2017年9月24日,江西省九江市第一人民医院心内科敖钦主任与其团队在介入科、麻醉科、超声科等科室的协助下,应用光感应压力导管,完成了江西省首例房颤射频消融联合ACP左心耳封堵“一站式”治疗。为九江市广大房颤患者带来了福音。

患者情况:
患者女,七十七岁,2016年12月准备行房颤射频手术前,经食道超声发现左心耳有血栓,华法林抗凝9个月之后于2017年9月重新收纳入院。诊断为1、心律失常(心房颤动合并快速型心室率、窦性停搏、阵发性室上性心动过速)2、冠状动脉粥样硬化性心脏病(陈旧性心肌梗死、冠状动脉支架植入术后、心功能I级(NYHA分级)3、高血压病三级(很高危)4、肥厚型非梗阻性心肌病。EF:38.3%。
CHA2DAS2-VASc 评分5分:

HASBLED评分3分:

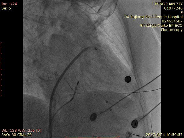
射频消融:

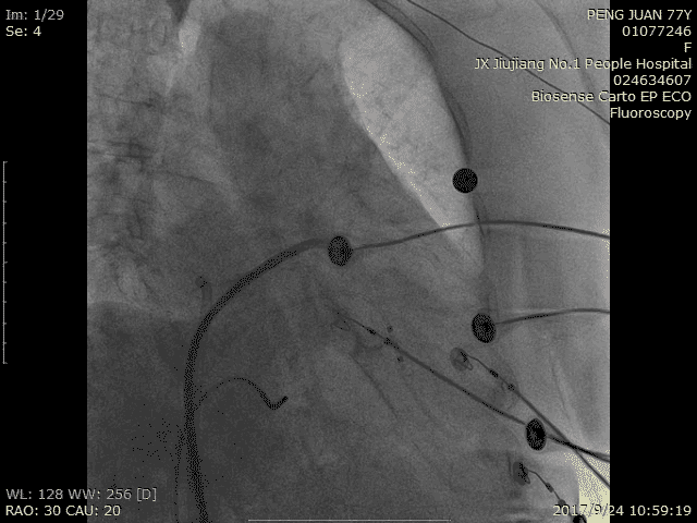
ACP封堵过程:

术前超声:
TEE 0:

TEE 45:

TEE 90:

TEE 135:

术中造影:
RAO 30 CRA 20:

RAO 30 CAU 20:

RAO 30 CAU 20 Fish Ball造影:

RAO 30 CAU 20 牵拉试验:

术中超声:
TEE 0:

TEE 45:

TEE 135牵拉试验:

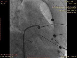
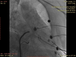
释放后造影:
RAO 30 CRA 20:

RAO 30 CAU 20:

射频消融+左心耳封堵一站式术式介绍:

心房颤动(atrial fibrillation,Af)简称房颤,是最常见的心律失常之一,房颤总的发病率为0.4%-1%,随着年龄增长房颤的发生率不断增加,75岁以上人群可达10%。房颤可引起严重的并发症,如心力衰竭和动脉栓塞,严重威胁患者生命。近年来,随着房颤诊疗技术的发展,新型抗凝药物、新型手术技术如房颤压力导管射频消融、冷冻球囊导管消融及左心耳封堵等逐渐广泛应用于临床。这些新技术的发展使房颤治疗更加安全有效。但如何达到房颤患者的治疗的最优化?如何解决房颤治疗中抗凝和出血的矛盾问题,这是临床面临的治疗新挑战。射频消融联合左心耳封堵术的房颤一站式手术为特殊房颤人群的治疗带来了新希望。作为双盘封堵器发明者,AMPLATZER™ Cardiac Plug是唯一柔性封堵治疗法器械,因其独特的封+堵设计,可封堵患者人群覆盖率更高,进入中国以来500余例手术中无封堵器脱落,无心包填塞等严重并发症发生,是广大房颤及高卒中风险的福音。
经皮左心耳封堵术适应症:
CHA2DS2-VASc评分≥2分的非瓣膜房颤患者,同时具有下列情况之一:
1、不适合长期口服抗凝药;
2、服用华法令,国际标准化比值(INR)达标的基础上仍发生卒中或栓塞事件;
3、HAS-BLED评分≥3分。