

复旦大学附属中山医院心内科黄浙勇教授
思辨介入困境
解析手术技巧
梳理中山经验
助您从新手变“心”手
每月15日、30日,严道医声独家发布
支架预定位良好,但释放瞬间发生位置偏移,称为支架移位。支架移位后果往往不严重,但处理比较尴尬:极短的病变覆盖不全,支架补还是不补?支架过分突出于主动脉,再次介入谁接手?
但问术者原因,必答曰:病人一呼吸、病人一咳嗽、病人一动,助手手一拉,术者手一抖……言下之意,都是偶发的、不可控的意外,与术者技术水平无关。于是乎,术者内心“坦荡”,不惧批评,无需反思。
殊不知,意外性支架移位只是少数(图1),大多数支架移位有迹可循,可防可控!

图1 病人深呼吸导致支架意外性移位。右冠远段节段性病变,斑块破裂(A)。支架定位(B1),支架释放瞬间,病人突然深吸气,介入器械(导管、导丝和支架)一起回拉移位(B2),支架释放偏离原先定位处(B3)。复查造影支架移位约10mm,斑块破裂处无支架覆盖(C)。白色箭头为支架远端拟释放位置,红色箭头为支架远端实际释放位置。
一
支架移位的四大类型
笔者初步总结,支架释放时移位可分成以下四种类型。
1、意外性支架移位。病人突发咳嗽、深呼吸、骤然改变体位、术者不小心突然拉送器械等不可预测性因素导致的支架移位。属于不可控的“意外事件”。
2、心跳性支架移位(支架晃动)。支架随着心脏收缩和舒张发生规律的晃动,导致支架支架定位困难。笔者曾专门撰文指出,介入器械和心脏跳动之间的不同步是导致支架晃动的根本原因,“随心而动”是解决晃动的根本方法。详见《冠心病介入治疗解码》(2022年人民卫生出版社)。
3、张力性支架移位(支架跳跃)。释放前支架定位看似良好,但蕴含未释放的张力;在支架释放的一刹那,由于力学平衡重置,发生支架跳跃。本文将重点阐述。
4、挤对性支架移位(支架挤对)。主动脉-冠脉开口支架植入过程中,如果支架尾端球囊部分位于指引导管内,球囊膨胀与导管发生相互挤对作用,导管挤压支架球囊发生移位。下篇拟展开详解。
四种类型中,后三种均是可防可控的移位,不可随意归咎于外因和意外。另外,支架移位的分类和命名均是笔者个人思考,敬请大家指正。
二
张力性支架移位的发生机制
支架的位置取决于推拉力和阻力。从物理学的角度,支架释放瞬间发生移位,肯定意味着力学平衡被打破(图2)。支架到位时蕴含前冲或后退的张力(潜能),同时支架与血管壁存在一定阻力,张力和阻力相平衡导致支架位置不动;但在支架释放的一瞬间,支架阻力可能突然下降,导致支架张力占据优势,支架发生移位。
1、 血管阻力减小是支架张力性移位的动因
在没有阻力的理想状态下,支架位置就完全取决于推拉力。前送力多大,支架就多远,回拉力多大,支架就多近。此时支架释放就不可能发生支架跳跃。
现实状态总是存在阻力,推拉力要克服血管阻力(静摩擦力)才能前送或回拉支架。若支架推拉力<血管阻力,就不会产生支架移位,我们可以将这种较小的、不发生移位的推拉力称为“潜力”,也有人习惯上称之为“张力”。在支架球囊充盈的一刹那,血管被拉直,支架球囊形态学也发生改变(譬如球囊尖端鱼嘴效应消失),总体结果是支架和血管的静摩擦力(血管阻力)变小,一旦血管阻力小于“潜力”,就会发生意外的移位(图2)。

图2 支架张力性移位的发生机制。支架球囊充盈时,血管和支架形态学改变导致血管阻力降低,这是支架跳跃的前提条件。支架跳跃的方向取决于“潜力”的方向:前送支架到位时,存在前送“潜力”,支架释放时若血管阻力降低,结果是支架向前跳跃;回拉支架到位时,存在回拉“潜力”,支架释放时若血管阻力降低,结果是支架向后跳跃;若支架“潜力”已经被释放,则支架不可能跳跃。注意示意图中支架杆形态和指引导管位置,在一定程度上提示支架潜能的方向和大小。
为何支架跳跃均发生在迂曲、成角等高阻力血管(图3-4)?(1)血管阻力改变是支架移位的动因,阻力改变越大,移位幅度越大,因此,高阻力血管具有阻力突降的可能性。(2)支架通过迂曲成角等高阻力血管时需要更大的推拉力,即支架球囊导管的“潜力”较大,如果支架释放时血管阻力骤降,就可能发生明显移位。

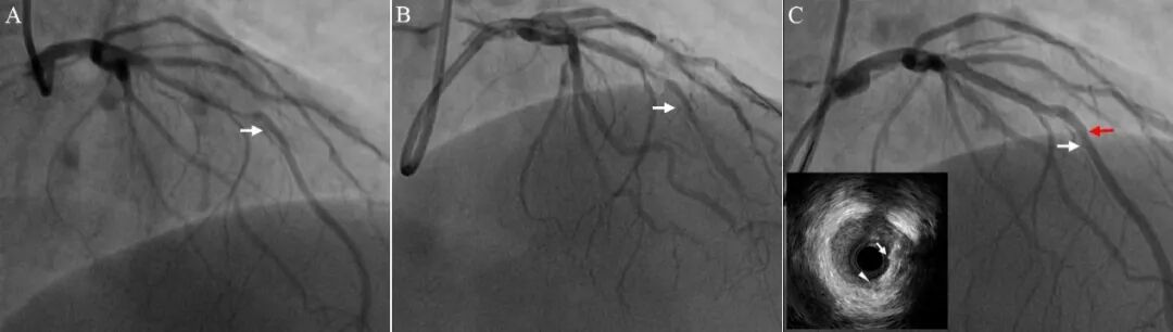
图3 支架张力性移位(成角病变)。前降支中段长病变伴成角(A,白色箭头为拟放支架位置,间隔支发出处)。支架初始位置过远达至前降支远段,回拉支架,远端定位良好(B, 白色箭头为支架远端位置,齐平间隔支发出处)。支架释放时向近端移位(C,白色箭头为支架原定位处,红色箭头为支架实际释放处)。未覆盖区域IVUS检查发现钙化小结(箭头)和可疑夹层(三角)。

图4 张力性移位(TAVR后支架植入)。TAVR术前左主干正常(A),TAVR术中损伤左主干开口(B),需要紧急置入冠脉支架。预扩张后,左主干开口呈喇叭状(C)。3.5*13mm冠脉支架穿过TAVR梁送至左主干中远段,然后回撤到位,冠脉支架标志点齐平主动脉TAVR梁(D,白色箭头为支架预定位标志点)。冠脉支架释放瞬间,支架向主动脉内跳跃移位2mm(E,白色箭头为预定位时的支架标志点,红色箭头为实际释放时的标志点)。尽管造影结果良好(F),但支架突出主动脉略多,不利于下次复查造影。事后分析成因:定位时,支架回撤张力并未得到释放,但与TAVR梁阻力达成平衡;支架球囊扩张时,TAVR梁受挤压,阻力骤降,支架在回撤张力作用下向近端跳跃滑动。
2、推力/拉力决定支架跳跃的方向
支架释放时血管明显拉直(血管阻力降低可能),但有些病例支架向前跳跃,有些病例向后跳跃,这是为何?
(1)支架向远端跳跃。有一个有意思的现象,支架跳跃大多表现为支架前移。①支架前送到位。大多数术者习惯逐步前送支架,然后到达靶病变,直接释放。因此支架存在一定的“前送潜力”。支架释放时若发生移位,无疑是前移而不是后移。②造影剂前冲效应:有一个物理学基本原理:水压能解开软管螺旋折叠,可以试想花园软管浇水时,软管有被拉直的趋势。同理,支架球囊快速加压充盈时,支架杆有拉直趋势,即支架前送力增加,可打破力的平衡:“潜力”+充盈的前送力>血管阻力,可促进支架前移的发生。偶然的,造影剂前冲效应改变支架杆形态同时,可能改变指引导管张力和形态,可导致指引导管头端突然深插或移位,导致整个介入系统前进(图5)。

图5 支架向远端跳跃的可能机制汇总
(2)支架向近端跳跃。若支架先送至靶病变远端,然后回拉到位,此时支架存在一定的“回拉潜力”,支架释放时若发生移位,必然是向后跳跃。有些术者总是偶遇支架向近端跳跃,而另一些术者总是碰到支架向远段跳跃(图6),为何?其原因就在于支架到位的操作手法不同:前送到位容易向远端移位;回拉到位容易向近端移位!

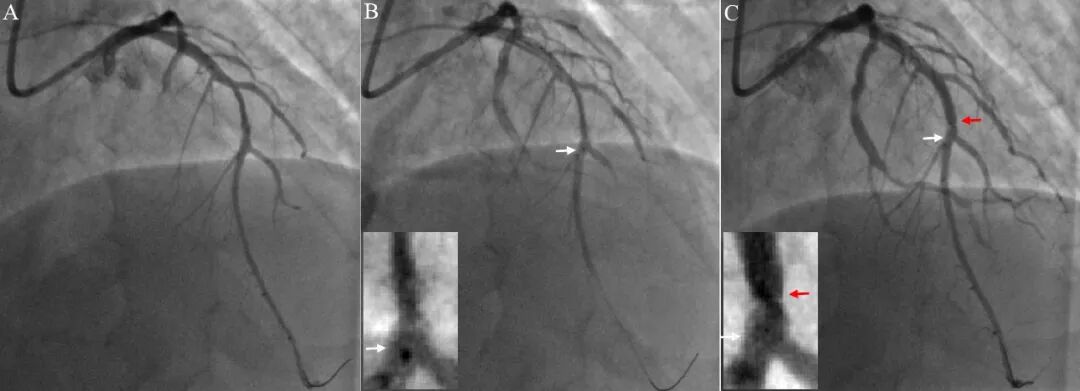
图6 支架张力性移位(长病变)。前降支中段长病变(A)。支架初始位置过远达至前降支远段,回拉支架,远端定位良好(B, 白色箭头为支架远端位置,齐平对角支发出处)。支架释放时向近端跳跃(C,白色箭头为支架原定位处,红色箭头为支架实际释放处)。
(3)不跳跃。不管是前送到位,抑或回拉到位,只要没有“潜力”,即只要释放支架系统的张力,就不会发生跳跃,这也是我们追求的目标,将在下面详解。
支架张力性移位的机制可以总结为:支架释放时血管阻力改变,支架向“潜力”方向跳跃。潜力的有无决定跳跃的有无,潜力的方向决定跳跃的方向;潜力的大小决定跳跃的大小。
三
张力性支架移位的处理对策
1、警惕高阻力血管。支架释放时血管阻力是否改变?改变几许?不得而知,也无法控制。但理论上讲,高阻力血管有阻力突降、支架跳跃的可能性,因此对于成角、迂曲血管,支架置入时要特别小心:注意释放支架导管的张力,支架加压要缓慢。
2、释放支架系统张力。我们无法掌控血管阻力改变,但可以管控“潜力”(张力)。将“潜力”降低到零,应该成为术者的目标和习惯。
为防止支架向前跳跃,前送支架定位前需要释放支架系统的“潜力”(张力),具体方法是“前送然后回撤”:稍前送支架,然后轻轻回撤,在回撤过程中定位支架(图7)。拓展一下思维,为防止旋磨头前冲,旋磨前需要释放系统前向张力:解锁后前送然后回撤推进器按钮(释放旋磨头张力);松开止血阀前送然后回撤输送杆(释放旋磨导管张力)。二者同样道理。
同样的,为防止支架向后跳跃,回撤支架也应该避免回撤张力过大,导致支架释放瞬间向近端移位。
因此支架定位的核心是释放支架系统的所有“潜力”,既要防前移,又要防后移。(1)有经验的术者会根据手感做相应的张力校正。(2)对于初学者,指引导管的位置改变有助于判断潜力的方向,如图2所示,导管脱离提示前向张力,导管深插提示后向张力。(3)还有一种实用方法是支架定位后,稍候(譬如30秒),让支架张力得以自然释放,确认定位后再释放支架。

图7 前送支架定位时,先送后拉法释放支架张力。先前送支架,此时支架系统存在前送张力(A);然后轻轻回撤支架,在回撤过程中定位支架,从而释放支架系统张力(B)。
3、缓慢释放支架。支架球囊加压充盈时,液体前冲效应使支架前送力增加。由于流速和前送力呈正相关,球囊膨胀速度越快,前送力增加越大,发生支架移位的几率越高,移位幅度越大。因此支架球囊膨胀过程要缓慢加压,从而减少前送力(图8)。额外提一句,有术者经验性的用快速加压支架的方式来减少支架移位的发生,仔细分析,任何一种支架移位(晃动、跳跃、挤对等),都无需该方法,或不能用该方法。

图8 支架释放速度对支架跳跃的影响。
“中山PCI解码”下期预告
挤对性移位:冠脉开口的支架移位


