
近日,云南省第一人民医院心率失常团队在范洁主任带领下,由张曦教授主刀,成功完成了全国首批 AgileView™ ICE心腔内超声导管指导下的PulseSelect™导管消融手术。AgileView™ ICE导管在手术过程中为术前血栓筛查、左心房解剖结构识别、导管定位及关键操作指导提供了实时、清晰的影像支持,为手术的安全性与规范化实施提供了重要保障。这也是本产品在云南地区的首次临床应用,为不同年龄及情况的房颤患者开辟了一条安全高效的治疗新路径。


手术现场 / 导管室实景图
范洁教授
云南省第一人民医院
作为国内较早系统性开展ICE临床应用的中心之一,我们始终认为,ICE的价值不仅在于“看得清”,更在于帮助术者建立一种可复制、可推广的规范化操作路径。
在房颤消融尤其是PFA这类新能量技术的应用中,ICE可以成为直观可视的影像决策过程,使解剖识别、导管定位和关键风险评估都更加标准化、前置化。从长期来看,ICE将成为复杂房颤消融中不可或缺的基础工具,而不仅仅是“可选工具”。
张曦教授
云南省第一人民医院
这款7.5Fr ICE导管在术中提供了非常直观、实时、高清的超声影像,不仅帮助我们更清晰地理解心脏腔内解剖关系,也为导管定位和能量释放提供了关键的视觉支持,对复杂步骤的安全实施起到了重要推动作用。在本例 PFA 手术中,我们使用了 AgileView™ ICE 的 PFA 预设成像模式,该模式与脉冲消融的能量特性高度匹配,术中影像稳定、层次清晰,使导管与心房组织的贴靠情况更加直观可见,显著提升了操作判断的确定性与消融信心。从实际应用体验来看,ICE是一款对临床决策非常有价值的工具。
患者基本情况:59 岁男性,因心悸一天入院;心脏彩超提示:升主动脉稍增宽;二尖瓣轻度反流;左室收缩舒张功能未见异常。
术式内容:AgileView™ ICE(腔内超声)进入右房实时影像指导下,导管消融完成肺静脉隔离(PVI),电位检查后进一步行上腔静脉消融一次。
导管组合:AgileView™ ICE导管用于术前筛查,术中心房结构显示、房间隔穿刺指导及导管贴靠判断及上腔静脉隔离,PulseSelect™ 脉冲消融导管用于肺静脉隔离。
▶【AgileView™ ICE超高清影像护航,术前评估更安心】
消融手术启动后,AgileView™ ICE导管即作为术中影像工具先介入。通过导管的打弯与旋转,术者对左心房,左心耳及心包区域进行连续,系统的动态扫查,在消融前全面掌握关键解剖信息。
ICE实时超声影像帮助术者直观评估左心耳内是否存在血栓,并同步观察心包状态,为手术是否继续推进提供重要影像依据,使后续操作建立在"可视,可判断"的安全基础之上。

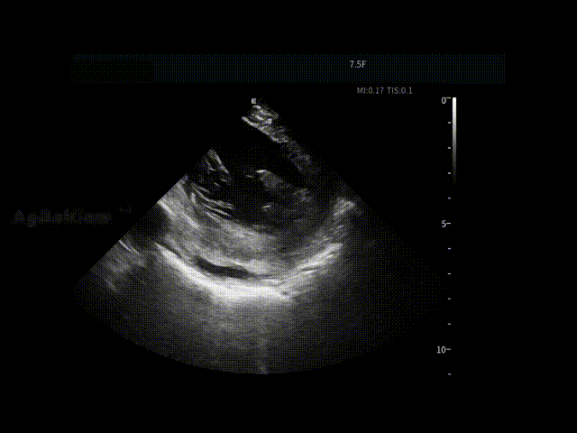
LAA血栓筛查

术前心包-有明显积液
▶【AgileView™ PFA预设成像模式|影像协同完成关键消融操作】
消融开始前,团队将ICE切换至PFA预设成像模式,以获得更贴合脉冲消融需求的术中影像。随着PulseSelect™ 脉冲消融导管逐步靠近肺静脉口及前庭区域,相关解剖边界在ICE下逐渐清晰呈现,为后续贴靠判断提供直观参考。
张曦教授将ICE导管置于右心房作为稳定观察点,在ICE实时影像引导下,PulseSelect™ 导管安全进入左心房,依次完成双侧肺静脉隔离,并进一步实施上腔静脉隔离。
在肺静脉隔离及左房后壁相关操作过程中,ICE持续显示消融导管与心房组织之间的空间关系与贴靠状态,使每一次能量释放都建立在明确的影像反馈之上,减少反复调整,提升操作连贯性。

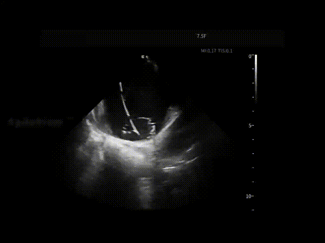
房间隔穿刺

导管形变与贴靠-LA后壁

导管形变与贴靠-LIPV

导管形变与贴靠-LSPV

导管形变与贴靠-RIPV

导管形变与贴靠-RSPV

LPV口部消融

LPV前庭消融
▶【术后影像复核,安全闭环确认】
消融完成后,张曦教授再次使用ICE对心包区域进行系统扫查,确认术后腔内情况稳定,未见异常变化。整台消融流程在清晰影像指引下顺利完成,消融时间约53-60分钟。术中患者耐受良好,术后恢复平稳,未见相关并发症。

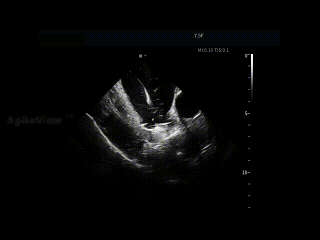
术后心包-积液无增加


全球最细7.5Fr设计
进入左房更从容
7.5Fr 超细管径设计,可更安心地进入左房,减少房间隔穿刺损伤,进入左房后更有助于导管贴靠情况的判断。在解剖条件复杂或房间隔条件偏硬的病例中,细管径设计有助于减少操作阻力,使ICE的术中应用更加灵活、可控。
“超清”PFA预设成像模式
匹配脉冲消融能量特性
针对 PFA 能量的物理特性,AgileView™ ICE 配备PFA专属预设成像模式,通过针对性的参数设置,使术中影像更贴合脉冲消融的操作需求,帮助术者更直观地观察导管与组织的贴靠情况,为术中判断提供稳定清晰影像支持。
自锁弯结构
稳定视野,减少反复调节
独特的自锁弯设计,可在目标位置实现弯形固定,在长时间观察或关键步骤操作过程中,保持稳定的成像视野,提升术中影像的连续性与稳定性。

