
复旦大学附属中山医院心内科黄浙勇教授
思辨介入困境
解析手术技巧
梳理中山经验
助您从新手变“心”手
每月15日、30日,严道医声独家发布
冠脉痉挛诊断主要有赖于临床表现和激发试验,单纯的冠脉造影诊断价值极其有限[1]。但国内激发试验基本不开展,加上临床和介入有分离趋势,因此现阶段强调一下冠脉造影“卑微”的诊断价值,或许有一定的现实意义。
“可变性”是冠脉痉挛难以识别的根本:不仅临床表现变幻莫测,造影形态也形形色色,难以和固定性狭窄鉴别。冠脉造影究竟该如何透过迷雾,捕捉痉挛的蛛丝马迹?
笔者梳理中山医院近30年来的痉挛病例,在分析造影个性化表现的基础上,提出诊断冠脉痉挛的4大特征。
一
冠脉造影的个性化表现
1、细长冠脉
冠脉从开口到远段匀称性细长,类似于扩心病或瓣膜病等扩大心脏的“被纵向拉伸”的冠脉,可以称之为苗条型、瘦长型、模特型冠脉。容易误诊为正常冠脉!
造影一旦发现近段和远段血管直径相仿甚至更小,或冠脉主干直径接近造影导管时,要高度怀疑冠脉痉挛的可能性(图1-2)。注意其特点是细而长!并非细小。

图1 右冠痉挛表现为冠脉细长

图2 左冠痉挛表现为冠脉细长
2、弥漫性狭窄
冠脉弥漫性痉挛会出现2种情况:基本正常冠脉发生弥漫性痉挛表现为基本正常的光滑的细长冠脉(如前所述);不均匀斑块基础上发生的弥漫性痉挛则表现为程度不一的弥漫性狭窄,容易和严重斑块导致的弥漫性病变相混淆。
仔细观察,尽管痉挛性弥漫性狭窄的程度不尽一致,但总体基调还是“光滑和对称”(图3),和斑块性狭窄有所不同。

图3冠脉痉挛表现为弥漫性狭窄
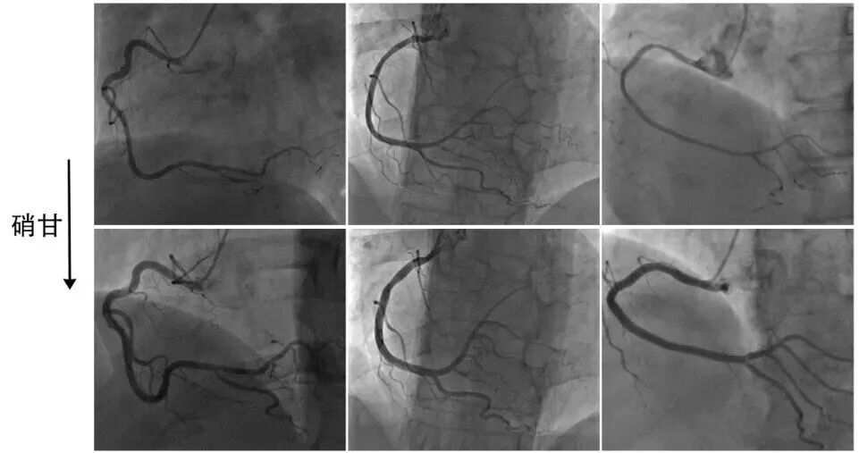
3、多支狭窄
多支狭窄和前述的细长冠脉、弥漫性狭窄等具有同样内涵,均强调冠脉痉挛属于整个冠脉的系统性疾病。
单支痉挛或局部痉挛未能识别,病人可能错误的接受介入治疗而不是药物治疗;而多支痉挛未能识别,病人很可能错误的接受外科搭桥而不是药物治疗,显然伤害更大!
多支血管弥漫性狭窄一旦具有以下反常表现,需要警惕痉挛的可能(图4):(1)多支狭窄具有“细小”、“光滑和对称”的特点;(2)缺乏除烟酒外经典的危险因素,与严重冠脉病变不符;(3)平时活动耐量可,与严重冠脉病变不符;(4)心脏大小和功能可,与严重冠脉病变不符。

图4冠脉痉挛表现为多支狭窄[2]
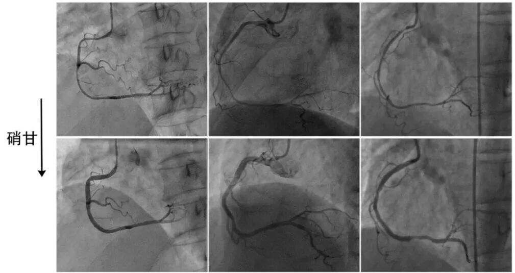
4、局部狭窄
首先强调,痉挛的本质是系统性的。但偶尔的,会遭遇局限性狭窄。一般见于二种情况,一是粥样硬化局部严重,在冠脉系统性张力升高基础上局部严重痉挛;二是局部机械刺激,譬如导管头或支架刺激。
痉挛性局部狭窄包括局限型、节段型、弥漫基础上节段型3种类型(图5-6)。局部狭窄很难想到痉挛,经常误诊。“见狭窄,上硝甘”需要成为习惯。

图5冠脉痉挛表现为局部狭窄,包括局限型、节段型、弥漫基础上节段型3种类型。

图6 多支局部痉挛[3]
51岁吸烟男性,凌晨急性胸痛30分钟,心电图II、III、avF、V5-6导联ST段抬高,急诊造影显示回旋支2处狭窄,右冠3处狭窄,冠脉内注射硝酸甘油后均缓解,心电图ST段回落,症状缓解。
5、支架 “突兀过大”
冠脉痉挛属于功能性疾病,而且往往是整个冠脉系统的高张力性疾病,药物治疗是王道,一般不主张局部支架治疗。偶尔的也会置入支架,譬如:合并严重固定性狭窄、反复固定位置的顽固性痉挛、误将痉挛当做固定性狭窄等。置入支架后,并不能防止非支架位置的冠脉痉挛;而且支架植入本身属于机械刺激,可能诱发支架两端的血管痉挛,这也是冠脉痉挛患者不主张支架治疗的理由之一。
因此,一旦造影发现支架两端或非支架部位血管细小,凸显出支架“突兀过大”,极有可能是冠脉痉挛(图7-8)。

图7 右冠中段支架突兀提示冠脉痉挛。
整个右冠血管弥漫变细,中段支架“突兀和过大”(A),冠脉内注射硝酸甘油后血管明显增粗(B)!箭头所示为支架两端。

图8 前降支近段支架突兀提示冠脉痉挛。
前降支近中段支架基本通畅,中远段血管弥漫性均匀变细,管壁光滑。凸显出支架“突兀和过大”(A),冠脉内注射硝酸甘油后支架外狭窄消失,支架大小合适(B)!箭头所示为支架两端。
6、器械诱发狭窄
导管、导丝、球囊、或支架等器械操作可以诱发冠脉痉挛(图9-12),这不是问题。问题是,能否凭借器械诱发收缩来诊断“冠脉痉挛性疾病”(变异性心绞痛)?
一方面,若器械操作能轻易诱发痉挛,说明患者的冠脉系统属于“高敏”易激惹状态,极有可能患者症状或血管狭窄是“冠脉痉挛”所致。此时,要积极考虑“冠脉痉挛性疾病”的诊断。譬如,支架植入后诱发两端弥漫性严重痉挛,要反思原先狭窄是否也是痉挛所致?同理,延伸一下知识点,凡是器械能轻易诱发的壁内血肿,可能血管本身就具有自发性壁内血肿的潜能。
另一方面,血管收缩其实是血管的一种生理性反应而已,只要刺激足够强(物理/化学/生化),任何血管均能诱发出收缩!而“冠脉痉挛”术语专指过度敏感的、高度激惹的血管收缩。有些器械刺激比较强烈,可导致难治性、持久性的血管收缩,甚至硝酸甘油难以缓解,甚至需要间隔一段时间行CCTA或复查造影加以证实或排除。对于此类器械强烈刺激导致的痉挛,并不代表自发性痉挛,不能据此临床诊断“冠脉痉挛”或“变异性心绞痛”,不一定需要日常抗痉挛治疗。

图9 导丝诱发冠脉痉挛。
前降支中段肌桥段可疑狭窄(A),拟行IVUS检查。导丝通过后肌桥段痉挛(B),注射硝酸甘油后缓解(C)。

图10 IVUS导管诱发冠脉痉挛。
前降支中段肌桥段可疑狭窄(A),行IVUS检查后肌桥段痉挛(B),注射硝酸甘油后缓解(C)。

图11 球囊诱发冠脉痉挛。
右冠弥漫性病变,远段最重狭窄95%(A),药物球囊处理后弥漫性变细(B),注射硝酸甘油后缓解(C)。

图12 导管深插诱发顽固性痉挛。
JR4造影导管深插至右冠(A),退至开口造影提示近段严重狭窄(B),冠脉内注射硝酸甘油200μg×3次只有部分缓解(C),继续推注200μg×2次后基本缓解(D)。说明部分患者强刺激后痉挛比较持久。该病人并无血管痉挛的临床表现,术后不需要抗痉挛治疗。
7、孤立性主干开口狭窄
冠脉主干开口容易受到导管顶端刺激而痉挛(图13-15),属于器械诱发痉挛的一种,因为部位特殊,一旦误诊为固定性狭窄,容易转送外科接受不必要的CABG手术,故单独列出强调。
事实上,凡是左主干开口或右冠开口的孤立性狭窄,均不要轻易诊断为动脉粥样硬化,需要鉴别以下疾病:主干痉挛、多发性大动脉炎、主动脉夹层、梅毒、肿瘤外在压迫、放疗诱发、外科手术后等。

图13 导管诱发左主干开口痉挛,误搭桥。
36岁女性拟行房缺介入封堵,术前诉活动后胸闷气促,冠脉造影发现左主干开口狭窄95%,右冠开口狭窄70%伴导管压力嵌顿,患者转外科行房缺补片修补,同时LIMA-LAD搭桥手术。5年后复查造影惊奇的发现冠脉开口狭窄消失!回顾性诊断导管诱发冠脉痉挛。

图14 导管诱发左主干开口痉挛【14】
左主干开口狭窄90%,患者拒绝CABG[4],次日拟行PCI治疗。再次造影发现狭窄消失,考虑导管诱发痉挛,再次造影避免了不必要的CABG手术。

图15 导管深插诱发右冠口痉挛。
JR4造影导管头端刺激右冠开口痉挛(A),稍回撤注射硝酸甘油后缓解(B)。
二
冠脉造影的共性总结
纵观前述各色痉挛影像,可以总结出以下四大共性。
1、比较对称、比较光滑
痉挛时血管平滑肌向心性收缩,所以造影呈对称光滑的狭窄!必须指出,痉挛部位的造影剂充填形态与斑块有很大关系。一般情况下,痉挛局部的斑块较少,或者呈向心性轻中度狭窄,所以大多数痉挛能呈现“对称和光滑”的典型征象。但在少数情况下,斑块明显偏心或发生破裂,DSA图像将失去“对称和光滑”的特征,极难与固定性狭窄鉴别。这就是在“对称和光滑”前加上“比较”二字的原因。
2、普遍性变细,局部加重
冠脉痉挛属于整个冠脉的系统性疾病,总是表现为“多支痉挛”、“弥漫性痉挛”。偶尔呈现的局部痉挛(“节段性狭窄”或“局限性狭窄”),往往是普遍性痉挛基础上的局部加重而已。
3、可诱发
PCI过程中轻微刺激就诱发出痉挛,提示冠脉的易激惹性,提示“冠脉痉挛”的临床诊断。刺激物可以是各种理化因素,譬如冠脉介入的各种机械刺激(导管头、导丝、球囊、支架、超声导管等),譬如过冷造影剂,譬如多巴胺、肾上腺素等药物。事实上麦角新碱和乙酰胆碱激发试验就是利用冠脉易激惹的特点而设计的。
必须指出,血管收缩是所有血管的内在属性。只要刺激足够强,所有血管均可发生严重痉挛。因此高强度理化刺激诱发的痉挛,与临床诊断“血管痉挛”并不能简单画等号。
4、可缓解
本文几乎所有痉挛病例的临床诊断,并非单纯基于其形态特征,而更多的参考造影的前后对比!
“可变性”是冠脉痉挛逃避临床诊断的伪装,但“可变性”也是冠脉痉挛的诊断密码,就是在对比中发现动态变化:同一次造影前后对比,操作前后对比,多次造影前后对比[5],激发或缓解试验前后对比。
“可变性”意味着痉挛可以被诱发、可以被缓解。国内不开展冠脉痉挛激发试验,冠脉内硝酸甘油给药已成为诊断的关键性举措。
(1)何时给药?尽管有专家建议造影前常规冠脉内注射硝酸甘油200ug,该操作可排除冠脉痉挛带来的假阳性结果,但也失去了诊断冠脉痉挛的机会。因此,笔者建议常规造影1-2个体位后再给药观察。
(2)给药剂量?硝酸甘油常规剂量200ug,给药时确认导管到位,药物进入冠脉。如临床表现或造影表现高度怀疑痉挛,可反复多次给药。文献曾有10多次的给药报道。但硝酸甘油难以缓解的痉挛也屡见不鲜,硝酸甘油剂量的天花板是多少?硝酸甘油能否彻底排除冠脉痉挛?目前尚无定论(图16)。
(3)何时造影?造影发现痉挛属于偶然事件,根据疾病的发病规律,有理由相信晨间造影将有利于捕捉到冠脉痉挛现象。

图16 缓解痉挛究竟需要多少硝甘?
右冠呈弥漫性病变,冠脉内反复多次注射硝酸甘油,血管进行性增粗,最终用药总量达6次共1200μg。但最终冠脉是否扩张充分?未必。
若偶遇痉挛,请识别它!此乃本文目的。
参考文献:
⇅ 向上滑动阅览
“中山PCI解码”下期预告
腔内影像如何识别冠脉痉挛?


