
第37届美国经导管心血管治疗学术会议(TCT 2025)于10月25日至28日在美国旧金山拉开帷幕。
首都医科大学附属北京朝阳医院心脏中心赵林教授团队受大会邀请,汇报了一项创新研究成果和三例极具代表性的病例。团队专家与国际同道就复杂病变处置策略、技术选择及术中挑战展开深入交流与探讨,在国际学术舞台上传递出中国“心”声音。

北京朝阳医院心脏中心李红教授带队赴美参加TCT
Scientific Abstracts: Identification of Injured Myocardium in Chronic Coronary Syndromes Using Activated-Fibroblasts Imaging: A Prospective, Proof-of-Concept Study
大会“Novel Insights from Invasive and Non-invasive Assessment of CAD”论坛上,北京朝阳医院心脏中心杨绳文主治医师介绍了一项旨在提升慢性闭塞病变(CTO)患者心肌损伤识别的新研究(图1),分享了团队在非侵入性评估领域的突破性成果。

图1.杨绳文主治医师汇报中心最新研究
该研究基于FACT前瞻性观察性试验,首次验证了¹⁸F-FAPI PET在合并CTO的慢性冠脉综合征患者中能够检测早期心肌重构,结果显示其在识别结构与功能性损伤方面优于传统成像技术(如¹⁸F-FDG PET、SPECT和CMR,图2)。FAPI摄取程度与BNP水平及LVEF呈显著相关性,提示其作为指导个体化血运重建的新型影像生物标志物的潜力。论坛主席Jin Won Kim教授与Yoshinobu Onuma教授就FAPI在临床预后评估及未来应用方向提出了极具启发性的问题,引发了关于活化成纤维细胞显像在CTO治疗中的讨论。

图2.18F-FAPI PET-CT较传统影像技术能够识别更多的心肌损伤区域
CASE 1:A Case Report on the Use of Rotational Atherectomy and Shockwave IVL to Treat Left Main Stent Under-expansion
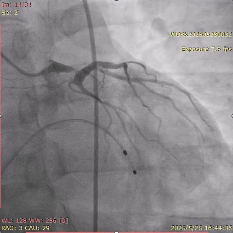
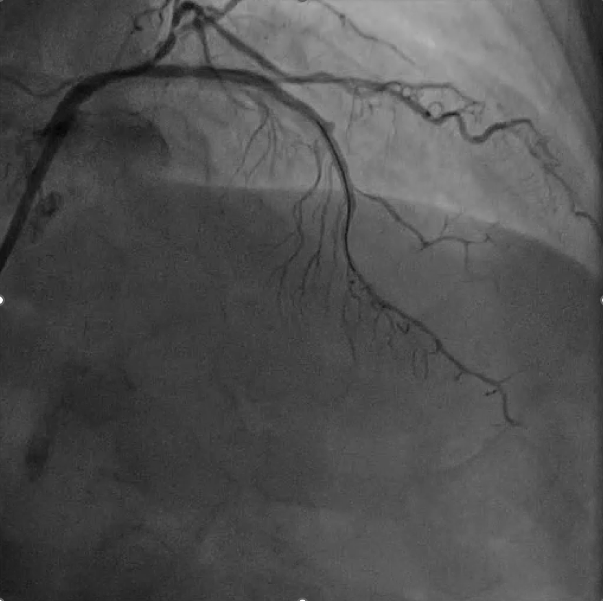
大会首日上午的“Best of Coronary Cases with the Masters”论坛中,首都医科大学附属北京朝阳医院心脏中心张智勇副主任医师作精彩病例分享,展示了一例左主干支架膨胀不全的高危复杂病变处理策略(图3)。

图3.张智勇副主任医师现场汇报
该病例由赵林教授团队主刀完成,团队在面对传统球囊扩张术难以奏效的复杂钙化背景下,创新性地联合应用冠脉旋磨术与震波球囊等多种手段,成功实现支架内足量扩张,保障了治疗安全性与有效性(图4-5)。

图4.术前左主干重度狭窄图

图5.PCI术后冠脉造影
张智勇副主任医师,在汇报中深入剖析了此类病变的高危复杂性与挑战性,并指出单一技术策略难以彻底解决此类复杂钙化病变所致的支架膨胀不全,系统阐述了旋磨、超高压球囊与IVL多技术协同的应用思路,展示了综合策略在优化左主干支架扩张及改善临床结局方面的独特价值。会议主席 Lombardi 教授高度评价了病例的复杂程度,对团队在重度钙化病变综合处理中的策略制定与精细操作给予充分肯定。病例展示引发现场强烈反响,国内外专家踊跃提问,会场座无虚席,充分体现了团队在复杂冠脉介入治疗领域的学术影响力与国际认可度。
Case 2:Successful Retrieval of a Fractured Corsair Microcatheter Tip in a Severely Calcified Coronary Lesion: A Case Report
下午的“Equipment Complications”论坛中,北京朝阳医院心脏中心李闯主治医师汇报了一例复杂冠脉介入术中发生罕见并发症的成功处置病例(图6)。

图6.李闯主治医师汇报
该患者为弥漫性重度钙化冠状动脉病变,在介入治疗过程中突发微导管头端断裂,病情紧急,处理难度极高。面对突发状况,团队临危不乱,凭借扎实的技术基础与丰富的术中应变经验,果断启用先进介入策略,精准定位并顺利取出断裂导管,术中未发生任何并发症,最终成功完成支架植入,恢复冠脉血运(图7-8)。

图7.微导管头端断裂图

图8.冠脉血运重建
李闯医生在报告中详细还原了手术全过程,逐层解析每一环节的技术选择与判断依据,展现出临床团队严谨务实、稳中求进的专业素养。大会主席Dr. Andrejs Erglis教授对手术的技术难度给予充分肯定,并高度评价了团队在高风险情境下的处理策略与结果。汇报结束后,李闯医生收获了来自国际同仁的热烈掌声与“Good Case”的高度赞誉。
Case 3: Retrograde Recanalization of Native RCA CTO via a Heavily Thrombosed Bypass Graft: A Case Report
当地时间10月27日上午,大会“CHIP: CTOs Post CABG”论坛上,李闯医生代表团队分享了一例极具挑战性的逆向开通术病例(图9)。患者为冠脉搭桥术(CABG)术后5年再次发生急性心肌梗死,影像学提示供血静脉桥闭塞,团队决定通过桥血管作为逆向通路,尝试开通原生右冠状动脉(RCA)慢性闭塞病变(CTO)。

图9.李闯主治医师代表团队汇报
静脉桥闭塞是CABG术后患者急性心肌梗死的常见诱因,其特点为血栓负荷大、术中并发症风险高,且术后远期预后不理想。相较之下,重建原生血管的血运通道已被国际指南与专家广泛推崇。本例中,团队采用逐步推进的Tip-injection技术精准完成逆向路径建立,结合主动迎接技术(Active Greeting Technique, AGT)实现RCA CTO的顺利开通,最终获得良好临床效果(图10-11)。

图10.术前造影提示RCA-CTO

图11.RCA开通后血流恢复
术后讨论环节,与会专家围绕抗栓治疗策略、桥血管的后期管理及术中是否应联合使用左心室辅助装置等关键话题展开热烈交流。大会主席及多位国际嘉宾高度评价了病例的手术策略与处理流程,均认为其不仅体现了精湛的技术水平,也为类似复杂临床场景提供了宝贵的借鉴与启发。
北京朝阳医院心脏中心作为国内较早开展复杂冠心病综合介入治疗的中心之一,始终坚持临床与科研并重,积极推动技术与理念的融合创新。在此次国际学术交流中,团队展示了在冠心病介入诊疗方面的扎实积累和科研能力,分享了在疑难病变处理中的经验与成果,获得了国际同行的关注与认可。舞台的精彩亮相,朝阳团队不仅彰显了中国介入团队在疑难病变处理中的硬核实力,也进一步加深了国际同行对中国介入水平的认知与认可。未来,中心将继续加强交流与合作,不断提升诊疗水平,加速迈向“国际一流心血管诊疗中心”的目标,在全球心血管介入领域中贡献智慧与实践。
