

自Symplicity Spyral™ RDN系统落地中国以来,我国临床医生已在RDN规范化开展与患者全程管理方面积累了宝贵的本土实践经验。为此,我们特推出“精兵强降-RDN病例荟”专栏,旨在通过病例交流,共同提升手术技术、优化患者筛选、深化学术认知,进一步传递RDN的临床价值。
患者难治性高血压合并冠心病,术前24H动态血压136/93,药物负荷30,术后24H动态血压降为118/78,药物负荷将为0.5。本期由兰州大学第二医院梁伟教授为大家带来病例分享“RDN+PCI 一站式解决患者冠心病和高血压困扰”。
术前思考
RDN如何在高血压患者中发挥最大的作用?
难治性高血压合并冠心病患者,RDN+PCI一站式手术,一步解决患者冠心病及高血压困扰
术中思考
RDN的目标人群:ASCVD极高危人群,靶器官损害明显,血压难以控制;
术后思考
RDN+PCI可能是未来常规的心血管一站式手术策略;
患者基本情况
姓名:Z某
性别:男
年龄:39岁
身高:180cm
体重:102kg
患者主诉
发现血压升高3年余,间断胸闷气短1月
现病史
入院前3年时体检发现血压升高,为“180/130mmHg”,间断测量血压波动于“110-170/80-100mmHg”,血压升高时无特殊不适。1年前就诊于我院门诊,使用“厄贝沙坦氢氯噻嗪150/12.5mg Qd+苯磺酸氨氯地平10mg Qd+琥珀酸美托洛尔缓释片47.5mg Qd”治疗,血压平素控制欠佳,近1月出现活动后胸闷气短,再次就诊。
既往史
糖尿病3年,规律服用二甲双胍控制血糖,血糖控制不详。
家族史
高血压家族史。
长期生活于兰州,作息规律,无吸烟、饮酒史。
入院初步诊断
高血压病3级
心功能I级
2型糖尿病
可疑冠心病观察
肥胖
体格检查
T:36.6℃
BP:155/82mmHg
P:101次/分
R:22次/分
BMI:31.5Kg/㎡
胸腹部查体未见明显异常
当前降压治疗方案
生活方式干预
严格戒烟戒酒
严格控制饮食盐油摄入
降压药物治疗
苯磺酸氨氯地平 10mg QD
厄贝沙坦氢氯噻嗪 150/12.5mg QD
琥珀酸美托洛尔缓释片 47.5mg QD
辅助检查
血常规,粪常规,甲功五项,传染病全套均正常,尿常规(尿蛋白1+)心率:101 bpm;
ECG:大致正常心电图;
24h动态心电图:总分析时间23h 59min,全程窦性心律,总心搏132452个,平均心率91bpm。
胸部正位片:心、肺、膈未见明显异常;

高血压诊断


病因筛查
1.高血压成因:肾血管性高血压筛查


诊断结果
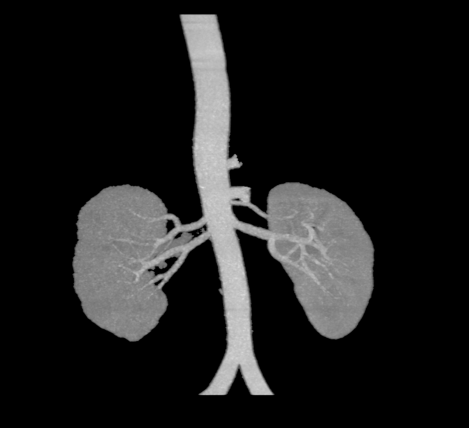
双侧副肾动脉;
双右侧肾上腺大小形态如常,其内外侧支无增厚及结节影,肾上腺周围脂肪界面清楚;
双肾盏见斑点状高密度影;
排除肾血管性高血压
2.高血压成因:阻塞性睡眠呼吸暂停综合筛查


诊断结果:阻塞性睡眠呼吸暂停
3.高血压成因:原发性醛固酮增多症筛查


诊断结果:
肾上腺CT未见异常
患者血钾、肾素、醛固酮、ARR正常
排除原发性醛固酮增多症
4.高血压成因:其他内分泌性高血压筛查

诊断结果:
甲功正常
排除内分泌性高血压
病因筛查
1. 心脑血管危险因素评估:心功能

诊断结果:
室间隔及左室壁轻度增厚
左心轻度增大
左室功能正常
肺动脉压正常范围
三尖瓣反流(1+)
提示高血压靶器官损伤
2. 心脑血管危险因素评估:肾功能

诊断结果:
eGFR:74.8
提示高血压靶器官损伤
3.心脑血管危险因素评估:脑功能

诊断结果:
左侧劲动脉内-中膜增厚
提示高血压靶器官损伤
4.心脑血管危险因素评估:冠脉CTA

诊断结果:
LAD (7段) 管壁混合斑块,管腔轻度狭窄;
D1 (9段) 管壁局限性非钙化斑块,管腔重度狭窄;
LCX(13段)管壁节段性混合斑块,管腔中度狭窄;
RCA(1段)管壁局限性非钙化斑块,管腔轻度狭窄。
提示高血压靶器官损伤
初步治疗策略:
患者暂不考虑手术治疗,要求药物治疗后出院。
诊断:
难治性高血压
冠状动脉粥样硬化型心脏病
心功能I级
2型糖尿病
高脂血症
肥胖
药物治疗方案:
阿司匹林肠溶片 100mg QD
替格瑞洛片 90mg BID
瑞舒伐他汀钙片 10mg QN
苯磺酸氨氯地平片 10mg QD
琥珀酸美托洛尔 47.5mg QD
厄贝沙坦氢氯噻嗪 150/12.5mg QD
乌拉地尔 30mg BID
达格列净 10mg QD
二甲双胍 0.5g BID
司美格鲁肽 0.5mg QW
调整药物治疗方案1月后复诊:

24h动态血压:
24小时:136/93 mmHg,HR 77 bpm
白天清醒时段:136/94 mmHg,HR 80 bpm;
夜间睡眠时段:141/104 mmHg,HR 86 bpm
RDN+PCI治疗
1. RDN治疗围手术期管理
药物方案:肝素5000IU,1小时追加5000IU ,备硝甘等
麻醉方案:镇静+镇痛
造影剂方案:非离子型造影剂50:50稀释
其他:术后双抗
2.造影检查
冠脉造影

LCX中段90%狭窄
LAD弥漫粥样硬化
左侧肾动脉造影

左肾动脉未见明显狭窄
副肾动脉
右侧肾动脉造影

右肾动脉未见明显狭窄
副肾动脉
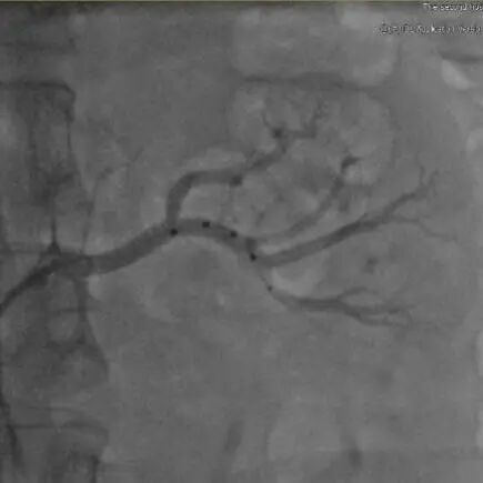
3.基于肾动脉解剖结构的器械选择

解剖特点及器械选择:患者左右肾动脉分支相对迂曲,为了达到更好的降压原则,本着“应消尽消”的原则,选择通过性较好的4F Symplicity Spyral™多级肾动脉射频消融导管,以及6F Launcher RDC导管(55cm).
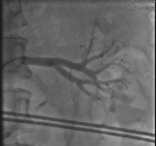
4.手术策略:左侧消融主干+分支+副肾动脉;右侧消融:主干+分支)
左侧肾动脉及副肾动脉消融
右侧肾动脉及副肾动脉消融

左肾动脉交感神经消融:
主干+分支+副肾动脉
消融点数:35

右肾动脉交感神经消融:
主干+分支+副肾动脉
消融点数:35
5.RDN治疗总结

左侧肾动脉术后造影

右侧肾动脉术后造影
治疗过程:
左肾有效消融: 35点
右肾有效消融: 35点
副肾动脉有效消融:19点
手术时长: 75 min
造影剂用量: 150 ml
*手术时长:消融导管首次进入至撤出时间
6.PCI治疗总结



冠状动脉血运重建:LCX药物球囊PTCA
复查随访
1.术后诊室血压趋势图

2. 血压随访评估和术后药物管理
24小时动态血压
术前:136/93 mmHg
治疗后1月:113/71 mmHg
治疗后3月:118/78 mmHg

术后血压趋势图
药物负荷
术前:
苯磺酸氨氯地平片 10mg QD
琥珀酸美托洛尔 47.5mg QD
厄贝沙坦氢氯噻嗪 150/12.5mg QD
乌拉地尔 30mg BID
治疗后1月: 113/71 mmHg
琥珀酸美托洛尔 47.5mg QD
厄贝沙坦 150mg QD
治疗后3月: 118/78 mmHg
厄贝沙坦 75mg QD

药物负荷变化趋势
3.术后3月随访评估

诊断结果
治疗后3月;
术后 eGFR 113.1 mL/min;
Symplicity Spyral™降压治疗后,患者肾功能稳定
4,肾功能随访评估

诊断结果:
治疗后3月尿肾功检查