
近日,陕西省康复医院在结构性心脏病微创介入治疗领域实现重要突破,由心血管内科巩晓宏教授统筹引领,联合超声科、麻醉科团队通力协作,应用中国首个“中欧双认证”创新原研DragonFly™经导管二尖瓣夹系统(以下简称DragonFly™),成功开展本院首例 DragonFly™经导管二尖瓣缘对缘修复术(TEER),为高龄二尖瓣反流患者带来精准微创治疗方案。该病例存在多重治疗难点,患者多区域存在巨大反流束,后叶室性栓系且房间隔具有膨出瘤,手术复杂性显著增加。

病例简介
患者为83岁男性,因反复胸闷、气短、活动耐量显著下降就诊,经详细检查确诊为重度二尖瓣反流。该患者既往有 10 余年冠心病及高血压病史,同时合并慢阻肺、腔隙性脑梗死等基础疾病;传统开胸手术存在创伤大、恢复慢的特点,手术风险极高。
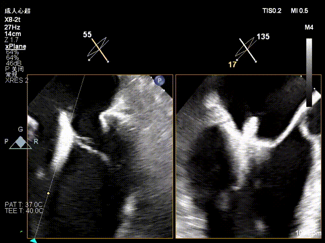
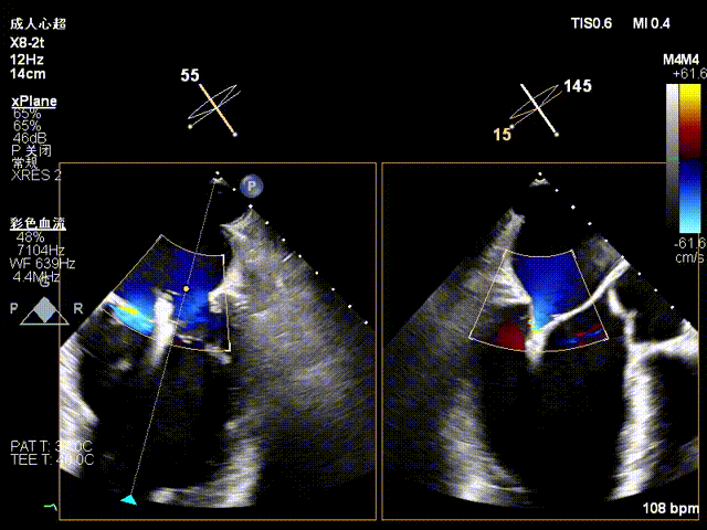
术前影像

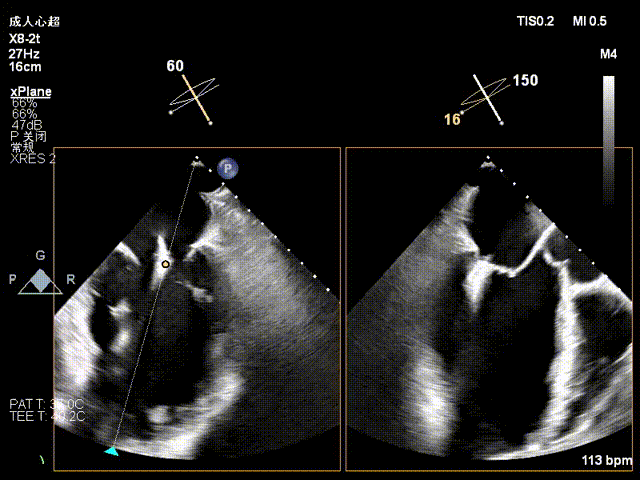
术前Commissural 切面

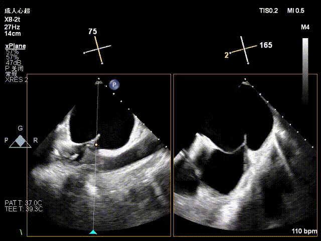
术前X-plane

术前X-plane上彩

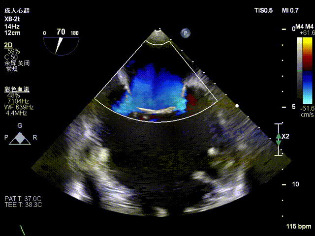
术前3D切面

术前3D上彩

房间隔左向右膨出
病例难点
1、1区到3区多中央反流束组成的宽度超过25mm的巨大反流束,需要评估多夹治疗可能;
2、后叶室性栓系,质地菲薄,瓣叶精准捕获的难度增大;
3、房间隔存在膨出瘤,房间隔穿刺的难度增大。
手术策略
针对这一复杂病情,巩晓宏教授团队经多学科充分研讨制定个性化治疗策略,决定优先在 2 区植入 1 枚 XW0612 型 DragonFly™二尖瓣夹,通过改善后叶栓系状态增加前后叶对合度,再根据术中残余反流、跨瓣压差等指标动态调整方案。
手术过程
手术中,团队精准实施房间隔穿刺(穿刺点靠后靠上,高度达 4.5cm),依托 DragonFly™器械三段式导管设计与刻度化调节优势,使器械精确抵达中央 2 区。在 X-plane 切面引导下,将夹子轴向 M\L 垂直瓣环平面、A\P 调整至 12 点钟方向,经弹道测试指向心尖后,采用 “优先独立捕获前叶、再针对性解决栓系后叶” 的操作思路,逐步关闭夹子释放瓣叶张力,有效规避瓣叶撕裂风险,成功完成单枚长宽二尖瓣夹植入。
术后即刻超声评估显示,患者二尖瓣反流由术前重度降至微量,跨瓣压差仅 3mmHg,肺静脉逆流完全消失,手术达到预期效果。
手术过程

术中:房间隔穿刺

穿刺高度4.5cm

于2区植入一枚XW0612夹

弹道测试

3D确认轴向

独立捕获前叶

再捕获后叶

释放瓣膜夹

释放后评估反流

组织桥稳定

M侧残余微量反流

术后压差3mmHg
此次首例DragonFly™经导管二尖瓣修复术的成功开展,标志着陕西省康复医院在结构性心脏病介入治疗领域迈出关键一步,实现了复杂二尖瓣病变微创治疗的重要突破。巩晓宏教授在术后强调:“感谢医院各层对心血管内科开展TEER这项新技术的大力支持与信任,提供资源调配、平台搭建、学术保障等方面的坚实后盾,我们才能顺利在技术领域实现突破与成长,未来我们将继续秉持严谨务实的医疗态度,深耕TEER技术创新与临床应用,不断提升诊疗水平与服务质量,以更优质的医疗成果回报医院的支持,为广大瓣膜病患者带来更安全、高效的治疗方案。”

扫码进入【德晋】DragonFly™经导管二尖瓣夹系统 学术专栏