

第37届美国经导管心血管治疗学术会议(TCT 2025)于10月25日至28日在美国旧金山拉开帷幕。
当地时间10月25日,浙江大学医学院附属第二医院王建安教授、蒋峻教授团队受邀分享一例“新型pVAD支持复杂高风险PCI”,蒋峻教授代表团队在本次大会中进行报告。


新型pVAD支持复杂高风险PCI
摘要
本次TCT会议团队分享一例71岁男性患者,患有复杂多支冠脉病变(右冠状动脉慢性完全闭塞及左主干分叉病变)且左心室功能严重受损(LVEF 39.2%),在冠状动脉旁路移植术后短期复发心绞痛。鉴于其高手术风险,其患者拒绝再次外科手术,我们在一种新型微轴流泵经皮心室辅助装置(pVAD)的支持下,成功实施了经皮冠状动脉介入治疗。术中虽遭遇严重钙化病变及血流动力学波动,但该装置提供了稳定的循环支持,保障了血运重建的完成。术后患者症状显著缓解,心功能改善。本案例表明,对于复杂高危患者,预防性应用该pVAD是安全可行的,是实现完全血运重建的关键保障。
引言
复杂高危且有血运重建指征的患者日益增多,其经皮冠状动脉介入治疗常因病变复杂与心功能不全而伴随极高的血流动力学崩溃风险。在此类手术中,机械循环支持的应用至关重要。本次团队详细报道一例在新型pVAD支持下,成功为一名合并RCA-CTO与左主干分叉病变、且左心室射血分数严重降低的CHIP患者完成PCI的病例,并探讨其临床意义。
病例展示
病史与评估
患者,71岁男性,因“胸痛15年,加重4个月”入院。既往有高血压、糖尿病史。冠脉造影显示右冠状动脉慢性完全闭塞及左主干分叉严重病变。患者曾于2024年6月接受CABG术,但术后1月胸痛再发,舌下含服硝酸甘油效果不佳。心脏超声提示:中重度主动脉瓣反流、左心扩大、左室下后壁基底段及室间隔中段心肌变薄、运动减弱,左室舒张末期内径5.51 cm,LVEF 39.2%。
治疗决策
综合考虑患者复杂的多支血管病变、严重受损的心功能及CABG术后早期症状复发,心脏团队认为有必要再次血运重建。因患者拒绝再次外科手术,决定在预防性置入新型pVAD的条件下实施高风险的PCI术。
手术过程与结果
手术过程
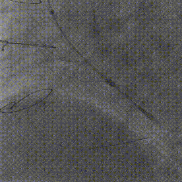
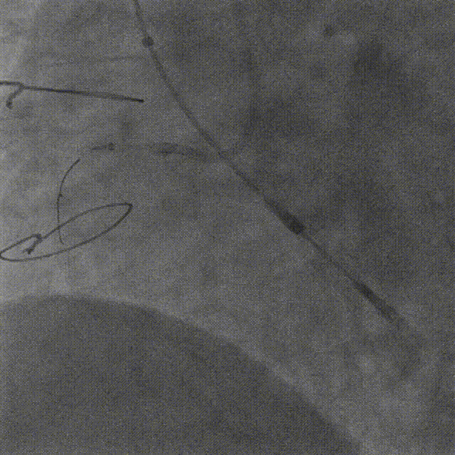
预防性置入新型pVAD后,尝试使用Pilot 200导丝通过RCA-CTO病变未成功,随后使用1.0mm球囊及TrueCross微导管亦未能通过。在尝试旋磨过程中,出现旋磨导丝变形,并并发一过性低血压。得益于pVAD提供的稳定血流动力学支持,手术得以安全继续,最终成功完成对包括左主干分叉病变及RCA-CTO在内的所有病变的血运重建。


初次尝试开通右冠CTO失败,导丝出现变形


在pVAD支持下开通左主干分叉病变


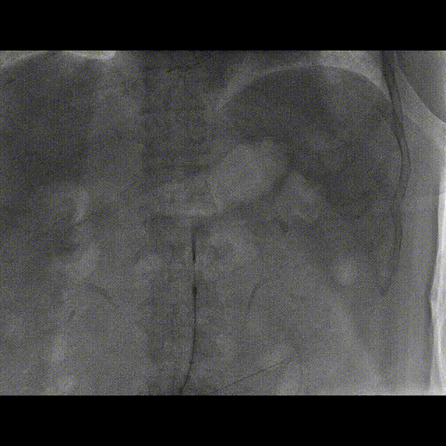
StagePCI时发现右冠病变更为复杂


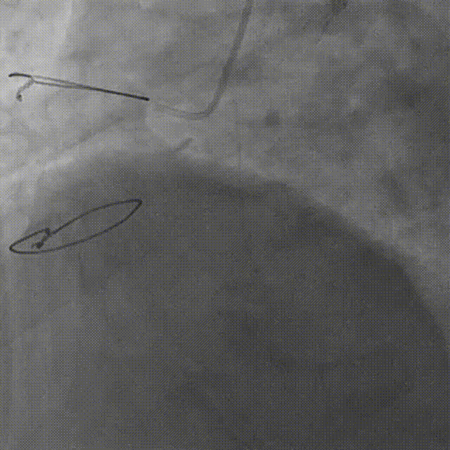
经旋磨技术处理,右冠CTO开通过程和最后结果


右冠术前术后IVUS图像
手术结果与随访
手术成功,无严重围术期并发症。术后患者心绞痛症状显著缓解。短期随访至2025年5月23日,患者仅于劳累时出现轻微胸闷,生活质量明显改善。术后复查显示左室功能有所恢复,证实了此次血运重建的长期获益。
病例解读
本病例成功展示了新型pVAD在CHIP-PCI中的关键作用:
有效的循环支持: 该装置在长时程、高难度介入过程中,有效抵御了因器械操作诱发的血流动力学不稳定,为术者提供了安全的手术窗口。
实现完全血运重建的基石: 在MCS的保障下,术者能够从容应对钙化病变等挑战,最终实现完全血运重建,这是患者症状改善与心功能恢复的根本前提。
器械选择与病变预处理:本案例同时印证,对于严重钙化病变,充分的病变预处理策略至关重要,而稳定的循环支持是实施该策略的先决条件。
结论
对于心功能差、病变复杂的CHIP患者,预防性使用新型微轴流泵pVAD是一种安全有效的支持策略,能够显著降低PCI术中风险,是实现完全血运重建的重要保障。本案例为该装置在更广泛人群中的应用提供了有力的初步证据。