

第37届美国经导管心血管治疗学术会议(TCT 2025)于10月25日至28日在美国旧金山拉开帷幕。


研究背景
房间隔缺损是最常见的成年先心病之一,当病人出现胸闷、呼吸困难的症状后,往往提示存在中重度的肺动脉高压,肺动脉高压靶向药物治疗联合经皮房缺封堵术往往是有效的,但是在某些重度肺动脉高压的病例中,靶向药物效果欠佳,会失去最后封堵的机会。PADN是一项新型的肺动脉高压治疗策略,可以通过消融肺动脉交感神经主干达到降低肺动脉高压的作用。本研究创新性地提出了肺动脉高压靶向药物治疗联合PADN和经皮房缺封堵术的序贯疗法治疗房缺合并重度肺动脉高压的策略,可以有效封堵合并重度肺动脉高压的房缺病人。
病例介绍
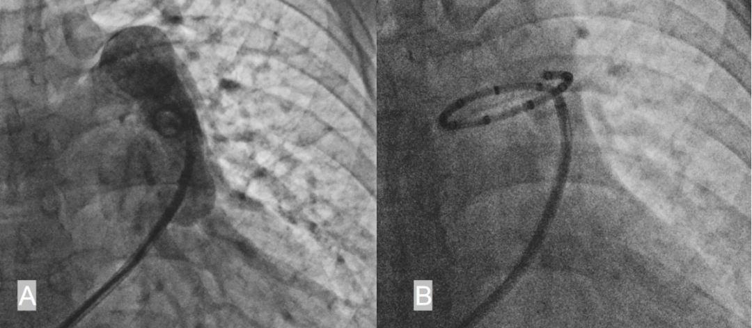
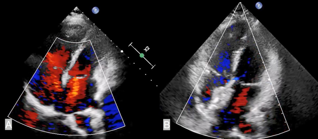
病例1是一名33岁的女性,因反复胸闷气促1年就诊,心超提示有28mm的继发孔型房缺,肺动脉收缩压高达98mmHg,右心导管检查提示患者的平均肺动脉压力为48 mmHg,PVR为5.4 Wood U,Qp/Qs=1.8。经过6个月的双联肺动脉靶向药物治疗,患者的PASP仍高达80mmHg,随后升级为三联(马昔腾坦+利奥西呱+司来帕格)治疗,6个月后封堵尝试失败。因此,我们为患者行PADN治疗,在肺动脉主干与左肺动脉交接处行射频消融治疗,术后随访2个月,患者的平均肺动脉压力降至40 mmHg,PVR为3.2 Wood U,Qp/Qs=2.6。最后成功用32mm的房缺封堵器进行了封堵,封堵术后3个月心超随访PASP成功降至43mmHg。


病例2是一名29岁的女性,反复胸闷气促1年余,心超提示15mm大小的继发孔型房缺,肺动脉收缩压达66mmHg,右心导管检测结果提示平均肺动脉压力为46 mmHg,PVR为7.59 Wood U,Qp/Qs=1.6。经过一个月的三联靶向药物治疗,心超的PASP仍高达65mmHg,因此,我们为患者行PADN治疗,在肺动脉主干与左肺动脉交接处行射频消融治疗,术后患者的平均肺动脉压力降至35 mmHg, PVR降至3.9 Wood U,最终成功用26mm的封堵器进行封堵。

研究解读
PADN作为一种新型的治疗方法能够显著改善肺动脉高压患者的血流动力学、心功能及运动耐力,并降低临床不良结局。复旦大学附属中山医院团队创新性地提出了肺动脉高压靶向药物治疗联合PADN和经皮房缺封堵术的序贯治疗策略,可以有效封堵合并重度肺动脉高压的房缺病人,为该类病人提供了重要的治疗新选择。