止反·至臻·简境|TaurusTrio全国首批植入启动,联袂开启AR介入治疗“精准”新时代
2026-02-06 20:43


前言
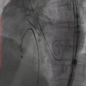
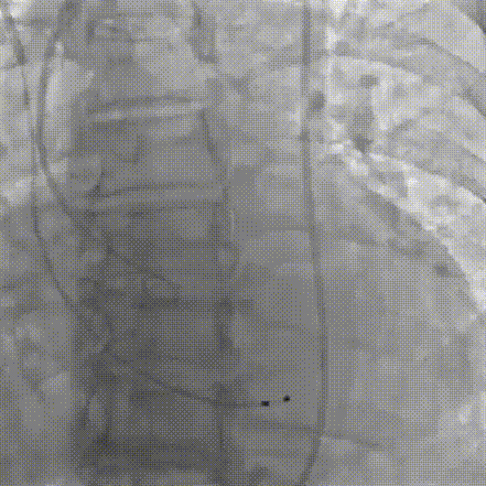
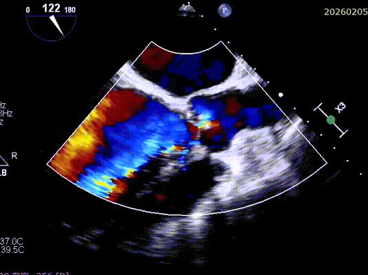
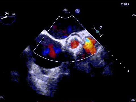
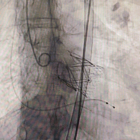
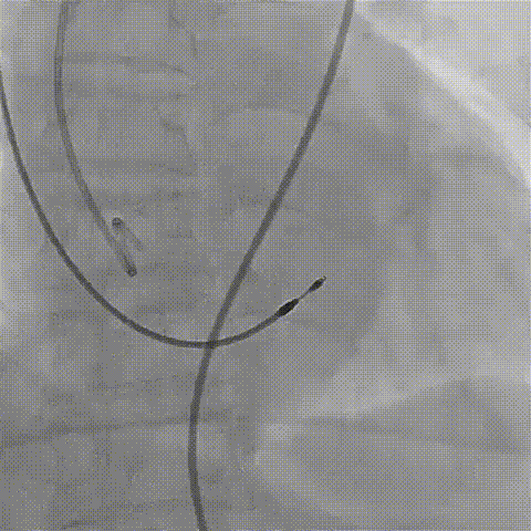
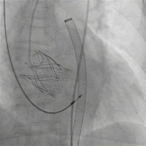
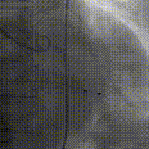
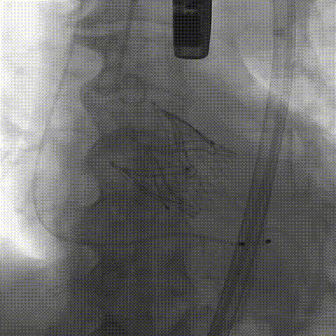
2026年伊始,TaurusTrio经导管主动脉瓣系统在复旦大学附属中山医院,浙江大学医学院附属第二医院,中国医学科学院阜外医院,首都医科大学附属北京安贞医院,四川大学华西医院等多家临床中心成功开展上市后全国首批植入。这不仅是TaurusTrio正式走向广泛临床应用的重要里程碑,更标志着中国单纯主动脉瓣反流介入治疗正式迈入了“心键合璧”的全新纪元。

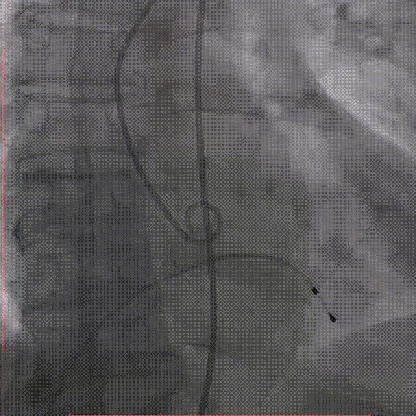
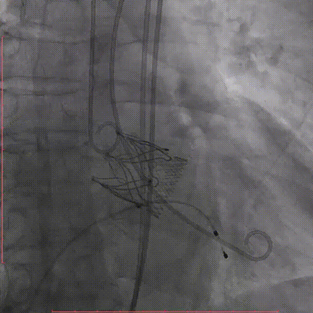
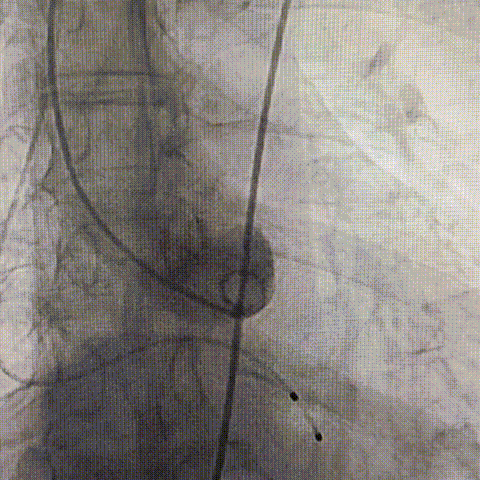
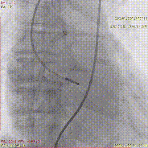
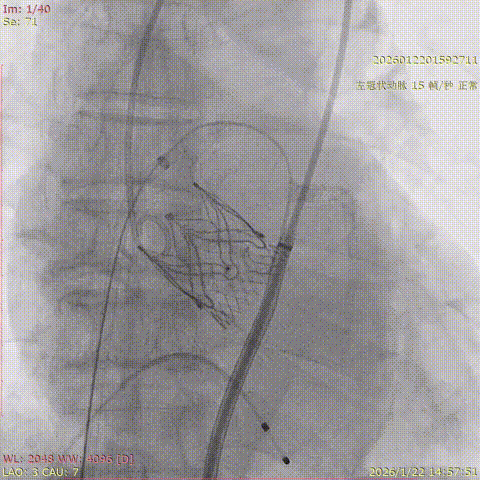
术者“键”解

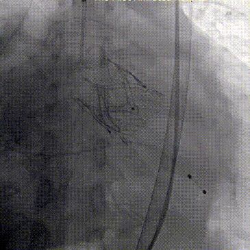
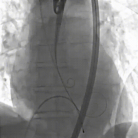
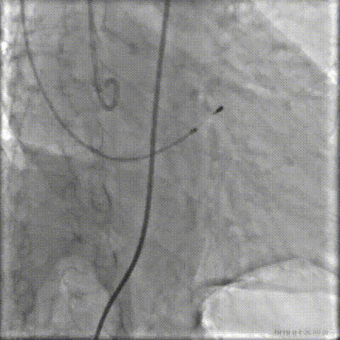
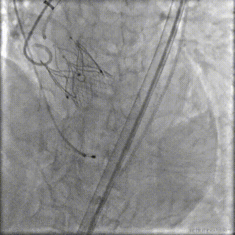
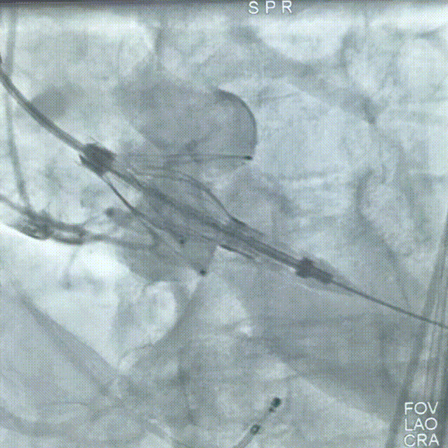
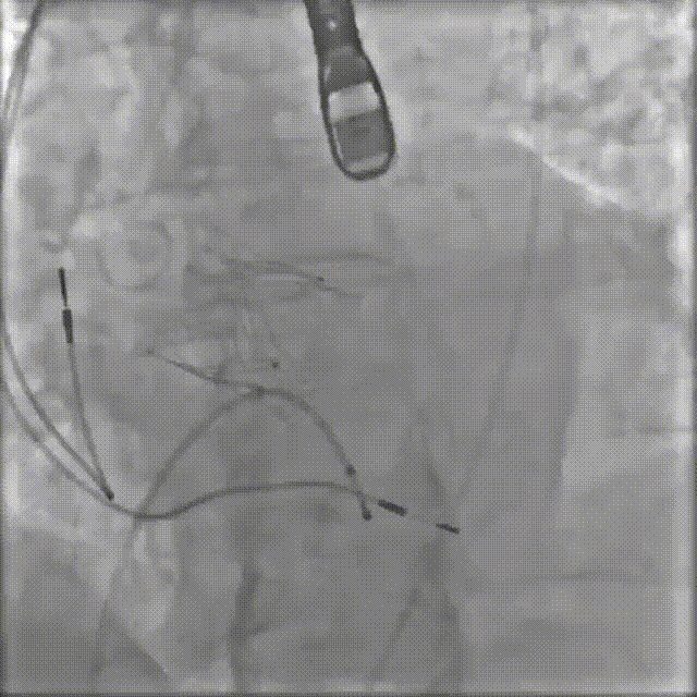
术者“键”解

术者“键”解

术者“键”解

术者“键”解

术者“键”解

术者“键”解

术者“键”解

术者“键”解

术者“键”解

术者“键”解

术者“键”解

术者“键”解

术者“键”解

术者“键”解

术者“键”解

术者“键”解

术者“键”解

术者“键”解

术者“键”解

术者“键”解

术者“键”解

术者“键”解

术者“键”解

术者“键”解
结语
首植告捷,新程启幕。TaurusTrio的成功获批与全国首批植入的正式启动,不仅是沛嘉医疗深耕结构性心脏病领域、坚持自主创新与临床需求深度融合的重要里程碑,更是我国结构性心脏病介入诊疗领域的关键技术突破。
岁末年初,十省联动。TaurusTrio的问世,一举突破了主动脉瓣反流临床治疗的传统手段桎梏,将以标准化、规范化的临床操作体系为支撑,奔赴更广阔的临床一线,为千万主动脉瓣反流患者带来获益。让我们共同见证这灿烂的“首植”时刻,并期待更多的顶尖术者与原创器械的完美共舞,以创新之力共筑结构性心脏病诊疗领域的新未来。
延伸阅读





结构性心脏病治疗里程碑 | TaurusTrio经导管主动脉瓣系统获NMPA批准上市,重磅核心产品为瓣膜业务增长再添强劲引擎



































































































