
近日,浙江大学医学院附属邵逸夫医院心律失常团队在蒋晨阳主任的带领下,成功完成了全国首批 AgileView™ ICE心腔内超声导管指导下的PulseSelect™导管消融手术。AgileView™ ICE导管在手术过程中为术前血栓筛查、左心房解剖结构识别、导管定位及关键操作指导提供了实时、清晰的影像支持,为手术的安全性与规范化实施提供了重要保障。这也是本产品在浙江地区的首次临床应用,为不同年龄及情况的房颤患者开辟了一条安全高效的治疗新路径。

蒋晨阳教授
浙江大学医学院附属邵逸夫医院
从行业发展角度看,ICE已经从“可选工具”逐步演变为高质量房颤消融的重要组成部分。通过ICE实时成像,我们可以在关键步骤中摆脱对射线的依赖,真正向零射线或近零射线操作迈进。这种以影像为核心的手术模式,有助于提升整体安全性与标准化水平,也代表了未来电生理手术的发展方向。
程晖教授
浙江大学医学院附属邵逸夫医院
在PFA手术中,AgileView™ ICE 的PFA预设成像模式针对能量特点进行了优化,术中影像层次清晰、稳定性好,能够更直观地观察消融导管与心房组织的贴靠情况。这种“所见即判断”的影像反馈,对提升消融信心和术中决策效率非常有帮助。
王云鹤教授
浙江大学医学院附属邵逸夫医院
从实际使用体验来看,这款ICE 7.5Fr的超细管径在体内的稳定性与传统10Fr的ICE导管并无明显差异,但在操作灵活性和通过性上优势更加明显,且手柄的控制性也毫不逊色。在腔内调整位置也更加顺畅,这种“更细但不更软”的设计,让ICE更容易融入常规手术流程,也保证了安全性。
患者基本情况/病史/诊断:患者男性,57岁;主诉:因“反复胸闷1年余,再发伴乏力1周”入院;心脏彩超提示1.双房增大,房颤:左室收缩功能轻度减低 2.轻度三尖瓣、二尖瓣、主动脉瓣反流,LA34.8mm,EF56%




CTA
术式内容:AgileView™ ICE(腔内超声)实时影像指导下,脉冲消融导管完成肺静脉隔离(PVI),并进一步行顶部线及左房后壁,上腔静脉消融
导管组合:AgileView™ ICE导管用于术前筛查,术中心房结构显示、房间隔穿刺指导及导管贴靠(封堵)判断PulseSelect™ 脉冲消融导管用于肺静脉隔离及肺外消融
▶【7.5Fr ICE 全程护航|影像闭环下高效、安全完成消融】
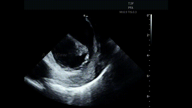
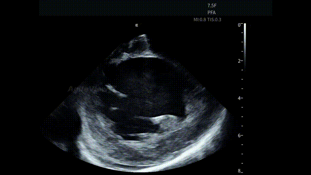
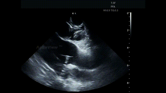
手术开始后,蒋晨阳教授将 AgileView™ 7.5Fr ICE 导管置入右心房,首先通过 HomeView 视角建立心腔整体参照,并对左心耳血栓及心包情况进行系统性评估。术前影像显示心包存在少量积液,为后续操作提供了重要的基线参考。
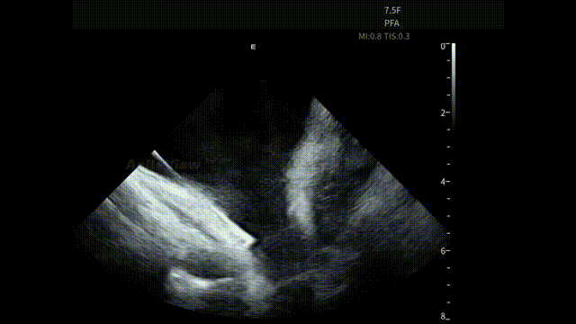
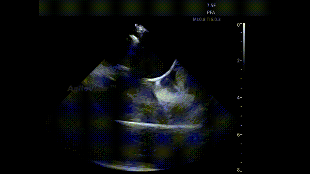
手术结束前,ICE 再次跨瓣扫查心包区域,确认积液未见进展,为手术安全形成完整影像闭环。

HomeView

左心耳血栓筛查

术前心包筛查-有少量积液

术后心包筛查-积液无变化
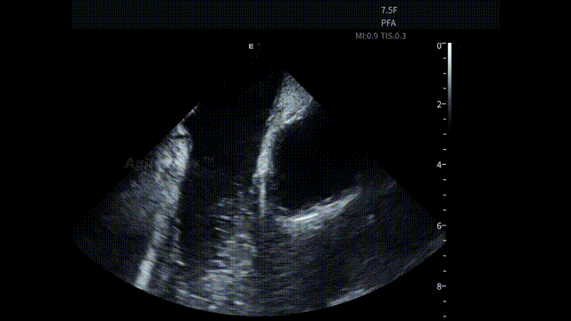
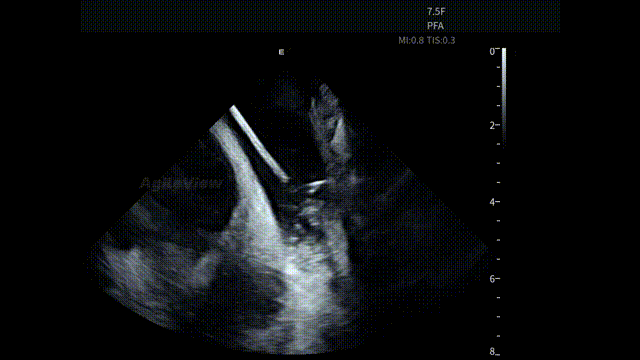
术中,基于AgileView™ ICE 7.5F的产品优势,蒋晨阳主任团队将ICE导管打A弯跨三尖瓣进右室,松弯卡室上嵴,顺转后打到左房长轴切面,以便更好地进行导管封堵/贴靠与位置的判断,在AgileView™ ICE实时影像的指导下,PulseSelect™ 脉冲消融导管安全进入左心房,先后完成双侧肺静脉隔离及MTI、roofline、后壁BOX、SVC隔离, ICE下可见导管贴靠良好,整个消融过程顺利,消融时间约50分钟。术后患者恢复良好。

房间隔穿刺-导丝进入上腔

房间隔穿刺

导丝进LSPV

左房长轴一嵴部贴靠

RSPV

SVC


全球最细7.5Fr设计
进入左房更从容
7.5Fr 超细管径设计,可更安心地进入左房,减少房间隔穿刺损伤,进入左房后更有助于导管贴靠情况的判断。在解剖条件复杂或房间隔条件偏硬的病例中,细管径设计有助于减少操作阻力,使ICE的术中应用更加灵活、可控。
“超清”PFA预设成像模式
匹配脉冲消融能量特性
针对 PFA 能量的物理特性,AgileView™ ICE 配备PFA专属预设成像模式,通过针对性的参数设置,使术中影像更贴合脉冲消融的操作需求,帮助术者更直观地观察导管与组织的贴靠情况,为术中判断提供稳定清晰影像支持。
自锁弯结构
稳定视野,减少反复调节
独特的自锁弯设计,可在目标位置实现弯形固定,在长时间观察或关键步骤操作过程中,保持稳定的成像视野,提升术中影像的连续性与稳定性。


