严道医声网讯:
2018年10月19日上午,四川大学附属华西医院郭应强、陈玉成、唐红教授团队,在葛均波院士团队的周达新、潘翠珍、潘文志等教授协助下,成功完成西部首例经导管二尖瓣修复术,标志着西部地区二尖瓣治疗水平实现历史性跨越。

二尖瓣反流是常见心脏瓣膜疾病,估计中国有1000万以上患者,且发病率随着年龄增长升高。既往,二尖瓣反流只能通过外科开胸手术,需要心脏停跳及体外循环下劈开胸骨及心脏进行手术,手术风险高、痛苦程度大。因此,大量高龄的、合并其他严重疾病或者身体虚弱患者,无法耐受传统外科手术而得不到有效治疗。经导管二尖瓣手术是目前国际新兴治疗方式,为这些患者提供新希望。

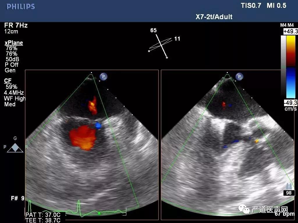
ValveClamp是复旦大学附属中山医院葛均波院士团队联合上海捍宇医疗研发的微创二尖瓣器械,其可在心脏不停跳、无需体外循环下,在心前区切开个3cm左右小切口穿刺心脏进行二尖瓣修复。本例手术一名76岁患者,患有重度二尖瓣反流,二尖瓣前瓣广泛脱垂(A2合并部分A1、A3)。手术过程非常流畅,从切开胸前伤口到闭合胸腔伤口用了40分钟,导管操作时间10余分钟。植入一个ValveClamp后,术后即刻反流由重度 变为轻微。术后半小时患者即苏醒拔出呼吸管道,更神奇的是患者可自行坐立和术者拍照留念,并中气十足的说:“谢谢你们,谢谢你们!”

术前心超

术后心超
郭应强主任表示,“微创介入是目前国际上二尖瓣治疗最前沿、最具前景的方向,相比传统手术,安全性更高,患者痛苦程度大大下降,为患者带来福音!ValveClamp二尖瓣微创修复技术在华西医院的成功实施,是华西医院心外科微创瓣膜团队继微创主动脉瓣TAVR手术之后,在瓣膜病微创治疗领域的又一标志性成果”。
周达新教授表示,“ValveClamp是国际先进二尖瓣治疗器械,之前已在上海、北京成功完成数例手术,华西医院是全球第三个开展这个技术医院,本次手术流畅,手术效果非常好,术后患者很快苏醒,标志着该技术逐渐成熟,适合推广应用”。