
经导管主动脉瓣置换术(TAVR)自2002年首次应用于临床以来,已成为高危、极高危主动脉瓣狭窄患者的首选治疗方案。随着技术迭代与术者经验积累,TAVR的手术成功率持续提升,但瓣膜移位、瓣周漏、冠状动脉阻塞等并发症仍难以完全规避。其中,瓣膜移位作为TAVR术中严重并发症之一,发生率约0.5%-3.0%,处理不当可导致急性心力衰竭、心源性休克甚至死亡,是对术者决策能力与操作技巧的终极考验。
美国俄亥俄州托莱多Mercy Health Saint Vincent医学中心近期完成的一例复杂病例,为TAVR瓣膜移位的处理提供了宝贵范本。本文将基于该病例的完整诊疗资料,系统解析决策逻辑、技术要点,为国内介入心脏病学同道提供参考。

患者情况
患者为85岁女性,因“活动后呼吸困难、运动储备显著下降”入院。
超声心动图提示重度主动脉瓣狭窄,平均跨瓣压差43mmHg,主动脉瓣瓣口面积(AVA)0.9cm²(正常成人≥1.5cm²),左心室射血分数(LVEF)正常。
术前冠状动脉造未见明显狭窄。
患者既往有高血压、阵发性心房颤动病史,因高度房室传导阻滞已植入永久性心脏起搏器。EuroSCORE Ⅱ与STS评分评估,患者属于高外科手术风险人群,因此临床决策选择微创的TAVR治疗。
初始治疗方案
结合患者年龄、基础疾病、手术风险评分及解剖条件,治疗团队最终决定采用经股动脉入路(TF-TAVR),植入26mm Evolut FX自膨胀式主动脉瓣。
TAVR术中并发症
按照标准TF-TAVR流程,术者成功建立血管入路、放置导丝与瓣膜输送系统,在经食管超声心动图(TEE)与血管造影引导下定位瓣膜,启动瓣膜释放程序。

TAVR delivery system positioned across the native valve
TAVR输送系统跨原生瓣膜定位

26 mm Evolut FX valve being deployed
26 mm Evolut FX 瓣膜正在释放
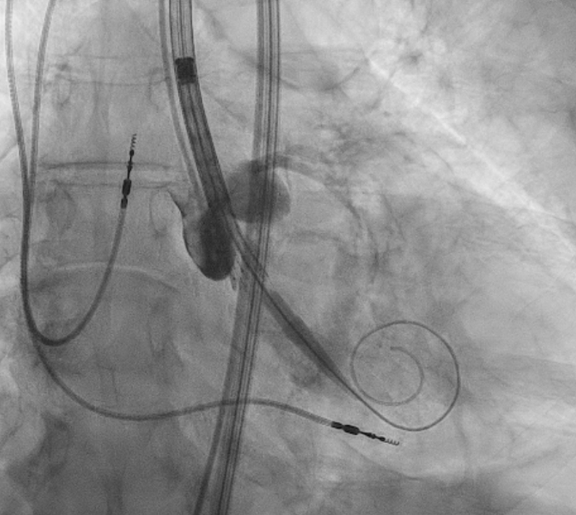
然而,在瓣膜完全展开的瞬间,TEE与造影均提示:26mm Evolut FX瓣膜未固定于主动脉瓣环位置,而是向上移位,脱落于主动脉根部上方区域。

Embolization of Evolut FX above the aortic root
Evolut FX 瓣膜移位栓塞于主动脉根部上方
此时,患者生命体征尚稳定,未出现急性肺水肿、心源性休克等严重血流动力学紊乱——这一关键情况为后续救援策略的制定提供了宝贵时间窗口。
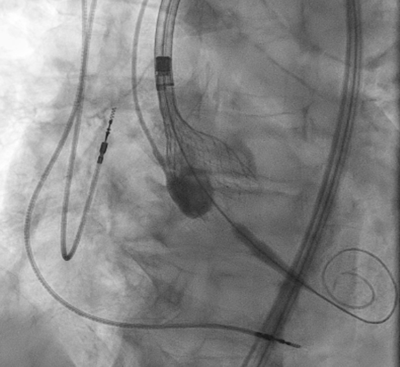
术者立即启动应急方案:通过导管技术将圈套器送至主动脉升部,成功捕获并稳定住移位的瓣膜,避免其进一步栓塞至主动脉弓或头臂干血管,造成致命并发症。

Embolized valve snared and parked in the ascending aorta
移位栓塞瓣膜被捕获并固定于升主动脉
救援策略的权衡与最终决策
瓣膜成功捕获后,治疗团队面临三大处理选项:
外科手术取出:通过开胸手术将移位瓣膜取出,再行主动脉瓣置换或再次TAVR。但该方案的劣势显著:患者高龄、高手术风险,开胸手术的创伤与围手术期并发症风险极高;
植入同平台第二枚瓣膜:尝试通过移位瓣膜的瓣架植入另一枚Evolut系列瓣膜。但术者尝试后发现,移位瓣膜已完全展开,瓣架结构稳定,第二枚同平台瓣膜的输送系统无法顺利通过;
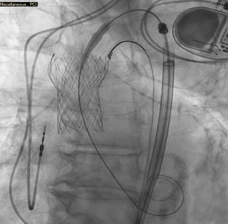
跨平台“瓣中瓣”植入:选择球囊扩张式瓣膜,通过移位的自膨胀式瓣膜瓣架,在原生主动脉瓣位置植入新的瓣膜。该方案的核心优势在于:球囊扩张式瓣膜的输送系统更纤细、柔韧性更佳,更易通过已展开的瓣膜瓣架;且球囊扩张式瓣膜定位精准度高,可有效保证在原生瓣环的密封效果,降低瓣周漏风险。
结合患者血流动力学稳定、移位瓣膜已被捕获固定、跨平台瓣膜输送的技术可行性等因素,治疗团队最终决定采用第三种方案:选择23mm Sapien 3 Ultra Resilia球囊扩张式瓣膜,实施跨平台“瓣中瓣”植入。

23 mm Sapien Ultra Resilia valve advanced through the frame of dislodged valve and positioned across the native annulus
23 mm Sapien Ultra Resilia 瓣膜系统经移位瓣膜栓塞瓣架内推进,跨原生瓣环定位
救援手术的实施
瓣膜尺寸选择:基于术前CTA测量的主动脉瓣环直径,结合移位瓣膜的瓣架内径,最终选择23mm Sapien 3 Ultra Resilia瓣膜——该尺寸既保证了通过性,又能在扩张后与原生瓣环形成良好贴合,减少瓣周漏。
输送与定位:在TEE与造影双引导下,将Sapien瓣膜输送系统沿导丝缓慢推进,通过移位的Evolut FX瓣膜瓣架,精准定位至原生主动脉瓣水平。过程中未遇到明显阻力。
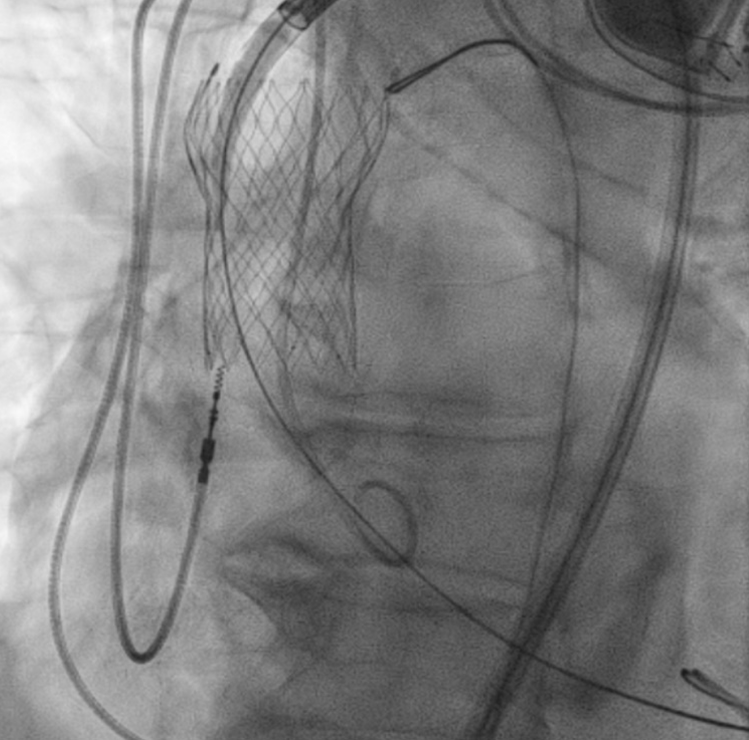
瓣膜释放:通过快速心室起搏降低心输出量,减少瓣膜移位风险,随后启动球囊扩张,将Sapien瓣膜精准释放于目标位置。释放后即刻造影与TEE显示:瓣膜定位良好,无明显移位,瓣叶活动正常。

Successful deployment of Sapien valve
Sapien 瓣膜成功释放
术后临床结局
患者术中未出现严重血流动力学波动,无脑血管事件、大出血、血管并发症等不良事件。
术后第1天复查超声心动图:Sapien瓣膜位置固定良好,平均主动脉瓣跨瓣压差降至12mmHg(较术前43mmHg显著改善),无主动脉瓣反流;移位的Evolut FX瓣膜仍固定于主动脉升部,未对血流产生明显影响,也未出现瓣膜血栓形成迹象。
术后2周随访:患者自述活动后呼吸困难症状完全缓解,日常活动能力显著恢复。
术后2个月随访:复查经胸超声心动图(TTE)显示,Sapien瓣膜位置稳定,平均跨瓣压差进一步降至9mmHg,无反流发生。
讨论
TAVR瓣膜移位的发生与患者解剖特征、瓣膜选择、操作技术等多重因素相关。结合本病例与现有学术证据,其主要危险因素包括:
解剖因素:主动脉瓣环直径过小或过大、瓣叶缺乏足够的锚定基础)、主动脉根部扩张等;
瓣膜选择:瓣膜尺寸选择不当、瓣膜类型与解剖不匹配;
操作因素:瓣膜定位过浅、释放速度过快、导丝位置不稳定等。
针对上述危险因素,临床预防策略应包括:
术前精准评估:通过CTA全面评估主动脉瓣环直径、周长、瓣叶钙化分布、主动脉根部解剖结构,为瓣膜选择提供依据;
个体化瓣膜选择:根据解剖特征选择合适类型与尺寸的瓣膜,必要时采用超尺寸植入以增强锚定效果;
规范操作流程:术中采用TEE与造影双引导确保定位准确,控制瓣膜释放速度,避免瓣膜过早脱离输送系统。
当发生TAVR瓣膜移位时,术者应遵循“先稳定、再评估、后决策”的处理流程:
紧急稳定:立即评估患者血流动力学状态,若出现休克、急性肺水肿,需迅速启动循环支持;同时通过圈套器等器械稳定移位瓣膜,避免其进一步移位导致致命并发症;
全面评估:通过造影、TEE评估移位瓣膜的位置、形态、展开状态,以及原生瓣环的解剖条件、冠状动脉开口是否受压等;
个体化决策:根据患者血流动力学状态、手术风险、解剖条件选择处理方案——对于血流动力学不稳定、移位瓣膜影响冠状动脉供血或存在远端移位风险的患者,应优先考虑外科手术取出;对于血流动力学稳定、解剖条件允许的患者,可选择经导管救援策略。
本病例的决策亮点在于,术者充分考虑了患者的高手术风险,避免了创伤巨大的外科手术,同时基于瓣膜类型的特性,选择了技术上更可行的跨平台方案,体现了微创优先、个体化治疗的现代介入治疗理念。
跨平台瓣中瓣植入的成功实施依赖于以下关键要点:
瓣膜兼容性评估:需提前了解不同瓣膜的瓣架结构、内径尺寸、释放机制,选择通过性佳、定位精准的瓣膜类型。本病例中,Sapien 3 Ultra Resilia瓣膜采用钴铬合金瓣架,输送系统外径仅14Fr,柔韧性强,能够顺利通过Evolut FX的自膨胀式瓣架,是补救成功的关键;
尺寸匹配:植入瓣膜的直径需与原生瓣环直径及移位瓣膜瓣架内径相匹配,过小易导致瓣周漏,过大则可能无法通过瓣架或导致瓣架破裂;
定位精度:跨平台植入时,瓣膜定位需同时参考原生瓣环与移位瓣膜的位置,避免定位过深导致左心室流出道梗阻,或定位过浅再次发生移位。
TAVR并发症的处理不仅是技术层面的考验,更依赖于术者的临床经验与团队协作能力。本病例中,术者在瓣膜移位发生后保持冷静,迅速完成圈套器捕获稳定,避免了并发症升级;治疗团队在短时间内完成多方案评估与决策,体现了高效的协作机制。
此外,TAVR中心的技术储备与器械支持也不可或缺,需具备不同类型、不同尺寸的瓣膜选择,以及圈套器等应急器械。开展TAVR的医疗中心应建立完善的并发症应急处理流程,加强术者的专项培训,确保在突发情况下能够快速响应。
严道心得
TAVR的发展历程本身就是一部微创化、精准化、个体化的进化史。从最初的高风险探索,到如今成为常规治疗方案,再到复杂并发症的精细化处理,技术迭代为患者带来了更多生存希望。本病例中,跨平台瓣中瓣植入的成功,不仅是单一技术的应用,更是不同技术体系的融合创新,体现了术者对不同技术特性的深刻理解与灵活运用。
但技术终究是服务于患者的工具,临床决策的核心永远是以患者为中心。本病例中,治疗团队在选择救援方案时,并未盲目追求技术的复杂性,而是充分考虑了患者的高龄、高手术风险,选择了创伤最小、安全性最高的方案。这种不唯技术论的决策逻辑,正是临床智慧的核心。技术只是手段,患者的获益与安全才是最终目标。
医学是一门有温度的科学。每一例复杂病例的成功处理,都是医学进步的阶梯,也是我们对“健康所系,性命相托”誓言的最好践行。