
梗阻性肥厚型心肌病(HOCM)始终是心血管医生面临的复杂挑战之一。这种以心肌非对称性肥厚、左心室流出道(LVOT)梗阻为核心特征的遗传性疾病,不仅给患者带来持续的症状困扰,更在治疗方案的选择上提出了严苛要求。尽管室间隔心肌切除术(SM)与酒精消融术(ASA)已成为当前主流的室间隔减容治疗(SRT)手段,但二者各自存在局限性,推动着学界不断探索更安全、精准的替代疗法。
近日,一项跨度17年的单中心回顾性研究,系统揭示了室间隔弹簧圈栓塞术(SCA)在症状性HOCM治疗中的安全与长期疗效,为这一疾病的治疗格局注入了新的可能性。

研究背景
HOCM的流行病学与疾病负担
肥厚型心肌病(HCM)作为最常见的遗传性心血管疾病之一,其发病率高达1/500,其中70%的患者会出现LVOT梗阻,构成HOCM这一特殊亚型。
从临床症状来看,25%的患者在静息状态下即可出现呼吸困难、胸痛、晕厥等典型表现,而另有70%的患者仅在负荷试验等激发条件下才会显现症状。这些症状的核心病理生理基础是LVOT梗阻导致的血流动力学异常,严重影响患者的生活质量,甚至增加猝死风险,成为中青年人群心源性猝死的重要诱因之一。
对于药物治疗无效的症状性HOCM患者,室间隔减容治疗是改善症状、优化预后的关键手段。目前,全球范围内公认的标准治疗方案包括室间隔心肌切除术(SM)与室间隔酒精消融术(ASA)。
据统计,美国每年约开展2000例此类手术,其中SM占比64%,ASA占比36%。这两种技术经过数十年的发展,已形成各自的临床定位,但也暴露出难以回避的局限。

现有标准治疗的临床局限性
SM凭借其临床疗效和长期生存获益,被视为HOCM治疗的“金标准”,在经验丰富的中心成功率可达90%以上。然而,作为一项开胸手术,SM的局限性同样显著:手术创伤大,在经验不足的中心,手术死亡率高达10%-15%;术后恢复周期长,且可能出现出血、感染等外科手术相关并发症,对患者的身体条件要求较高,部分高龄或合并其他基础疾病的患者难以耐受。
ASA作为一种经皮介入治疗,以其微创性、住院时间短等优势,成为无法耐受手术患者的重要选择,临床成功率约80%。但ASA的技术特性也带来了独特风险:通过向间隔支动脉注射酒精造成心肌梗死,以达到缩减室间隔厚度的目的,这种非精准的梗死方式可能导致梗死面积过大,引发严重并发症。研究显示,ASA术后起搏器依赖风险约7%,部分患者可能因室间隔疤痕形成导致心律失常,且残留或复发性梗阻的发生率相对较高,部分患者需要接受二次干预。正如Sorajja P在《JACC》的研究中所警示的,尽管技术不断进步,ASA的并发症风险仍无法完全规避,临床应用中需要在疗效与安全性之间寻求平衡。
室间隔弹簧圈栓塞术的技术探索动因
现有两种标准治疗的局限,为新的治疗技术探索提供了现实土壤。室间隔弹簧圈栓塞术(SCA)作为一种新型经皮介入治疗方式,其核心思路是通过可解脱弹簧圈对供应肥厚间隔的穿支动脉进行精准栓塞,从而形成局限性心肌梗死,达到缩减室间隔厚度、解除LVOT梗阻的目的。
与ASA相比,SCA具有两个关键优势:一是可解脱弹簧圈的精准放置特性,能够实现对目标血管的选择性栓塞,避免酒精不规则扩散导致的非目标心肌梗死;二是弹簧圈栓塞形成的梗死面积更小,理论上可显著降低心律失常、起搏器依赖等并发症风险。
尽管SCA的技术理念已提出多年,但关于其长期安全性、疗效稳定性及技术优化空间的临床证据仍较为匮乏。此前缺乏大样本、长期随访的系统性研究,导致该技术在临床实践中的应用相对有限。此外,SCA与现有标准治疗(SM、ASA)的疗效对比、长期预后差异、技术改进方向等关键问题,均尚未得到明确证据。
因此,开展针对SCA治疗HOCM的系统性研究,填补临床证据空白,为该技术的临床应用提供循证医学支持,具有重要的现实意义和学术价值。
研究设计
研究对象
本研究为单中心、单术者回顾性队列研究,纳入了2005年至2022年期间,在该中心接受SCA治疗的51例症状性HOCM患者。
所有患者均符合以下纳入标准:经超声心动图确诊HOCM,存在明确的LVOT梗阻(静息或激发状态下LVOT压差升高);药物治疗后症状改善不佳,NYHA心功能分级≥II级;无介入治疗禁忌证。
数据收集
通过回顾性查阅电子病历,系统收集了患者在基线期、围手术期、出院时、30天随访等多个时间节点的临床、影像学及有创血流动力学数据
手术流程
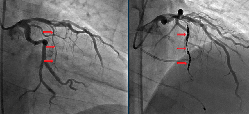
造影评估:通过冠状动脉造影明确冠状动脉解剖结构,识别供应肥厚室间隔的目标穿支动脉;
导管定位:将微导管送至目标间隔支动脉,通过微导管注射造影剂,确认该血管为供应梗阻区域的责任血管;
弹簧圈植入:将可解脱弹簧圈通过微导管送至目标血管内,根据血管直径和血流情况,进行致密弹簧圈填塞,直至血管血流完全阻断;
术后验证:再次通过造影确认目标血管栓塞效果,通过导管测量LVOT压差,评估即刻疗效。
整个手术过程由同一位经验丰富的介入医生完成,确保了技术操作的一致性,减少了术者差异对研究结果的影响。

终点指标
主要终点:包括室间隔厚度变化(基线至术后30天、出院至术后30天)、LVOT压差变化(静息及激发状态下,基线至术后30天、术前至术后即刻、术中静息及激发状态变化)、NYHA心功能分级改善程度;
次要终点:手术成功率(定义为弹簧圈成功植入并达到预期栓塞效果,术后即刻LVOT压差较术前显著降低);
安全终点:30天内并发症发生率(包括心律失常、起搏器植入率)、1年死亡率、重复干预率(因症状复发或残留梗阻需再次接受室间隔减容治疗的比例)。
研究结果
基线特征
纳入的51例患者中,中位年龄为68岁,男性占比43%。
基线平均室间隔厚度为1.87cm(1.11-2.6cm);静息状态下平均LVOT压差为72.38mmHg(8-164mmHg),激发状态下平均LVOT压差为105.78mmHg(5-204mmHg)。
基线时8%的患者为NYHA I级,23%为NYHA II级,60%为NYHA III级,9%为NYHA IV级。

室间隔厚度变化情况
室间隔弹簧圈栓塞术能够显著降低患者的室间隔厚度,且这种改善具有统计学意义(p<0.001)。具体来看,从出院到术后30天,患者室间隔厚度平均减少0.146±0.216cm;从基线到术后30天,室间隔厚度平均减少0.237±0.279cm。超声心动图的动态监测显示,室间隔厚度从基线开始,随时间逐渐下降,术后30天仍保持持续改善趋势,提示弹簧圈栓塞导致的心肌梗死区域逐渐纤维化、吸收,实现了室间隔厚度的有效缩减。


LVOT压差显著降低
LVOT压差的改善是评估室间隔减容治疗疗效的核心血流动力学指标,本研究从多个维度验证了SCA的显著效果:
术中即刻变化:静息状态下,术中有创LVOT压差平均减少49.50±35.83mmHg;激发状态下,术中有创LVOT压差平均减少93.15±60.90mmHg,血流动力学梗阻得到快速缓解;

术前至术后即刻变化:激发状态下峰值LVOT压差平均减少87.06±27.70mmHg(p<0.001),静息状态下峰值LVOT压差平均减少47.70±35.06mmHg(p<0.001);

长期随访变化:从基线到术后30天,激发状态下LVOT峰值压差平均减少61.70±43.74mmHg(p<0.001),静息状态下峰值压差平均减少37.36±45.82mmHg(p<0.001)。
超声心动图进一步证实,LVOT压差从基线期到术前、术后即刻、出院随访(平均58天)呈现持续下降趋势,各时间节点间差异均具有统计学意义(p<0.001),表明SCA的血流动力学改善效果稳定,且具有长效性。
NYHA心功能分级改善情况
术后患者NYHA心功能分级平均降低1.19±0.74级(p<0.001)。基线时以NYHA III-IV级为主的患者,术后多数降至I-II级,呼吸困难、胸痛等症状得到显著缓解,生活质量得到实质性提升。


手术成功率
室间隔弹簧圈栓塞术的手术成功率为88%(45/51),其余6例患者因血管解剖异常(如间隔支动脉过细、走行迂曲)或术中造影确认血管未供应梗阻区域,未能完成有效栓塞。
重复干预率
在成功完成手术且有完整随访数据的34例患者中,11例需要接受重复干预,总体重复干预率为32%。值得注意的是,重复干预率呈现明显的时间趋势:2006-2014年纳入的前10例患者中,重复干预率高达40%;而2019-2023年纳入的后10例患者中,重复干预率降至10%。这种显著下降趋势与技术改进密切相关。
并发症发生率
严重心律失常:51例患者中均未发生术中或术后严重心律失常,包括室速、室颤等恶性心律失常;
30天起搏器植入率:在45例成功手术的患者中,4例因术后出现高度房室传导阻滞,接受了永久起搏器植入,发生率为8.9%;
1年死亡率:所有51例患者术后1年均无死亡事件发生。
讨论
本项跨度17年的单中心回顾性研究,首次系统呈现了SCA治疗症状性HOCM的长期疗效与安全性数据,其核心发现具有重要的临床启示意义。
首先,SCA的安全性得到充分验证。研究中无严重心律失常发生,1年死亡率为0%,30天起搏器植入率8.9%,与ASA的7%相比虽略高,但考虑到本研究纳入患者多为症状较重、可能合并其他基础疾病的群体,这一并发症发生率仍处于可接受范围。尤为值得关注的是,SCA通过精准弹簧圈栓塞实现小面积梗死,避免了ASA中酒精扩散导致的大面积心肌损伤,理论上降低了疤痕相关心律失常的长期风险,这一优势在长期随访中可能会进一步显现。
其次,SCA的疗效具有显著性和稳定性。术后无论是即刻血流动力学指标(LVOT压差),还是长期结构指标(室间隔厚度)、临床症状(NYHA分级),均得到显著改善,且改善效果持续至术后30天。88%的手术成功率表明,在合适的患者群体中,SCA能够有效实现室间隔减容的治疗目标。
再者,技术改进带来的疗效优化趋势明确。早期患者40%的重复干预率,反映了初始技术(如弹簧圈类型、填塞方式)的不足;而后期患者10%的重复干预率,证实了现代可解脱弹簧圈和致密填塞技术的优越性。这一变化提示,SCA是一项具有持续优化空间的技术,随着器械改进和操作经验积累,其疗效和稳定性将进一步提升。
结论
SCA是治疗症状性HOCM的一种安全、可行的室间隔减容治疗方法。该技术通过精准的弹簧圈栓塞,能够有效降低LVOT压差、缩减室间隔厚度、改善患者临床症状;随着现代可解脱弹簧圈的应用和致密填塞技术的应用,其重复干预率显著下降,技术成熟度不断提升。
同时,研究也指出了未来的研究方向:一是开展多中心、大样本的前瞻性对照研究,直接对比SCA与ASA、SM的疗效和安全性;二是延长随访时间,评估SCA的长期预后和并发症风险;三是探索SCA在其他结构性心脏病中的应用潜力,拓展技术的临床适用范围。
严道心得
研读这项研究,除了数据本身的启示,更感受到技术创新与临床实践之间的深刻关联:
第一,临床需求是技术创新的核心驱动力。HOCM治疗领域SM的创伤性与ASA的非精准性,构成了临床实践中的未被满足的需求,而SCA正是基于这一需求,通过精准栓塞的技术理念,为临床提供了新的治疗选择。
第二,技术的成熟需要时间沉淀与持续优化。本研究中重复干预率从40%降至10%的变化,生动诠释了技术-经验-器械三者的协同进化。早期SCA的局限性并非技术理念的缺陷,而是器械性能和操作经验的不足;随着可解脱弹簧圈技术的进步和医生操作技巧的提升,技术的疗效和稳定性得到显著改善。
第三,循证医学证据的层级提升是技术推广的关键。SCA作为一项新型技术,目前的证据仍停留在单中心回顾性研究层面,要真正融入临床治疗指南,成为与SM、ASA并列的标准治疗选项,必须完成从单中心到多中心、从回顾性到前瞻性、从无对照到头对头对照的证据升级。未来的研究应重点关注SCA与ASA的直接对比,明确二者在疗效、安全性、长期预后等方面的差异,为临床医生提供更精准的治疗决策依据。
HOCM的治疗不存在绝对优越的万能方案,而是需要根据患者的年龄、身体条件、血管解剖、合并症等因素,综合评估后选择最合适的治疗方式。对于高龄、无法耐受开胸手术的患者,ASA仍是首选;对于血管解剖不适合ASA或追求更彻底疗效的患者,SM仍是金标准;而对于希望获得微创治疗、且血管解剖适合弹簧圈栓塞的患者,SCA可作为一种重要的替代选项。尤其是在ASA并发症风险较高的患者中,SCA的精准栓塞特性可能带来更优的安全获益。