在药物洗脱支架(DES)时代,支架内再狭窄(ISR)仍然是临床介入治疗面临的挑战。光学相干断层扫描(OCT)为我们揭示了冠脉病变的微观世界,其中新生动脉粥样硬化是公认的晚期支架失败机制之一。然而,在药物涂层球囊(DCB)治疗后的组织反应,可能呈现出一些非典型的形态学特征。

近期,《Egypt Heart J》报道了一例来自日本的病例,展示了一种极其罕见的OCT表现,为我们理解DCB治疗后的血管愈合过程提供了新的视角。
ISR指冠状动脉支架植入后,由于内膜过度增生等原因,靶血管再次出现狭窄。在DES广泛应用后,ISR的发生率已显著降低,但一旦发生,其处理仍具挑战性。
近年来,新生动脉粥样硬化的概念被广泛认知。它是指在DES植入后形成的新生内膜内,出现了类似于原生冠状动脉的动脉粥样硬化性改变,例如脂质沉积、钙化、甚至易损斑块特征。这被认为是晚期支架失败(如极晚期ISR或血栓)的重要机制之一。
OCT凭借其极高的分辨率,能够清晰显示血管壁的微观结构,对斑块成分(如脂质、钙化、巨噬细胞)进行定性分析,因此已成为诊断和评估ISR机制(包括新生动脉粥样硬化)不可或缺的腔内影像学工具。
01
病例报告
患者是一位55岁男性,具有多项心血管危险因素。因复发性心绞痛就诊,既往病史如下:
9年前:在前降支(LAD)近中段植入了两枚药物洗脱支架(XIENCE Alpine),分别为3.0×18mm和3.0×33mm。
1年前:他因LAD的ISR接受了DCB血管成形术治疗。
复查冠状动脉造影显示,LAD中段存在一处模糊的病变,且血流储备分数(FFR)低至0.72,证实存在导致心肌缺血的功能性显著狭窄。因此,计划进行经皮冠状动脉介入治疗(PCI)。
就在此次介入前的OCT检查中,医生发现了一个不同寻常的景象:
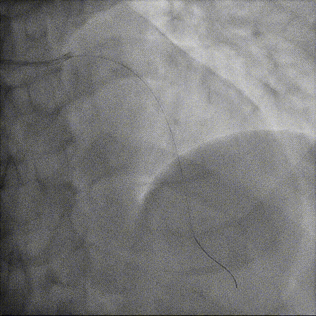
OCT显示,一个呈条纹状、低衰减的斑块,从支架梁的外侧突入至管腔内。(图A1-3;视频1)

A 冠状动脉造影显示LAD中段有模糊病变。A1-3 OCT图像显示条纹状、低衰减斑块突入支架管腔。箭头指示特征性条纹样结构。
视频1
从几个层面来理解这个罕见OCT表现的独特性:
位置异常:斑块并非来源于支架梁之间或表面的新生内膜,而是从支架梁的外部向内凸起。这提示病变可能发生在支架梁与血管壁之间的界面,或涉及更深层的内膜下组织。
形态特异:条纹状或分层的外观,在OCT图像上表现为明暗相间的多层线条样结构。
信号特征:低衰减意味着OCT光束能够相对较好地穿透该组织,后方信号衰减不明显。这与富含脂质的斑块(通常为高衰减,后方有信号遮蔽)形成鲜明对比。
缺乏典型特征:最重要的是,这个病变区域没有观察到典型的脂质池、钙化或巨噬细胞浸润。这使得它与经典的、OCT上容易识别的典型新生动脉粥样硬化的表现不同。
作者推测,这很可能代表了既往DCB治疗后的分层新生内膜重塑,可能反映了已愈合的血栓或复杂的愈合过程,而非经典的富含脂质的新生动脉粥样硬化。
面对这一罕见表现,治疗团队制定了循序渐进的介入策略:
准分子激光斑块减容
为了处理突入管腔的组织,首先使用了准分子激光冠状动脉成形术(ELCA; Philips, USA; 1.4 mm C-type catheter, 60 mJ/mm², 40 Hz)治疗该病变。消饰后血管造影未显示明显的血流限制性并发症(视频2)。消饰后OCT显示突出组织部分缩小(图B)。定量OCT分析显示,突出组织的面积从准分子激光治疗前的4.49mm2降至治疗后的3.82mm²,提示突出的新生内膜组织得到有效减容。
B 准分子激光治疗后的OCT图像显示突出斑块部分缩小;
C DCB扩张联合对吻球囊扩张后的最终血管造影结果;

视频2
2.刻痕球囊扩张
激光治疗后,采用3.5×13mm刻痕球囊(Aperta NSE)进行病变预处理。刻痕球囊扩张后,对角支出现血流减慢,采用1.5×10mm半顺应性球囊(Ryurei)扩张处理,对角支血流恢复。
3.药物涂层球囊扩张
最后,对LAD病变处应用3.5×30mm紫杉醇涂层球囊(SeQuent Please Neo)扩张,并以对吻球囊技术同时扩张了LAD和对角支,以保证分叉部位的几何形态(图C)。最终OCT显示病变充分扩张,突起的斑块组织被压缩(图D、D1-3)。

D、D1-3 最终OCT图像显示病变充分扩张,突起的斑块组织被压缩
02
讨论
这个病例最重要的价值在于,它向我们展示了ISR,特别是DCB治疗后的ISR,其形态学表现可能远超我们以往的认知。
超越了新生动脉粥样硬化的范畴:该病变缺乏脂质、钙化、巨噬细胞这三大典型新生动脉粥样硬化的OCT特征。迫使我们去思考ISR的其他病理基础,分层新生内膜重塑和血栓机化也许是合理的解释。DCB治疗可能造成了内膜的微小损伤或夹层,随后在愈合过程中,机化的血栓和增生的组织形成了这种分层的条纹状外观。
DCB治疗后血管反应的复杂性:既往OCT研究表明,DCB治疗后的新生内膜可呈现多种变化,如新生动脉粥样硬化的进展或消退、钙化、支架梁裸露、向外凸起,甚至蘑菇样突起。本病例的条纹状低衰减斑块应被视为形态谱的一部分,而不是一个孤立的疾病实体。它反映了血管对DCB及其所载药物和机械扩张产生的一种复杂愈合反应。
OCT的独特诊断价值:如果没有OCT,这个病变在造影上仅表现为模糊,其独特的内部结构和成分无从知晓。OCT清晰揭示了其非典型形态,从而避免了将其误判为典型的脂质斑块或单纯的内膜增生,这可能间接影响了治疗策略的选择。
临床处理的启示:尽管形态罕见,但成功的治疗策略表明,基于腔内影像学评估的个体化方案是可行的。结合斑块减容、充分的病变预处理和DCB再次应用,可以有效地处理此类复杂ISR。
这一罕见OCT形态的发现,提醒广大心血管介入医师:
ISR,尤其是经DCB治疗后的ISR,其病理形态具有多样性。
OCT等腔内影像工具对于准确识别这些形态、深入理解病变本质、从而制定个体化治疗策略具有不可替代的价值。
未来需要积累更多类似病例,并通过更长期的随访,来明确这种特殊形态的临床预后意义,以及其最佳的治疗管理方案。
03
严道心得
这不仅仅是一个关于罕见影像表现的病例报告,更像是一次对冠脉介入治疗精细化思维的生动诠释。
我们习惯于学习典型表现,OCT的脂质斑块、钙化、纤维帽、巨噬细胞……这些都有标准图谱。此病例却展示了非典型表现的强大教学意义。
教科书涵盖的是常见模式,但人体和疾病的反应永远是复杂且充满个性的。当看到不符合既定分类的病变时,重要的不是强行归类,而是描述它、分析它,思考其背后的病理生理。
最好的临床问题往往来源于床边。这个罕见的发现,源自于医生对一份不寻常OCT图像的追问和记录。它没有庞大的样本量,却因其独特性而具有重要价值。在临床工作中,保持对异常现象的敏感,并系统性地记录、分析、分享,是推动学科进步的重要力量。这个病例报告的形式,也是年轻医师或临床中心进行学术交流和贡献的很好途径。