
近日,中国医学科学院阜外医院丁立刚教授、贾玉和教授、孙奇教授分别成功开展全国首批AgileView™ ICE心腔内超声导管指导下的室早,PulseSelect™导管消融和冷冻球囊导管消融手术。AgileView™ ICE导管在手术过程中为术前血栓筛查、左心房解剖结构识别、导管定位及关键操作指导提供了实时、清晰的影像支持,为手术的安全性与规范化实施提供了重要保障
在本次手术中,AgileView ICE被用于术前血栓筛查、左心房及左心耳解剖结构识别、导管路径确认以及关键步骤的实时引导,贴靠判断,使术者能够在清晰、稳定的超声视野下完成各项操作,为复杂消融过程建立起“可视化”的安全基础。



姚焰教授
中国医学科学院阜外医院
从心内科介入治疗的发展来看,无论技术路径如何演进,对真实心腔解剖的直接认知始终是最基础、也最不可替代的能力。在房颤消融、结构介入等操作中,术者面对的是不断变化的患者个体解剖,而不是标准化模型,这对术中信息的真实性和即时性提出了更高要求。
以心腔内超声(ICE)为代表的术中超声手段,能够在不增加额外操作负担的前提下,提供连续、动态的心腔观察视角,帮助术者回到解剖本身做判断。这种基于超声的实时感知,并不是为了替代既有技术,而是为关键步骤提供更加确定的安全参照。
从行业角度看,超声能力的合理应用,将长期作为介入心脏病学的重要组成部分,在保障手术安全、拓展适应人群以及支持复杂操作方面发挥持续价值。
丁立刚教授
中国医学科学院阜外医院
随着房颤消融手术复杂度的不断提升,术中对心腔解剖与毗邻结构的精准认知,已成为保障安全性与一致性的重要基础。传统依赖经验与间接影像的操作模式,在复杂解剖、初学者培养及多中心规范化推广中,逐渐显现出局限。
心腔内超声(ICE)通过实时、近场、可重复的超声成像,使左房整体结构、肺静脉开口及关键解剖关系在术中“可视化”,为术者提供了更加直观、稳定的决策依据。从学科发展的角度看,ICE并非简单的辅助工具,而是在推动房颤消融从“经验驱动”向“影像主导、可复制操作”转变,为高质量消融提供了底层能力支撑。
贾玉和教授
中国医学科院阜外医院
ICE在手术早期即可完成对左心房解剖及关键结构的系统评估,为导管消融策略及风险预判提供影像支持,有助于缩短学习曲线、降低操作不确定性。
从长远看,ICE的价值不仅体现在单例手术质量的提升,更体现在其对流程标准化以及区域间技术同质化发展的推动作用,这对于我国房颤消融技术的持续普及具有积极意义。
孙奇教授
中国医学科学院阜外医院
当前,房颤消融正从高年资专家主导的技术探索阶段,逐步进入以安全性、效率与可推广性为核心的规范化发展阶段。如何在不同层级医院中,稳定复制高质量消融结果,是行业面临的共同课题。
ICE 的实时成像有助于术者更加直观地理解心腔内部结构,对于提升消融手术的精细化程度和整体质量非常有帮助。这款AgileView™ ICE 采用全球最细的 7.5Fr 设计,在心房内操作时存在感更低,尤其是在多导管同时使用的场景下,更有利于操作空间的管理。
赵先生,61岁,2018年首次出现房颤并伴明显心悸,曾接受静脉药物复律及长期胺碘酮治疗,但房颤仍反复发作,影响生活质量;宁先生,42岁,近一年反复心悸,动态心电图提示频发室性早搏、室早负荷较高,药物治疗效果有限;李先生,60岁,房颤病史多年,既往射频消融术后短期缓解,近半年症状复发并逐渐加重,明确诊断为持续性房颤。
结合三位患者不同的病程特点及心脏结构评估结果,中国医学科学院阜外医院心律失常团队在丁立刚教授、贾玉和教授、孙奇教授带领下进行充分讨论,并与患者及家属沟通后,决定在AgileView™ ICE心腔内超声实时指导下,分别采用PulseSelect™脉冲消融、射频消融及Arctic Front Advance Pro冷冻球囊导管的个体化消融治疗方案。术前,团队围绕关键操作环节制定了周密、细化的手术计划。
▶【7.5Fr ICE,高清影像贯穿关键步骤,助力消融高效推进】
手术开始后,AgileView™ ICE 导管作为术中影像辅助工具,经股静脉穿刺进入心房。考虑到本台手术将搭配PulseSelect™消融导管使用,助手将ICE主机调整至“PFA预设模式”,便于后续更直观的判断导管贴靠情况。通过 HomeView 视角,术者首先了解了患者心腔整体结构,为操作提供统一的影像参考。

HomeView
随后,ICE对左心房、左心耳及心包区域进行系统性扫查。术前重点评估左心耳内是否存在血栓形成,并同步观察心包情况,确保在消融前,关键风险已被充分排查,为保证手术安全提供直观依据。

术前心包
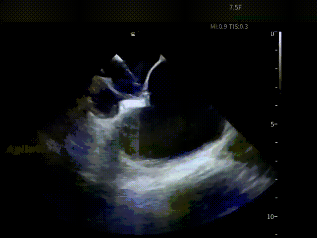
▶【房间隔穿刺与左房进入:路径清晰,节奏连贯】
在全球最细 7.5Fr ICE的持续影像引导下,术者完成房间隔穿刺。AgileView™ ICE实时显示房间隔 tenting及穿刺针跨隔过程,使穿刺路径和深度判断更加明确。穿刺成功后,PulseSelect™导管顺利进入左心房,整体操作节奏紧凑。
在另一台孙奇教授主刀的AgileView ™ ICE 结合冷冻球囊消融的手术中, ICE 也为后续 冷冻球囊导管跨间隔进入左房及空间定位提供影像支持,整体操作节奏紧凑、路径清晰。

房间隔穿刺(PulseSelect™手术)

房间隔穿刺(AFA冷冻消融手术)
▶【消融阶段:PFA预设模式,贴靠状态可视,判断更直接】
进入消融阶段后,AgileView™ ICE 持续提供近场实时影像,动态显示消融导管与心房组织之间的空间关系与贴靠状态。在肺静脉隔离过程中,ICE 下可清晰观察到导管在左上、左下、右上及右下肺静脉口部的贴靠情况,为能量释放位置的确认提供直接影像依据。

PulseSelect™导管贴靠-LSPV

PulseSelect™导管贴靠-LIPV

PulseSelect™导管贴靠-RSPV

PulseSelect™导管贴靠-RIPV
在完成四根肺静脉口部及前庭消融后,术者使用PulseSelect™导管进行上腔静脉消融,ICE 同样用于评估导管送鞘及贴靠状态,使关键步骤始终建立在清晰可见的影像反馈之上。

PulseSelect™导管贴靠-SVC
在冷冻消融手术中,ICE 亦用于辅助评估冷冻球囊导管在肺静脉口部的封堵状态与空间位置,确保导管贴靠及消融有效性。

AFA Pro冷冻球囊封堵
▶【术后评估:超声影像闭环,安全性确认】
手术结束前,术者操作AgileView™ ICE导管跨瓣再次对心包区域进行系统扫查,确认术后未见异常积液变化,为整台手术形成完整的安全影像闭环。

术后心包
在 ICE 实时影像的持续引导下,整台消融手术流程顺利完成。术中患者耐受良好,生命体征保持平稳,各关键操作节点均在清晰、可确认的心内超声影像基础上推进。


全球最细7.5Fr设计
进入左房更从容
7.5Fr 超细管径设计,可更安心地进入左房,减少房间隔穿刺损伤,进入左房后更有助于导管贴靠情况的判断。在解剖条件复杂或房间隔条件偏硬的病例中,细管径设计有助于减少操作阻力,使ICE的术中应用更加灵活、可控。
“超清”PFA预设成像模式
匹配脉冲消融能量特性
针对 PFA 能量的物理特性,AgileView™ ICE 配备PFA专属预设成像模式,通过针对性的参数设置,使术中影像更贴合脉冲消融的操作需求,帮助术者更直观地观察导管与组织的贴靠情况,为术中判断提供稳定清晰影像支持。
自锁弯结构
稳定视野,减少反复调节
独特的自锁弯设计,可在目标位置实现弯形固定,在长时间观察或关键步骤操作过程中,保持稳定的成像视野,提升术中影像的连续性与稳定性。



