
纯经胸超声心动图引导无导线
心脏起搏器植入术
零射线守护孕妇胎儿“双心”安全
当妊娠遇上心脏传导异常,如何在规避辐射风险、保障母婴安全的前提下,实现精准起搏治疗?
近日,中国医学科学院阜外医院潘湘斌教授团队,依托“超声引导零射线心脏病介入技术体系”,创新采用经胸超声心动图引导技术,为一例35岁妊娠合并二度II型房室传导阻滞患者,成功植入无导线心脏起搏器。手术全程无X线辐射、无造影剂使用,术后患者恢复良好,不仅为妊娠特殊人群心律失常治疗提供了优质范本,更彰显了经胸超声在无导线起搏领域的独特优势,首次在孕妇体内实现“入路安全(结构)”与“参数满意(电生理)”的融合示范。

病史简介
患者为35岁女性,处于孕16周妊娠关键时期,既往有先天性心脏病手术史。因反复出现心悸、乏力症状于门诊就诊,临床诊断为二度II型房室传导阻滞,心脏超声检查提示先天性心脏病术后,各房室腔内径正常,左室射血分数 67%。虽心功能良好,但房室传导阻滞可能导致孕期心律失常加重,影响母体供血与胎儿发育。考虑到患者妊娠状态对辐射的高度敏感性,传统X线引导下的起搏器植入术存在潜在风险,且术后恢复可能影响妊娠进程,经多学科会诊后,决定实施“经胸超声心动图引导无导线心脏起搏器植入术”这一创新治疗方案。
手术策略与技术优势
针对患者妊娠状态,团队以“安全微创、精准高效”为核心,选用创伤更小的无导线心脏起搏器,可规避传统经静脉有导线起搏器存在的囊袋出血、感染等潜在风险,且无切口避免疤痕满足年轻女性的爱美需求;同时全程采用超声心动图引导,精准规划股静脉穿刺路径与起搏器植入位置,替代传统X线引导,其技术优势在本次手术中尤为突出:
1.零辐射保障:经胸超声心动图无需电离辐射,从根本上避免了X线对孕妇及胎儿的潜在危害,也减少医护人员辐射暴露,契合妊娠患者的安全需求;
2.实时动态监测:术中可清晰显示股静脉走行、心脏结构、瓣膜形态及起搏器位置,动态观察心功能变化,指导血管入路穿刺,帮助术者精准调整导管角度与起搏器释放位置,大幅降低动静脉瘘、心脏穿孔、心包积液等并发症风险;
3.操作便捷高效:无需复杂的辐射防护设备或造影剂准备,手术流程更简化,适应不同临床场景,尤其适合急诊或特殊人群治疗;
4.减少手术费用:相比其他放射性影像技术,经胸超声心动图检查成本更低,减轻患者经济负担;
5.拓宽适用边界:不仅为孕妇这类不能耐受辐射的人群开辟治疗路径,同时术中无需使用含碘造影剂,也为合并特殊基础疾病的患者,例如肾功能不全或造影剂过敏的患者,提供了全新且安全可行的治疗方案,打破传统技术的适用局限。
本次手术首次于妊娠期患者以经胸超声切面下同步确认入路安全性与起搏参数达标,完成无导线起搏器植入。
手术过程
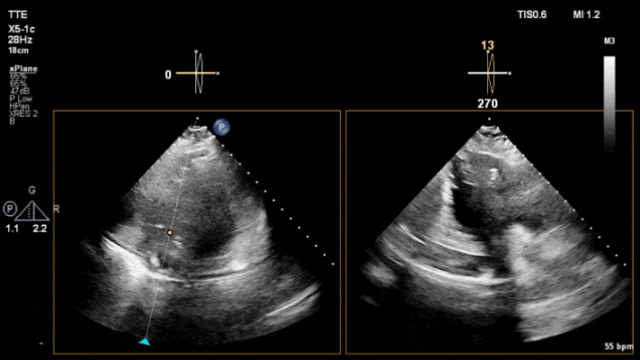
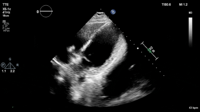
经胸超声心动图实时显示下,团队通过超声引导穿刺右侧股静脉建立血管通道,借助特殊的超声专用引导丝辅助无导线起搏器递送系统在体内清晰定位,随后通过超声引导下不断调整无导线起搏器递送系统,最终将无导线起搏器精准输送至右心室低位间隔处。超声屏幕清晰捕捉到起搏器与心内膜的贴靠状态。

Video1:心尖四腔心切面(双平面)引导下调整无导线起搏器递送系统头端贴靠室间隔并给予一定的张力使递送系统在右心室内形成凸向游离壁的弧度(相当于X线下的“鹅颈征”)

Video2:心尖四腔心切面(非标准)-牵拉测试确认起搏器锚定的稳定性及心包情况
术中实时监测起搏信号、感知功能及患者生命体征,各项指标均符合预期。手术操作规范有序,全程无并发症发生,历时不足40分钟,而且创伤小,充分体现了经胸超声心动图引导下植入无导线起搏器的操作优势。术后即刻进行超声复查,显示起搏器位置良好,心功能未见异常。术后心电图提示心房感知、心室起搏,房室同步性良好(心电图见图1)。

图1:患者术后心电图提示心房感知、心室起搏,房室同步性良好
术后总结
本例手术的成功,是“经胸超声心动图引导技术+无导线起搏器”在妊娠特殊人群中的一次完美实践,更是“结构-电生理融合”理念首次在孕妇无导线起搏治疗领域落地。潘湘斌教授团队首创了有别于传统技术的超声引导下心脏介入手术体系,目前已完成超声引导下的各种先天性心脏病介入手术以及瓣膜疾病介入手术,目前正在逐步攻克超声引导下心律失常介入手术的技术难关。
凭借着团队丰富的临床经验和技术创新意识,不仅解决了孕妇妊娠合并房室传导阻滞的治疗难题,更充分验证了经胸超声心动图引导技术的安全性与优越性——其无辐射、实时监测、操作便捷的特点,完美契合特殊人群的治疗需求;同时,无导线起搏器的应用,既规避了传统有导线起搏器给妊娠患者未来带来的潜在风险,又实现了精准、稳定的起搏治疗,保障了患者孕期心脏功能稳定与母婴安全。此次“结构-电生理融合”术式为全球孕龄期心律失常患者提供了可复制、可推广的“中国方案”。
目前患者病情平稳,孕期检查显示母婴状态良好。此次治疗经验,不仅为妊娠合并心律失常患者提供了更安全的治疗选择,更推动了超声引导及无导线起搏技术在特殊人群中的应用普及,为我国心血管微创治疗领域的规范化、精准化发展注入新动能。
转自:阜外医院结构性心脏病中心