
在非瓣膜性心房颤动(NVAF)患者的卒中预防中,抗凝治疗是基石。传统药物华法林虽有效,但其治疗窗窄、需频繁监测、且与多种食物药物相互作用,在合并肾功能不全的患者中尤为突出。直接口服抗凝药(DOACs)的出现改变了这一局面,其中阿哌沙班因其在肾功能不全患者中的药代动力学优势而备受青睐。
阿哌沙班是肾脏清除率最低的DOAC(约25%),相较于达比加群(80-85%)、利伐沙班和艾多沙班(约35%),理论上在肾功能下降时蓄积风险更小。回顾性研究也显示,在透析的终末期肾病(ESKD)房颤患者中,与华法林相比,阿哌沙班(尤其是5mg bid)与更低的大出血风险、更低的血栓栓塞和全因死亡率相关。

然而,更低风险。不等于无风险。《Am J Case Rep》报告了一份病例:在严重慢性肾病(CKD)或ESKD背景下,即使有限的肾脏排泄也可能导致药物水平升高和出血。阿哌沙班相关出血最常见于胃肠道,但胸膜、心包等罕见部位的出血事件也可能发生,并可能成为更致命性颅内出血的前奏。
病例报告
患者为73岁白人男性,因全身乏力、胸骨后胸痛和呼吸急促3天,从疗养机构转诊入院。他有复杂的既往病史:非瓣膜性房颤(CHA₂DS₂-VASc评分5分)、射血分数保留的心力衰竭、慢性阻塞性肺疾病、2型糖尿病、高血压、慢性肾病3b期(基线肌酐2.6 mg/dL,估算肾小球滤过率eGFR 35 mL/min/1.73 m²)、椎管狭窄、神经源性膀胱、肥胖以及代谢功能障碍相关脂肪性肝病。
为预防卒中,其正服用阿哌沙班5mg,每日两次。
入院时,他处于呼吸窘迫状态,嗜睡但定向力正常。体格检查发现双侧呼吸音减弱、心律不齐、双下肢胫前凹陷性水肿等体征。有慢性臀部溃疡,因神经源性膀胱留置长期导尿管。
实验室检查提示严重肾功能恶化(肌酐升至3.7 mg/dL,eGFR降至15 mL/min/1.73 m²,达到ESKD标准)、贫血、高钾血症、代谢性酸中毒,并怀疑存在尿路感染。

Electrocardiogram (EKG) showing atrial fibrillation with preserved ventricular rate.
便携式胸部X光片提示可疑充血性心力衰竭,心电图显示为心房颤动。经胸超声心动图显示中量心包积液,无心脏压塞迹象。

Transthoracic echocardiogram shows a moderate-to-large circumferential pericardial effusion measuring approximately 1.87 cm in diastole (blue caliper) and 1.87 cm posteriorly (yellow caliper). The effusion appears echo-dense with heterogeneous internal echoes, consistent with hemorrhagic or complex fluid rather than a simple serous effusion, as illustrated in the parasternal long-axis view (A), apical four-chamber view (B), and subcostal view (C), with the effusion highlighted by red arrows in each image.
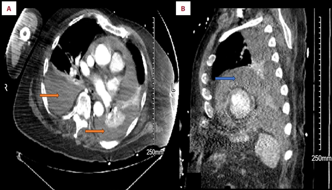
胸部CT发现中度至大量的双侧胸腔积液(左侧多于右侧)和中度至大量心包积液,两者可能为血性。同时发现4.3cm的升主动脉瘤。

Contrast-enhanced axial chest CT shows bilateral pleural effusions (orange arrows) with high attenuation, consistent with hemorrhagic effusions (A). The density (Hounsfield units) is higher than simple fluid, supporting the presence of blood within the pleural spaces. Contrast-enhanced sagittal chest CT demonstrates a large pericardial effusion (blue arrow) with increased attenuation, indicating a hemorrhagic pericardial effusion. This effusion surrounds the heart and is of higher density than simple serous fluid, consistent with blood (B).
患者就诊前无胸部外伤史。鉴别诊断包括阿哌沙班相关出血、尿毒症性胸膜炎/心包炎、恶性肿瘤和感染性病因。感染性疾病筛查、自身免疫抗体谱等检查均为阴性。鉴于影像学高度提示可能存在血性胸腔积液和心包积液,故立即停用阿哌沙班。
入院第一天,患者接受了右侧胸腔穿刺术并放置引流管,引流出2.8升血性胸腔积液,36小时后转为血性浆液性。

Hemorrhagic pleural fluid obtained during thoracentesis. Left panel shows samples collected in sterile containers, while the right panel demonstrates the chest tube collection system containing large-volume bloody effusion.
胸腔积液分析显示外观为血红色,白细胞计数1474/μL(中性粒细胞18%、淋巴细胞18%、单核细胞64%),红细胞计数569000/μL(红细胞计数>100000/μL提示明显血性积液),可见中等量间皮细胞,少量巨噬细胞,葡萄糖224mg/dL,乳酸脱氢酶202单位/L,蛋白质2.5g/dL(血清蛋白质5.9g/dL),腺苷脱氨酶18单位/L(正常范围0–30单位/L),胆固醇25mg/dL,甘油三酯23mg/dL。胸腔积液的革兰染色结果为阴性,未发现抗酸杆菌或真菌生长,细胞学检查未发现恶性细胞。

Repeat transthoracic echocardiogram shows a reduction in pericardial effusion, as seen in the apical four-chamber view (A), subcostal view (B), and parasternal long-axis view (C), with the effusion indicated by brown arrows in each image.
在停用阿哌沙班5天后,又进行了左侧胸腔穿刺,引流出1400ml血性浆液性液体,红细胞计数显著下降至34,000/μL。胸水从明显血性向血性浆液性的转变,表明胸膜腔内出血减少,活动性出血已停止,与阿哌沙班停药在时间上高度相关(Naranjo评分6分,提示很可能相关)。他的呼吸困难在胸腔引流后显著改善。心包积液也在未行心包穿刺的情况下自行吸收好转。
住院期间,患者被明确诊断为终末期肾病(CKD G5D),并开始规律血液透析。经过37天住院治疗,胸腔积液近乎完全吸收,他在未恢复抗凝治疗的情况下出院,返回疗养机构继续透析。下图显示了初始入院期间血肌酐(SCr)和肌酐清除率(CrCl)的变化趋势。

Serial monitoring of renal function, including serum creatinine (reference range: 0.5–1.4 mg/dL), estimated glomerular filtration rate (eGFR; normal: >60 ml/min/1.73 m2), and creatinine clearance (CrCl; normal: 80–160 ml/min/BSA for men). The values illustrate a trend over time, with persistent elevations in serum creatinine and a decline in eGFR.
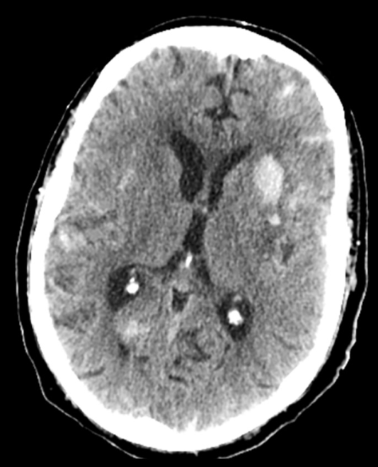
然而,在疗养机构,主管医生自行决定重新启动了阿哌沙班5mg每日两次的治疗。出院八周后,在一次血液透析后,患者出现精神状态改变、四肢瘫痪和吞咽困难。头部CT显示多灶性颅内出血:左额叶最大血肿(2.3×1.5 cm),累及双侧岛叶下区和左基底节区,伴蛛网膜下腔出血,有轻度占位效应但无中线移位。这些表现与凝血功能障碍相符。
Axial computed tomography (CT) images of the head. CT scan of the head revealed multifocal intracranial hemorrhage with numerous acute hemorrhages across multiple compartments. The largest intraparenchymal hemorrhage, measuring 2.3×1.5 cm, was in the left frontal lobe, also involving the bilateral subinsular region and left basal ganglia. A mild mass effect was present without midline shift, along with subarachnoid hemorrhage.
尽管立即停用阿哌沙班,并使用Kcentra(四因子凝血酶原复合物浓缩物)进行逆转,并输注血小板,但病情持续恶化。病程中继发癫痫发作和慢性呼吸衰竭急性加重,需气管切开及呼吸机支持。最终,患者在约三个月后因败血症死亡。
讨论
本病例最突出的警示在于,患者即使在指南允许的剂量下,仍发生了灾难性出血。核心原因在于其急剧恶化且严重的肾功能不全。
阿哌沙班是一种Xa因子抑制剂,因其药代动力学可预测、无需频繁监测,且与华法林等传统抗凝药相比,严重出血(包括颅内出血)的风险更低,被广泛用于心房颤动患者的卒中预防以及静脉血栓栓塞的治疗和预防。阿哌沙班虽肾排泄比例最低,但一项群体药代动力学分析显示,严重肾功能损害可使阿哌沙班暴露量增加55%。在ESKD/透析患者中,阿哌沙班的高血浆蛋白结合率使其难以被透析清除,可能导致药物蓄积。
指南对严重肾病患者,尤其是透析患者的阿哌沙班剂量推荐存在矛盾。美国指南允许对透析患者使用5mg bid标准剂量。但加拿大和欧洲指南则反对在肌酐清除率(CrCl)<15 mL/min的患者中使用。对于CrCl在15-30 mL/min之间的患者,是否应减量至2.5mg bid也存在不同意见。本例患者重启阿哌沙班时已处于ESKD透析状态,继续使用5mg bid的决策无疑蕴含极高风险。
阿哌沙班相关出血常见于胃肠和泌尿系统,胸膜、心包等浆膜腔出血罕见。其机制可能与药物蓄积导致全身性抗凝状态有关,也可能与局部血管脆弱性或潜在的微血管病变在抗凝作用下被放大有关。本病例中,出血性胸腔积液在停药后迅速转为血性浆液性,强有力地支持了阿哌沙班的因果作用。
结论
本病例提醒我们,“相对安全”不等于“绝对安全”,即使是在肾病患者中相对更具有显著优势的阿哌沙班,在严重肾功能不全或ESKD背景下,仍可导致罕见但致命的出血并发症。对于使用阿哌沙班的CKD患者,肾功能是动态变化的。必须定期监测肾功能(血清肌酐、eGFR),并在肾功能显著下降时,重新严格评估抗凝方案的必要性和剂量。当前指南对ESKD/透析患者的阿哌沙班使用建议不一致。临床决策不能机械套用指南,必须高度个体化,综合考虑患者出血与血栓风险、合并症、预期寿命及患者意愿。临床医生需认识到,DOAC相关出血可发生在任何部位。对于服用抗凝药的患者,新发的胸腔、心包或神经系统症状,应纳入出血的鉴别诊断。
严道心得
阅读这个病例,心情是沉重的。它像一部悲剧,揭示了被大规模临床试验的平均效应所掩盖的极端风险。
本病例最令人扼腕之处,在于患者一度似乎躲过了第一次出血危机。通过停药和引流,胸腔和心包积液得到控制。然而,出院后重启相同剂量的阿哌沙班,成为了压倒骆驼的最后一根稻草。这提示我们,对于高危患者,一次严重的药物不良事件后,是否以及如何重启治疗,需要比初始治疗更为审慎的多学科评估。
或许,当时就应该将左心耳封堵等非药物方案提上议程。
此外,本病例也反映了真实世界医疗信息的断线。患者在不同医疗机构间转移,信息传递和治疗决策的连续性可能被打断。外院医生可能只看到了“房颤、需抗凝”的简单标签,而未充分重视其“终末期肾病、刚发生致命性出血”的极端高危背景。这提醒我们,确保关键医疗信息(尤其是严重不良反应史)的完整、准确传递,是患者安全的重要防线。
最后,这个病例再次叩问抗凝治疗的永恒主题:在血栓与出血的天平上,我们如何为每一个独特的个体找到最精准的平衡点?
对于合并严重肾病的房颤患者,这个平衡点的寻找尤为艰难。它需要更精细的药代动力学研究来指导剂量,需要更敏感的监测手段来预警风险,更需要医生在遵循指南的同时,保持一份对例外和罕见的高度警觉。
这位患者的结局,是对所有临床工作者的一声警钟:在追求卒中预防的同时,切勿低估抗凝药在脆弱人群中可能释放的破坏力。
医学的进步,正是在这样一个个教训中,得以反思和前行。