
2026年2月5日,在意大利介入心脏病学国际盛会——JIM GISE 2026的直播手术环节中,厦门大学附属心血管病医院(厦心)王焱教授团队向全球同行成功展示了一例高难度Type 0型二叶式主动脉瓣狭窄(BAV)的经导管主动脉瓣置换术(TAVR)。手术通过国际连线同步直播,与德国多特蒙德圣约翰医院、波兰华沙医科大学、意大利帕多瓦大学附属医院等知名心脏中心的手术演示同台呈现,多国术者隔空切磋、实时交流,上演了一场真正意义上的“跨国论瓣”学术盛宴。

此次厦心团队参与跨国直播是中国心脏介入技术在国际顶级学术舞台的又一次精彩亮相,既是对中国TAVR技术水平的高度信赖,也是跨国学术协作的重要实践。为确保手术演示精准呈现、直播流程顺畅衔接,术前团队与组委会及国际专家团队进行多轮病例研讨、技术对接与流程推演,凭借扎实的准备工作为直播成功筑牢基础。手术全程通过实时转播向全球传递中国诊疗经验,展现了中国术者的精准操作、团队协作与诊疗智慧,引发国际同行广泛关注。

挑战Type 0二叶瓣TAVR,中国经验获权威认可
本次直播的病例为72岁女性患者,因“轻微活动后出现呼吸困难1年,加重1周”入院,诊断为Type 0型二叶式主动脉瓣重度狭窄伴中度反流,合并二尖瓣、三尖瓣关闭不全及肺动脉高压,心功能 III 级(NYHA 分级)。
心电图示:

心脏超声示:
重度主动脉瓣狭窄合并中度反流,EF: 46%,AV MPG: 57 mmHg,AV 4.9 m/s,LVIDd: 54 mm。
术前CT评估示:
Type 0 二叶式主动脉瓣,瓣叶增厚,中度钙化。瓣环面积376.7mm²,折算直径22.0mm,LVOT面积432mm²,折算直径23.8mm。SOV平均直径20.8mm,STJ平均直径22.3mm,高度28.8mm,


LCA 开口高度13.6mm; RCA开口高度: 14.6mm,瓣叶长度可,冠脉阻塞风险低。
升主动脉直径36.7mm; 主动脉夹角: 42°



23mm Circle 法评估:


20mm Circle 法评估:


外周血管入路评估:右侧股动脉最小直径:5.9mm,左侧股动脉最小直径:5.7mm;无钙化。


手术策略
面对Type 0型二叶式主动脉瓣狭窄这一高难度病例,王焱教授团队基于多模态影像学评估制定了精细的个体化策略。术前CT评估显示:患者瓣环面积376.7 mm²,主动脉窦部平均直径20.8 mm,窦管交界平均直径22.3 mm,瓣叶明显增厚伴中度钙化。团队综合评估后,为兼顾瓣膜稳定性和冠脉安全,创造性采用"Downsize策略",全麻下以右侧股动脉为主入路行TAV,选择20mm SAPIEN 3瓣膜,计划在90/10位置以标准容积或适当加量释放。
手术过程
术中猪尾导管至左室测定术前左心室及升主动脉收缩舒张压分别为222/7、111/40mmHg;成功组装瓣膜并经输送系统送入20mm SAPIEN 3瓣膜主动脉,顺利过弓并成功跨瓣;


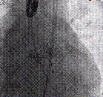
成功跨瓣
瓣膜经输送系统顺利过弓
造影下瓣膜定位后,180bp快速起搏下+1cc释放20mm SAPIEN 3瓣膜主动脉;


造影下瓣膜定位
快速起搏下+1cc释放20mm瓣膜
释放后造影及超声评估瓣膜活动良好,轻度瓣周漏;


瓣膜释放后造影评估
瓣膜释放后食道超声评估
与GISE主席团专家在线沟通后,以原球囊再次扩张瓣膜1次;
瓣膜后扩
经食道超声提示瓣膜位置、形态及功能满意,未见明显反流,瓣周漏较前好转,微量瓣周漏,复查造影瓣周漏明显减少至微量,左右冠脉无阻塞,人工瓣膜植入深度约:无冠窦侧为1mm,左冠窦侧为3mm。复查左心室及升主动脉收缩舒张压分别为157/9mmHg、154/71mmHg。手术取得圆满成功。


术后食道超声评估
术后复查造影
厦心经验赋能临床,中外携手共探瓣膜治疗新路径
此次手术直播不仅展现了中国团队在处理高难度Type 0型二叶瓣病例中精湛的技术水平与高效的团队协作,也让国际同行通过实时交流,深入理解了中国在结构性心脏病介入领域的系统化诊疗思路与临床决策逻辑,彰显了开放、共享、互鉴的现代学术精神。

手术结束后,包括大会主席Juan F. Granada教授、Nicolas Van Mieghem教授在内的多位国际权威专家,如Amr E. Abbas教授、Adam Greenbaum教授、韩宇教授、Martin Leon教授、Thomas Modine教授、Giuseppe Musumeci教授、Francesco Saia教授等,均对本场手术给予了高度评价。尤其对于Type 0型二叶瓣这类在欧洲常规治疗中仍倾向于外科手术的病例,中国通过严谨的评估与精准的操作,展示了TAVR在此类解剖适宜患者中良好的短期与中长期疗效,为全球同行提供了重要的临床借鉴。

王焱教授也应邀分享了团队在Type 0型二叶瓣TAVR方面积累的丰富经验,这类病例在中国具有较高发病率,其成功实践具有重要的区域代表性与学术价值。展望未来,厦心将继续推进技术创新,加强国际合作,为提升心血管疾病全球诊疗水平贡献更多中国经验与中国方案。