预装干瓣ProStyle A®全国首批植入|宁夏医科大学总医院成功完成全球首款预装干瓣ProStyle A®临床应用


初冬的塞上大地,贺兰山脉覆着薄霜,黄河之水仍漾着温润波光,苍茫辽阔的西北风光里,藏着独有的坚韧与温情。这片孕育了西夏文化、承载着丝路底蕴的热土,自古便有着守望相助的人文情怀,而守护生命安康,更是这里医者们从未动摇的使命。在这片土地的医疗高地 宁夏医科大学总医院, 刘旭东教授、李晓东教授、张玉京教授 组成的心脏瓣膜专家团队,近日以一场高难度的创新手术,为心血管疾病患者点亮了新生希望 —— 成功完成全球首款预装干瓣 ProStyle A ® 的全国首批临床植入。


此次手术的患者病情特殊,不仅 主动脉瓣中度狭窄合并中 - 重度关闭不全、瓣叶增厚 ,还曾接受二尖瓣位机械瓣植入术,瓣膜 锚定难度极大 。团队历经多轮严谨评估,最终敲定采用 ProStyle A ® 介入治疗方案,凭借精湛医术与周密预案精准完成瓣膜释放。这场手术的成功,标志着医院在结构性心脏病介入治疗领域迈入全生命周期管理新阶段,也成为国产创新器械与临床智慧深度融合的重要里程碑。


   


临床之声


     

刘旭东教授

宁夏医科大学总医院

传统戊二醛保存的瓣膜,长期使用中易因组织钙化、柔韧性下降导致功能衰减。 但 ProStyle A ® 的优势在于两点:一是金仕生物的专利抗钙化技术,通过纳米级工艺去除组织内细胞碎片与磷脂,同时封闭游离醛基 —— 这相当于从源头阻断了引发瓣膜钙化的‘关键诱因’;二是干式存储技术,最大程度保留了心包组织原有的亲水亲油平衡,让瓣叶始终维持天然的曲柔性,确保长期开合功能稳定。对像此次手术这样的心功能受损患者来说,这种‘抗钙化 + 保柔韧’的双重设计,意味着瓣膜能更长时间地维持正常功能,减少二次干预的风险,真正实现‘一次植入,长期获益’,这正是全生命周期管理理念在器械选择上的核心体现。”


患者病史


主诉: 反复胸闷气短2月余


术前超声提示: 二尖搬位机械置换术后,功能未见明显异常,瓣周返流(轻-中度)


主动脉瓣狭窄(中度)并关闭不全(中-重度)VP:3.3mm/s,PG:45mmHg


三尖瓣返流(轻度)


左房显著增大左室明显增大主肺动脉增宽


左室收缩功能明显减低


     


术前CT


三叶瓣,瓣叶增厚轻度钙化,主动脉根部直径27.8mm,LVOT直径34.7mm。


双侧冠脉开口高度尚可,左右冠切线角度测量右冠瓣叶长于冠脉开口上缘到根部距离,瓦氏窦偏大。


左室腔扩大,EF较低,有一定循环崩溃风险,主动脉瓣环水平夹角52.7度,非横位心患者,主动脉弓宽度、角度可;二尖瓣机械瓣(横列式)置换术后AV-MV夹角130度,距离主动脉瓣虚拟瓣环6.67mm。


外周走行尚可,全主动脉基本无钙化,右股低分叉,血管内径可,血管内壁存在纤维增厚。右侧为主入路能够支持20F大鞘通过。


   


   


   


   


手术策略


右侧股动脉为主入路, 预装ProStyle A ® AV32 主动脉瓣膜,使用20F大鞘,不预扩,建议最终理想释放位置0-瓣下2mm。


手术过程


在右股动脉穿刺建立通路后,将右冠送入冠脉保护,后顺利送入大鞘,经食道超声及血管造影确认路径稳定,将ProStyle A ® AV32号瓣膜精准释放于目标位置(瓣下2mm),超声显示无瓣周漏,平均跨瓣压差4mmHg,心功能明显改善,患者生命体征平稳。


     

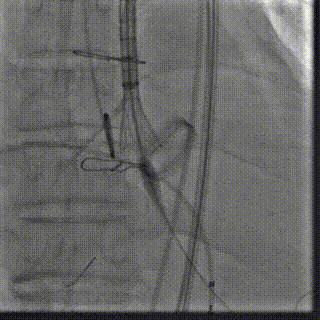
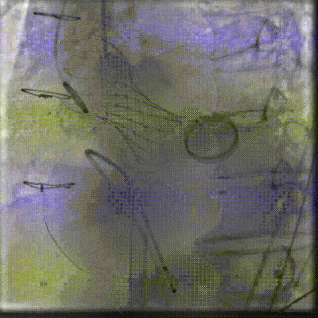
右冠保护 同时主动脉根部造影

     

定位


     

缓慢释放瓣膜

     

最终造影,位置形态良好,冠脉充盈良好


术后超声: 显示瓣膜呈现较好的圆形,最大流速133cm/s,平均跨瓣压差显著降低至4mmHg,瓣周无反流。


   


ProStyle A ® 预装干瓣——助力临床最优化解决方案:


平衡径向支撑力: ProStyle A ® 瓣架网孔比例按照病例解剖结构的特殊设计,使瓣膜在狭窄最重的地方良好的撑开, 同时避免对瓣环及周边组织的过度压迫,有效降低传导阻滞风险。


精准释放: 底部桶状设计更易迅速锚定,协同释放张力小,助力最终精准释放;


80%可回收设计: 对于复杂解剖结构的患者,提供更充分的调整窗口,显著提升释放安全性与精准度并且80%可回收设计在释放过程中给予术者充分的容错空间。


预装干瓣 便捷顺安: 金仕生物专利抗钙化技术运用纳米技术去除组织内的细胞碎片和磷脂,封闭游离醛基,从根本上阻断了瓣膜钙化的多项因素,显著提升了瓣膜的耐久性;同时,相比较传统戊二醛保存方式,干式存储最大限度的保留心包的亲水亲油平衡,还原组织天然曲柔性,进一步保障了瓣叶开合,保证长期耐久性。


阅读数: 1154