近日,攀枝花市中心医院心血管内科团队成功完成一例FIRESORB®生物可吸收支架植入术。据悉,此次手术是FIRESORB®生物可吸收支架上市后的全国首批病例之一。本次手术的成功开展,不仅展示了手术团队在心血管介入治疗领域的高超技术水平,也标志着攀枝花市中心医院心血管介入治疗水平与时俱进,再上新高度。

心血管内科团队术中照
病例简介
基本信息:患者为47岁女性,因“胸痛9天”就诊。患者于9天前出现胸痛,活动后明显。院外冠脉CTA示前降支中段中-重度狭窄。
既往史:既往有甲减病史,自诉有金属过敏史。
入院诊断:1.冠状动脉粥样硬化性心脏病-不稳定性心绞痛;2.甲状腺功能减退。
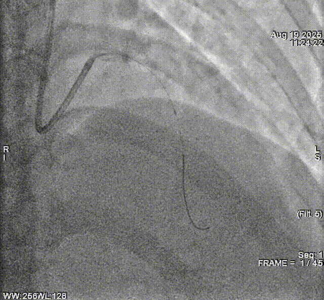
冠脉造影
冠脉造影示前降支近段95%狭窄。经攀枝花市中心医院心血管团队评估,考虑行IVUS指导下PTCA及生物可吸收支架植入术。

术前造影示前降支狭窄
手术过程
送入6F EBU3.0指引导管至左冠口,沿指引导管送入BMW导丝至前降支远段。一根Runthough导丝至第一对角支远段,沿前降支导丝送入2.5×15mm球囊至前降支近段病变处,准确定位后以12atm×8秒扩张,复查造影示远段残余狭窄60%,未见血栓、夹层,前向血流TIMI 3级。撤出球囊导管,沿导丝送入IVUS导管至前降支,IVUS检查提示:前降支近段无明显钙化、血栓、血肿,前降支近段斑块负荷约70%,血管直径约3.5mm,病变长度约16mm。
行IVUS检查
沿主支导丝送入3.5×13mm棘突球囊至前降支近段病变处,准确定位后以12atm×8秒扩张,复查造影示残余狭窄30%,未见夹层、血栓,对角支无受累,前向血流TIMI 3级。沿导前降支丝送入3.5×18mm FIRESORB®生物可吸收支架至前降支近段,准确定位后9atm×30秒释放,复查造影示支架中段残余狭窄10%,未见夹层及血栓,前向血流TIMI 3级。送3.5×15mm后扩球囊至前降支生物可吸收支架内,准确定位后以16atm×10秒后扩张,重复造影示支架贴壁良好,残余狭窄0%,未见夹层、血栓,对角支未受累。

术后复查造影示前降支支架贴壁良好
撤出球囊导管,再次送入IVUS导管检测提示:前降支支架形态、贴壁均良好,无夹层、血栓及血肿。
术后复查IVUS
术者点评
文亚红教授、兰建军教授和曾晓斌教授表示,本例47岁女性患者适合“介入无植入”策略。患者前降支近段存在95%狭窄,团队在IVUS精准引导下充分预处理病变,成功植入上海微创®自主研发的FIRESORB®生物全降解可吸收支架。该支架输送顺畅、径向支撑力良好,可在短期支撑血管后于中长期被人体降解吸收。其通过单面涂层、靶向释药及降低支架质量等设计,有效减少靶病变失败和中晚期血栓风险,显著降低主要不良事件发生率,提升了可吸收支架的安全性与有效性。FIRESORB®生物全降解可吸收支架是我国医疗器械领域的重要突破,为解决可吸收支架临床难题提供了新方案,也为全球冠心病患者带来新的治疗选择。目前患者恢复良好,团队将持续规范随访。