
近日,重庆医科大学附属第一医院心内科罗素新主任、向睿副主任团队完成一例复杂性重度MR合并重度TR一站式手术病例,术中采用经导管三尖瓣环修复(K-Clip®)和经导管二尖瓣缘对缘(MitraClip-TEER)顺利完成手术。患者为继发性二尖瓣重度反流(二尖瓣后叶栓系,二尖瓣重度反流),三尖瓣极重度关闭不全,病情危重。其二尖瓣及三尖瓣解剖结构均符合手术条件。患者心衰症状严重,静息时出现喘累活动后加重,双下肢水肿。急需行二尖瓣及三尖瓣介入治疗,在经多学科MDT充分讨论后结合患者意愿,决定为该患者实施经导管三尖瓣环修复(K-Clip®)手术,同期开展经导管二尖瓣缘对缘(MitraClip-TEER)手术,一站式为患者解决二尖瓣反流及三尖瓣反流,纠正心衰。最终凭借心内科罗素新主任、向睿副主任专家团队高水平手术操作,在心脏超声董倩教授、麻醉科吴彬教授及手术室相关医生的通力配合下顺利完成手术。 术后患者二尖瓣及三尖瓣反流降至轻度,心衰症状明显改善。
患者基本信息
姓名:荣**,性别:女性,年龄: 83岁。
主诉:静息时出现喘累,活动后加剧4+月,近期加重,夜间阵发性呼吸困难,双下肢水肿。
入院后超声诊断:二尖瓣重度反流(4+);三尖瓣重度反流;心力衰竭;左房、右心增大。
三尖瓣术前评估
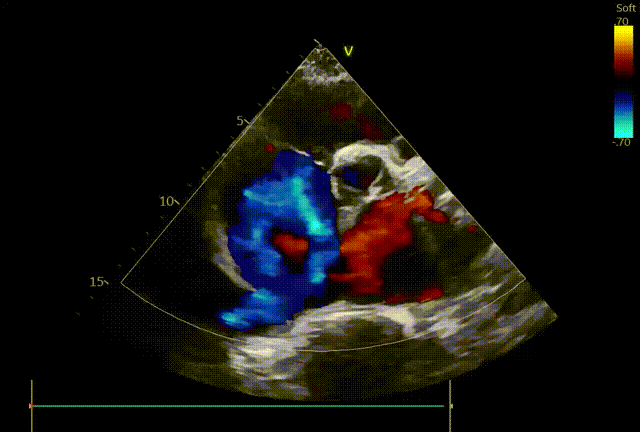
术前食道超声评估:三尖瓣重度反流,FTR6+,反流位于前隔、中央,后隔。瓣叶粘液样变性,后隔可见4.6mm gap。



术前CT评估:三尖瓣周长17.8cm,面积24.5cm²,隔侧径56mm,前后径57mm,收缩期测量冠脉最近1.6mm。右冠偏心房侧。

手术策略
对患者三尖瓣瓣环和右冠跟瓣环距离等完成多维度评估后,充分结合其病变特点与解剖结构细节,确立以双夹K-Clip®植入为核心的精准治疗方案。手术操作中,16T型号K-Clip®植入三尖瓣后隔瓣环偏隔瓣处,16T型号K-Clip®则植入前后交界处。该术式通过双点定位植入的精准操作,可有效缩减三尖瓣瓣环直径、提升瓣叶对合效能,从解剖学层面直接纠正三尖瓣反流,为患者术后顺利恢复提供关键的结构支撑。
K-Clip®手术过程
麻醉后基线反流

1. 第一套16T夹子指向三尖瓣后瓣环处


2. 攻入锚定螺丝:螺丝攻入三尖瓣环处

3. 准备夹合:调整Orientation后着陆,准备夹合后隔交界偏后瓣


4. 夹合后反流评估


5. 第二套器械同样操作,解离后RCA血流通畅




手术效果评估
反流评估:术前6+下降至1+


术后
二尖瓣术前评估
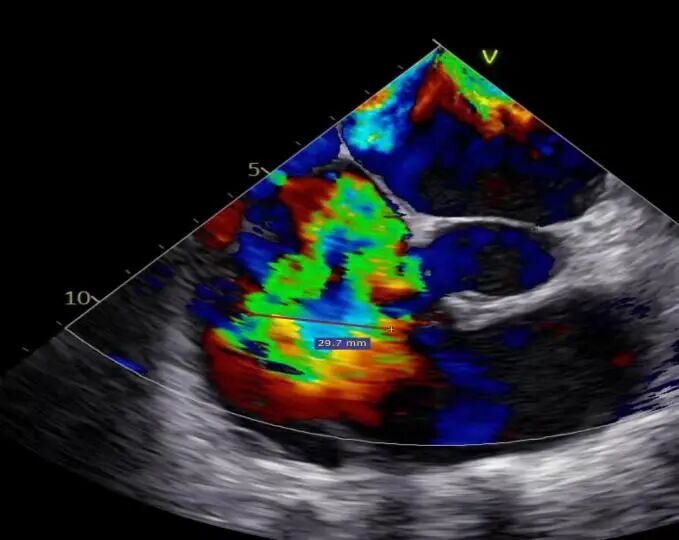
复查TTE及TEE检查进一步评估二尖瓣情况。明确为FMR( Carpentier Ⅲb型),二尖瓣后叶栓系,2区瓣叶运动(视频2),重度FMR(4+), 肺静脉逆向血流;2区后叶长度1.15cm,2区前叶长度2.46cm,AP径3.2cm,瓣口面积5.1cm²,房间隔高度3.95cm,瓣叶无钙化,二尖瓣瓣膜条件适合行TEER手术。

视频1:术前Bicom

视频2:二尖瓣2区后叶栓系

视频3:二尖瓣三维视图


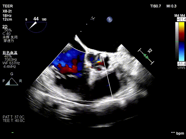
图1、图2:2区瓣叶长度(前叶长度2.46cm,后叶长度1.15cm)及彩色血流

图3:房间隔可用高度>4cm
TEER手术过程
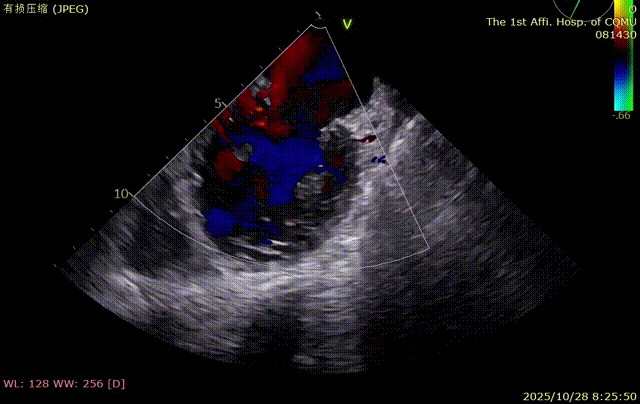
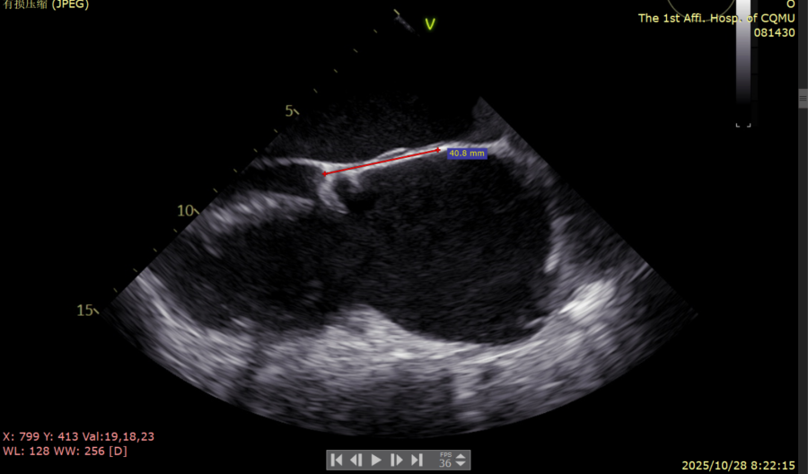
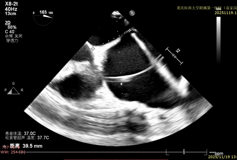
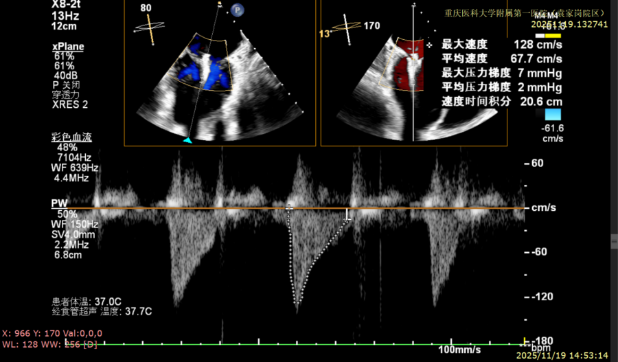
患者全麻下行TEER手术。向睿副主任团队穿刺患者右侧股静脉,在X线及食道超声指导下完成房间隔穿刺(视频4)成功获得3.95cm穿刺高度(图4)。再将加硬导丝送至左上肺静脉,20F股静脉扩张鞘充分扩张股静脉穿刺部位,沿加硬导丝将可操纵导引导管(SGC)送入左房。延SGC送入XTR夹子完成骑跨,使用M旋钮使夹子指向二尖瓣(图5)(视频5)。调整Mitraclip输送系统顺利到达二尖瓣目标位置,TEE指导下左房内完成弹道测试和Orientation调整(视频6)。缓慢将XTR夹子送入左室,并三维再次确认夹子轴向和反流位置,缓慢上提夹子使夹臂成功捕获瓣叶(视频7),Gripper Down夹持前后瓣叶并缓慢关闭夹臂(视频9),夹持后反流降至微量(视频10),二尖瓣平均跨瓣压差2mmHg(图6)。评估后将夹子释放。释放后反流微量夹子稳定。术后复查超声证实夹合组织充分,显示微量残余分流。术后二尖瓣平均跨瓣压差2mmHg,肺静脉多普勒波形恢复正常。手术时间持续约1.5小时。

视频4:房间隔穿刺

图4:穿刺高度3.95cm

图5:夹子送入左房骑跨后加M

视频5:使用M旋钮调整夹子指向二尖瓣

视频6:调整orientation

视频7:TEE引导夹子送入左室捞捕瓣叶

视频8:复核orientation

视频9:Gripper Down夹持前后瓣叶并关闭夹臂

视频10:夹持后反流降至微量

图6:平均跨瓣压差2mmHg

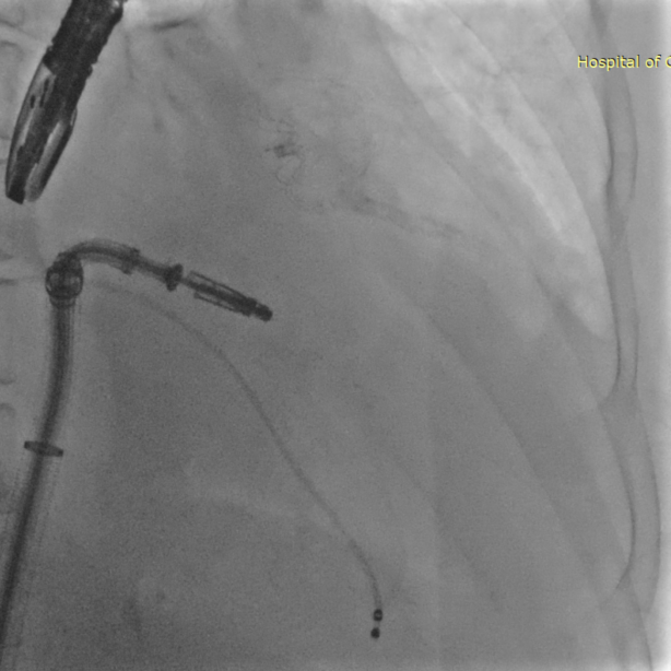
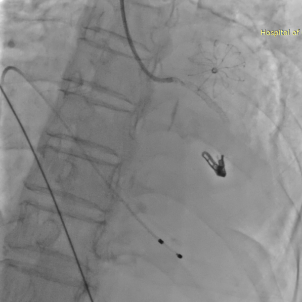
图7:夹子释放
术后恢复情况
术后复查经胸心脏超声,示肺静脉、肝静脉逆流消失,二尖瓣及三尖瓣反流降低至轻度,手术效果良好。
此例重度MR合并重度TR的一站式介入治疗,标志着重庆医科大学附属第一医院在结构性心脏病领域再攀高峰。合并MR+TR是临床中最常见的联合瓣膜病,原发性左侧VHD(瓣膜病)或既往左侧瓣膜介入治疗患者中度或重度TR,是不良结局的独立预测因子[1]。另有文献研究发现基线时严重TR与M-TEER术后1年更高死亡率相关[2]。K-Clip®与MitraClip的联合应用,不仅突破了传统外科“分步处理”的局限,更以微创方式同步重塑双瓣功能,为继发性多瓣膜病变提供了“中国方案”。手术成功的背后是MDT精准评估、影像实时导航与术者匠心操作的完美融合,彰显“以患者为中心”的现代医疗理念。随着人口老龄化和心衰合并多瓣膜病激增,这一创新路径将惠及更多高危患者,推动我国瓣膜介入从“单兵作战”迈向“联合制胜”的新时代,为实现“健康中国”写下有力注脚。
参考文献:
⇅ 向上滑动阅览

扫码进入汇禾医疗学术专栏
了解更多精彩内容