近日,湖南省人民医院心血管内科专家团队在潘宏伟主任的带领下顺利完成全国首批单心房主动固定无导线起搏手术!AVEIR™ AR主动固定无导线起搏器技术作为一种新型心脏起搏治疗手段,潘宏伟教授团队凭借丰富的临床经验与默契的配合,确保了手术的高效、安全与精准。这不仅是一次技术上的突破,更是医院综合实力的集中体现。作为区域医疗的领航者,湖南省人民医院始终坚持“以技术促发展,以创新提质量”的战略方向,不断引进国际先进设备与理念,提升诊疗水平与患者满意度。此次首植的顺利开展,进一步巩固了医院在心血管疾病治疗领域的领先地位,也为区域医疗体系注入了新的活力。未来,医院将以此为契机,持续加强人才培养、技术创新与学科建设,打造更具影响力的高水平医疗平台,为广大患者提供更加安全、精准、温暖的医疗服务。

此次接受AVEIR™ AR技术的患者为81岁老年男性,因反复“黑懵、晕厥”入院,其动态心电图显示窦性停搏,最长约6秒。心血管内科大主任潘宏伟教授随即组织团队展开讨论,结合患者及家属意见,最终决定采用最新的AVEIR™ AR右心房无导线起搏器。该技术不仅能有效避免囊袋及起搏电极导线可能给患者造成的严重并发症,而且更加贴合患者实际需求。AVEIR™ AR技术突破了传统无导线起搏器仅能植入右心室的局限,为窦房结功能障碍但房室传导正常的患者,提供了更生理、更微创、更精准的治疗选择。

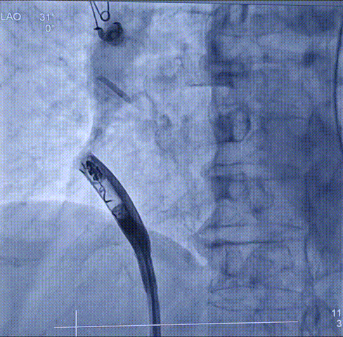
手术过程十分顺利,手术团队通过精细、精准的操作,将仅有传统起搏器十分之一大小的新型无导线起搏器输送至右心耳,利用其特有的用于心房起搏的双螺旋设计,起搏器被牢固地锚定在右心耳基底部。整个手术过程顺利,耗时仅约30分钟,术中及术后参数测试均十分优异、显示起搏器工作状态良好。


左右前斜造影图

最终植入位置
AVEIR™ AR单心房主动固定无导线起搏器是全球首款也是唯一一款可实现 AAI(R) 起搏的植入式设备,标志着无导线起搏技术从“单腔”迈向“真双腔”新时代;AVEIR™ DR是目前唯一可为所有常见起搏器适应症提供治疗的无导线解决方案,降低感染风险的同时也减少了心室电极带来的三尖瓣相关问题,以其独特性满足了患者的不同需求。 AVEIR™ 的成功应用,为临床医生提供了更灵活的治疗路径,让更多患者在科技之光下,重获从容跳动的“心”生!
潘宏伟主任表示,此次引入AVEIR™单心房植入式无导线心脏起搏器,不仅为患者带来了更为安全、便捷的治疗方案,也进一步提升了湖南省人民医院在医疗技术领域的领先地位。湖南省人民医院心血管内科手术团队已具备开展多种高精尖心脏介入手术的能力,成为区域内乃至全国范围内具有影响力的专业力量。未来,团队将继续以患者为中心,推动更多创新技术在临床落地,为患者提供更加优质、高效的医疗服务,共同推动中国医疗健康产业的高质量发展。