
复旦大学附属中山医院心内科黄浙勇教授
思辨介入困境
解析手术技巧
梳理中山经验
助您从新手变“心”手
每月15日、30日,严道医声独家发布
为何要识别冠脉痉挛?诊断决定治疗,治疗决定预后,甚至攸关生死。看完下列精选的3个案例,其重要性将无需赘言。
病例1
CABG后10年,三支病变去哪儿啦?
1、病史简介
50岁女性,因“活动后胸痛气急6个月”入院。6个月内反复活动后胸骨后疼痛,性质不能描述,持续2~3分钟,伴咽喉部堵塞感和气急,休息后可缓解。予倍他乐克和通心络治疗。5个月前夜间睡眠中突发胸痛1次,持续20分钟后缓解。后至医院就诊,Holter提示部分ST-T段变化(具体不详)。运动平板阳性:运动中II、III、avF、V5、V6导联开始出现ST段上斜型及近似水平型压低0.1~0.2mV,持续约2min,50s开始有心前区疼痛及喉部堵塞感,运动后II、III、avF、V5、V6导联出现ST段水平型压低<0.1mV。心超未见明显异常。予阿司匹林、比索洛尔、单硝酸异山梨醇酯等治疗。
否认高血压、糖尿病、高脂血症、甲亢等病史,否认大动脉炎等结缔组织疾病,否认烟酒史,否认遗传家族病史。2005年9月胸部CT示纵隔和两侧肺门淋巴结肿大,07年行陈旧性肺结核病灶切除。
入院查体、心电图、实验室检查均未见明显异常。拟诊“冠心病、心绞痛”造影。
2、首次冠脉造影
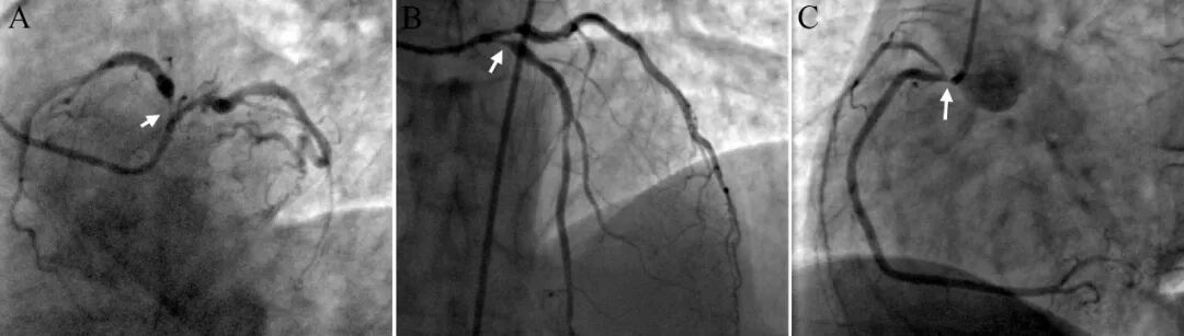
冠脉造影示严重三支开口病变:左主干狭窄80%,累及前降支开口狭窄99%,回旋支开口狭窄90%,右冠开口狭窄90%(图1)。
患者转心外科行全麻下急诊冠脉搭桥手术:LIMA→LAD,RA→OM1→PDA。术后恢复顺利,长期服用阿司匹林、他汀类、倍他乐克、单硝酸异山梨醇酯等药物。

图1冠状动脉造影显示严重三支开口病变,箭头示狭窄部位
3、复查冠脉造影
10年后患者胸闷症状似有反复,活动后稍气促,程度较轻,休息或含服硝酸甘油后缓解。入院复查造影。
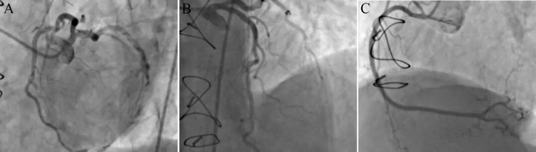
冠脉造影示三支冠脉无狭窄(图2),LIMA桥血管纤细。对比10年前造影,开口狭窄几乎消失(图3)!最合理的解释是,原先狭窄为导管诱发冠脉开口严重痉挛!出院加用贝尼地平抗痉挛治疗,未有胸闷再发。

图2 10年后冠状动脉造影显示三支基本正常

图3 两次造影图像对比,箭头示狭窄部位
4、反思
假如术前或造影术中能及时识别出冠脉痉挛,还需要心外科开胸手术吗?
心脏手术对患者及其家属的负面影响,绝非只是医者口中的“一次手术”这么简单!
病例2
急诊PCI抢救成功,支架需要吗?
1、病史简介
52岁女性,反复胸闷胸痛12小时。活动后胸痛间歇性反复发作,时伴恶心、冷汗,当地心电图提示ST-T改变,cTnI 0.336ng/ml,转院后急诊心电图avR导联ST段抬高,I、II、III、avF、V3-6ST段压低(图4),考虑急性广泛前壁心肌梗死,启动急诊PCI程序。
咳嗽气喘10年,诊断为支气管哮喘。血压升高1年,服用ARB控制良好,无烟酒嗜好。

图4急诊心电图示“6+1”现象,提示左主干病变
2、冠脉造影
患者入导管室后血流动力学不稳定伴意识模糊,血压50/30mmHg,去甲肾上腺素微泵维持,予气管插管呼吸机辅助通气。经右股动脉植入IABP。最少造影剂、最少体位完成冠脉造影:右冠近段完全闭塞,左主干-前降支近段弥漫性狭窄95%,整个左冠系统血流缓慢(图5)。

图5冠脉造影。A 右冠,B左冠
6 F EBU3.5指引导管就位,Sion和Runthrough导丝分别送入前降支主要分支,2.0*20mm球囊扩张,立即植入3.0×26mm支架(图6)。术中室速发作一次,电复律成功。心动过缓发作一次,静推阿托品后,临时起搏器备用。开通血管后病情逐渐平稳,血压升高110/80mmHg。

图6 急诊介入治疗。左主干-前降支球囊扩张(A)后3.0mm支架植入(B)
复查造影冠脉恢复前向血流TIMI3级,整个冠脉血管显著增粗!左主干直径达5-6mm,支架植入位置为左主干-前降支近段-对角支近段(图7A),支架显著偏小。
拟开通右冠病变,SAL0.75指引导管造影到位,造影发现右冠闭塞自行缓解,管径显著性增粗,仅残余近段狭窄30%,前向血流TIMI3级(图7B)。诊断明确为冠脉痉挛!

图7 复查造影冠脉整体性增粗。A左冠,B右冠
3、病情演变
术后患者病情戏剧性好转,术后第一天心超检查左室43/30mm,整体收缩活动协调,EF58%。鉴于病情好转,患者能耐受较长时间的精细化操作,故于术后第二天进行支架的后处理。IVUS指导下反复调整导丝进入支架内并送至对角支和前降支远段,IVUS检查发现支架显著贴壁不良。Quantum4.0×12mm球囊扩张原前降支支架网眼,Quantum5.0×12mm扩张左主干支架,矫正后支架贴壁良好。
出院用药:双联抗血小板、他汀基础上,加用贝尼地平、地尔硫卓、尼可地尔、硝酸酯类等扩冠药物。
1个月后患者入住风湿科,诊断为嗜酸性肉芽肿性多血管炎,嗜酸性粒细胞性哮喘,全组鼻窦炎,予美泊丽珠单抗治疗。
4、反思
本例对于急诊流程而言,抢救非常成功,生命保全,心肌保全。事后诸葛亮的角度反思,支架植入过小是既定事实,支架是否需要植入其实也是可以讨论的。因为同样的右冠严重痉挛,其固定性狭窄仅仅是轻微而已。
如何识别痉挛?尤其是合并心源性休克、不敢使用硝酸甘油的情景下,很难,但很重要!
病例3
用药“标准化”,为何病人死亡?
1、病史简介
60岁男性,因“发作性胸闷胸痛2月余、1周内晕厥2次”住院。胸痛常发生于晨起时,持续1min左右自行缓解。一周前晚间排便时再发胸闷,随即意识丧失,无四肢抽搐、大小便失禁和舌咬伤,1~2分钟后自行复苏。3天前午间活动后再发晕厥,性质同前。当地Holter示窦性心律,凌晨出现无痛性一过性ST段抬高发作,伴二度II型房室传导阻滞和室性早搏。当地考虑变异性心绞痛,予地尔硫卓30mg tid口服。此次入院要求冠脉造影检查。有长期大量吸烟史(20支/日,20年),无高血压、糖尿病和高脂血症病史。
入院体检未见阳性体征,查三大常规、血脂、血糖、电解质、肝肾功能、心肌标志物、NT-proBNP均正常,心电图示窦性心动过缓,心率56bpm(图1),予停用地尔硫卓等钙通道拮抗剂。

图8 入院心电图
2、冠脉造影
次日行冠状动脉造影提示三支临界性病变(图9)。左主干狭窄30%~40%;前降支弥漫性病变,近中段狭窄50%,第一对角支狭窄50%;回旋支开口狭窄60%,中段狭窄40%;右冠弥漫性病变,中段狭窄最重40%;后降支开口狭窄狭窄70%。造影难以判断痉挛部位,故未予支架置入。拟次日进行科内讨论药物治疗方案,并进一步评估安装起搏器或埋藏式心脏复律除颤器(ICD)的必要性和可行性。

图9 冠脉造影
3、病情演变
造影当晚20:05出现胸痛发作,伴微汗,心率55bpm,血压80/50mmHg,心电图见II、III、avF导联ST段明显抬高, V3~V6导联ST段显著压低伴T波负正双向(图10)。值班医生予硝酸甘油静滴,多巴胺180mg加入NS500ml中静滴(30ml/h增加到60ml/h),吗啡3mg静推止痛。半小时后患者胸痛有所缓解,ST段逐渐回落,但V1~V3导联T波一过性抬高呈损伤性超急性期改变;然后症状逐渐缓解,心电图恢复发作前状态。急查cTnT正常。

图10入院后第一次心绞痛发作时心电图
23:10再次胸痛发作,程度更加剧烈,大汗,神志淡漠,心电监护示窦性心律,心率110bpm,血压70/40mmHg,心电图见V2~V6导联ST段显著抬高并与宽大QRS波融合,逐渐形成单向巨大R波,同时II、III、avF导联ST段也有轻度抬高(图11)。值班医生考虑患者血压明显降低,停用硝酸甘油静滴,多巴胺畅滴。并联系导管室拟急诊造影。但患者病情进一步恶化,出现室性心律失常,予胸外按压,150~200J双向波复律共4次,期间反复静推肾上腺素共13mg,异丙肾上腺素2mg,阿托品1mg,最终患者病情持续恶化死亡。

图11 入院后第二次心绞痛发作时心电图
4、反思
冠脉痉挛总体而言是良性疾病,但存在难治性、恶性的病例。更重要的是,冠脉痉挛属于“异质性”的冠心病,若处理不当,非但不能缓解病情,反而可能诱导痉挛、加重痉挛,甚至成为压垮骆驼的做后一根稻草。
(1)假如能明确诊断冠脉痉挛,你会贸然停用CCB吗?
冠心病抗心绞痛的标准化用药顺序:β受体阻滞剂→硝酸酯类药物→钙拮抗剂。血管痉挛选药顺序刚好相反:钙拮抗剂→硝酸酯类药物→β受体阻滞剂(相对禁忌)。CCB撤药可导致血管痉挛性心绞痛症状的反跳和加重,这可能是冠脉反复、持久、多支痉挛的诱因。
(2)假如能明确诊断冠脉痉挛,急诊抢救期间还会使用大剂量多巴胺和肾上腺素吗?
ACS合并合并血流动力学不稳定(严重缓慢性/快速性室性心律失常、严重低血压、甚至心跳骤停)时,常规使用多巴胺、肾上腺素等药物。但血管痉挛性心绞痛时,应首选机械辅助支持下冠脉内使用硝酸酯类,因为大量的多巴胺、肾上腺素可能诱发痉挛、加重痉挛。
上述3个案例说明,假如冠脉痉挛诊断不明,可能导致错误的外科搭桥、不必要的支架置入、不正确的药物治疗、甚至推向死亡!
至于如何识别冠脉痉挛,且听下文分解。
(向病案的提供单位和个人致谢!)
“中山PCI解码”下期预告
迷雾剧场:造影如何识别冠脉痉挛?


