止反·至臻·简境|TaurusTrio全国首批植入亮剑,联袂结构AR介入治疗“精准”新范式
2026-02-13 19:44


前言
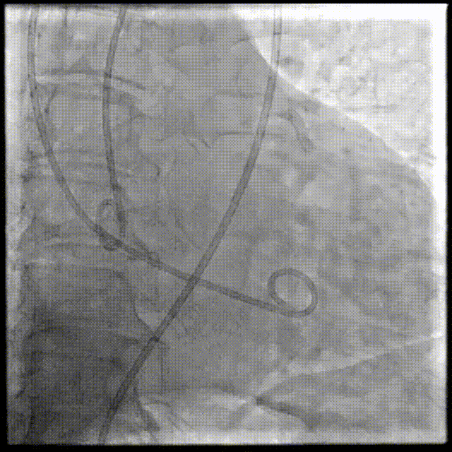
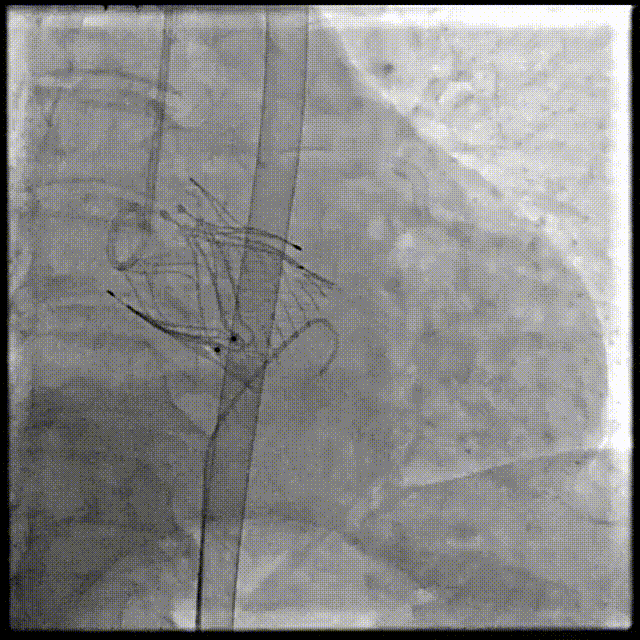
2026年伊始,TaurusTrio经导管主动脉瓣系统在武汉大学人民医院,中国科学技术大学附属第一医院,安徽医科大学第一附属医院,安徽医科大学第一附属医院北区,首都医科大学附属北京安贞医院南充医院,海南省人民医院等多家临床中心成功开展上市后全国首批植入。这不仅是TaurusTrio正式走向广泛临床应用的重要里程碑,更标志着中国单纯主动脉瓣反流介入治疗正式迈入了“心键合璧”的全新纪元。

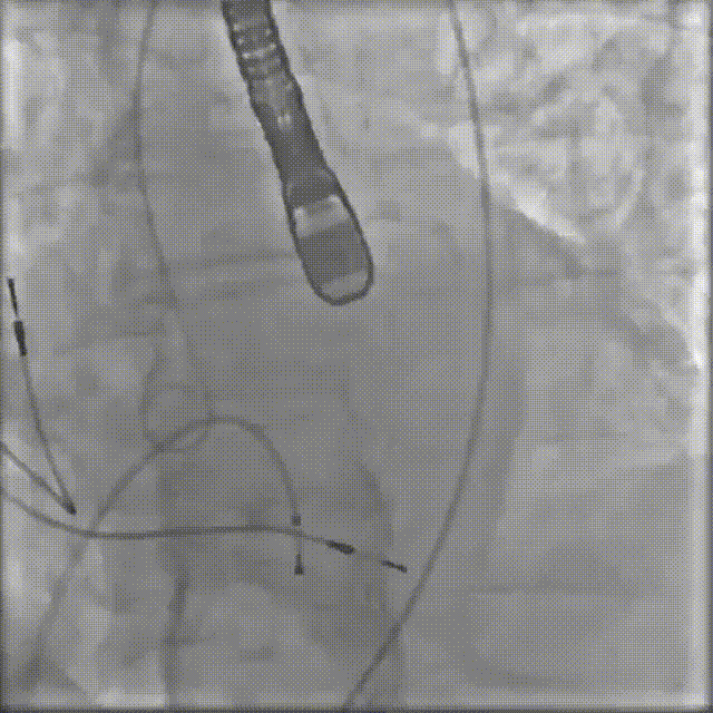
术者“键”解

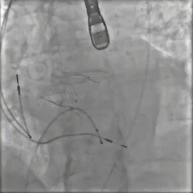
术者“键”解

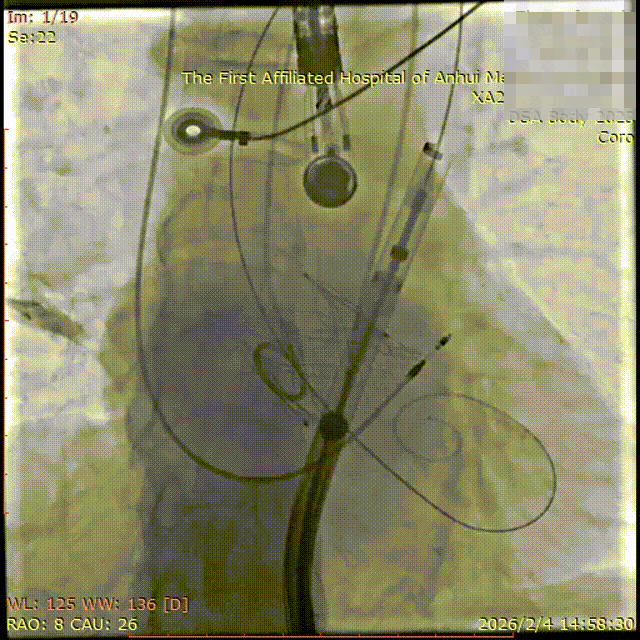
术者“键”解

术者“键”解

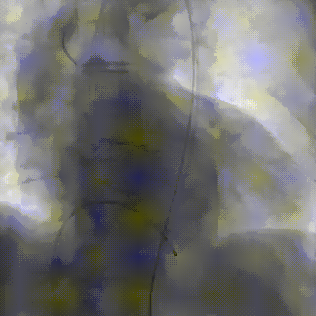
术者“键”解

术者“键”解
结语
首植告捷,新程启幕。TaurusTrio的成功获批与全国首批植入的正式启动,不仅是沛嘉医疗深耕结构性心脏病领域、坚持自主创新与临床需求深度融合的重要里程碑,更是我国结构性心脏病介入诊疗领域的关键技术突破。
岁末年初,十三省联动。TaurusTrio的问世,一举突破了主动脉瓣反流临床治疗的传统手段桎梏,将以标准化、规范化的临床操作体系为支撑,奔赴更广阔的临床一线,为千万主动脉瓣反流患者带来获益。让我们共同见证这灿烂的“首植”时刻,并期待更多的顶尖术者与原创器械的完美共舞,以创新之力共筑结构性心脏病诊疗领域的新未来。
延伸阅读






结构性心脏病治疗里程碑 | TaurusTrio经导管主动脉瓣系统获NMPA批准上市,重磅核心产品为瓣膜业务增长再添强劲引擎























