
在心血管急症中,心尖球形综合征(Takotsubo Cardiomyopathy,TCM,又称“心碎综合征”或“应激性心肌病”)始终是一个充满神秘色彩且经常类似于急性冠脉综合征(Acute Coronary Syndrome,ACS)的疾病。其典型的一过性特征,常让临床医生在患者症状缓解、心功能恢复后,放松了对远期风险的警惕。

《Am J Case Rep》最新发表的病例报告,为我们敲响了警钟:TCM可能复发,且每次发作时心脏的“球形变”模式都可能不同。这不仅挑战了我们的诊断思维,更对长期管理策略提出了新问题。
01
病例信息
患者为71岁女性,基础病史:高血压、慢性焦虑症(长期接受5-羟色胺再摄取抑制剂SSRI治疗,剂量稳定),且曾在2013年、2016年两次发作Takotsubo心肌病。此次患者因急性胸痛、恶心、出汗等症状就诊,实验室检查显示肌钙蛋白水平升高,这与之前两次TCM发作时的症状存在相似之处。
患者主诉胸痛呈压榨感,向左胸上部放射,症状出现约90分钟后前往医院就诊。
患者否认呕吐、发热、盗汗及近期病毒感染史,但提及近期因丈夫被诊断为肺纤维化而心理压力增大,但自述慢性焦虑症在稳定SSRI治疗下控制良好,无精神科住院史。
在急诊,基于ACS的怀疑,患者接受了阿司匹林负荷剂量治疗,而胸痛和恶心症状在就诊数小时后、左心导管检查前自行缓解。
入院后的心电图检查显示窦性心律,心率77次/分钟,无明显ST段异常。肌钙蛋白水平在入院后逐渐升高,峰值达到0.278ng/mL,结合患者临床病史,提示可能存在短暂性冠脉痉挛、ACS或复发性应激性心肌病。
为明确诊断,进一步完善冠脉造影检查,结果显示仅存在极轻微的非梗阻性冠状动脉疾病,无急性血栓破裂证据,这一结果排除了需要紧急经皮冠状动脉介入治疗的1型非ST段抬高型心肌梗死(NSTEMI)。
经胸超声心动图(TTE)发现:患者左心室大小正常,收缩功能轻度降低,左心室射血分数(LVEF)为48%心尖部至室间隔中段出现环形运动减退,静息状态下左心室流出道(LVOT)梯度为12mmHg,Valsalva动作时升至16mmHg,这些特征与二次复发TCM的诊断相符。
详细对比了三次发作的超声心动图发现:
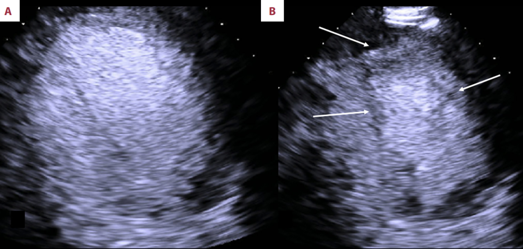
本次(2023年)发作(图1):主要表现为环周性、中远段(心尖部至中段)的运动减弱,但心尖段本身被排除在外(即心尖部仍有收缩)。这种模式被描述为“中心室型”球形变。

图1
2023年经胸超声心动图显示心尖部四腔结构;舒张期图像为A,收缩期图像为B。除心尖段外,心脏各部位的环状及中远端心肌活动明显减弱。箭头标出了前外侧及下间隔区域心肌活动缺失的情况,而心尖部仍保持正常收缩功能。
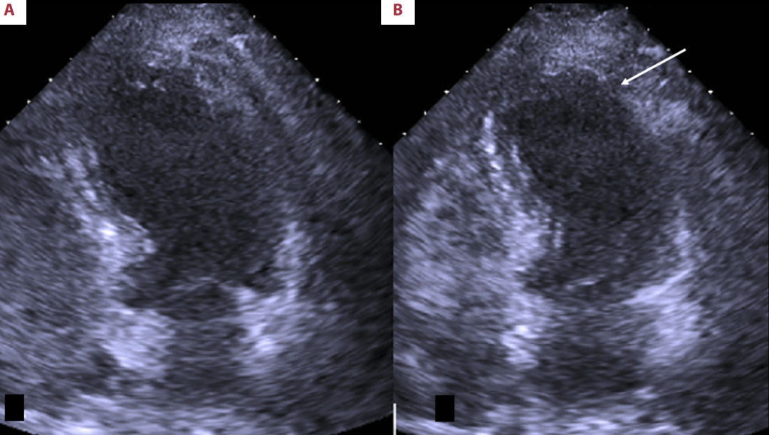
第二次(2016年)发作(图2):当时显示心尖部和中远段前侧壁运动消失(无运动),LVEF50%。这是更接近经典的心尖部受累模式。

图2
2016年经胸超声心动图显示的心室四腔视图;舒张期(A)与收缩期(B)。B图中的箭头指示了收缩期间心室中段前外侧壁及心尖区域的运动缺失情况。
第一次(2013年)发作(图3):表现为中远段前间隔和中侧壁的运动减弱,LVEF更低(40%),并伴有I型舒张功能障碍。

图3
2013年经胸超声心动图显示的心脏四腔图像;舒张期(A)与收缩期(B)。箭头标出了收缩期时心室下壁及中段前外侧壁的运动缺失情况。
明确诊断后,患者接受了最大耐受剂量的酒石酸美托洛尔治疗,以预防儿茶酚胺风暴并降低左心室流出道梗阻风险。
长期治疗方案包括定期精神科随访、提供心理治疗、继续舍曲林药物治疗以及β受体阻滞剂预防治疗,降低再次复发的风险。
02
认识那个一过性,但可能重来的疾病
TCM是一种以儿茶酚胺水平升高为核心病理生理机制的心肌损伤性疾病,通常由躯体或情绪应激诱发,但不存在急性冠脉病变。
临床数据显示,TCM患者中女性占比高达90%,平均发病年龄在58-75岁之间,50岁以下患者仅占3%。绝经后女性由于雌激素缺乏和儿茶酚胺激素受体敏感性改变,成为该病的高发人群。
不过,并非所有TCM患者都能明确识别出应激源,约三分之一的患者无明显诱因可追溯。复发是TCM临床管理中需要关注的重要问题,但其复发率极低,终身复发率仅为1%-6%,年复发率为1%-2%,而二次复发的病例更为罕见,目前尚无统一的发生率数据。
TCM的临床症状与ACS极为相似,经典表现包括胸痛、呼吸困难和晕厥,这使得初步诊断时极易混淆。
辅助检查在鉴别诊断中发挥关键作用:约95%的TCM患者心电图会出现多样的ST段改变,其中aVR导联和前间隔导联ST段抬高对TCM与ACS的鉴别特异性可达100%;心肌生物标志物检测、经胸超声心动图和心脏导管检查均是排除急性血栓事件或冠脉痉挛的必要手段;心脏磁共振成像(MRI)则可用于排除疑似心肌炎,并区分TCM与心尖部心肌梗死。
准确诊断TCM至关重要,因为该病可能引发严重并发症,包括肺水肿、心源性休克和心脏骤停。虽然心脏导管检查是排除ACS的金标准,但InterTAK诊断评分已被提出作为一种无创方法,用于指导初始诊疗流程。
03
复发TCM的临床特征与诊疗要点
球形变模式的变异性
该病例最显著的特点之一是三次TCM发作呈现不同的心室球形变模式,此次发作表现为心尖中部球形变,而前两次均为典型的心尖部运动消失。这一现象并非个例,基于国际多中心德国-意大利应激性心肌病(GEIST)注册研究的数据,约20%的复发TCM病例会出现可变的心室球形变模式。
这种变异性提示,每次TCM发作时都需要进行全面的影像学检查,因为复发病例的室壁运动异常可能与初始发作完全不同。尽管球形变模式的差异反映了TCM动态的病理生理过程,但目前尚未发现不同心室运动异常模式之间存在预后差异。不过,荟萃分析表明,复发的非典型、非心尖部球形变模式患者,发生心源性休克和肺水肿等严重不良事件的概率更低,这与本病例患者的临床结局相符,其此次发作未出现严重并发症。
复发相关的危险因素
深入分析复发TCM的危险因素,对于临床医师识别高危人群、制定预防策略具有重要意义。研究发现,与非复发病例相比,复发病例中高血压的患病率更高。而经历2次及以上复发的患者通常具有以下特征:年龄相对较轻、更易受到情绪触发、精神科疾病诊断更多、肌钙蛋白峰值更高、LVEF更低。
本病例患者同时具备慢性焦虑症和高血压两种危险因素,且此次为第三次发作,与上述研究结论高度吻合。尤其需要强调的是,约90%的复发TCM患者有抑郁症或焦虑症病史,这可能与这类患者对儿茶酚胺激增的易感性更高有关。这一发现为TCM的预防提供了重要方向,即精神心理因素的干预可能成为预防复发的关键环节。
此外,临床结局较差的TCM患者通常伴有老年、男性、糖尿病史、肺部疾病史和肾脏疾病史等危险因素,这些特征可作为临床评估预后的重要参考。
诊断与鉴别诊断的核心流程
由于TCM与ACS的临床表现高度相似,建立系统的诊断与鉴别诊断流程至关重要。对于疑似TCM的患者,应遵循以下核心步骤:
首先进行心电图检查,关注ST段改变的特征,尤其是aVR导联和前间隔导联的ST段抬高,这对鉴别TCM与ACS具有高度特异性。其次,检测心肌生物标志物,肌钙蛋白水平升高是TCM的重要实验室证据,但通常峰值低于ACS患者。经胸超声心动图可直观显示心室球形变特征和室壁运动异常,是诊断TCM的关键影像学手段。心脏导管检查则是排除ACS的金标准,可明确冠脉是否存在梗阻性病变或急性血栓事件。当怀疑心肌炎时,心脏MRI是重要的鉴别诊断工具。
在临床实践中,医师可结合InterTAK诊断评分进行初步评估,该评分作为一种无创方法,能为初始诊疗提供指导,减少不必要的有创检查,但最终确诊仍需依赖心脏导管检查等金标准手段。
治疗与预防策略的优化
目前,TCM的治疗尚无统一标准,临床治疗主要以对症支持和预防复发为核心目标。β受体阻滞剂是临床上常用的预防复发药物,其作用机制是抑制儿茶酚胺激增,减少左心室流出道梗阻的风险。但本病例也提示,β受体阻滞剂的疗效并非绝对,对于存在低血压或直立性低血压的患者,β受体阻滞剂的剂量调整受限,其预防效果可能受到影响。
基于复发TCM与精神心理疾病的密切关联,优化精神心理治疗成为预防复发的关键措施。在出院规划中,应重视精神科随访、提供心理治疗资源,并持续进行有效的精神科药物治疗,这些措施能有效降低患者对情绪应激的敏感性,减少儿茶酚胺异常升高的可能性,从而降低TCM复发风险。
对于合并高血压等基础疾病的患者,积极控制血压也是预防TCM复发的重要环节,需根据患者具体情况制定个体化的降压治疗方案,避免血压波动引发心肌负荷增加。
06
严道心得
我们习惯于将某种疾病与特定的影像学表现挂钩,一旦确诊,这个标签就可能伴随患者终身。然而,TCM的可变球形变特性,以一种近乎直白的方式告诫我们:生理病理过程是动态的,疾病复现不等于简单复制。
这对于所有慢性、易复发性疾病的管理都具有启发意义——不能仅凭过去的经验来解读当下的新问题,每一次评估都需回归基本面,用完整的证据链说话。
心血管科医生常常更专注于心脏本身,对于精神心理问题,或转诊了之,或仅作药物维持。但这个病例及其引证的数据强烈提示,对于TCM这类与应激反应通路密切相关的疾病,精神心理干预不是辅助或支持治疗,而是直接针对发病机制的对因治疗。这对于推动双心医学模式在临床实践中的深入落实,提供了一个极具说服力的例证。
在面对患者时,尤其是在处理像TCM这样充满个性的疾病时,保持谦逊、保持开放的学习态度,远比固守几条教科书结论更重要。每一个不典型的病例,都是我们修正和深化认知的宝贵机会。