

10月20-22日,备受瞩目的中国结构周2025学术会议期间,国内多家顶尖心脏中心联袂呈现了7台精彩纷呈的LAMax LAAC®左心耳封堵术相关的手术直播。多位资深术者通过真实病例,共同探讨抗栓左心耳封堵术在房颤患者卒中预防中的应用实践。此次演示病例覆盖不同类型的房颤人群与多重复杂合并症,系统展示了国产LAMax LAAC® 左心耳封堵器在多场景、多结构形态下的操作策略与封堵表现,为房颤患者提供了更加个体化的抗栓管理思路,也彰显了我国在结构性心脏病介入领域的技术进步与创新能力。
病例一:复杂冠脉病变与左心耳封堵的协同策略
武汉亚洲心脏病医院 宋丹、徐文杰、赵运海教授团队

62岁男性患者,主诉:活动后胸闷6年。
入院诊断:1、冠状动脉粥样硬化性心脏病 稳定型心绞痛 冠状动脉支架植入后状态 心功能Ⅱ级(NYHA分级); 2、心律失常 心房颤动;3、2型糖尿病;4、高血压3级;5、肾功能不全 左肾切除术后。
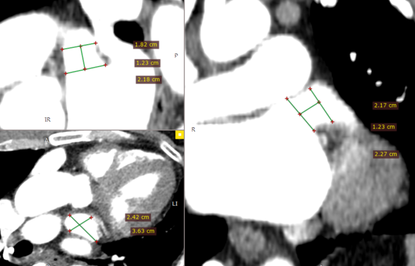
术前左心房CTA- 3D评估:左心耳开口区29.2mm,深度 27.1mm。

CHA2DS2-VASc=3分,HAS-BLED=3分 ,卒中及出血风险高。患者CAG回旋支慢性闭塞,右冠脉至回旋支2级侧枝循环;近期胸闷不适再发,可尝试开通LCX-CTO-介入治疗;冠心病合并房颤,需长期抗血小板聚集+抗凝,出血风险高危,具有左心耳封堵手术适应症。 团队采用"LCX介入治疗+左心耳封堵术"一站式策略。封堵器释放后肝位造影显示封堵完全,无残余分流,牵拉稳定,手术顺利完成,实现了冠脉血运重建与卒中预防的双重目标
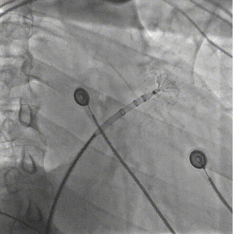
手术过程
先行LCX-CTO-介入治疗,后行左心耳封堵术:
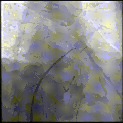
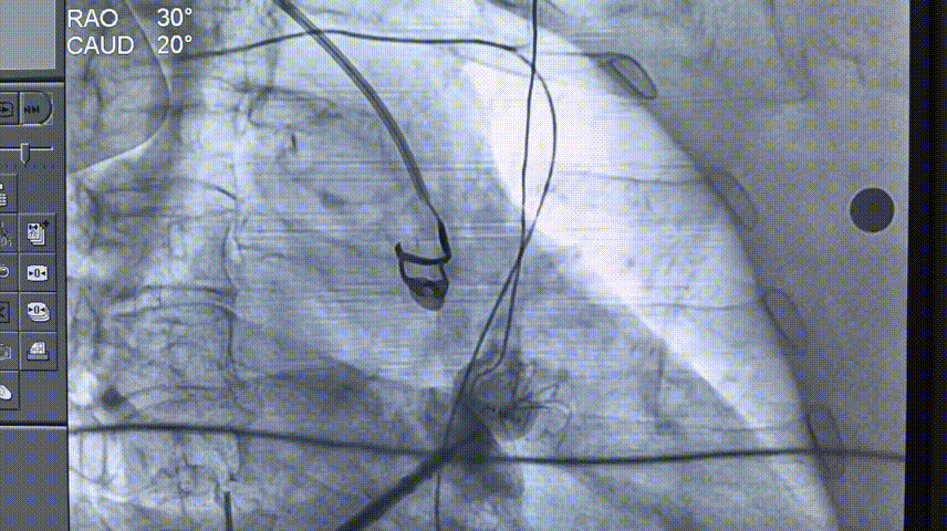
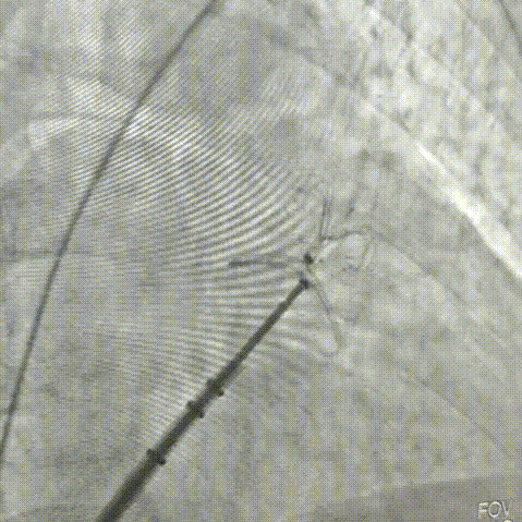
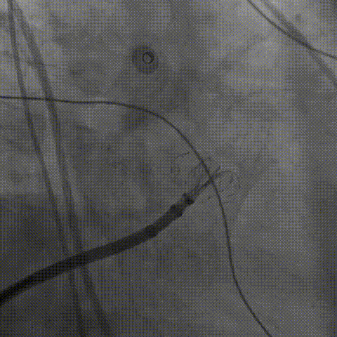
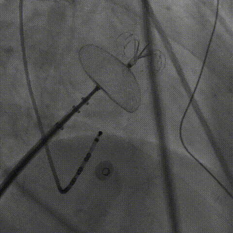
左心耳造影及测量:RAO30,CAUD20测量锚定区22.79mm,开口区31.68mm。

左心耳造影及测量
ICE下测量锚定区22.31mm,开口区28.73mm,选择LAMax 2436 Plus型号封堵器。

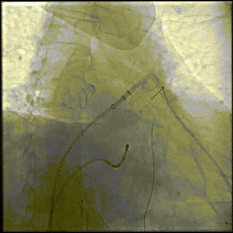
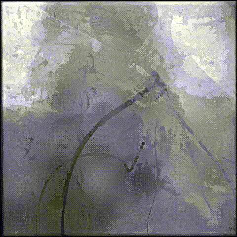
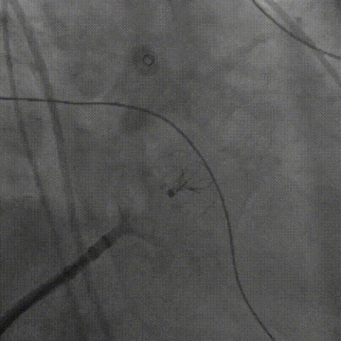
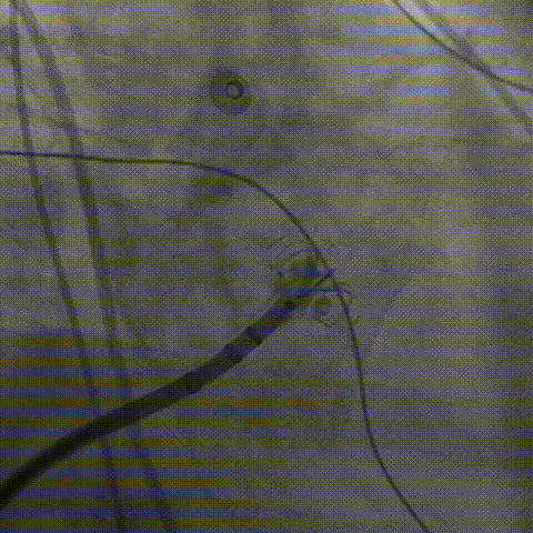
锚定伞锚定在主干区域,再将封堵盘逐渐打开,保证封堵效果,封堵盘完全打开后造影,外盘覆盖外口,封堵完全,无残余分流。

锚定伞打开

封堵盘打开

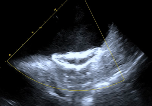
超声评估封堵效果满意
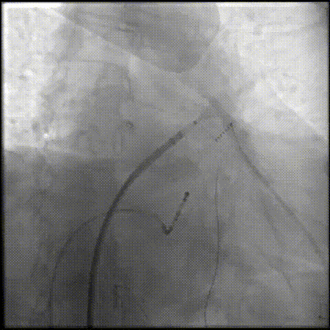
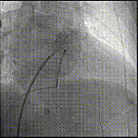
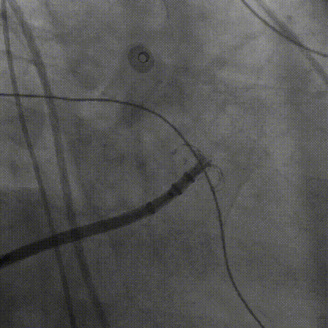
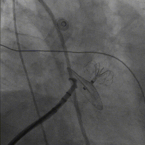
LAMax LAAC®2436 Plus封堵器封堵盘在DSA下牵拉15s,锚定伞稳定无移位。

牵拉实验,牵拉稳定无残余分流
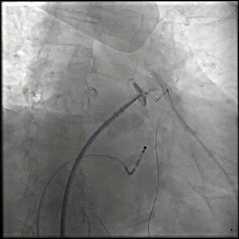
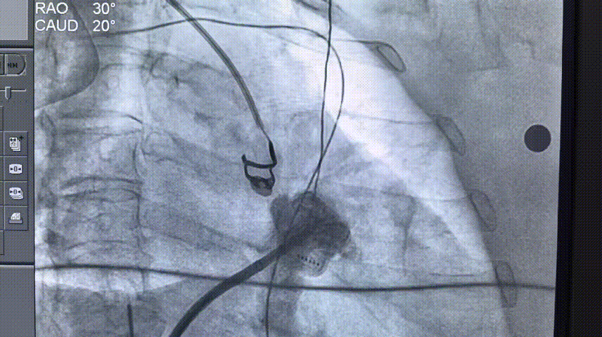
符合COVER原则,将LAMax LAAC®2436 Plus封堵器释放,再次DSA造影检查,封堵器形态无变化,封堵效果好。

释放后封堵效果满意


病例二:持续性房颤合并脑血管事件的左心耳封堵一站式手术
西安交通大学第二附属医院 王洪涛教授团队

56岁男性患者,主诉:间断心悸16月。
入院诊断:房颤,高血压,急性脑梗死、脑出血病史术后。
CHA2DS2-VASc评分3分,HAS-BLED评分4分,提示高卒中和出血风险。
术前CT显示左心耳近似鸡翅型。测量锚定区直径21.21mm;封堵区直径30.98mm。


结合高出血和卒中风险,团队采用"房颤消融+左心耳封堵"一站式手术策略,先完成四根肺静脉电隔离,后行左心耳封堵。锚定伞在翅根部完全展开,"J型"钩呈良好回抱形态,封堵盘覆盖左心耳口部。肝位和右肩位造影显示封堵完全,无残余分流,牵拉试验锚定牢固,成功释放,既恢复窦性心律,又有效预防卒中风险。
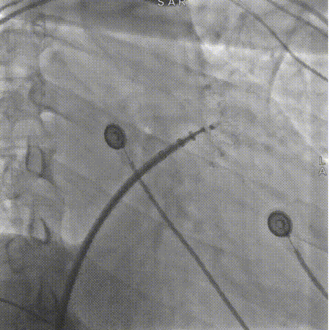
手术过程
先行房颤射频消融,后行左心耳封堵术:
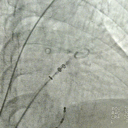
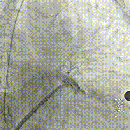
右肩位造影测量锚定区:19.3mm,开口部:25.6mm。

右肩位造影

肝位造影测量锚定区:21.2mm,开口部:27.1mm。选择LAMax LAAC® 2430 Normal型号左心耳封堵器。

肝位造影

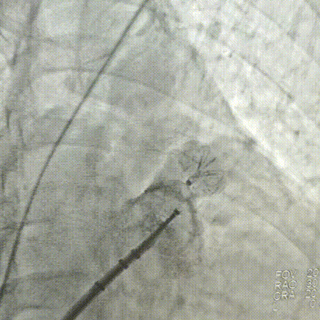
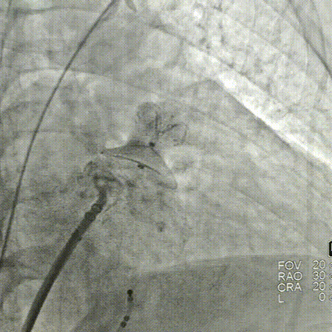
锚定伞锚定在主干区域,再将封堵盘逐渐打开,保证封堵效果,封堵盘完全打开后造影,外盘覆盖外口,封堵完全,无残余分流。

封堵伞打开

封堵盘打开后造影
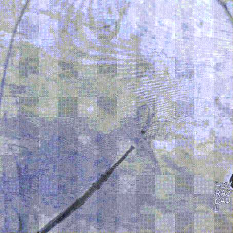
LAMax LAAC® 2430 Normal封堵器封堵盘在DSA下牵拉15s,锚定伞稳定无移位。

牵拉实验
符合COVER原则,将LAMax LAAC®2430 Normal封堵器释放,再次DSA造影检查,封堵器形态无变化,封堵效果好。

释放封堵盘

释放后造影
病例三:阵发性房颤高出血风险的左心耳封堵术
浙江大学医学院附属第二医院 樊友启教授团队

76岁男性患者,主诉:反复心悸四年余。
入院诊断:阵发性心房颤动,高血压,糖尿病。
左心房CTA- 多平面测量&3D:锚定区:18.2-21.7mm,开口区:21.8mm*24.2mm。

CHA2DS2-VASc评分4分,HAS-BLED评分3分,提示高卒中和出血风险。
结合高出血和卒中风险,团队采用"房颤消融+左心耳封堵"一站式手术策略,先完成四根肺静脉电隔离,后行左心耳封堵。锚定伞和封堵盘依次展开,肝位造影显示封堵完全,无残余分流,牵拉试验15秒锚定稳固,成功释放,解决了患者的抗凝困境,既控制心律又避免出血风险。
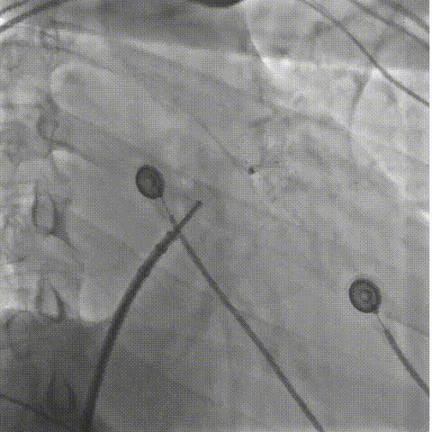
手术过程
先行房颤射频消融,后行左心耳封堵术:


RAO 30° CAUD 20°测量锚定区:20.3mm;封堵区:24.0mm。

RAO 30° CAUD 20°造影
选择LAMax LAAC® 2430 Normal型号左心耳封堵器。
锚定伞锚定在主干区域,再将封堵盘逐渐打开,保证封堵效果,封堵盘完全打开后造影,外盘覆盖外口,封堵完全,无残余分流。

打开封堵盘

打开封堵盘造影
LAMax LAAC® 2430 Normal封堵器封堵盘在DSA下牵拉15s,锚定伞稳定无移位。

牵拉实验

打开封堵伞造影
符合COVER原则,将LAMax LAAC® 2430 Normal封堵器释放,再次DSA造影检查,封堵器形态无变化,封堵效果好。

释放后造影
病例四:伴发多系统疾病的左心耳封堵与消融
南昌大学第一附属医院 殷然教授团队

67岁女性患者,主诉:反复胸痛胸闷伴头晕心慌6年余。
入院诊断:1.心房颤动(主诊断);2.高血压2级;3.冠状动脉粥样硬化。
心电图示:心房颤动。心脏超声示:1.左室壁运动弥漫减弱,左心功能减低;2.三尖瓣中大量反流,二尖瓣少量反流;3.双房大。冠脉造影显示前降支中段40%-50%狭窄。
CHA2DS2-VASc评分4分,HAS-BLED评分2分,提示高卒中风险。结合病史及临床适应症评估,团队采用"房颤消融+左心耳封堵"一站式手术策略,先完成四根肺静脉电隔离,后行左心耳封堵。锚定伞和封堵盘打开后位置理想,造影显示封堵满意,无残余分流,牵拉稳定后成功释放,手术顺利完成。
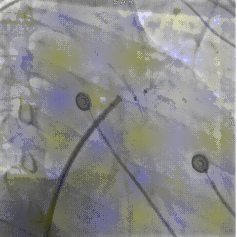
手术过程
先行房颤射频消融,后行左心耳封堵术:
右肩位左心耳测量锚定区:26.58mm,开口区:20.65mm。

右肩位左心耳造影

肝位左心耳测量锚定区:22.57mm,开口区:25.51mm。选择LAMax 2430型号封堵器。

肝位左心耳造影

锚定伞锚定在主干区域,再将封堵盘逐渐打开,保证封堵效果,封堵盘完全打开后造影,外盘覆盖外口,封堵完全,无残余分流。

打开封堵伞

打开封堵盘
LAMax LAAC® 2430 Normal封堵器封堵盘在DSA下牵拉15s,锚定伞稳定无移位。

释放前造影评估
符合COVER原则,将LAMax LAAC® 2430 Normal封堵器释放,再次DSA造影检查,封堵器形态无变化,封堵效果好。

释放后造影
病例五:高龄、多重合并症的左心耳封堵术
黄山首康医院 吴捷华教授团队

80岁女性患者,主诉:反复心慌胸闷伴乏力2月。
入院诊断:持续性心房颤动,充血性心力哀竭,冠状动脉粥样硬化性心脏病,心功能Ⅲ级(NYHA分级),高血压病,慢性肾脏病5期,陈旧性脑梗死。
心电图示:快速型心房颤动。左心房CTA –排除心耳内血栓,鸡翅菜花型左心耳。

CHA2DS2-VASc评分3分,HAS-BLED评分4分,提示高卒中和出血风险,具有左心耳封堵手术适应症。团队实施左心耳封堵手术,术中DSA造影(RAO 30°+CRAN 20°、RAO 30°+CAUD 20°角度)显示上缘有少量残余分流,团队认识到DSA实时测量值小于CTA测量值,果断调整策略,更换为2430型封堵器。重新释放后,牵拉试验锚定牢固,肝位和右肩位造影显示上下缘无残余分流,封堵效果满意。此例充分体现了术者根据术中实际情况灵活调整的能力和LAMax封堵器多型号选择的优势。
手术过程
右肩位左心耳造影测量锚定区:17.9mm开口部:21.5mm。

右肩位造影

右肩位造影上缘有微量残余分流

肝位左心耳造影测量锚定区:18.9mm,开口部:23.9mm。选择LAMax LAAC® 2127 Normal型号左心耳封堵器。

肝位造影

肝位造影上缘有少量残余分流

打开封堵伞后造影评估,考虑上缘有残余分流,且DSA测量小于CTA测量,更换大一号LAMax LAAC® 2430封堵器。
锚定伞锚定在主干区域,再将封堵盘逐渐打开,保证封堵效果,封堵盘完全打开后肝位造影上缘有微量残余分流,右肩位造影上下缘无残余分流。

更换2430半释放造影锚定伞展开良好

更换后肝位造影上缘有微量残余分流

更换后右肩位造影上下缘无残余分流
LAMax LAAC® 2430 Normal封堵器封堵盘在DSA下牵拉15s,锚定伞稳定无移位。

牵拉实验

锚定伞半释放造影
符合COVER原则,将LAMax LAAC® 2430 Normal封堵器释放,再次DSA造影检查,封堵器形态无变化,封堵效果好。

释放后肝位造影上缘少量残余分流

释放后右肩位造影上下缘无残余分流
病例六:急性心衰合并房颤房扑的左心耳封堵与消融
郑州市第七人民医院 孙俊华教授团队

68岁男性患者,主诉:间断心慌4年,加重5小时。
入院诊断:心律失常,心房颤动,心房扑动。
心脏超声示:双房增大,三尖瓣反流(中度),二尖瓣反流(中度),肺动脉高压。头颅动脉MRA示:多发缺血灶。双侧大脑前动脉A2段,双侧大脑中动脉M2段局限性狭窄。CTA显示左心耳近似鸡翅型。
CHA2DS2-VASc评分5分,HAS-BLED评分3分,提示高出血和卒中风险。团队采用"房颤消融+左心耳封堵"一站式手术,完成肺静脉隔离和房扑线性消融后后行左心耳封堵。选择LAMax 2127封堵器。锚定伞和封堵盘打开后造影显示无残余分流,牵拉试验锚定牢固,成功释放,同步解决了复杂心律失常和卒中预防问题。
手术过程
左心耳锚定区测量 17.11mm,封堵区测量值22.07mm,选择LAMax LAAC®2127封堵器。

左心耳造影

锚定伞锚定在主干区域,再将封堵盘逐渐打开,保证封堵效果,封堵盘完全打开后造影,外盘覆盖外口,封堵完全,无残余分流

封堵伞打开后造影

封堵盘打开后造影
LAMax LAAC®2127封堵器封堵盘在DSA下牵拉15s,锚定伞稳定无移位。

牵拉实验

牵拉试验后造影无残余分流
符合COVER原则,将LAMax LAAC®2127封堵器释放,再次DSA造影检查,封堵器形态无变化,封堵效果好。

释放后造影
病例七:持续性房颤与高血压3级患者的左心耳封堵术
咸阳市中心医院 许岭平教授团队

62岁女性患者,主诉:发作性心悸2月。
入院诊断:持续性房颤,高血压3级(极高危组)。
心电图示:心房颤动。心脏超声示:二尖瓣中量反流。经食道超声心动图示:左房及左心耳未见明显血栓。
术前CT显示左心耳近似鸡翅型。


CHA2DS2-VASc评分4分,HAS-BLED评分1分,结合高栓塞风险,团队采用"房颤消融+左心耳封堵"一站式手术,完成肺静脉电隔离后,行左心耳封堵。术中右肩位和肝位测量,初步选择LAMax LAAC® 2133 Plus型封堵器。但封堵盘放出时脱落,团队利用LAMax封堵器可回收的特点,完全回收后更换为2436型封堵器,重新释放。牵拉试验15-20秒锚定牢固,肝位和右肩位造影均显示无残余分流,封堵效果满意。此例体现了术者应变能力和LAMax封堵器可回收、多型号选择的系统优势。
手术过程
右肩位造影测量锚定区:19.44mm,开口部:30.99mm。

右肩位造影

肝位造影测量锚定区:21.62mm,开口部:29.3mm。选择LAMax LAAC® 2133 Plus型号左心耳封堵器。

肝位造影

打开封堵伞后造影评估,锚定伞锚定在主干区域,再将封堵盘打开时脱落,遂选择更换为更换为更大号的LAMax LAAC® 2436封堵器。

封堵伞打开后造影

2133封堵器封堵盘放出时脱落

2133封堵器封堵伞打开后造影
LAAC® 2436封堵器锚定伞锚定在主干区域,再将封堵盘逐渐打开,保证封堵效果,封堵盘完全打开后造影,外盘覆盖外口,封堵完全,无残余分流。

更换2436封堵器后半打开封堵伞造影
LAMax LAAC® 2436 封堵器封堵盘在DSA下牵拉15s,锚定伞稳定无移位。

牵拉实验
符合COVER原则,将LAMax LAAC® 2436 封堵器释放,再次DSA造影检查,封堵器形态无变化,封堵效果好。

释放后造影
护脑心安,LAMax LAAC®随“型”应变
稳封复杂左心耳
房颤是临床最常见的心律失常之一,其所引发的血栓栓塞事件,尤其是脑卒中,仍是导致患者死亡与致残的主要原因。大量研究已证实,左心耳是房颤患者血栓的主要来源,对其进行有效、精准的封堵,已成为预防房颤相关卒中的关键策略之一。本次中国结构周2025呈现的多中心手术演示,围绕不同类型房颤患者中的应用策略、一站式手术的技术优势,以及针对高出血风险、合并多种慢性疾病等复杂情况的个体化治疗方案展开探讨,充分体现了左心耳封堵术在预防房颤脑卒中的重要性和临床价值。
通过七台病例的集中展演,国产 LAMax LAAC® 封堵器在多类型左心耳形态、多重基础疾病以及一站式消融联合策略中的优异表现得到进一步验证。器械显影清晰、释放精准、贴壁稳定且安全性高,彰显出国产创新在结构性心脏病介入领域的日臻成熟,也为临床提供了更具灵活度与可推广性的治疗路径。随着左心耳封堵术的持续完善及真实世界数据的不断积累,未来有望为房颤患者构建更加安全、长期、个体化的卒中预防体系。