
2026年1月23日,在四川大学华西第二医院刘如辉主任的带领下,四川大学华西医院刘兴斌教授指导下,成功开展了四川大学华西第二医院首例全皮下植入式心律转复除颤器系统(S-ICD)植入手术。该技术填补了医院在心源性猝死高端预防领域的空白,为SCD高危患者提供了更优的生命保障方案,是四川大学华西第二医院心脏性猝死诊疗技术迈向国内先进水平的重要里程碑,标志着医院在恶性心律失常防治领域迈入新阶段。
S-ICD这项创新技术以其“不接触心脏和血管”的独特优势,为患者提供了安全可靠的“保命”新选择。它将电极导线植入皮下,而非心腔内,彻底杜绝了血管损伤,大幅降低系统感染风险的同时,完整保留了静脉通路,为患者未来的诊治提供了更多的可能。

(团队合影)
首例患者为58岁男性,反复出现活动后心累气促,伴心慌,胸闷不适,无明显胸痛,头晕,头痛不适,外院诊断"扩张型心肌病",长期予以螺内酯,呋塞米,地高辛等对症处理,症状反复存在,但无明显加重,此十余年共出现晕厥3次,平均约30min后自行苏醒,无抽搐,口吐白沫,大小便失禁,咬舌等情况。诊以"扩张型心肌病、心功能IV级 心源性晕厥 "收入心血管内科。


在充分了解病情后,患者及其家属对于传统经静脉除颤系统可能带来的血管损伤和感染风险存在顾虑,同时也希望保留中心静脉循环,为未来可能的医疗需求预留通路,选择植入S-ICD。结合患者病情并考虑患者及家属意愿后,刘如辉团队为患者制定了完善的手术方案。术前对患者进行了体表心电图筛查,与四川大学华西医院刘兴斌教授、麻醉医师共同讨论手术操作细节,对术中可能遇到的问题进行了充分的讨论和准备。
治疗经过:手术采用二切口方法,在全麻下进行。患者平卧,透视下使用模型定位并标记除颤电极及除颤器位置。常规消毒,铺巾,于左侧胸壁定位处做7cm手术切口,逐层分离至背阔肌,囊袋位于背阔肌及前锯肌间,充分止血,艾力克纱布填充。剑突旁左侧约1cm处切开皮肤约2cm,逐层分离皮下组织至筋膜层,使用长隧道穿引针制作隧道至囊袋处,将3501除颤电极经隧道从剑突旁切口送至囊袋,固定除颤电极;再使用短隧道穿引针沿胸骨旁标记线紧贴胸壁制作隧道,再经隧道将除颤电极完全送入,充分排气后逐层缝合。连接脉冲发生器,置入囊袋内,以生理盐水冲洗囊袋,逐层缝合皮下组织及皮肤。局部使用利多卡因,罗哌卡因稀释液止痛,术区无菌纱布覆盖,弹力绷带加压包扎止血包扎切口。


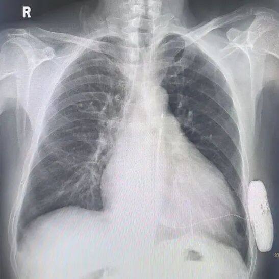
(术后影像)
由于患者EF值低,经讨论后未进行诱颤,经计算PRAETORIAN 评分<90分,无(低)DFT风险,故放弃诱颤。整个手术过程顺利,术后患者生命体征平稳,耗时不到1小时,患者无明显疼痛感觉。术后程控:电学参数正常,系统阻抗70欧姆,除颤线圈紧贴胸骨,除颤器机壳紧贴肋骨,影像完美。患者回病房后,优化各项参数,恢复良好,获得了现场专家团队的高度认可。
对于DFT测试:目前仍推荐常规进行,如心功能差、心腔内附壁血栓等可不考虑,但需结合PRAETORIAN 评分(<90分)。PRAETORIAN DFT试验,随机对照研究,早期结果证实PRAETORIAN评分<90分患者:65J DFT成功率99%,80J DFT成功率100%。

(PRAETORIAN 评分)
与胸骨下EV-ICD相比,S-ICD已经有20年的临床应用,其安全性和有效性已得到了充分的临床验证。全球已有近20万例的患者接受S-ICD的植入,其术式简单成熟,导线无需进入胸腔,术中经评估可无需进行DFT,也可无需全麻,极低的X射线使用,是猝死预防患者的安心首选。

刘如辉主任总结
心脏性猝死(sudden cardiac death,SCD)是严重威胁人类健康的公共卫生问题。统计数据显示我国每年约有54.4万人发生心脏性猝死,由于发病突然,病情极其凶险,大多发生在院外,抢救成功率极低,我国幸存者比例仅为1-2%,形势异常严峻。长期以来,经静脉植入式心律转复除颤器(TV-ICD)是预防SCD的“金标准”。然而,TV-ICD需要通过静脉将除颤导线送入右心系统,存在静脉通路狭窄/闭塞导致植入困难,血管穿刺相关并发症,导线断裂、感染、三尖瓣反流等导线相关并发症和问题,由此S-ICD系统应运而生。S-ICD系统无需经静脉即可实现除颤器置入来预防心脏性猝死,根据解剖标志植入整个系统,无需X线透视,内置精细算法,实际表现与传统经静脉ICD相当。导线具有近、远端两个感知电极,与脉冲发生器之间可组合成为 3 种感知向量。S-ICD可提供高达80J的除颤能量,并在除颤后提供30s起博,为患者提供多重保障。
多项国际临床研究为S-ICD应用的安全性、有效性、并发症、不恰当电击等方面提供了有力的数据支撑,证实S-ICD是安全、有效的,显著降低了导线在静脉内及心脏内的相关并发症风险,同时植入部位更为美观。对于不需要起搏治疗、年轻且感染风险高的患者,S-ICD无疑是最佳选择。
经过技术的迭代,S-ICD系统升级出了一套完备的皮下除颤器系统,目前临床应用的EMBLEMTM MRI S-ICD,未来可以实现与EMPOWER无导线起搏器进行联合通讯,同时提供无痛的起搏和有效的除颤治疗。