
近日,贵州医科大学附属医院心律失常团队在李伟教授、周纬教授的带领下,成功完成了全国首批AgileView™ ICE心腔内超声导管指导下的冷冻球囊消融手术。AgileView ICE™ 导管在手术过程中为术前血栓筛查、左心房解剖结构识别、球囊贴靠及关键操作指导提供了实时、清晰的影像支持,为手术的安全性与规范化实施提供了重要保障。

李伟教授
贵州医科大学附属医院
从心内科整体发展的角度来看,电生理、冠脉介入与结构性心脏病治疗正在逐步走向更深度的交叉与融合。无论是哪一类介入手术,术中对心腔结构的精准认知和风险的前置评估,都是保障安全与质量的共通基础。
ICE 所提供的实时、近场影像,使复杂解剖从“经验判断”转变为“影像确认”,这一价值不仅体现在房颤消融,也同样适用于结构介入等多种场景。ICE 是一项具有平台意义的基础工具,有助于推动不同亚专科在同一影像逻辑下实现更加规范、协同的发展。
周纬教授
贵州医科大学附属医院
在 PFA 和冷冻球囊,射频等多种消融技术的实际应用中,ICE为术者提供了非常直观的术中反馈。本次操作中,我们将这款ICE 导管送入左房,这让术者对于导管定位、贴靠判断以及关键步骤的把控都更加直接。
与既往使用过的影像工具相比,AgileView™ ICE 提供了非常高清的影像,其7.5Fr 的细管径让进入左房和腔内调整更加顺畅,不会增加额外的操作负担,使 ICE 更容易融入常规 PFA 与 Cryo 的手术流程。
患者基本情况/病史/诊断:“61 岁男性,主诉:胸痛,胸闷10+月,再发2天;左室收缩功能:EF:58% 正常;心脏彩超提示:左房前后径35mm,左心耳未见血栓”
术式内容:AgileView™ ICE(腔内超声)进入左房后,在实时影像的指导下,完成肺静脉隔离(PVI),并进一步行顶部线消融
导管组合:
AgileView™ ICE导管用于术前筛查,术中心房结构显示、房间隔穿刺指导及导管封堵判断
Arctic Front Advance Pro冷冻球囊导管用于肺静脉隔离及顶部线消融
7.5Fr ICE进入左房,助力高效完成消融
术中,基于AgileView™ 7.5Fr全球最细直径ICE导管的产品优势,周纬教授选择将ICE送入左房,以便更好地进行冷冻球囊的贴靠与位置的判断,在AgileView™ ICE实时影像的指导下, Arctic Front Advance Pro冷冻球囊导管消融导管安全进入左心房,先后完成双侧肺静脉隔离及顶部线隔离, ICE下可见导管贴靠良好,整个消融过程顺利,消融时间仅约25分钟,得益于超声设备清晰的成像质量,在顶部线隔离的时候可借助多普勒模式清晰的观察到球囊与组织的贴靠程度。 整个手术流程在ICE影像的指引下顺利完成,术中患者耐受良好,生命体征保持平稳。

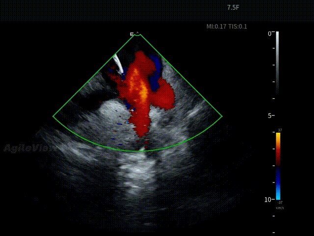
ICE确认LSPV位置——B Mode

ICE确认LSPV位置——C Mode

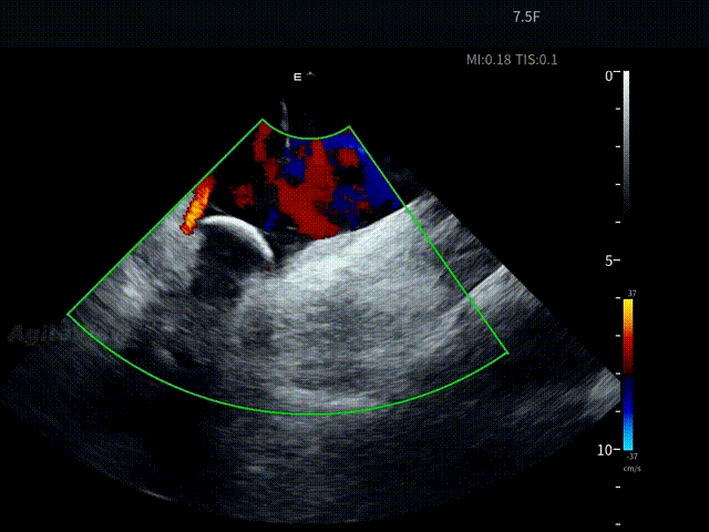
盐水判断封堵效果——有少量泄露

调整后无泄漏

ICE确认LIPV位置——C Mode

球囊充气

球囊复温后“Blood Bubble”

RPV球囊充气

C Mode判断球囊封堵效果——上下缘均有泄露

调整后泄露减少

球囊复温后“Blood Bubble

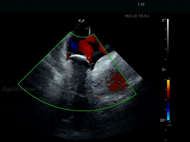
顶部线第一次消融

第二次顶部线消融
全球最细7.5Fr设计
进入左房更从容
7.5Fr 超细管径设计,可更安心地进入左房,减少房间隔穿刺损伤,进入左房后更有助于导管贴靠情况的判断。在解剖条件复杂或房间隔条件偏硬的病例中,细管径设计有助于减少操作阻力,使ICE的术中应用更加灵活、可控。
“超清”PFA预设成像模式
匹配脉冲消融能量特性
针对 PFA 能量的物理特性,AgileView™ ICE 配备PFA专属预设成像模式,通过针对性的参数设置,使术中影像更贴合脉冲消融的操作需求,帮助术者更直观地观察导管与组织的贴靠情况,为术中判断提供稳定清晰影像支持。
自锁弯结构
稳定视野,减少反复调节
独特的自锁弯设计,可在目标位置实现弯形固定,在长时间观察或关键步骤操作过程中,保持稳定的成像视野,提升术中影像的连续性与稳定性。

