
近年来,随着我国结构性心脏病介入治疗的快速发展,经导管二尖瓣及三尖瓣缘对缘修复技术(TEER)已成为心脏瓣膜病治疗的重要方向。面对庞大的患者群体和复杂的技术要求,系统性培训与规范化推广显得尤为重要。正如本届会议主席陈样新教授所言:"我们之所以坚持举办14届培训,就是要从理论、实操到复杂情况处理,全面赋能广大医师,让更多中心能够独立开展这项技术,为更多患者提供帮助。"在此背景下,本届培训班延续"理论+实操+超声专项"的多维教学模式,旨在推动TEER技术在我国的规范化应用与区域性普及。
2025年9月25日,广东省第十四届二尖瓣/三尖瓣TEER培训班成功举办。作为国内结构性心脏病介入治疗领域的重要培训项目,本次培训班聚焦经导管二尖瓣及三尖瓣缘对缘修复技术(TEER)的规范化推广与临床应用深化,通过“手术直播演示+实时互动讲解”的沉浸式教学模式,为参会医师搭建高水准的学术交流平台,助力华南地区心脏瓣膜病介入治疗水平的整体提升。
复旦大学附属中山医院葛均波教授在开幕致辞中,首先对全体与会专家同道表示热烈欢迎。他指出,TEER技术作为心脏瓣膜病介入治疗的重要发展方向,近年来在国内迅速发展并日趋成熟,显著改善了广大患者的预后与生活质量。本届培训班围绕二尖瓣与三尖瓣TEER两大关键技术展开系统教学,旨在促进临床经验的交流与技术要点的规范。葛均波教授特别强调,三尖瓣TEER操作难度高、学习曲线陡,希望通过此次培训与各位专家共同探讨、共同进步,推动我国结构性心脏病整体诊疗能力的持续跃升。
实战亮剑
一站式双瓣TEER精彩演示
▼▼▼
会中,陈样新教授、周淑娴教授与麦憬霆教授手术团队联袂完成了一例高难度的二尖瓣联合三尖瓣TEER手术演示,直观展现了该技术的核心特点与临床价值。

病例资料
本次手术患者为一名80岁老年男性,因“反复胸闷、气促1年”入院,既往有房颤病史超过十年,虽经规范抗心衰、抗凝等药物治疗,症状仍反复发作。心脏彩超提示二尖瓣、三尖瓣重度反流,肺动脉压轻中度增高(45mmHg)。经团队综合评估,认为患者符合经导管二尖瓣、三尖瓣TEER手术指征。
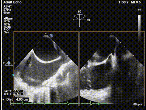
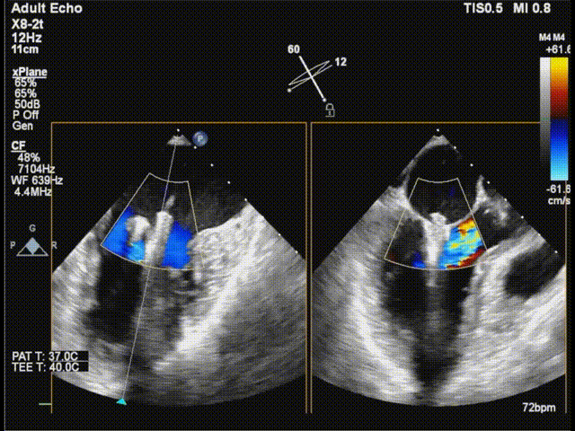
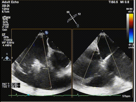
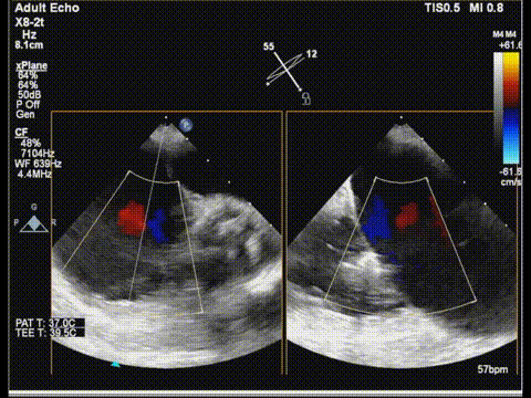
术前食道超声:
房颤,瓣环扩大的房性二尖瓣反流,反流主要集中在二区,二区后叶部分脱垂,后叶的长度16mm,前叶的长度是37mm。房间隔整体的条件可,从瓣环到拟定的卵圆窝顶部高度大概是41mm。


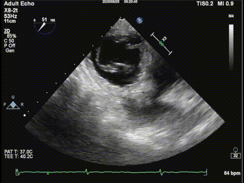
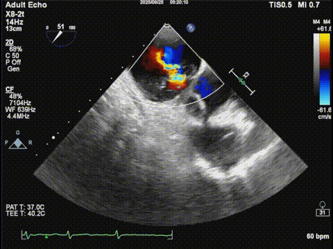
二尖瓣2区
二尖瓣2区color


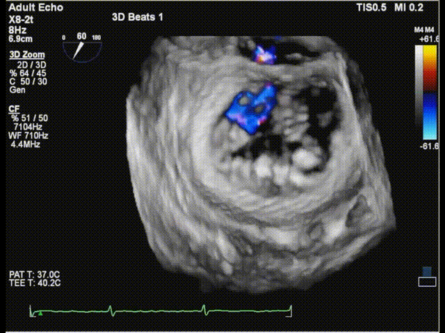
二尖瓣3D
二尖瓣3Dcolor

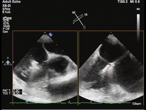
三尖瓣
三尖瓣反流以膈叶脱垂为主,反流主要集中在前叶和膈叶间,从中心区向边缘区的蔓延。后叶又有分了两个叶,分型上属于IIIb型的三尖瓣反流。


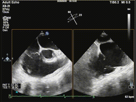
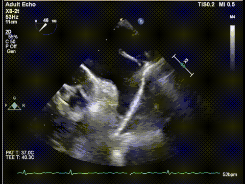
三尖瓣膈叶前叶
三尖瓣膈叶前叶color


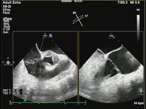
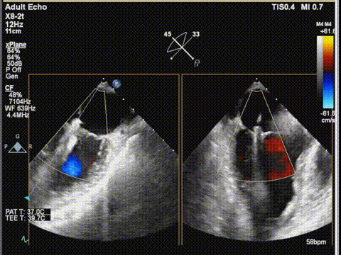
三尖瓣胃底界面
三尖瓣胃底界面color
手术过程
团队首先在经食道超声引导下完成房间隔穿刺,穿刺高度约4cm,随后交换超硬导丝至左上肺静脉,顺利置入导引系统。在二尖瓣处理阶段,团队精准操控夹合器于二区偏三区位置成功植入第一枚长窄型夹子,术后超声评估显示内侧反流基本消失,仅剩余外侧小部分反流,第一枚架子植入后前叶长度31mm,较前缩短6mm。


房间隔穿刺
交换超硬导丝至左上肺静脉


第一枚夹子钳夹瓣叶后评估
第一枚夹子钳夹瓣叶后评估3D
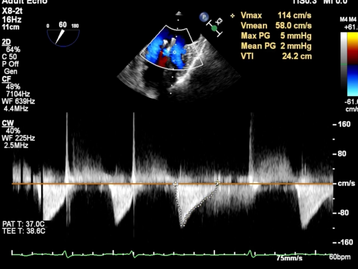
为进一步优化效果,团队在第一枚夹子外侧以“side by side”方式植入第二枚长窄夹,最终使二尖瓣反流降至微量水平,平均跨瓣压差维持在约2mmHg。


释放二尖瓣夹子
第二枚夹子钳夹二尖瓣瓣叶


第二枚夹子钳夹瓣叶后评估
释放第二枚夹子


二尖瓣术后评估
随后,团队将操作重点转向三尖瓣。在胃底食道超声界面引导下,调整夹合器位置并成功跨瓣,在确保充分捕捉前叶与膈叶后释放夹合器。术后三尖瓣反流明显减轻,遂完全释放夹合器,手术顺利成功。


调整胃底界面评估三尖瓣夹子位置
夹合器钳夹三尖瓣瓣叶后评估


释放三尖瓣架子
三尖瓣架子释放后评估
整台手术过程顺利,共植入二尖瓣夹2枚、三尖瓣夹1枚,术后患者血流动力学稳定,手术取得圆满成功,不仅展现了团队精湛的技艺,还为现场学员提供了宝贵的学习范本。
本次演示的一站式双瓣修复已经是团队第二次实施的双瓣一站式手术,均确定了十分满意的效果,充分展现了TEER技术的独特优势。该技术通过单次手术同期处理严重的二尖瓣与三尖瓣病变,能有效减少手术次数及创伤、降低器械消耗与总体费用,对患者疾病管理也更有利。相较传统外科手术,缘对缘修复技术具有创伤小、并发症少、患者接受度高的独特优势。此外,在处理如电极相关三尖瓣反流等复杂病例时,缘对缘修复还能够有效解决一些因电极粘连或压迫导致的反流,显示出较其他修复技术更广泛的适用性。
聚焦难点
TEER策略与并发症深度论道
▼▼▼
TEER技术的学习不仅在于掌握操作步骤,更重要的是理解不同术者的策略思考,通过充分的交流讨论,才能实现经验的真正积累与技术的有效提升。在手术演示的互动环节,与会专家围绕TEER手术中的关键技术要点与临床决策展开了深入讨论。
1. 鞘管选择与房间隔穿刺策略
朱政斌教授就鞘管规格提问,术者回应指出,三尖瓣与二尖瓣TEER所用鞘管内径相同,但三尖瓣鞘管头端设计更短,以适应其跨瓣路径,操作时需注意转弯角度的差异。
Kent So教授进一步探讨穿刺高度对操作的影响,术者表示,三尖瓣路径对穿刺点高度的要求相对宽松,尤其在功能性二尖瓣反流病例中更具容错性;但对于原发性二尖瓣反流伴明显脱垂者,建议采用较高穿刺位点,以降低器械缠绕风险。
2. AFMR与DMR的个体化治疗策略
张源教授提出关于房性功能性二尖瓣反流术后瓣口面积、跨瓣压差与残余反流之间平衡的问题。
术者从病理机制角度分析,指出AFMR本质为瓣环扩张,治疗策略应区别于DMR。建议在瓣叶长度有限的情况下优先选用短臂夹,若瓣口面积允许可采用双夹并列植入以分担张力、降低单瓣叶捕获风险。他强调,AFMR患者可适度保留微量反流以控制跨瓣压差,随着术后左房重构,反流有望进一步改善;而DMR则应力求彻底解决脱垂问题。
3. 术中并发症预防与超声策略
张源教授进一步询问消化道出血的预防经验。术者强调应尽量减少胃底切面的使用频率,仅在确认夹合器位置与朝向时使用,多数评估可转至食管中段完成,以降低黏膜损伤风险。
4. 特殊人群的病例筛选
关于瓣叶质地是否影响病例选择的问题,术者明确指出,合并结缔组织病或长期透析的患者瓣叶组织脆弱、抗拉性差,术中易发生撕裂或穿孔,应作为高危因素严格筛选。除非原发病控制稳定,否则不建议早期积极干预。
陈样新教授表示:“通过专家间的问答互动,不仅解决了手术中的具体技术难题,更展现了不同术者对病变处理策略的思考差异,为参会医师提供了宝贵的学习机会。这种深入的学术交流正是推动TEER技术在我国规范化开展的重要动力。”
前瞻未来
立足临床需求,引领区域协同发展
▼▼▼
本次培训班通过“手术直播+实时互动”的教学模式,构建了沉浸式学习场景。对于初次接触TEER技术的学员而言,理解手术策略的制定逻辑远比单纯模仿操作步骤更为重要——为何选择该穿刺高度?为何采用双夹并列?为何在此处捕捉瓣叶?这些决策背后的临床思辨正是需要重点关注的核心。通过线上线下的多形式互动,学员们得以深入参与术中讨论,在交流中理解不同术者的策略差异,而这种思维碰撞正是技术传承与创新的重要源泉。
展望未来,TEER技术拥有广阔的发展前景。陈样新教授指出:“一方面,该技术创伤小、并发症少、患者接受度高,相较于传统外科手术具有明显优势,能够满足大量心脏瓣膜病患者的临床需求。另一方面,技术推广仍需培养更多能独立开展操作的术者,并持续推进临床研究,探索技术在更多不同类型患者群体中的应用潜力。”未来,培训班计划进一步扩大区域合作,与香港、台湾及国内更多优秀中心联动,构建更广泛的学术交流与培训平台,共同推动我国结构性心脏病介入治疗水平的整体提升。

