严道医声网
严道医声网
严道脑血管网
严道医学网
学院
课程
文章
会议
下载
关于我们
搜索
登录
/
注册
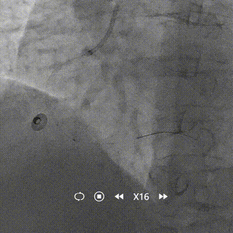
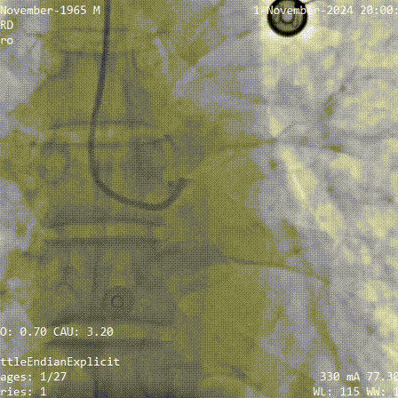
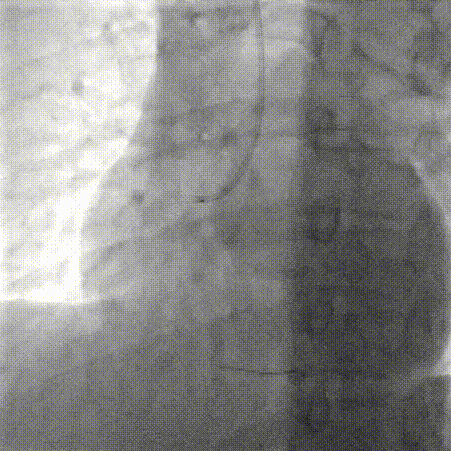
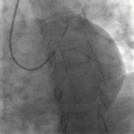
抽吸【例】量|【捷】谈血栓抽吸
2025-10-14 14:46
自动播放
阅读数: 185