
无导线起搏器中国临床应用
十周年重要里程碑

2014年-2018年
无导线起搏器全球多中心临床试验及中国上市前临床试验

2014年7月 无导线起搏器动物可行性试验

2015年3月 中国医学科学院阜外医院参与全球IDE临床试验

2018年8月 中国7家中心上市前临床试验
上下滑动查看更多

2019年
无导线起搏器获得国家药监局批准,应用于中国临床


2025年
无导线起搏器中国临床应用10周年

无导线起搏器全球IDE研究中国患者十年随访数据首次公布
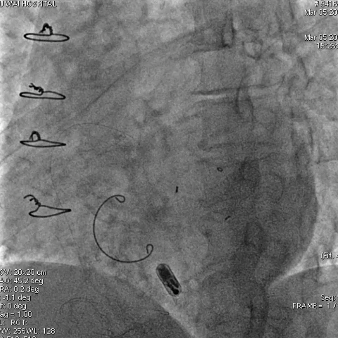
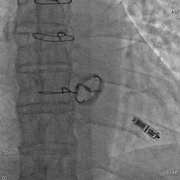
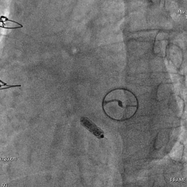
2015年,中国医学科学院阜外医院参与了Micra全球上市前临床试验,总共入组了5名患者。该临床试验为全球多中心、非随机、单臂上市前临床研究,旨在评估Micra VR无导线起搏器的安全性和有效性。该项研究的结果发表在2015年新英格兰医学杂志上,研究结果表明,Micra VR无导线起搏器手术成功率为99.2%,其不良事件发生率相对于传统起搏器降低了48%。

近期,中国医学科学院阜外医院将10年前入组的5名无导线患者在十年内的随访数据加以整理汇总,汇编了国内首批应用无导线疗法的长期的、真实世界临床结果。
Micra IDE研究中国患者10年随访数据
中国医学科学院阜外医院 心律失常中心
陈柯萍 教授
● ● ● ●
5名患者中, 2名患者因恶性肿瘤及肺部感染分别于2019年和2022年离世。3名患者随访已达到10年,相关数据整理如下
结论
Micra无导线起搏器自2015年3月在国内首次使用于临床,中国最早获益于无导线疗法的患者在长达十年的随访周期内,展现出了优秀的长期电学参数表现。其中阈值、阻抗、感知都在正常范围以内,起搏器寿命也达到预期。无导线起搏器为患者提供了长久、安全、可靠的治疗选择。随着临床应用的增多和使用时间的延长,相信有更多临床数据可以说明无导线起搏器在中国患者中的安全性和有效性。
参考文献:
1. Karel T N Breeman et al., Real-world long-term battery longevity of Micra leadless pacemakers, J Interv Card Electrophysiol, 2022 Dec 6. doi: 10.1007/s10840-022-01447-y. Online ahead of print.




















