
近日,武汉亚洲心脏病医院鄢华院长团队领衔,宋丹主任、郭卉主任联合超声科余正春教授,创新性开展三尖瓣K-Clip®+二尖瓣钳夹一站式修复手术,为同时需要治疗二尖瓣、三尖瓣反流的患者实现"一次麻醉、双瓣同治"。手术全程配备高清术中超声与精准导航系统,可实时精准评估瓣膜解剖形态与功能状态,为双瓣同步修复提供全方位、全流程的安全把控,确保手术精准度与安全性。
同步修复革新,规避分期手术风险
二、三尖瓣“一站式”介入修复手术,实现双瓣反流问题一次性解决。不仅有效规避了分期手术间隔期内,左心功能波动引发的三尖瓣反流加重风险,更显著降低了多次麻醉、反复血管穿刺带来的医疗损伤。术后患者心功能改善更具连贯性,康复进程大幅提速,住院周期较传统方案直接降低40%。
K-Clip®技术赋能,三尖瓣修复更精准高效
手术采用K-Clip®专用三尖瓣修复器械,其独特的"锚定-夹合"设计简化操作流程的同时保障治疗安全性,显著缩短手术时间。该技术无需建立体外循环,仅通过微创路径即可完成瓣膜形态重塑,术中即可实现反流即刻降低,以微创化、精准化优势为三尖瓣瓣膜反流患者带来更优治疗选择。
病例简介
患者为59岁女性,入院诊断为扩张型心肌病,二尖瓣及三尖瓣重度关闭不全,心功能Ⅳ级,心律失常,心房颤动,高血压病3级。
三尖瓣手术
术前评估
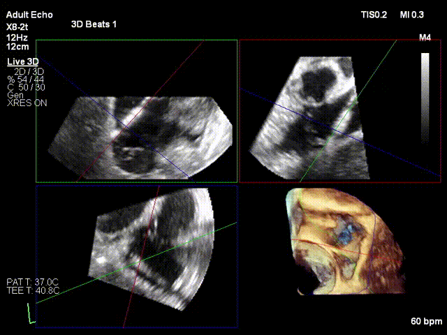
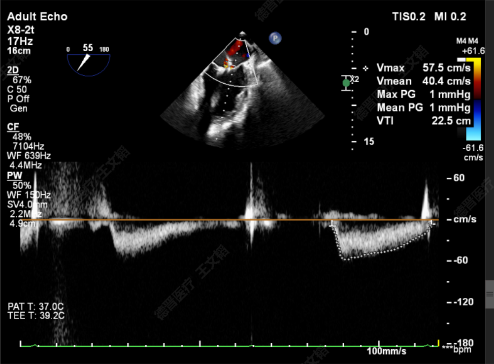
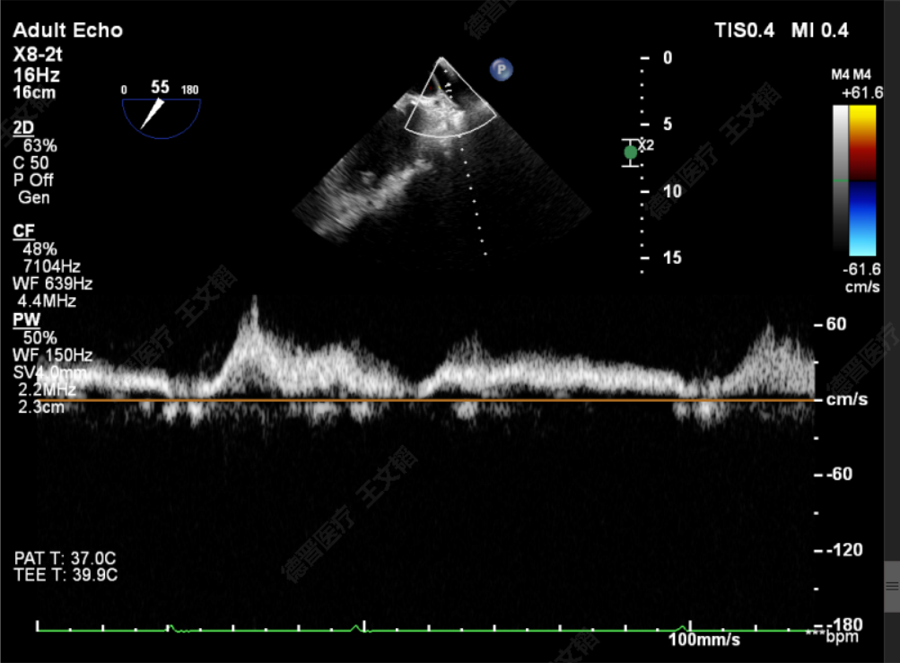
1. 术前三尖瓣超声评估:三尖瓣关闭不全重度(4+平均缩流颈9.5mm),反流口位于前隔、中央、后隔,瓣环轻度扩张(平均瓣环径42.8mm),瓣叶增粗稍增厚退行性样改变。
2. 术前三尖瓣CT评估:CT收缩期时影像质量不佳,舒张期时三尖瓣瓣环呈椭圆形。收缩期舒张期瓣环周长面积相差不大。右冠脉走形偏房侧 ,RCA收缩期冠脉与后瓣环距离均>3.0mm,术中冠脉影响风险较低。

手术策略
鄢华院长团队宋丹主任、郭卉主任与超声科余正春教授结合三尖瓣瓣环形态与反流口位置,决定应用2个K-Clip®的夹合策略,锚定点1:三尖瓣短轴体位5:30方向(夹合后隔交界),夹合部件型号:12T;锚定点2:三尖瓣短轴体位7:30方向(夹合前后交界),夹合部件型号:14T。
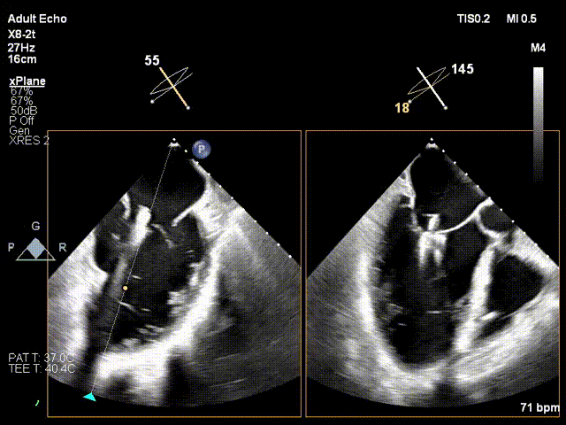
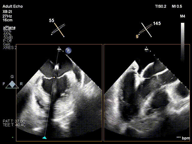
手术过程
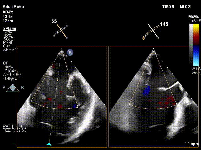
1. 术中基线评估三尖瓣反流程度

术中基线
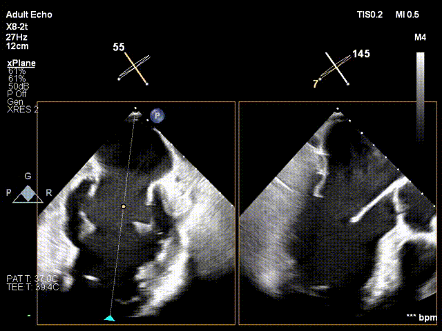
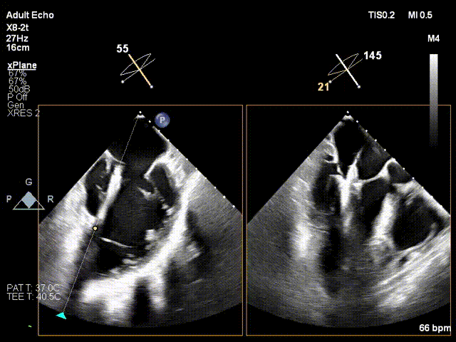
2. 超声引导下,第一套夹子到位,指向后瓣环处

指向后瓣环
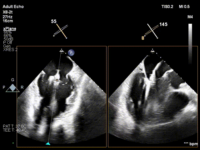
3. 3D MPR平面攻入锚定螺丝到三尖瓣环平面

攻螺丝
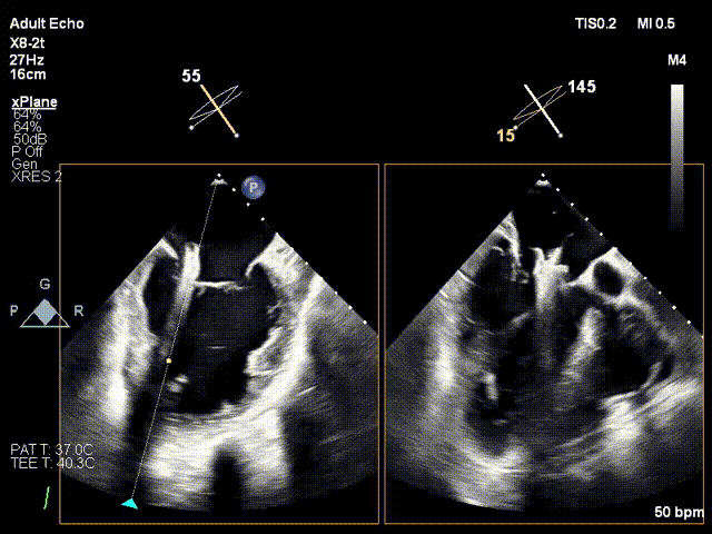
4. 打开夹持臂,调整Orientation后着陆,夹合后隔交界

夹合
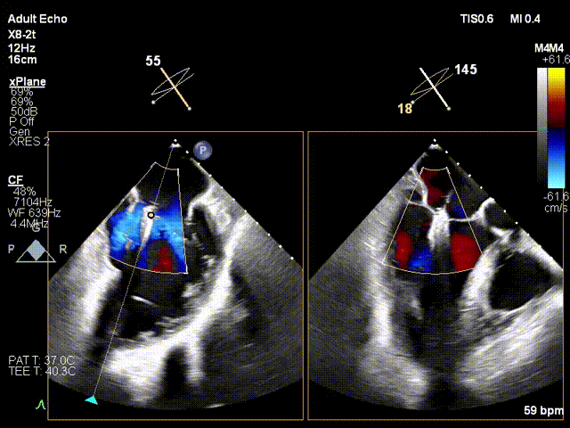
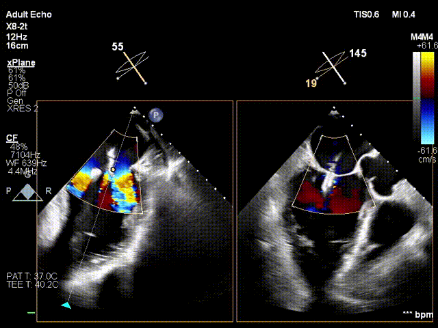
5. 夹合后反流评估

反流
6. 第二套器械同样操作 夹合前后交界

同样操作
二尖瓣手术
术前评估
心脏彩超提示:扩张型心肌病,二尖瓣、三尖瓣重度反流,二尖瓣反流宽度:22mm,2区瓣叶长度:2.8/1.3cm,AP径:38mm,瓣口面积:7.4cm²。

术前3D

术前3D彩色

二尖瓣交界联合彩色

前后瓣叶均可见栓系

反流主要来源于2区累及1、3区
手术策略
术中鄢华院长团队宋丹主任、郭卉主任与超声科余正春教授经充分沟通及分析,决定术中采用拉链式策略,先在2区偏3区植入1枚短宽二尖瓣夹,术中房间隔穿刺高度:4.2cm,于2区偏3区置入一枚短宽瓣膜降低瓣叶张力、减少撕裂风险,夹闭后瓣叶张力可、夹子L侧仍残余反流2-3+。于是再于2偏1区置入第二枚短宽瓣膜夹,夹闭后反流降至轻度,跨瓣压差1mmHg,肺静脉逆流消失。
手术过程

于2偏3区置入第一枚短宽夹

调整Orientation至11点50方向

进入瓣下,捕捞瓣叶

瓣叶捕获,Buncing明显

L侧有残余反流

于L侧2偏3区置入第一枚短宽夹

瓣叶捕获

两枚夹子中间有残余反流1+

解离后3D评估组织桥稳定

反流未增加

TMPG:1mmHg

肺静脉逆流消失
手术效果
术前术后反流对比:三尖瓣反流4+下降至1+

术前反流

术后反流
总结


本次手术的成功,标志着武汉亚洲心脏病医院心内科在处理复杂病例时强大的综合实力,彻底打破了为高龄、高危、外科手术禁忌的“双瓣膜病”患者进行微创“不开刀”的壁垒。尤其是在相对滞后的三尖瓣领域,取得了里程碑式的进展。K-Clip®系统作为经导管三尖治疗的创新利器,其成功应用彰显了该技术操作可控、锚定可靠、适应性强的显著优势,为传统外科手术高危的三尖瓣重度反流患者提供了一个更为安全、微创且有效的治疗新选择。
此次K-Clip®技术与二尖瓣TEER的联合应用,不仅实现了对复杂心脏瓣膜病的“一站式”精准解决,更充分体现了武汉亚洲心脏病医院心内科团队勇于探索、精益求精的卓越追求,必将推动区域内心脏介入水平的整体提升,惠及更多危重心脏疾病患者。

扫码进入汇禾医疗学术专栏
了解更多精彩内容