本文转载自微信公众号:iPacemakerPro

文献标题:《经股静脉植入失败后,对一名存在症状性心动过缓、左侧颈内静脉输液港及右臂动静脉瘘管的65岁患者经右侧颈内静脉植入双腔无导线起搏器》
发表时间: 2025年10月发表于《Indian Pacing and Electrophysiology Journal》杂志
患者病史
· 患者,女性,65岁;
· 因多次晕厥发作和症状性心动过缓就诊,心率波动在42-86次/分,QRS波时限94ms,最终确诊为窦房结功能障碍;
· 2周前,该患者在另一家医院尝试经股静脉植入起搏器失败,随后转诊至本院,拟通过上腔静脉路径植入双腔无导线起搏器;患者既往病史复杂,包括终末期肾病(需每周透析3次)和子宫癌,经化疗和放疗后目前已缓解;
· 体格检查发现,患者左侧颈内静脉留有输液港,这是选择右侧颈内静脉作为穿刺路径的关键因素;此外,患者左臂曾行动静脉瘘手术(已失效),右臂现有功能性动静脉瘘管;
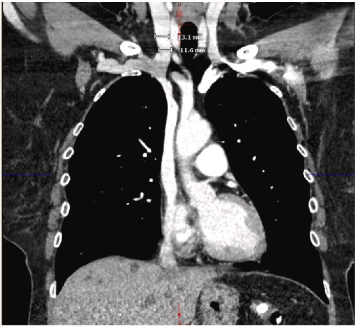
· 患者完成术前放射学成像检查(图1),并成功通过右侧颈内静脉路径植入AVEIR™ DR双腔无导线起搏器(图2),手术过程无任何并发症发生。

图1 右侧颈内静脉穿刺路径术前成像检查

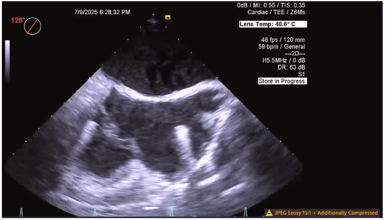
图2 心房无导线起搏器植入术中经食管超声成像
手术过程
· 患者接受全身麻醉并充分镇静后,穿刺右侧颈内静脉建立血管通路;首先通过微穿刺鞘置入8Fr鞘管,随后在超声引导下,沿0.035英寸、180厘米超硬导丝,逐步扩张至27Fr鞘管;将冲洗后的27Fr鞘管沿导丝送至右心房中部,移除内芯后,将外鞘与肝素化生理盐水相连;
· 将装载AVEIR™ VR起搏器的输送导管通过27Fr外鞘送入体内,沿输送导管将外鞘退至上腔静脉与右心房交界处;推送导管穿过三尖瓣,定位至右心室低位间隔部,造影显示目标位置理想;将AVEIR™ VR起搏器旋入目标位置,其电学参数均良好稳定(表1);稳定性测试显示器械稳定,随后顺利释放起搏器;

表1 术中即刻、术后次日及30天门诊随访起搏参数
· 植入过程需注意尽量减少导管调弯,因为穿过三尖瓣后,过度调弯可能导致导管向前指向右心室游离壁;经食管超声心动图(TEE)用于辅助引导导管穿过三尖瓣,并协助指导低位间隔部植入操作;
· 移除AVEIR™ VR起搏器输送导管后,通过同一根27Fr外鞘将装载AVEIR™ AR起搏器的新输送导管送入右心房;通过在上腔静脉与右心房交界处调弯,使导管形成J形弯曲,从而让AVEIR™ AR起搏器向上指向(图3A、B、C),定位右心耳目标位置并完成Mapping标测,但因旋入后损伤波形消失,需重新更换位置;

图3A RAO下导管在上腔静脉与右心房交界处的初始弯曲

图3B RAO下右心耳造影

图3C RAO下机器旋入前位置
· 第二次旋入后,起搏器阈值、阻抗和感知功能均稳定(表1),将导管进入长对接栓模式后行张力测试提示螺旋固定牢固,后释放起搏器,移除27Fr鞘管,在穿刺点行八字缝合,加压包扎止血。
术后随访
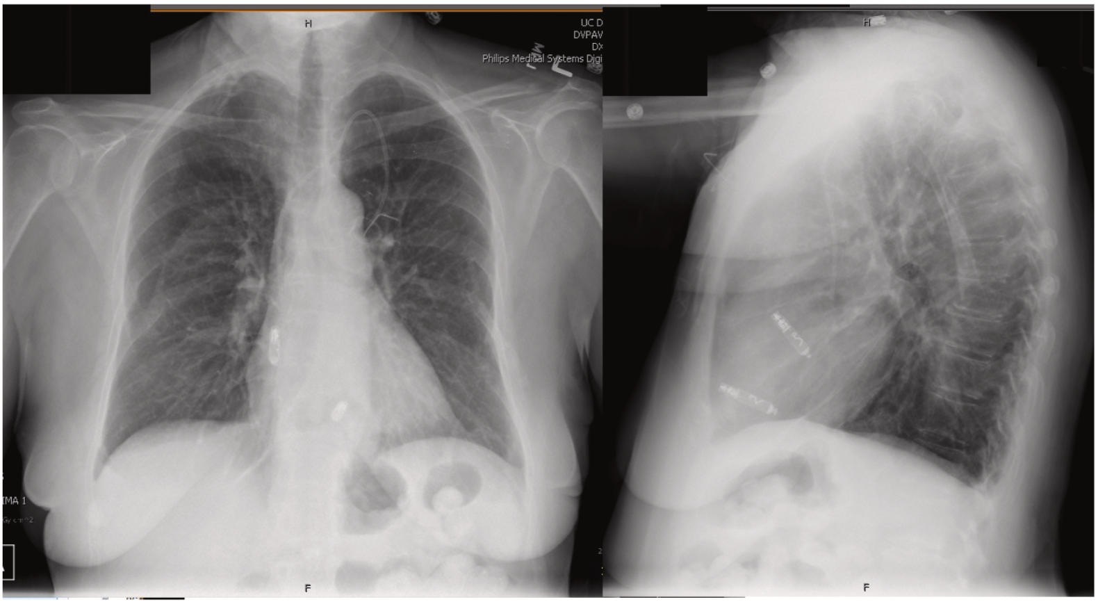
· 术后放射学成像显示,AVEIR™ VR成功植入室间隔,AVEIR™ AR成功植入右心耳基底部(图4);

图4 AP位和左侧位术后胸片
·术后30天随访显示,心房起搏占比78%,心室起搏占比<0.1%;AVEIR™ AR起搏器预计使用寿命为12.5年,AVEIR™ VR起搏器为14.8年;阈值、阻抗和感知功能均稳定(表1),频率应答功能开启。
病例小结
· 本病例证实了成年患者通过右侧颈内静脉路径植入AVEIR™ DR双腔无导线起搏器的可行性与安全性,术中过程顺利,结果满意,无任何并发症发生;
· 患者术前静脉造影显示,因长期透析治疗,股静脉呈蜿蜒条索状,扩张尝试失败,故无法选择股静脉路径,最终计划通过上腔静脉路径植入双腔无导线起搏器;在上腔静脉路径植入中,左侧颈内静脉通常为首选,因其与右心耳角度较平缓,导管偏转更少;但本例患者左侧颈内静脉存在化疗输液港,导致该路径难以实施;因此,该患者的解剖结构决定了右侧颈内静脉为唯一合适的穿刺路径;
· 对于有复杂病史的成年患者,在选择起搏治疗方案时,右侧颈内静脉路径植入AVEIR™ DR双腔无导线起搏器可作为标准股静脉路径的有效替代方案,且围手术期安全性同样可靠。



参考文献:
Lawa, Shivani, Charlie Bingham, and Daniel Cortez. "Dual-chamber leadless pacemaker implant via the RIJ after failed femoral vein implant in a 65-year-old patient with symptomatic bradycardia, with left IJ port and right-sided AV fistula." Indian Pacing and Electrophysiology Journal (2025).