
室间隔膨出瘤(Intraventricular Membranous Septal Aneurysm, IVMSA)是指室间隔膜部向右心室侧异常膨出形成的瘤样结构,是一种少见的心脏异常。CTA扫描已成为心血管疾病重要的诊断方法,CTA具有更好的空间分辨率,结合三维重建技术,能够更清晰地显示心脏解剖结构。

一名75岁女性,既往有特发性神经病变、原发性高血压和杂合子型家族性高胆固醇血症病史,因劳累时出现疲劳和呼吸短促而接受心脏科医生的评估。
心电图显示正常窦性心律,伴一度房室传导阻滞。
为评估可能的缺血性病因,患者接受了冠状动脉CTA。检查显示冠脉为左优势型,无明显狭窄,但有轻度动脉粥样硬化。
值得注意的是,发现了一个16mm宽颈的风袋状室间隔膨出瘤,同时存在卵圆孔未闭和左向右分流(图1,图2)。

图1. 三维心脏CTA显示室间隔膨出瘤(箭头所示)。
AO(主动脉);SoVA(瓦氏窦);LVOT(左心室流出道);LV(左心室);RA(右心房);RV(右心室)

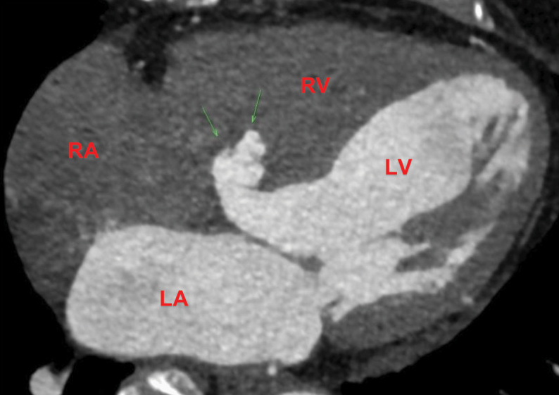
图2. 心脏CTA显示室间隔膨出瘤(箭头所示)。
RV(右心室);RA(右心房);LV(左心室);LA(左心房)
膜部室间隔膨出瘤是罕见的先天性异常,通常在评估无关症状时偶然发现。本例患者为评估缺血情况接受了CTA检查,从而发现了室间隔膨出瘤。
此类患者进一步评估是否存在相关的结构异常很重要,例如瓦氏窦瘤、室间隔缺损或流出道异常(如大动脉转位)。
虽然室间隔膨出瘤通常无症状,但其可能成为血栓形成的病灶区域,且增加心律失常风险,或者如果其显著突出压迫,可能导致右心室流出道梗阻。尽管本例有症状,但她的症状被认为与室间隔膨出瘤无关,并且她没有血栓或心律失常的证据。
经胸超声心动图有助于检测室间隔膨出瘤,但心脏CTA能提供更优越的解剖细节,从而更好地显示和评估相关的心脏病变。
鉴于患者没有显著的冠状动脉疾病,对其采取了保守治疗,包括针对动脉粥样硬化危险因素进行干预,并密切随访以评估潜在的栓塞风险。