
肺动脉高压被喻为心血管疾病中的“癌症”,许多患者面临生活质量严重下降和预期寿命大幅缩短的双重威胁。近日,中山大学附属第一医院心血管医学部主任、党总支书记廖新学教授团队成员,龙明教授应用创新疗法——经皮肺动脉去神经术,为一位系统性红斑狼疮疾病相关肺动脉高压患者顺利完成了治疗。
肺动脉高压心肺改变图示

肺动脉高压常见症状

患者基本情况
45岁,女性,主要诊断有:1.肺动脉高压(重度) 2.系统性红斑狼疮 3.慢性心力衰竭(心功能III级) 4 低钾血症 5.高尿酸血症 6.高脂血症 7.肝囊肿(肝右叶囊肿)。基础检查心衰标记物Ntprobnp 2646pg/ml,服用肺动脉高压三联靶向药物(利奥西呱、马昔腾坦、曲前列尼尔)
超声提示:肺动脉高压估测128mmHg,右房右室明显增大,肺动脉明显增宽44mm,TAPSE是24mm,卵圆孔未闭右向左分流,心包积液微量,三尖瓣重度关闭不全,左心收缩功能未见异常。
CT报告提示:肺动脉主干直径约45mm,未见明确肺栓塞征象。
手术过程
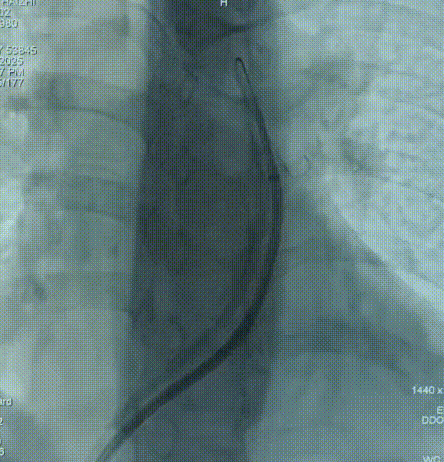
经皮肺动脉去神经术属于微创介入治疗。术前常规行右心导管检查后,交换猪尾巴导管进行肺动脉造影。

肺动脉造影

通过对比术前超声、CT报告及术中造影,选定消融靶点和50mm射频消融导管(按测量直径1.1-1.2倍选择导管)。交换导丝导管,建立消融通道。


加硬导丝引导上鞘
导管出鞘
通道建立后,进入消融导管,调整合适位置后进行消融。


首次消融位置
二次消融位置

PADN术消融黄金三靶点

消融各靶点数据图

DSA侧面图:右一是中山大学附属第一医院龙明教授,右二是右江民族医学院附属医院何斌医生,右三是东莞中西医结合医院曾俊杰医生

DSA背面图
右心导管检查对比表
术前 | 术后 | 变化幅度 | |
肺动脉收缩压 | 126 | 98 | -22.2% |
肺动脉舒张压 | 22 | 24 | 9.1% |
肺动脉平均压 | 59 | 49 | -16.9% |
肺血管阻力 | 20.14 | 18.08 | -10.2% |
附:肺动脉平均压>20mmHg,诊断为肺动脉高压
本次手术消融耗时约半小时,各项指标下降明显,提示有较好的预后。过程中仅在穿刺血管部位局部麻醉,患者全程清醒无不适感。术后返回普通病房,次日出院,状态恢复较好。
术者点评
肺动脉高压的早期症状往往较为隐匿,许多患者在确诊时已处于疾病的中晚期。严重危害其生活质量和预期寿命。建议患者尽早到规范的肺动脉高压诊疗中心进行诊疗。该疾病的治疗以靶向药物作为基础,可以较好的控制疾病进展,但仍面临药物副作用和疗效天花板的挑战。
经皮肺动脉去神经术是一个创新的微创介入治疗方式,通过选择性消融肺动脉交感神经,从根源上干预PAH的神经体液失衡机制,为药物疗效不足的患者提供了新的治疗选择。肺动脉高压患者通过规范化的诊断和多种方式的治疗,可以有效提高生存率和优化生活质量。