
一元复始,万象更新。2026年1月初,郑州市第七人民医院心外八病区,郑州市心衰机械循环支持中心在张向立副院长,浮志坤主任的带领下,成功为一例终末期心衰并发难治性心原性休克患者开展河南省首例静脉-动脉体外膜肺氧合VA-ECMO桥接经皮介入左心室辅助装置CorVad后,再桥接植入式左心室辅助装置Corheart 6的序贯治疗。该患者目前已成功转至普通病房,恢复良好。该例手术的成功实施,不仅标志着河南省危重急症心衰患者治疗迈入“阶梯优化、精准适配”的新阶段,更彰显了国产高端医械与前沿诊疗技术结合的临床价值,也为中国介入桥接植入的临床联合应用策略提供了成功范本,为省内终末期心衰患者带来全新生存希望。

患者简况
男,40岁,身高172cm,体重88kg,BSA 1.93m²。高血压病史10余年,2025年12月26日,患者因突发心原性休克于外院紧急接受ECMO辅助;12月30日,病情持续危重,转入郑州市第七人民医院;入院诊断为:
1. 扩张性心肌病,难治性心衰,心力衰竭D期,INTERMACS分级1级,心功能IV级(NYHA分级);
2. VA-ECMO 辅助状态;
3. 高血压病3级(极高危)。

患者VA-ECMO状态转运至郑州市第七人民医院
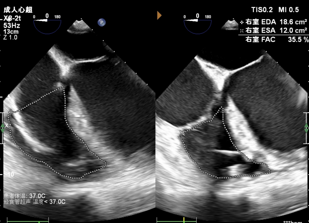
心脏超声检查进一步揭示患者病情的严峻性:ECMO辅助状态下室壁运动功能欠协调、收缩功能显著减低,左心室舒张末期内径69mm,射血分数(EF)仅22%,三尖瓣TAPSE 12mm,右室FAC 30%,属于终末期心衰的极危重状态,常规药物治疗已无法逆转病情,患者生命如悬丝般脆弱。

精准施救:“阶梯式循环支持”搭建生命桥梁
“时间就是心肌,时间就是生命”。张向立教授团队接诊后,立即激活多学科“休克团队”(Shock Team),整合急诊、心内、心外、ICU、超声等多学科力量开展快速结构化评估。结合患者病情,团队制定了“先稳生命、再过渡、后长效支持”的阶梯式循环支持方案,核心思路是通过不同层级的机械循环支持装置协同配合,为患者心脏功能恢复或长期替代创造条件。
第一阶段:VA-ECMO稳定生命体征
患者入院时已处于VA-ECMO辅助状态,团队首先通过精细化管理维持VA-ECMO运行,同时严密监测肺、肾、肝、脑等多器官功能,预防多器官功能障碍综合征(MODS),为后续治疗争取时间。
第二阶段:CorVad微创桥接,实现循环平稳过渡
鉴于患者对血管活性药物反应欠佳,心衰症状持续加重,团队果断决策实施经皮介入左心室辅助装置(CorVad)置入术。
国际研究指出,早期应用临时机械循环辅助装置能快速稳定血流动力学、逆转器官灌注不足,为后续治疗(如心脏移植或永久性LVAD植入)创造关键窗口。相比于循环支持能力有限的IABP,以及穿刺创伤大、可能增加左心室后负荷的VA-ECMO,CorVad能在更微创的前提下,有效分担左心室负荷,将血液持续泵入主动脉,从而快速改善全身器官灌注与心肌供血,成为该患者更优的过渡支持选择。作为中国首个获批上市的介入式左心室辅助系统,CorVad采用国内首创的微型化轴向电机技术,具有多方面临床优势:其内置电机设计在保障系统稳定高效运行的同时,实现了低功耗与低温升,显著降低了血液损伤风险。与国外同类产品相比,CorVad 在相同尺寸导管下可提供更大流量支持,血液相容性更优,支持时间更长。该装置介入尺寸小、便于微创操作,真正实现了“无需开胸、置入便捷、流量充沛”,尤其适用于危重患者的短期过渡支持。
手术中,张向立教授团队凭借精湛的介入技术,在超声引导下精准定位血管穿刺点把,微创完成装置置入,全程创伤小、耗时短,最大程度降低了手术对患者的二次损伤。术后,CorVad装置以S3档、3.5L/min的稳定流量持续辅助,不仅实现了左心室有效减负,更显著改善了全身器官灌注,使患者心功能指标逐步改善,成功为后续LVAD植入创造了有利的身体条件。

因血管活性药效果欠佳,心衰症状改善不佳,行VA-ECMO转经皮左心室辅助(CorVad)装置置入术
第三阶段:LVAD植入筑牢长期支持基础
经过2天的稳定过渡,患者身体状态已满足长期支持治疗条件。在成功撤除CorVad装置后,张向立教授团队随即为患者施行植左心室辅助装置(Corheart 6)植入术,实现从短期过渡支持到长期循环替代的平稳衔接。考虑到此时植入LVAD既能解决终末期心衰患者的紧急“救命”需求,又保留了恢复心功能后撤除装置的希望,还可作为桥接移植(BTT)策略,为后续心脏移植创造机会窗口;且相对于心脏移植,心室辅助术后不需要长期抗排异药物,维持费用较低。
手术中,团队直面复杂心脏解剖结构与危重患者基础状态,精准完成心室切口、流入道定位、流出道吻合等关键操作。而此次植入的 Corheart 6,其设计优势全程适配手术节奏、助力操作实施:采用一体化轴向全磁悬浮电机设计,结构紧凑、泵体体积更小,让术中放置更便捷,有效缩短了关键操作耗时,同时减少对周围组织的侵入损伤;其二次流道采用短距无拐点“一”字型结构,搭配全磁悬浮技术,能缩短血液驻留时间、避免血液成分机械磨损,赋予装置优异的血液相容性,可降低溶血与血栓风险,降低术后并发症。团队全程依托实时超声引导把控器械位置,确保LVAD流入管定位恰当、血流无梗阻、主动脉开放正常。值得注意的是,该装置已实现9-88岁多年龄段覆盖,其普适性与安全性也为此次复杂手术的成功提供了坚实保障。
术后床旁超声检查验证了手术效果:患者左心室负荷显著降低,血流动力学指标明显改善,生命体征逐步平稳,心衰症状得到根本性缓解,标志着此次阶梯式治疗圆满达成核心目标。

总结
此次河南省首例VA-ECMO桥接CorVad桥接Corheart 6的序贯治疗成功,标志着河南省危重心衰的阶梯式机械循环支持方案取得关键突破。该案例不仅展现了多学科团队的高效协作与精湛技术,更验证了国产高端器械CorVad与Corheart 6的可靠性能。
CorVad作为国内首款获批上市的介入式左心室辅助装置,能以微创方式实现短期过渡支持,填补了从急救到长期治疗之间的技术空白;Corheart 6作为全球最小最轻的商业化植入式人工心脏,近日发表在国际心胸外科领域权威期刊《欧洲心胸外科手术杂志》上的一项真实世界、前瞻性、多中心注册临床队列的长期随访研究结果显示,其2年生存率达86%,相较于国际同类主流产品2年生存率通常在74.0% -79.5%区间内,展现出优异的生存获益表现,能够为终末期心衰患者提供安全可靠的长期机械循环支持。二者协同构建了“VA-ECMO稳定生命—CorVad过渡辅助—Corheart 6长期支持”的完整救治链,标志着国内心衰救治进入精准化时代,为终末期心衰患者提供了全新的生存路径。
基于此案例,张向立教授团队进一步明确了危重心衰救治的阶梯化路径:早期通过休克预警快速识别并启动多学科响应;依托床旁超声与血流动力学监测实现分层诊断与病因管理;遵循“药物—体外装置-介入装置—长期植入装置”的阶梯支持原则,实现精准器官灌注;全程贯彻多器官保护与精细化综合管理;并通过数据平台实现质控优化与区域协同。这一系统化方案显著提升了危重心衰患者的救治成功率,也为国产人工心脏的临床推广提供了实践范本。
未来,郑州市第七人民医院心衰机械循环支持中心将继续推动该模式的规范化与普及,助力更多患者重获生机。
诊疗特色

终末期心脏病外科治疗:率先在省内开展心脏移植术、人工心脏植入术;2019年成功完成河南省首例儿童心脏移植术;先后为兄弟3人成功实施心脏移植手术;2023完成河南省首例右位心心脏移植手术;2021年逐步开展人工心脏植入手术,目前已顺利完成五款人工心脏植入手术80例,2023年12月21日成立“郑州市心衰机械循环支持中心”,是国内第一家机械循环支持中心,致力于心衰机械循环支持的临床、随访、科研及教学工作。另外,还常规开展心脏瓣膜外科治疗、复杂冠心病外科治疗、大血管疾病外科治疗、房颤外科治疗、肥厚梗阻性心肌病外科治疗等。

郑州市第七人民医院心衰机械循环支持中心,自成立以来,便致力于心衰机械循环支持的临床、随访、科研及教学工作,是国内第一家机械循环支持中心。在这里,不仅有先进的医疗设备,更有顶尖的医疗团队,他们以患者为中心,以技术为依托,不断探索医学的边界,为患者带来生命的希望。张向立副院长为学科带头人的专家团队,不仅在临床实践中积累了丰富的经验,更在科研领域取得了显著的成就,他们的努力,为心衰患者带来了更多的治疗选择,也为医学的发展贡献了力量。