衰症状完全消失。复查心超提示心功能恢复良好,无明显跨瓣压差,无明显瓣周漏。
福建省立医院郭延松副院长点评:
此例患者老年男性,92岁高龄,多年饱受疾病困扰,除了患有主动脉瓣狭窄,还合并慢性阻塞性肺疾病及贫血等。近半年气促、胸闷症状明显加重,无法平卧休息。曾多次就诊省内多家医院,反复经药物治疗无明显效果。术前检查提示患者主动脉瓣重度狭窄,且瓣叶重度钙化,失去正常的开闭功能,已经导致患者心脏泵血严重受阻,随时可能导致晕厥甚至猝死。我院心脏团队对患者病情、治疗方案、术前风险评估、术前准备、手术方案以及术后注意事项进行了详细的讨论后,在多学科相关医护人员的共同努力下,为该患者行经导管主动脉瓣植入术。该手术经股动脉途径,避免了传统的开胸、体外循环和心脏停跳,因此对于如此高龄不能耐受传统心脏手术的病人尤其适用。手术顺利完成,且1月后患者来我院随访,精神状态佳,活动自如,无气促,无胸闷等不适,之前的心衰症状完全消失。复查心超提示心功能恢复良好,无明显瓣周漏,无明显跨瓣压差。
我院自开展经股动脉途径的经导管主动脉瓣植入术以来,已先后成功为多名存在手术禁忌、高龄、左心功能差或合并其他重要疾患的主动脉瓣狭窄或伴关闭不全的患者完成经导管主动脉瓣植入术,受到患者及家属的高度好评。此次再次顺利为92岁的高龄老年患者完成无需开胸的心脏“换门术”,标志着我院经导管主动脉瓣植入术的多学科协作和手术操作能力得到进一步的提升,为不能耐受外科手术的严重主动脉狭窄患者带来了新的生存希望。