
右冠状动脉异常起源于主动脉(R-AAOCA)是一种罕见的先天性异常,随着心脏成像技术的广泛应用,其诊断率日益增加。根据美国和欧洲的指南,R-AAOCA在中年和老年人群的冠状动脉疾病评估中常被偶然发现。尽管大多数此类异常临床意义不大,但具有动脉间走行(主动脉与肺动脉之间)且合并壁内段(主动脉壁内走行)特征的亚组,与心肌缺血和心源性猝死风险增加相关。然而,仅仅存在这些解剖学特征并不一定意味着存在血流动力学意义或需要血运重建,这使得识别高危人群具有挑战性。

当前,欧美指南强调功能评估在R-AAOCA管理中的重要性,包括有创冠状动脉造影联合药物负荷试验,例如在多巴酚丁胺-阿托品容量激发试验期间进行的血流储备分数(FFR)检测(多巴酚丁胺FFR),但该操作需要专业技能,且可能给患者带来不适,并存在失败风险和并发症可能。因此,开发一种可靠的无创成像方法以减少有创检查的需求,成为临床实践的迫切需求。

本研究旨在系统评估无创解剖成像(冠状动脉CT血管成像,CCTA)和功能成像(核素显像)在R-AAOCA血流动力学评估中的诊断性能,为优化诊断流程提供证据。
方法
本研究为前瞻性单中心队列研究,于2020年6月至2025年1月在瑞士伯尔尼的冠状动脉异常专科门诊进行。
纳入标准包括:年龄超过18岁、新诊断的R-AAOCA且存在动脉间和壁内联合走行、右冠状动脉优势,且患者签署知情同意书。
从109例新诊断R-AAOCA患者中,最终纳入55例进行分析。所有患者均接受多模态心脏成像:首先进行CCTA解剖评估,随后进行功能性核素显像(运动负荷SPECT或多巴酚丁胺负荷PET),最后以有创多巴酚丁胺FFR测试作为参考标准。血流动力学相关性定义为多巴酚丁胺FFR值≤0.8。

结果
本研究共纳入55例患者,平均年龄51岁(标准差12岁),男性占67%(37例),女性占33%(18例)。
患者合并症包括血脂异常(51%)、高血压(29%)和吸烟史(42%)。所有患者的R-AAOCA异常血管均未发现狭窄性动脉粥样硬化斑块。然而,7例患者(13%)合并冠心病,其中2例(4%)的异常血管走行远端存在大于50%的狭窄。这些病变均在无创和有创功能诊断评估前通过支架植入术进行了治疗。
多巴酚丁胺FFR的中位数为0.87(IQR 0.80-0.91),其中15例(27%)为血流动力学相关(FFR≤0.8),值得注意的是,15例患者中有9例的多巴酚丁胺FFR值处于0.75-0.80的灰色区域。
CCTA解剖评估结果:
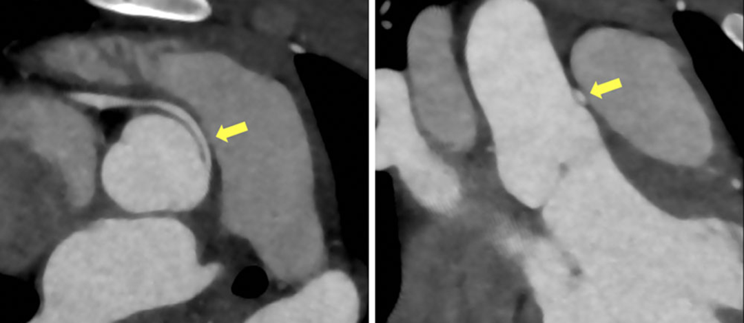
逻辑回归分析显示,CCTA参数中R-AAOCA最小管腔面积(OR 0.27)、最小管腔面积短轴(OR 0.002)、开口部管腔面积(OR 0.51)和开口部短轴(OR 0.01)对预测血流动力学相关性最具显著性(均P<0.01)。
ROC曲线分析以最大化敏感性为阈值选择标准,CCTA开口部短轴(cutoff≥1.8 mm)的诊断性能最佳(AUC=0.82),敏感性为100%,NPV为100%,特异性为57%,PPV为47%。其他参数如最小管腔面积等也显示类似趋势,但开口部短轴的可重复性最高(测量者内/测量者间相关性良好)。
核素负荷试验结果:
核素显像(SPECT,n=26或PET,n=29)在预测多巴酚丁胺FFR≤0.8时,整体准确度为80%,特异性为100%,PPV为100%,但敏感性仅为27%,NPV为78%。仅4例患者(占血流动力学相关病例的27%)检测到缺血,且均为真阳性,无假阳性病例。负荷试验期间,有创负荷试验与无创功能评估的心率、血压等血流动力学参数无显著差异。

多模态成像联合应用:
通过结合解剖学和功能性无创成像的多模态心脏成像方法,共49%的患者(27例)被正确评估(图1):CCTA排除了42%血流动力学不相关的R-AAOCA患者(23例,占非血流动力学相关病例的58%),核素显像正确识别了7%的患者(4例)为血流动力学相关的R-AAOCA患者。其余病例(28例,51%)需进一步有创评估。
研究提出分步诊断路径(图2):首选CCTA排除血流动力学无关病例,剩余病例可选核素显像以部分识别血流动力学相关者,最终减少有创检查需求。

讨论
在这项前瞻性队列研究中,使用了迄今为止最大的队列,评估了无创解剖和功能成像对R-AAOCA患者血流动力学相关性的诊断性能,并将其与多巴酚丁胺FFR参考标准进行了比较。研究结果表明,这种联合方法使CCTA能够排除血流动力学相关性,而功能成像能够确认血流动力学相关性,从而将有创检查的需求减少。
在成人R-AAOCA患者中,分步应用CCTA(高敏感性排除)和核素显像(高特异性确认),分步多模态成像联合应用平衡了诊断效率与安全性。
严道心得
本研究为R-AAOCA管理提供了实用框架。CCTA的排除价值突出,核素显像的低敏感性则需结合临床进一步解读。未来研究应扩展至左冠状动脉异常或儿科人群,并探索FFR阈值在非动脉粥样硬化机制中的适用性。
此方法有望优化资源分配,但个体化决策仍需综合患者症状和危险因素。