

2025年10月3日,厦门大学附属心血管病医院(以下简称“厦心”)王焱院长团队应意大利介入心脏病学会年会(GISE 2025)邀请,成功应用爱德华SAPIEN 3瓣膜向全球同行跨国转播两台高难度TAVR手术。这是厦心首次与GISE合作开展手术转播,标志着中国心脏介入技术进一步获得国际认可。

意大利介入心脏病学会(GISE)是欧洲心脏介入领域的权威学术组织之一。此次厦心王焱团队受邀进行手术转播,是GISE对中国TAVR技术水平的高度认可,双方均将此次合作视为跨国学术交流的重要契机,为确保转播过程顺畅、手术演示精准呈现,术前进行了多轮技术对接和流程演练,为转播的成功奠定了坚实基础。此次手术转播不仅展示了中国在心血管介入领域的技术实力、临床智慧,更凭借高质量的手术演示与专业互动,赢得了与会国际专家的广泛关注与高度评价。

聚焦复杂病例,术中决策引国际关注
本次转播的两台手术均为Type 0型二叶式主动脉瓣伴重度主动脉瓣狭窄病例,其中第二例合并重度钙化的病例,成为全场焦点,术中团队就关键操作与GISE主席团展开深度交流。


首例患者为典型的Type 0型二叶式主动脉瓣重度狭窄,手术团队结合术前超声,经充分讨论综合评估后,计划植入23mm人工瓣膜,约8-10% oversize。
术前CT评估
术中,团队顺利完成瓣膜输送、定位与释放,术后评估显示瓣膜位置满意,功能良好,未见明显瓣周漏,为后续高难度病例的演示奠定良好开端。

瓣膜释放

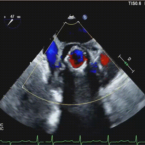
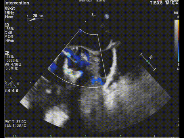
术后食道超声-短轴color

术后食道超声-长轴-color

术后造影


第二例患者病情更为复杂,除 Type 0 型二叶式主动脉瓣重度狭窄外,还伴有主动脉瓣明显增厚钙化、开放严重受限、心功能 NYHA II 级等问题,且患者明确拒绝外科手术,TAVR成为唯一有效治疗方案。考虑到患者钙化程度高,团队术前制定个性化方案,并决定术中应用脑保护装置,降低手术风险。


重度钙化Total calcium:2088 mm3 (597 HU),Total calcium:1062 mm3 (850 HU)

术前CT评估

置入脑保护装置
手术过程中,团队在球囊预扩尺寸、瓣膜释放位置及后扩容积等关键环节与GISE主席团专家进行了深入探讨。
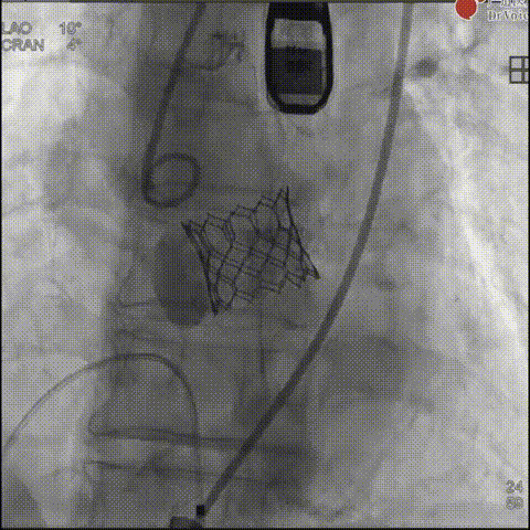
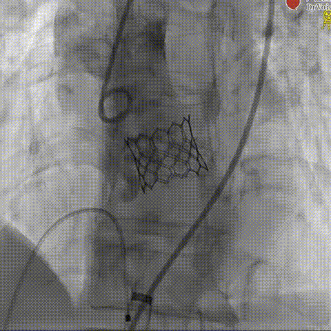
团队首先采用18mm球囊进行预扩处理,为23mm瓣膜输送开辟通路;瓣膜释放阶段,考虑到钙化团块扩张有一定不确定性,为安全起见,通过快速起搏配合减1.5cc容积“downsize”释放策略,实现瓣膜初步精准定位;释放后造影发现瓣周漏,团队随即与GISE主席团专家在线沟通,共同探讨瓣膜后扩优化方案,最终选择增加1.5cc球囊进行后扩,术后瓣周漏明显减少至微量,食道超声确认瓣膜位置、形态及功能均达理想状态,手术取得圆满成功。

球囊预扩

瓣膜释放

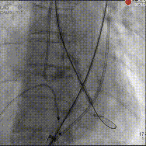
瓣膜释放后造影

球囊后扩

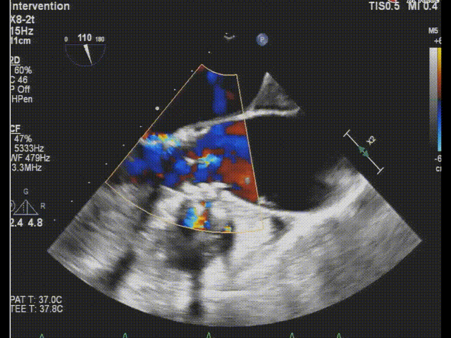
术后食道超声-短轴color

术后食道超声-长轴color
术后造影
这一系列精准操作与实时学术交流,既展现了中国术者的技术水准与团队协作能力,让国际同行直观看到中国团队的诊疗逻辑,也体现了开放协作的学术精神。

术后在现场的多位欧洲专家(Francesco Saia教授、Carlo Di Mario教授、Giuseppe Tarantini教授、Antonio Colombo教授)均对此次手术给予高度评价,认为中国在经导管介入领域取得的实际成就令人大开眼界——这类type 0型二叶瓣病例在欧洲常规方案仍为外科,但目前国内及国际上越来越多的证据提示相当部分解剖结构合适的患者进行TAVR治疗也能取得相当好的短期和中长期疗效。欧洲的专家们期待未来能与中国的优秀团队开展更多此类学术交流。
技术积淀深厚,引领瓣膜介入领域发展
作为国家心血管疾病临床医学研究分中心、国家心血管病区域医疗中心及全国首批心脏瓣膜病介入中心,厦门大学附属心血管病医院王焱院长带领的TAVR团队积累了丰富经验。自2014年完成福建省首例TAVR手术以来,医院手术量与技术难度持续稳居全国前列,目前已常态化开展各类复杂瓣膜介入手术,尤其在球扩瓣治疗二叶式主动脉瓣狭窄方面积累了丰富经验,为TAVR技术的规范化推广提供了重要实践参考。
此次跨国手术转播的成功,不仅是厦心技术实力与学术影响力的体现,也为中欧心血管介入领域搭建了新的交流桥梁。未来,厦心将继续推动技术创新,加强国际协作,为提升全球心血管疾病诊疗水平贡献更多“中国智慧”与“中国力量”。