
近日,武汉亚洲心脏病医院心律失常中心正式引入并成功开展美敦力PulseSelect™脉冲电场消融(PFA)系统临床应用,标志着医院在心房颤动介入诊疗领域正式迈入脉冲消融新时代,技术水平与国际顶级电生理中心实现同步接轨,为华中及全国广大房颤患者带来更安全、更高效、更舒适的治疗新选择。

今年60岁的崔伯伯(化名)和59岁的张阿姨(化名)因房颤发作频繁,极大的影响日常生活,甚至呈焦虑状态,遂就诊武汉亚洲心脏病医院;在完善心脏彩超、食道超声及左房CT等一系列检查后,张劲林主任和韩宏伟主任经过充分的评估和与患者及家属的知情确认后,选择脉冲电场消融术为其治疗,该项技术以其高安全性、高效性和微创性,为房颤患者带来了更为优质的治疗选择。术中使用脉冲电场消融导管分别在四根肺静脉进行消融,每根肺静脉口内定位4个位置,前庭定位6-8个位置,逐次放电(电压1500V) 。每根肺静脉首次放电,肺静脉电位振幅即可明显下降至消失,四根肺静脉均完成肺静脉电隔离。
本次临床应用由武汉亚洲心脏病医院心律失常团队张劲林主任和韩宏伟主任的领导下独立完成,在二维影像下,团队顺利为2名阵发性房颤患者实施脉冲消融治疗,所有手术均取得圆满成功,患者术中平稳、术后恢复迅速,充分展现了PulseSelect™系统在真实临床场景中的优异表现与可靠性能。


技术革新:脉冲场消融,开启房颤治疗非热新纪元
疾病背景
房颤是临床最常见心律失常,发病率、致残率及复发率高,长期发作可显著增高脑卒中、心衰、认知下降等严重并发症风险。导管消融作为节律控制核心手段,已成为国内外指南推荐的一线优选方案。
美敦力PulseSelect™脉冲消融系统是新一代非热能消融技术,凭借脉冲电场的高组织选择性,实现对心肌细胞的精准、靶向损伤,在保证消融效果的同时,最大程度保护食管、膈神经、肺静脉等周围重要组织结构,是房颤消融领域里程碑式的创新技术。
该系统已先后获得美国FDA、欧盟CE、中国NMPA三重权威认证,是国内唯一一个同时获得CE,FDA和NMPA批准的用于阵发性和持续性房颤的PFA产品,代表着全球电生理消融技术的最高水平。
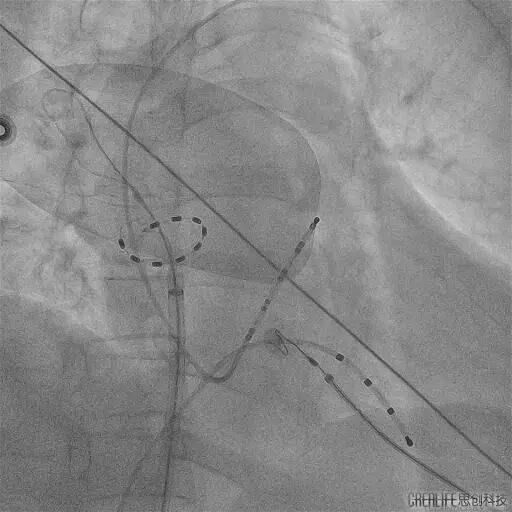
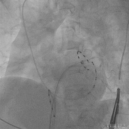
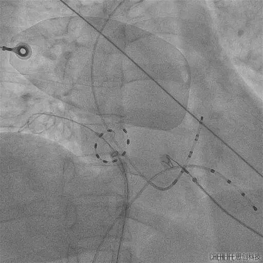
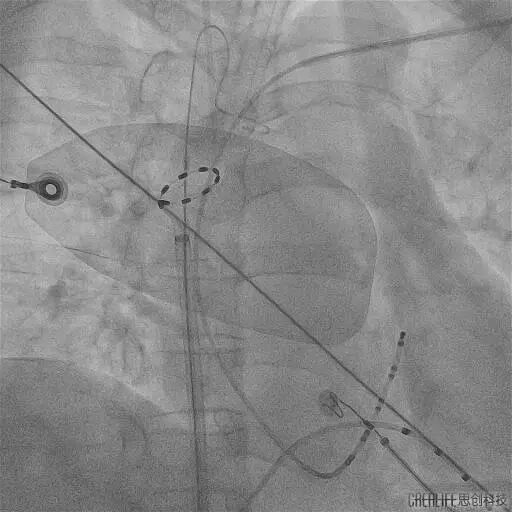
手术流程
PS导管通过外鞘送入左心房,在二维引导下到达目标肺静脉,在导丝指引下调整导管成环进入肺静脉,使环形电极贴靠肺静脉口/前庭。
观察电极形变并明确电位,确认贴靠良好后依次对每个每支静脉进行口部4次+前庭6-8次的脉冲消融,对上腔静脉补充4次消融,完成四根肺静脉(PVI)和上腔静脉的环形隔离。


PS导管行LSPV消融
PS导管行LIPV消融



PS导管行RSPV消融
PS导管行RIPV消融
PS导管行SVC消融






核心优势:安全高效兼顾快速康复,全面升级患者体验
相较于传统射频消融与冷冻消融,美敦力脉冲场消融技术凭借三大核心优势(3S),重新定义房颤消融的临床价值:
Persistent(持续性房颤适应证突破)
全球首个且唯一同时获得FDA、CE、NMPA批准,可用于持续性房颤的脉冲场消融系统,支持肺静脉以外部位消融,且无需担忧因消融次数增加带来溶血等并发症风险,为复杂房颤患者提供更可靠的解决方案。
Safety(卓越安全性标杆)
IDE研究中仅0.7%的严重不良事件发生率,树立PFA领域安全性新标杆;商业化临床应用至今,未出现溶血相关急性肾损伤、冠脉痉挛等严重安全事件,为新技术规模化开展筑牢安全底线。
Spiral(可变螺旋形状)
创新可变形态导管设计,可在环形/螺旋形之间灵活切换,完美适配复杂解剖结构,对细小肺静脉亦可精准到位;行峡部线消融时,可实现线形稳定贴靠与高效消融,操作更精准、贴靠更可靠。
亚心引领:构建华中房颤一体化诊疗高地,技术矩阵再升级
医院背景
武汉亚洲心脏病医院心律失常中心技术实力雄厚,常规开展各类心律失常微创诊疗。
随着美敦力PulseSelect™脉冲消融系统成功落地,医院成为华中地区少数可同步开展射频、冷冻、脉冲三大消融技术的心血管中心,进一步完善房颤治疗全技术矩阵,实现“一病多方案、一人一策略”的精准诊疗。
医院展望:深耕技术创新,赋能区域诊疗同质化发展
未来,武汉亚洲心脏病医院将以此次新技术应用为契机,持续深耕心律失常领域,不断规范脉冲消融技术操作流程,积极开展区域学术交流、技术培训与基层带教工作,推动华中地区房颤诊疗规范化、同质化发展。
医院将始终秉承精准医疗、优质服务理念,依托国际领先设备与顶尖技术团队,为广大心律失常患者提供更高效、更安全、更舒适的个体化诊疗服务,助力更多患者恢复健康心律,远离卒中威胁,重获高品质生活。
张劲林教授
武汉亚洲心脏病医院
美敦力PulseSelect™脉冲电场消融(PFA)导管,凭借组织选择性消融、微秒级放电、高安全性三大核心优势,为房颤治疗带来革命性突破。该导管设计精准、贴壁稳定,可高效完成肺静脉隔离,显著降低食管、膈神经损伤风险,手术更安全、流程更简化。其在阵发性与持续性房颤中的优异临床数据,充分验证了技术成熟度与推广价值,将推动我院心律失常诊疗进入脉冲消融新时代。
韩宏伟教授
武汉亚洲心脏病医院
PulseSelect™凭借高安全性、高效率与双适应证优势,为临床提供了更优的治疗选择。武汉亚洲心脏病医院始终坚持以患者为中心,紧跟国际前沿技术步伐,此次脉冲场消融技术的常规开展,将进一步提升医院在房颤领域的诊疗能力,为更多复杂、高危房颤患者带来更安全、更有效的治疗方案,助力区域房颤诊疗水平再上新台阶。

