

点击图片进入TCT 2025学术专栏

10月26日,在全球顶尖心血管介入会议TCT 2025 Spotlight 专场 “Crack Them All: Through Forward-Impacting and Radial IVL - Spectrumedics Paves the Way for Complex PCI" 上, 复旦大学附属中山医院葛均波院士发表了题为《一种新型介入选择:应用前向冲击波治疗复杂冠状动脉钙化的早期洞察》的主题报告。系统介绍了由谱创医疗与中山医院联合研发的一次性使用冠脉血管内前向冲击波导管(下文简称“前向IVL导管”),并首次向全球公布了三例代表性临床病例,为“无法通过”的严重钙化病变提供了全新的临床解决方案。
此次分享,不仅彰显了中国原创技术在复杂钙化介入领域的先进性与与临床价值,更预示着中国创新方案有望为全球术者与患者提供一项更安全、更有效的治疗选择。在场听众对该项技术产生强烈兴趣与深刻共鸣。

从“无法通过”到“主动开路”
目前,严重钙化病变仍是冠脉介入治疗中的难点,尤其是那些导致器械“无法通过”的坚硬钙化,常使传统技术如球囊型IVL、旋磨、激光等陷入困境。
前向IVL导管采用 “非球囊、前向发射” 的创新设计,能够从器械前端直接发出冲击波,主动碎裂前方的钙化组织,实现“主动开路”,为后续器械顺利通过建立通道。本系列三例病例充分展现了技术具备有效性突出、安全性高、并发率低、且学习曲线短等优势,为临床处理复杂冠脉疾病提供了新的创新解决方案,对推动介入心脏病学发展具有重要里程碑意义。
病例一:开通重度狭窄“生命线”
挑战:63岁男性,前降支近中段90-95%狭窄伴中重度钙化。
核心策略:经前向IVL导管6个周期治疗后,术者感受到明显的“突破感”,器械成功通过钙化段,后续支架植入顺利,影像显示钙化环断裂。
病例二:打通钙化CTO“堵点”
挑战:60岁男性,前降支中段CTO病变,微导管无法通过。
核心策略:经12周期前向冲击波治疗后,导管前向推进约10mm,有效修饰斑块,为微导管通过创造了条件,攻克了CTO-PCI的关键瓶颈。
病例三:失败后的“终极补救”
挑战:74岁男性,前降支中段严重钙化伴90%狭窄,NC球囊、传统IVL球囊、旋磨术均失败。
核心策略:在旋磨引发夹层的危急情况下,经6周期治疗,前向IVL导管成功通过病变,逆转手术困局,最终完成支架植入。
“终极补救”案例详解
山重水复疑无路,柳暗花明又一村
病因探秘
患者基本信息:74岁男性,活动后反复胸闷5年
既往病史:高血压、糖尿病
辅助检查:
实验室检查:cTnT、NT-proBNP正常
心电图:未见异常
心脏超声:左室射血分数66%
病灶识别:

CAG提示:前降支(LAD)中段存在严重钙化病变,伴90%管腔狭窄。
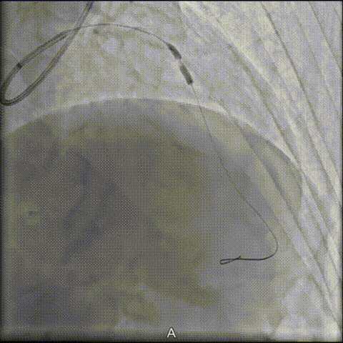
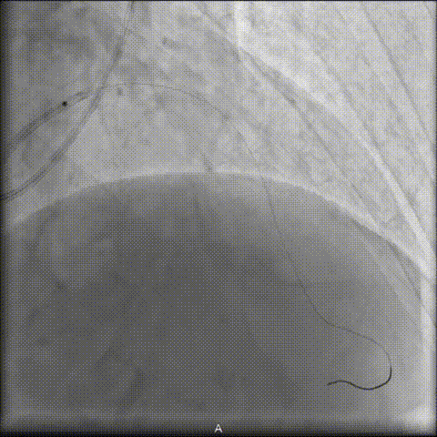
手术过程:
1 NC球囊预扩张失败

首先,采用2.5×15mm NC球囊以16atm×15s预扩张,病变处出现明显“腰征”,提示扩张不充分。
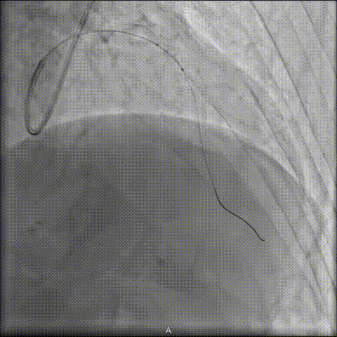
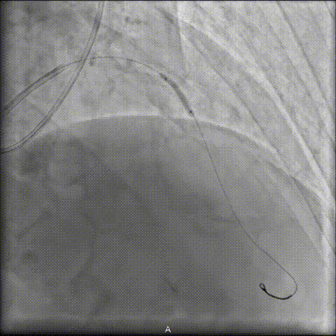
2 传统IVL球囊无法通过

接着,拟采用2.5×12mm 传统IVL球囊未能通过钙化病变段。
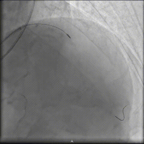
3 旋磨治疗失败并引发夹层


随后,启动旋磨策略:1.25mm磨头首次旋磨后嵌顿,造影提示夹层形成,遂结束旋磨。
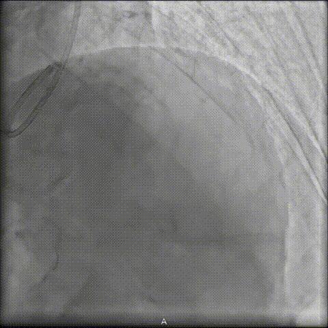
4 前向冲击波导管成功”开路”

经充分评估病情后,陆浩教授将前向冲击波导管作为关键突破策略:导管推送并稳抵病变后,实施“推进式治疗”,经6周期治疗后,术者即感明确的“突破感”,导管随之成功通过钙化病变段。

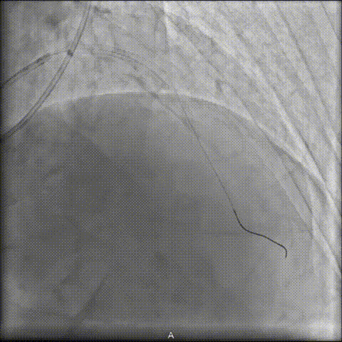
后续NC球囊扩张充分,支架植入顺利。


术后OCT确认支架膨胀充分,贴壁良好。造影提示无残余狭窄,TIMI血流Ⅲ级。
总结

葛均波院士在总结中强调:“这几例病例证实,前向IVL导管为‘无法通过’病变提供了全新的解决方案。它的价值在于改变了我们应对极端钙化的策略逻辑,从‘被动扩张’转向‘主动开路’,这在介入器械理念上是一个重要的进步。”
该国产技术展现出三大核心价值:
1、破局能力:直击“无法通过”这一临床痛点
2、场景覆盖:适用于重度狭窄、CTO及补救治疗等各类复杂情况
3、操作友好:学习曲线相对平缓,安全性更高
未来展望: 国产前向IVL导管凭借其创新的前向作用机制,为破解“无法通过”的冠脉钙化难题提供了有力的中国方案。它的国际首秀,不仅展现了国产医疗器械的研发创新实力,更预示着复杂冠脉病变的介入治疗策略将迎来新的变革。
