有些治疗,拼的不是速度,而是恰到好处的等待。
今年 19 岁的她,心跳的异常从胎儿时期便已显现,妈妈回忆,孩子尚在腹中时,胎心仅 60-70 次 / 分,远低于胎儿 140 次 / 分左右的正常水平,出生后便被确诊为需要起搏治疗的心动过缓患者。整整 16 年,她的心率常年维持在 40 次左右 / 分 —— 这是常人安静休息时的心率,却是她从小到大的日常,术前心脏最长间歇更是达到 10 秒,黑矇、晕倒的风险如影随形。
16 年前的一次 “拒绝”
3 岁那年,医生为她提出了植入传统经静脉起搏器的建议,这在当时是标准、成熟且有效的治疗方案。但对于正处于快速生长发育期的幼童而言,“有效” 并不等同于 “最适合一生”。家属的犹豫,本质上是对长期风险的专业权衡:
血管与导线的长期匹配问题:儿童静脉口径偏小,未来身高体重增长显著,导线易出现牵拉、磨损、断裂,还可能引发静脉狭窄或闭塞;
囊袋相关并发症与外观、心理负担:胸前囊袋在儿童和青少年群体中,更易发生感染、皮肤侵蚀,还可能对体态、运动及自我认同造成影响;
终身多次手术的累积风险:起搏系统需定期更换电池、处理导线问题,意味着更高的再干预概率,以及叠加的手术风险。
更关键的是,该患者长期表现为交界性心率,房室传导结构基本完整,核心问题在于窦房结功能障碍,她真正需要的,是以心房为起点的生理性起搏,而非单纯的心室替代节律。
为什么 “心室无导线” 还不够?
心室无导线(VR)起搏器虽解决了 “无囊袋、无导线” 的部分问题,但其本质仍是心室起搏。对于交界性心率、房室传导保留的年轻患者,单纯心室起搏并不能提供房室顺序激动,增加非生理性起搏比例,与长期心脏重构和预后管理的理念相悖。
正因如此,这个家庭选择了等待,等待一款能真正实现心房起搏、保留房室顺序,同时摆脱导线系统束缚的方案 —— 直到 AVIER™ AR 心房无导线起搏器出现,才首次同时满足了这三大核心需求。
这一等,就是 16 年。
40 多次心跳,陪她长大
从蹒跚学步、走进校园,到步入青春期,她的心率始终稳定在40 多次 / 分。没有起搏器的支撑,没有导线的牵绊,唯有身体对 “慢心率” 的默默适应,还有家人对未来的满心期待。
这一次,技术终于追上了时间……
2025年,随着AVIER™ AR心房无导线起搏器正式上市,这项技术才真正走进了这个家庭的视野。
当家属带着患者来到门诊就诊时,程康安教授考虑到患者年纪尚轻,未来还将面临就业、婚姻等诸多社会问题,主动推荐了 AVIER™ AR心房无导线起搏器,这一建议与她们心中的设想不谋而合,家人欣然接受。
毫米之间,是 16 年的答案
为保障手术万无一失,术前医院电生理专业组针对该病例开展了严谨的集体讨论,团队不仅敲定了心房无导线起搏器的植入方案,还结合患者的特殊病情,建议完善相关基因检测,从根源上明确病因,为后续长期的心脏健康管理提供更全面、精准的依据。
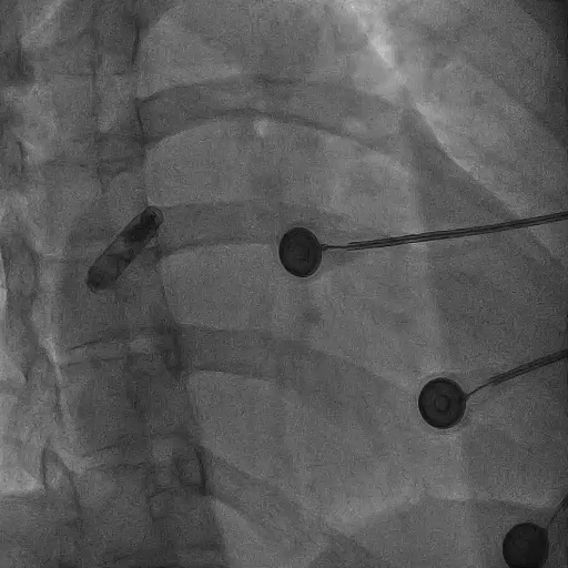
2026 年 1 月,北京协和医院程康安教授、陈太波教授为患者实施了 AVIER™ AR心房无导线起搏器植入手术。手术团队提前周密部署,术中先为患者放置临时起搏电极并进行心房起搏测试,确认可实现 120 次/分 心房起搏下,房室结1:1的传导,且右心耳基底部起搏阈值正常,完全满足植入条件后,才开始植入心房无导线起搏器。

手术采用右侧股静脉微创入路,将无导线起搏器送至右心耳基底部。植入过程中,以 “固定可靠 + 电学参数表现理想” 为双重目标,在定位与旋入阶段,持续监测阻抗及损伤电流等即时反馈,以此评估组织接触质量与主动固定效果。




整个植入过程十分高效顺利,耗时30分钟,术中测试下腔阻抗280Ω,从mapping至对接栓模式阻抗高低变化:310Ω-320Ω-330Ω-320Ω-310Ω,张力测试确认头端螺旋固定牢靠;释放时阻抗来到340Ω,阻抗变化结合术中损伤电流参数显示植入位置心肌活性良好,释放后阈值测试1.75v*0.4ms,手术完美结束。术后第二天随访阻抗400Ω,P波感知1.3mv,阈值0.5v*0.4ms,各项指标均展现出理想状态,印证了本台手术的完美结果。

术后第二天参数
从异常缓慢节律,到稳定心房起搏
监测仪上,她的心率稳定在 50 次 / 分钟 —— 这是她十九年来,从未有过的、稳健而有力的心跳节奏。
她说:“我不再觉得胸口沉甸甸的,不再害怕突然黑矇、晕倒。”
于她而言,这份获益远不止是心率数字的提升,更是生活不确定性的大幅减少:更贴合生理的心房起搏节律、更少的器械相关束缚,还有对未来治疗路径更长远的安全感。
而AVIER™ AR 的价值,也绝不仅是 “当下更微创”。它为年轻患者预留了清晰的远期治疗策略:若后续治疗需求发生变化,可与心室无导线系统配对升级,实现无导线双腔治疗;若10多年后机器电池耗竭,亦可安全取出的同时,植入一枚新的无导线起搏器,或许这10年的时间,能够让这位小姑娘赶上另外一次技术革新……相信未来科技所带来的治疗方案能紧跟她几十年的生命历程。
程康安教授点评
该病例是年轻窦房结功能障碍患者起搏治疗的典型案例,从胎儿期发现胎心异常,到幼年面临传统起搏器的治疗抉择,再到十六年的等待迎来适配的心房无导线起搏技术,全程体现了起搏治疗 “个体化、生理性、长远化” 的核心原则。对于房室传导完整的年轻缓慢性心律失常患者,心房生理性起搏是守护心脏结构和功能的关键,AVIER™ AR心房无导线起搏器既摆脱了传统导线和囊袋的弊端,又实现了心房起搏的生理需求,完美契合了这类年轻患者的治疗诉求。
术前电生理专业组的严谨讨论、术中临时起搏的周密评估与精准操作,都是手术成功的重要保障,而基因检测的建议,更是从病因诊断层面为患者的长期管理筑牢基础。对于年轻患者,起搏治疗从来不是单一的器械植入,而是要结合其人生发展阶段,兼顾当下疗效与未来生活质量、治疗升级的可能性。此次手术的成功,是我与陈太波教授以及北京协和医院电生理专业组团队共同协作的成果,不仅为这位 19 岁女孩带来了正常的心跳,更是展现了现代起搏技术在精准医疗、人文医疗层面的进步,也为同类年轻患者的治疗提供了宝贵的临床参考。