2025年底,广州中医药大学东莞医院(东莞市中医院)叶健烽副院长心内科团队陈建兴医生等成功为83岁高龄患者植入主动固定式无导线心脏起搏器。该患者拟经传统起搏器治疗,术中造影患者左右均无录入条件静脉,后改行主动固定式无导线心脏起搏器,成功挽救患者生命!
该起搏器仅为普通起搏器体积的十分之一,寿命却平均可达18.7年,该技术的成功运用避免了患者囊袋感染、电极断裂等潜在风险;为83岁高龄患者带来了新生。
患者为83岁男性,因头晕不适不适入院,诊断:心房颤动、间歇性高度房室传导阻滞、2型糖尿病性周围血管突变、糖尿病肾病三期、高血压病3级、脑梗死后遗症。入院心电图提示房颤伴长RR间期,心电监护提示存在多次长间歇,住院期间阿斯发作。
遂与家属充分沟通病情,拟行传统起搏器植入。
术中于左侧腋下、锁骨下进行多次穿刺,均失败,后行肘静脉造影。

造影自肘静脉至腋静脉段逐渐变窄变细,直至消失,判定左侧无传统起搏器入路路径,改右侧植入,多次穿刺,再次失败,行静脉造影。

造影发现自肘静脉行至腋静脉段逐渐变窄直至消失,右侧同样不具备入路条件。
此时无奈只能暂停手术,将患者送回病房监护,传统起搏器植入入路路径受限,只能重新思考解决方案。心内科侯炽均主任组织病例讨论,结合患者间歇性高度房室传导阻滞、心动过缓、阿斯发作等病情,同时患者具有糖尿病、糖尿病足,且该患者传统起搏器入路困难,存在高龄、高感染风险等因素,经过多次讨论和论证,最终决定为患者植入新型主动固定式无导线心脏起搏器,该起搏器经股静脉入路,是目前破局的唯一办法。经过充分的准备,为患者行主动固定式无导线心脏起搏器植入术。

超声心脏结构符合主动固定式无导线起搏器植入条件。
术中




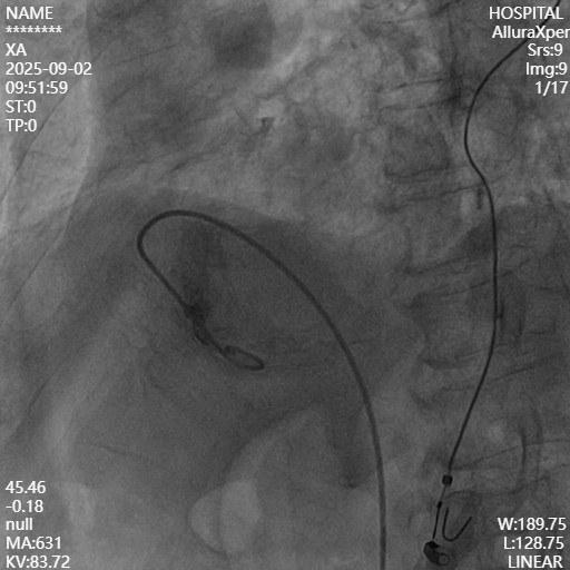
穿刺成功后,使用猪尾导管分别在RAO 30°、LAO 45°造影,RAO 30°右室大小显示清晰,LAO 45°间隔面显示清晰。
接好盐水管路,将起搏器激活后,将调弯制动杆推至一半,施加一定的调弯,在RAO 30°下,将起搏器送入右室,到达目标区域后,分别在RAO 30°、LAO 45°进行造影,RAO 30°下起搏器离心尖位置足够富余,离前后室间沟、三尖瓣距离安全,LAO 45°下,起搏器不够贴向间隔。
建议:RAO下向将起搏器往前送一定距离,略微往心尖方向递进,LAO下,顺时针转动导管,使起搏器更贴向间隔。

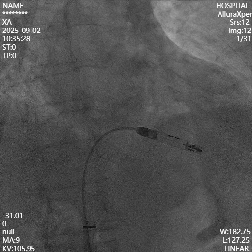
确认好到达目标植入区域,后撤保护套筒,轻轻松开导管上所有的制动和调弯,准备进行Mapping。

CEGM显示损坏明显抬高约3mV,测得阈值1.25V,感知4.4mV,阻抗530Ω。
参数良好,满足固定要求!

最终完美固定并释放起搏器!

释放后参数结果非常优秀!
专家合影

经过种种的挫折和挑战,广州中医药大学东莞医院(东莞市中医院)心内科的医生们,始终坚守着对患者的生命健康负责,不断的去迎接挑战,不断的运用和掌握先进的技术,帮助患者解决问题!