
近日,苏州大学附属第一医院心血管内科蒋廷波教授、钱晓东教授团队成功应用SAPIEN 3瓣膜¹完成两例极具挑战性的TAVR手术。首例患者为79岁高龄男性,因主动脉瓣狭窄伴中重度关闭不全、心力衰竭入院。术前评估显示患者左室功能严重减退(LVEF仅20%),合并多瓣膜病变,传统外科手术风险极高。团队经过周密规划,在ECMO支持下成功植入29mm SAPIEN 3瓣膜,术后患者血流动力学显著改善。第二例手术对象为78岁男性患者,既往有肺癌手术史,此次因单纯性主动脉瓣重度反流就诊。面对患者主动脉严重迂曲的解剖挑战,团队采用经股动脉入路,精准植入29mm SAPIEN 3瓣膜,手术取得圆满成功,术后超声显示瓣膜功能良好,无反流。这两例手术的成功实施,再次彰显了苏州大学附属第一医院在复杂结构性心脏病介入治疗领域的领先水平。
病例一
主动脉瓣狭窄伴反流+ECMO辅助TAVR
病例资料
79岁男性患者,因“反复胸闷、气促1年余”入院。
既往史:高血压病史,自诉血压控制尚可;有心脏瓣膜病史。
心脏超声示:TAVR术后,人工瓣膜功能未见明显异常,左室壁节段性运动异常,左房左室增大,主动脉内径增宽,二尖瓣中重度反流,三尖瓣轻中度反流,左室收缩功能减退,极少量心包积液。
术前CT评估示
术前CT评估
三叶瓣,轻中度钙化,瓣叶增厚。
舒张期图像评估:瓣环面积约741mm²,折算瓣环直径30.7mm,LVOT约958mm²,折算直径34.9mm。SOV:36.5*35.1*38.7mm,窦部空间足够,瓣叶长度适中,瓣叶增厚,STJ:28.8(H)* 38.1mm (D),STJ直径和高度风险低。LCA:16.1mm,RCA:22.6mm,瓣叶长度适中,窦部空间足够,瓣环夹角60°。




模拟29mm瓣膜植入情况:

血管入路评估:入路两侧分叉高度适中,穿刺点位置尚可,直径尚可,穿刺点附近未见钙化,右侧最小均径10.2mm,左侧最小均径约9.1mm,16F可扩张鞘能顺利通过;建议右侧为主入路。

初步诊断:心力衰竭,心脏瓣膜病,轻度主动脉瓣狭窄,重度主动脉瓣关闭不全,心功能IV级,低钾血症。
手术策略
79岁男性患者,主动脉瓣狭窄伴反流,主动脉瓣环面积约741mm²,折算瓣环直径30.7 mm,LVOT约958mm²,折算直径34.9mm,冠脉堵塞风险低,窦部空间可,瓣环夹角60°,EF值极低,心功能极差,属于终末期心衰患者。经手术团队综合评估,患者属于超大瓣环,已接近S3球扩瓣的直径上限,谨慎评估锚定区间,考虑瓣叶增厚以及交接融合因素,团队认为球扩瓣强径向支撑力可以锚定;术前患者EF较低,心力衰竭,多瓣膜反流,需要尽量减少操作,快速植入瓣膜,拟在植入ECMO的情况下以右侧股动脉为主入路行经导管TAVR,术中拟植入29#SAPIEN3瓣膜,考虑到瓣环面积超过29瓣膜适用的上限,术中拟+4cc直接释放,于80/20,实现瓣上锚定,视情况选择是否后扩。
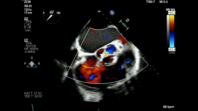
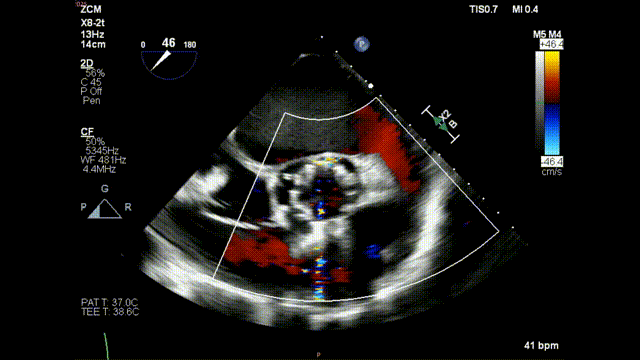
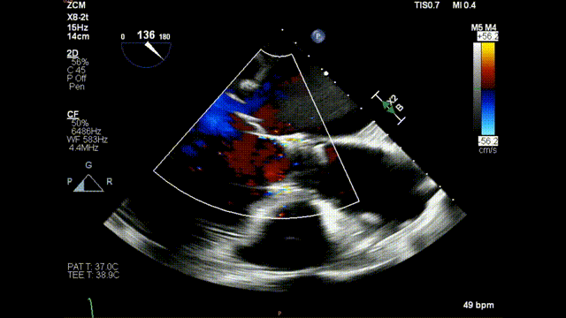
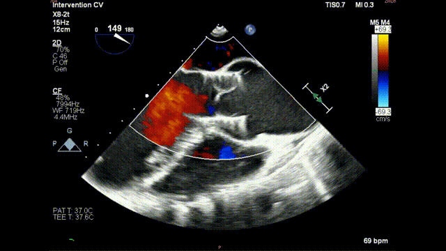
术前食道超声示:



术前食道超声-短轴color
术前食道超声-长轴color
手术过程

穿刺左侧股动脉及左侧股静脉行ECMO,穿刺右股动脉作为主入路;
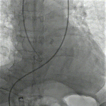
在ECMO支持下猪尾导管主动脉根部造影,并测量左心室内压力及主动脉压力的收缩压及舒张压分别为122/22mmHg、122/63mmHg;

主动脉根部造影
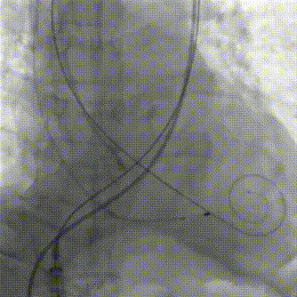
导丝成功跨瓣,经输送系统送入SAPIEN 3 29 mm瓣膜,顺利过弓并成功跨瓣;

输送系统顺利过弓
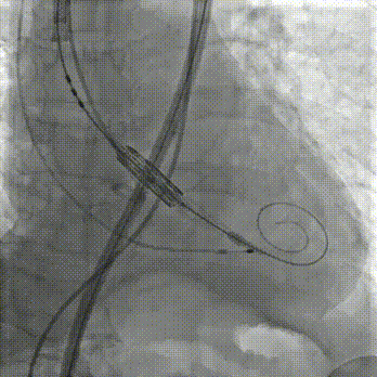
造影下瓣膜定位;

瓣膜定位
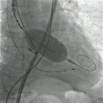
180bpm快速起搏下释放29mm SAPIEN 3瓣膜;


瓣膜释放1
瓣膜释放2
复查造影示人工瓣膜位置,功能,形态良好,左右冠状动脉灌注良好,轻度反流,人工瓣膜植入深度:90/10。TEE显示瓣中无反流,无明显瓣周漏。复查左心室、主动脉收缩压和舒张压分别为125/21mmHg、126/77mmHg;

术后造影
排除入路血管问题,手术圆满成功。
术后食道超声示:


术后食道超声-短轴
术后食道超声-长轴
术后复查心脏超声示:
TAVR术后人工瓣膜功能未见明显异常、左室壁节段性运动异常、左房左室增大、主动脉内径增宽、二尖瓣中重度反流、三尖瓣轻中度反流、左室收缩功能减退、极少量心包积液。
主动脉瓣原位可见金属支架强回声,人工主动脉瓣开放良好,支架下缘距瓣环约5.0 mm(无冠窦侧),约8.2mm(右冠窦侧),彩色多普勒示舒张期瓣周轻微反流。连续多普勒测主动脉瓣口最大血流速度2.2m/s,最大压差约20mmHg,平均压差约11 mmHg。LVEF:20%。
病例二
重度AR+主动脉重度迂曲TAVR
病例资料
78岁男性患者,因“反复胸闷气喘1年余,加重2月”入院。
1年前曾行肺结节切除术。
心脏超声示:主动脉瓣病变-主动脉瓣关闭不全(重度)、左室增大、左室壁增厚、主动脉内径增宽、少量心包积液。
主动脉左、右冠瓣回声均增强增粗,三叶式,关闭时可见裂隙,瓣环距离右冠状动脉开口为22mm,瓣环距离左冠状动脉开口显示不清,连续多普勒测收缩期主动脉瓣口最大血流速度为1.8m/s。彩色多普勒示舒张期重度反流。LVEF:62%
术前CT评估示
三叶瓣,瓣环面积约578.0mm²,折算瓣环直径27.1mm,LVOT约618.8mm²,折算直径28.1mm,SOV:46.1*42.9*43.4mm,窦部空间较大,瓣叶长度适中,瓣叶明显增厚,STJ:32.3(H)* 43.1mm (D),STJ直径和高度足够;LCA:22.6mm,RCA:22.9mm,瓣叶长度适中,窦部空间足够;瓣环夹角53°。





模拟29mm瓣膜植入情况:

血管入路评估:血管穿刺位点直径可,腹主动脉-降主动脉段接近90°迂曲。

初步诊断:主动脉瓣关闭不全,肺癌个人史。
手术策略
78岁男性患者,主动脉瓣重度反流,瓣环面积约578.0mm²,折算瓣环直径27.1mm,LVOT约618.8mn折算直径28.1mm,轻度横位心,腹主动脉-降主动脉段迂曲,同时合并心功能不全,肺癌手术,属于外手术风险高危患者。经手术团队综合评估,患者为纯反流病例,瓣叶增厚并不明显且LOVT面积更大,仅瓣叶交界有少量钙化,对瓣膜锚定径向支撑力的要求很高,经过团队反复讨论,实施模拟分析后,拟行经导管TAVR术,拟以右侧股动脉为主入路,拟入29#SAPIEN3瓣膜,术中拟+3cc释放来实现oversize22%,于80/20位置释放,通过瓣环和瓣交接钙化实现瓣膜锚定,视情况选择是否后扩。
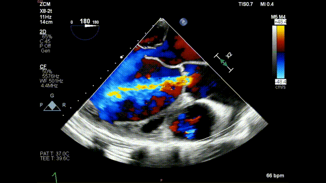
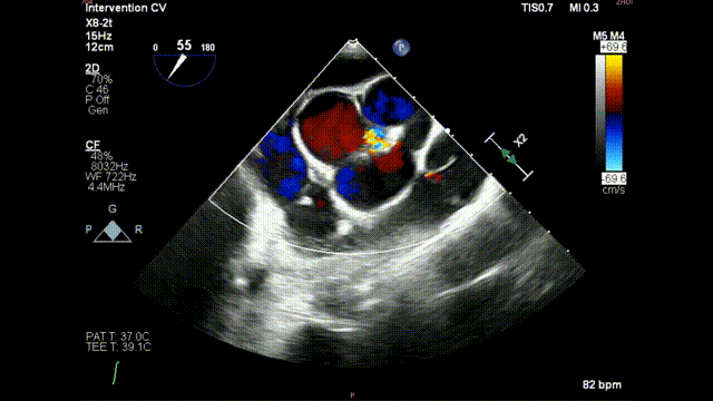
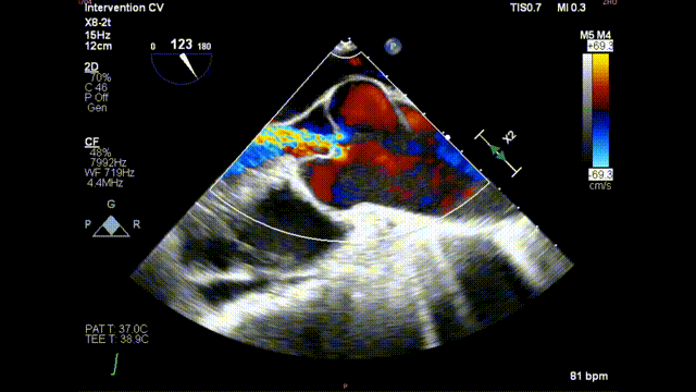
术前食道超声示:


术前食道超声-短轴 color
术前食道超声-长轴 color
手术过程

猪尾导管主动脉根部造影;

主动脉根部造影
导丝成功跨瓣,经输送系统送入SAPIEN 3 29mm瓣膜,顺利经过迂曲的主动脉段,顺利过弓并成功跨瓣;


输送系统成功穿过迂曲主动脉段
输送系统顺利过弓
造影下瓣膜定位;

瓣膜定位.
180bpm快速起搏下释放26mm SAPIEN 3瓣膜;


瓣膜释放1
瓣膜释放2
复查造影示人工瓣膜位置,功能,形态良好,左右冠状动脉灌注良好,未见明显反流及瓣周漏;

术后造影
排除入路血管问题,手术圆满成功。
术后食道超声示:


术后食道超声-短轴color
术后食道超声-长轴color
术后总结
尤为可喜的是,两位高危患者术后恢复良好,血流动力学指标显著改善,这既体现了团队在围术期管理方面的丰富经验,也再次验证了TAVR技术在高龄高危患者、超大瓣环患者中的独特优势,为类似复杂病例提供了宝贵的治疗范本。
注:本文仅代表专家的个人观点,旨在促进学术信息的沟通和交流,仅供医疗卫生专业人士参考。本文所涉医疗器械的完整描述信息,包括适应症、禁忌症、警告、注意事项,详见说明书。
注释:
产品名称:经导管主动脉瓣膜系统(注册证编号:国械注进20203130291)。