一字畅行丨浙江大学医学院附属第一医院心内科郭晓纲教授团队应用NeoNova® 精准完成两例不同区域复杂二尖瓣脱垂TEER修复


     

近日,浙江大学医学院附属第一医院心内科 郭晓纲教授、周逸蒋副主任医师团队在心血管超声中心王开立医生的食道心超指引下 连续完成两例高难度经导管二尖瓣缘对缘修复术(TEER)。两例患者分别为75岁男性和67岁女性,术前均诊断为二尖瓣脱垂伴重度反流,且合并冠心病、心功能不全等多项高危因素。


术中,团队充分发挥NeoNova ® 器械独特的“一字型”延展设计与灵活操控性能,在两例不同解剖特征的病例中均实现精准跨瓣与稳定捕获。病例一针对2区前叶大范围脱垂伴后叶栓系,采用双C6夹合器由外向内分步修复;病例二针对1区脱垂累及外交界的复杂结构,同样通过双C6夹合器协同植入完成修复。两例患者术后反流均降至微量,平均跨瓣压差分别保持在3mmHg和1mmHg的理想水平。


此次连续两例复杂病例的成功,不仅体现了浙江大学医学院附属第一医院心内科在结构性心脏病介入治疗领域的综合技术实力,也进一步验证了NeoNova ® 器械在应对不同部位二尖瓣脱垂病变中优秀的通过性、操控性与修复效果。


病例一


患者概况


75岁男性患者,因“胸闷气促1月余”入院。心脏超声提示二尖瓣前叶脱垂伴重度反流,左心增大;心电图示心房颤动。


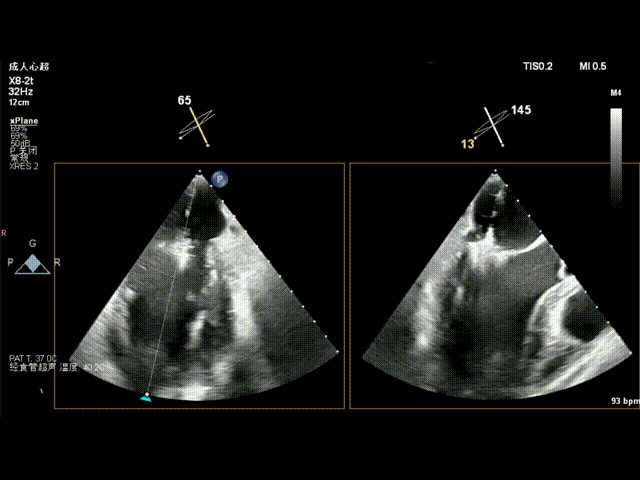
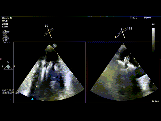
术前食道超声示: 二尖瓣2区前叶大范围脱垂伴后叶栓系。


     
     

术前食道超声-2D血流

术前食道超声-3D血流


手术策略


患者为75岁男性,二尖瓣2区前叶脱垂伴重度反流、后叶栓系明显,同时合并心功能不全,心律失常等复杂情况,外科手术风险高。郭晓纲教授团队综合评估患者病情、与家属充分沟通后,决定为患者实施经导管二尖瓣缘对缘修复术(TEER)。术中先选择一枚NeoNova ® C6夹合器于2区进行夹合,尽量将脱垂瓣叶全部夹持,再根据残余反流及压差情况评估是否植入第二枚C6夹合器。


手术过程


在超声引导下穿刺房间隔,穿刺高度为4.45cm,成功建立工作路径。将NeoNova ® C6夹合器沿输送系统送入左房,通过器械调弯使夹合器精准指向瓣环。夹合器于2区主要脱垂处测试弹道成功后,打开夹合器调整Orientation为6-12点方向,随后器械延展“菱形跨瓣”。瓣下确定反流束位置,夹合器向上托起病变区域前后瓣叶,C lasp down顺利捕获,确定瓣叶张力安全后关闭夹合器。超声可见夹合器偏内侧瓣叶仍存在少量脱垂,遂决定side-by-side植入第二枚C6夹合器。


     
     

第一枚夹合器调整orientation

第一枚夹合器夹合


     

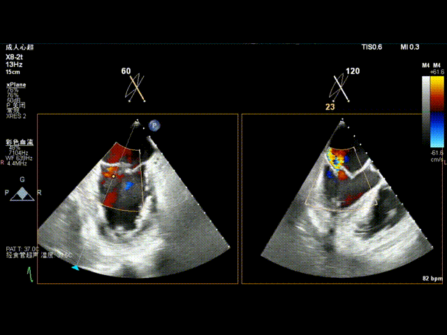
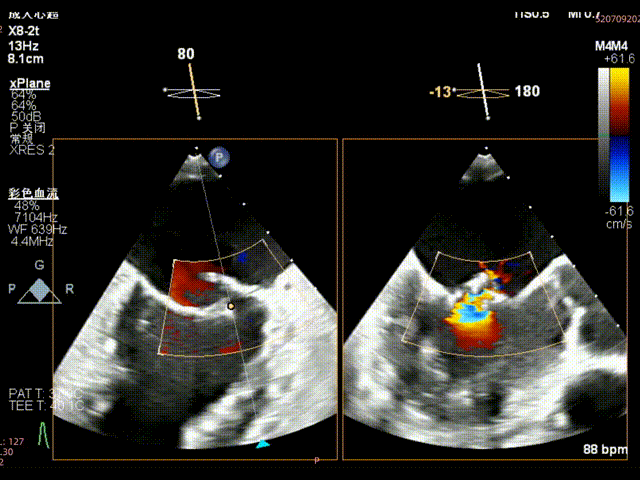
第一枚夹合器夹合后2D血流


送入第二枚NeoNova ® C6夹合器位置于2区内侧残余脱垂处,顺利捕获前后瓣叶,关闭夹合器后食道超声3D界面评估组织桥稳定,残余脱垂消失,未见明显反流。


           

第二枚夹合器调整orientation

           

第二枚夹合器夹合


           

第二枚夹合后2D血流


撤出系统后复查食道超声示: 瓣叶钳夹稳定度良好,脱垂消失,未见明显反流,测量平均压差3mmHg,肺静脉逆流消失。达到预期介入效果,手术成功。


     
     

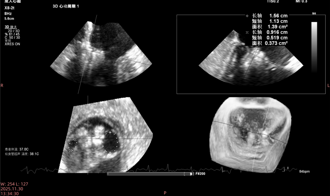
平均压力梯度

术后瓣膜的开口面积


       

术后DSA


病例二


患者概况


67岁女性患者,因“活动后胸闷气急10余年,复发2月”入院。


心脏超声提示二尖瓣C1区(累及P1)脱垂伴重度关闭不全,腱索断裂可能,二尖瓣后叶瓣环钙化,左房增大,主动脉瓣退行性变伴少量反流,三尖瓣少量反流。心电图提示心房颤动。


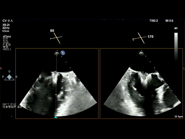
术前食道超声示: 二尖瓣重度反流,1区脱垂并累及外交界。


     
     

术前食道超声-2D血流

术前食道超声-3D


   

术前食道超声3D血流


手术策略


患者为67岁女性,二尖瓣脱垂伴重度反流,脱垂区域主要为1区并累及交界区,同时合并心功能不全等复杂情况,外科手术风险高。郭晓纲教授团队综合评估患者病情、与家属充分沟通后,决定为患者实施经导管二尖瓣缘对缘修复术(TEER)。术中拟将第一枚C6夹合器紧靠外交界,根据残余脱垂,反流及压差,再评估是否植入第二枚C6夹合器。


手术过程


在超声引导下穿刺房间隔,成功建立工作路径。将NeoNova ® C6夹合器沿输送系统送入左房,通过器械调弯使夹合器精准指向瓣环,调整轴向后将其延展为“一字型”顺利 跨瓣,打开夹合器调整Orientation,调整夹合器位置于1区偏外侧外交界处,定位后 Clasp 捕获瓣叶,注意瓣叶张力,缓慢收紧 Paddle ,超声可见1区偏内侧仍存在少量脱垂,遂决定于1区内侧处植入第二枚C6夹合器。


     
     

第一枚夹合器调整orientation

第一枚夹合器夹合


   

第一枚夹合器夹合3D血流


调整第二枚NeoNova ® C6夹合器orientation,将其送至1区内侧残余脱垂处,定位后 Clasp 捕获瓣叶,注意瓣叶张力,缓慢收紧 Paddle ,食道超声3D界面评估组织桥稳定,可见脱垂基本消失,未见明显反流来源。


     
     

第二枚夹合器调整orientation

第二夹夹合


   

第二枚夹合器夹合后3D血流


撤出系统后复查食道超声示: 瓣叶钳夹稳定度良好,脱垂消失,未见明显反流,测量平均压差1mmHg,肺静脉逆流消失。达到预期介入效果,手术成功。


       
       

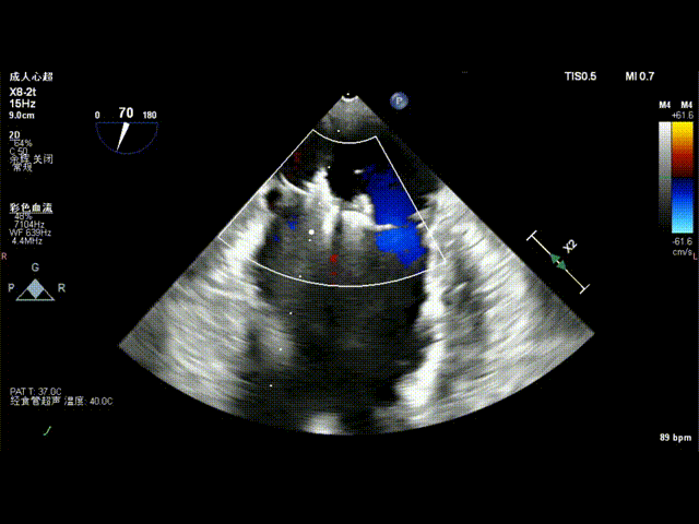
术后食道超声-2D血流

平均压力梯度


       

术后DSA


术者评价


郭晓纲教授 指出 ,这两例复杂二尖瓣反流TEER手术的成功,充分展现了“一字畅行”技术在应对不同解剖结构病变中的独特价值。病例一为2区前叶大范围脱垂伴后叶栓系,病例二为1区脱垂累及外交界,两例均存在瓣叶活动度大、对合关系复杂的挑战。团队通过灵活运用NeoNova ® 夹合器的“一字型”延展特性,有效规避了瓣下腱索干扰,实现了在有限空间内的精准跨瓣与稳定定位。这两例手术的成功经验表明,NeoNova ® 系统在处理不同区域、不同机制的复杂二尖瓣病变中具有广泛的适应性。其“一字畅行”的设计理念不仅提高了手术操作效率,更为高难度TEER手术提供了可靠的技术保障,展现了国产创新器械在结构性心脏病介入治疗领域的先进水平。


阅读数: 3229