

9月24日,由空军军医大学西京医院主办的“杨”帆远航·启心筑瓣——TAVR-TPVR规范化操作手术交流班顺利举行。本次会议作为系列学习班的第22期,采用“线上+线下”相结合的形式,汇聚了心血管介入与外科领域的多位知名专家,共同探讨TAVR与TPVR的最新进展、临床实践经验与规范化操作路径。活动包含专题授课、病例分享、手术实战直播及模拟工坊,内容务实、干货满满,为推动瓣膜病学科发展注入了新的动力。
开场致辞
序章新启聚共识
▼▼▼

开场环节中,杨剑教授代表主办方向到场专家和学员表示热烈欢迎。他指出,“杨”帆远航系列至今已走过二十余期,始终致力于推动介入瓣膜技术的普及和规范化发展。通过病例分享、手术转播及模拟操作等多维度交流,学员们能够在实战演练与思想碰撞中收获提升。杨剑教授强调:“TAVR与TPVR不仅需要技术本身的创新突破,更需要依托学术平台实现标准化与广泛推广,这离不开各位同道的共同努力和支持。”
专题授课·智慧领航
聚焦前沿指南
▼▼▼
杨剑教授: 2025经导管主动脉瓣置换最新进展及TAVR患者选择

杨剑教授回顾了TAVR landmark trial对指南更新的推动作用,并重点介绍了2025 ESC/EACTS瓣膜病指南的关键变化。他指出:主动脉瓣狭窄的干预时机整体前移,无症状患者也可提前进入治疗通道;TAVR在≥70岁人群中确立为Ⅰ类推荐,且在复杂解剖患者中的优势愈发明显;主动脉瓣反流治疗首次纳入TAVR(Ⅱb推荐),标志着介入治疗从AS拓展至AR,进入“双适应症时代”。他强调,未来患者选择应更加精准,平衡解剖复杂度与技术可行性,确保患者长期获益。
刘洋教授: TAVR手术Step by Step手术流程及进阶技巧

翟蒙恩教授代表刘洋教授,从血管入路操作、导丝跨瓣技巧、球囊预扩和瓣膜释放四个方面进行了详细讲解。他围绕股动脉入路评估的“3C原则”(血管口径、钙化程度、走行迂曲)、跨瓣导丝操作、球囊预扩的利弊权衡及可回收瓣膜释放等关键环节进行了深入剖析。他强调,跨瓣操作要点在于避免左室损伤,必要时可利用成角导管修正导丝走行;球囊预扩应结合患者解剖与瓣膜型号进行个体化选择;术中CALM原则(多体位、多切面联合影像评估)是确保人工瓣膜植入成功的关键。
金屏教授: TAVR围术期管理

金屏教授系统阐述了MDT团队的重要性。他指出,术前需要对患者进行全方位评估,包括既往手术史、合并症、心功能及影像学检查,以便预测潜在风险;术中应强化团队协作,优化麻醉方式,实时监测血流动力学并快速处理并发症;术后则要重视抗栓策略、并发症预防与随访管理。通过“术前精准—术中协同—术后康复”的全链条管理,方能实现患者的长期获益。
薛武超教授: TAVR手术并发症预防与处理

薛武超教授以《TAVR手术并发症的预防与处理》为主题,结合实际案例分享了瓣膜下滑、瓣膜“pop-out”、瓣周漏、冠脉阻塞及传导阻滞等高风险情境的应对策略。他提醒术者:“TAVR手术没有真正意义上的低危病例,术者必须敬畏每一个操作细节。”他强调,全面的术前影像分析、多学科配合以及掌握多种替代操作手段,是预防和化解突发风险的核心。
李兰兰教授: 多模态影像系统及3D打印指导TAVR的精准化治疗

李兰兰教授指出,常规CTA虽能评估瓣环与入路结构,但在复杂三维解剖呈现上存在不足。西京团队通过引入3D打印技术,能够高度还原患者主动脉根部结构,开展个体化术前规划与体外模拟,帮助医生在植入深度选择、风险预测及并发症防控上更加精准。她同时提出,未来人工智能与3D打印结合,有望进一步提升术前评估效率,降低手术并发症风险,为TAVR的个体化治疗提供强有力的工具。
翟蒙恩教授: 经导管人工肺动脉瓣置换术专家共识解读及病例分享

翟蒙恩教授系统回顾了亚洲地区TPVR最新共识,梳理了适应证与禁忌证,并结合一例先心病术后年轻患者的实践经验,展示了TPVR在肺动脉瓣关闭不全中的临床价值。他指出,随着介入器械的不断迭代,TPVR将为更多复杂患者提供微创治疗新方案。
手术直播·技术深化
精准操作见真章
▼▼▼
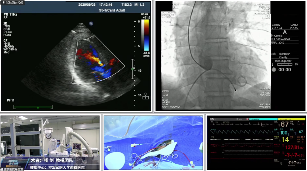
手术直播是验证理论与锤炼技术的核心环节。杨剑教授团队通过直播演示了三台教学价值极高的TAVR手术,涵盖单纯主动脉瓣反流、极重度钙化Type 1二叶瓣与超大左房合并二尖瓣狭窄,系统展示了应对不同解剖难点的手术策略与技巧。

手术直播1:单纯主动脉瓣反流
本例患者66岁男性,间歇性胸闷、气短1年。超声提示中量主动脉瓣关闭不全,合并少量二尖瓣与三尖瓣反流。
CT评估提示三叶瓣结构,无明显钙化,窦部空间充足;冠脉开口位置安全;主动脉弓角度锐,外周血管走行迂曲,术中释放轴向控制存在挑战。





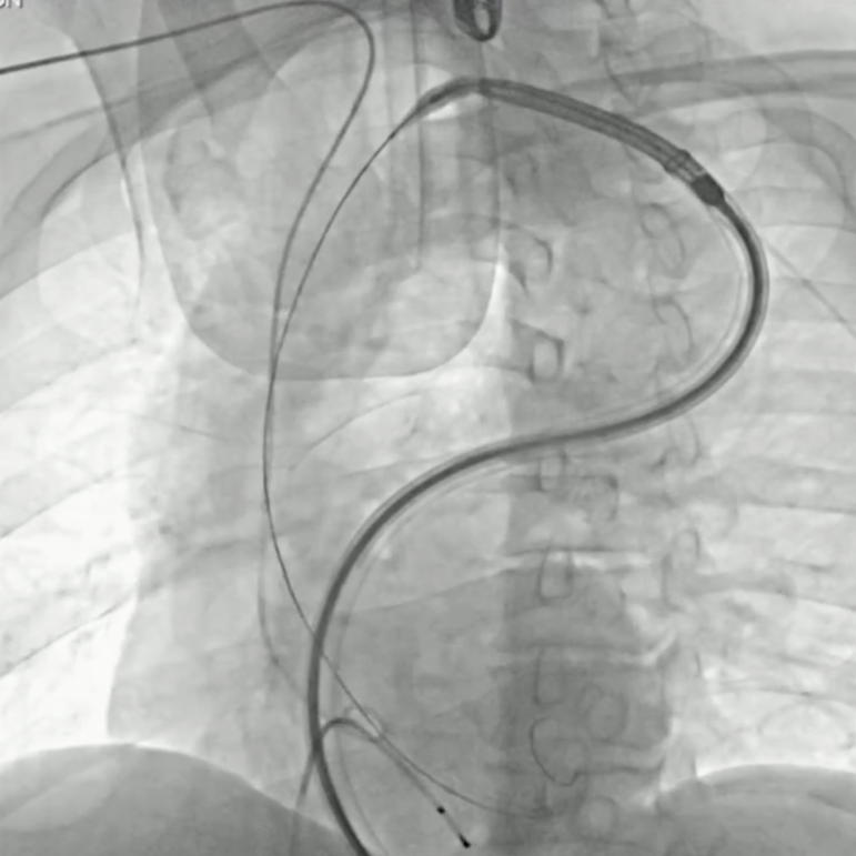
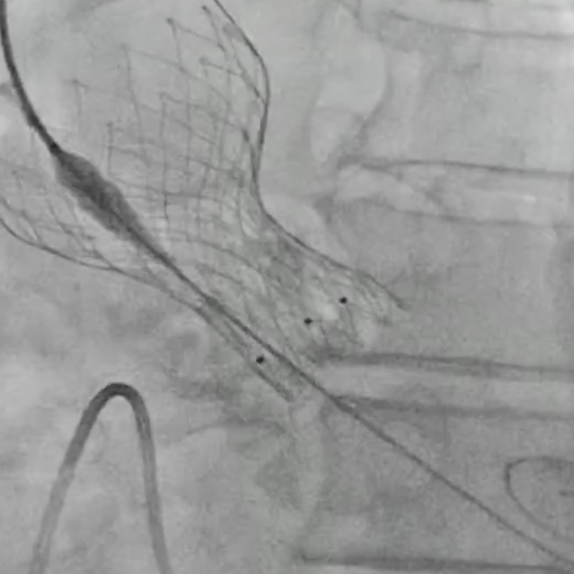
手术中经右股动脉入路,拟植入VenusA-L 29mm瓣膜。因弓部角度锐利,导丝跨弓两次尝试后成功,造影未见主动脉夹层。最终在超声引导下回收重置,瓣膜同轴性理想,展开良好,反流完全消失,手术顺利完成。


瓣膜过弓
瓣膜释放

超声引导确认植入深度

回收后再次释放, 瓣膜植入同轴性良好,展开充分,反流消失, 手术顺利完成
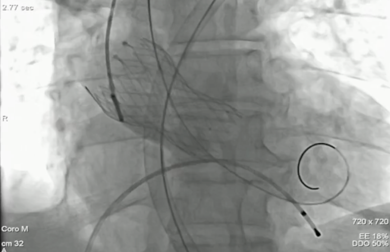
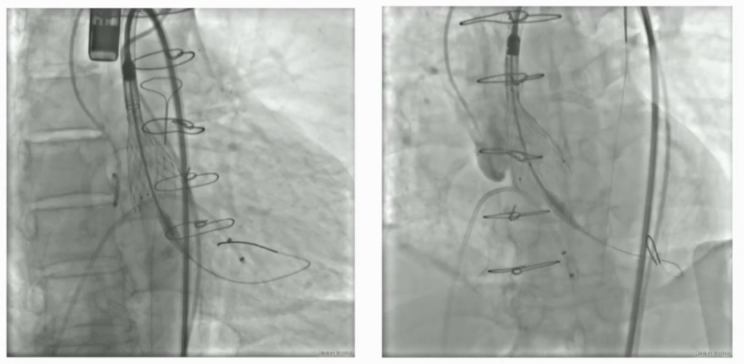
手术直播2:极重度钙化Type 1二叶瓣
本例患者78岁男性,重度AS并合并多瓣膜钙化,PGmax达112mmHg。CT评估提示Type-1二叶瓣,左右融合伴极重度钙化,延伸至升主动脉;瓣环与流出道均有钙化沉积,手术风险高。




经全面评估,最终拟经股入路,采用20/22 mm球囊预扩张后,植入VenusA-L 29mm瓣膜,备用32 mm瓣膜。术后造影与超声评估均显示瓣膜展开理想,无明显反流,手术成功。


小球囊预扩张
20mm球囊预扩张


双平面造影确认植入位置
释放完成

球囊后扩后,超声确认植入位置合适,形态满意,造影未见反流
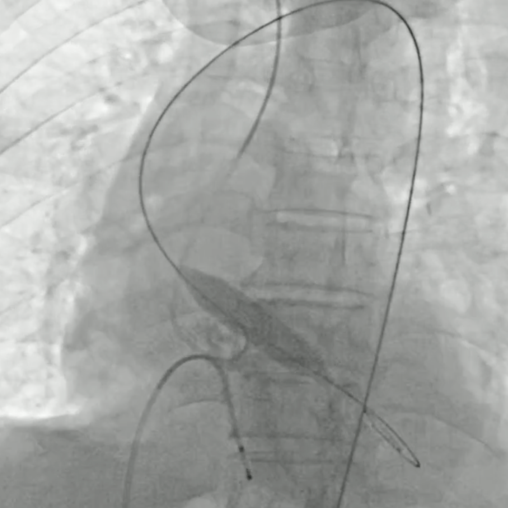
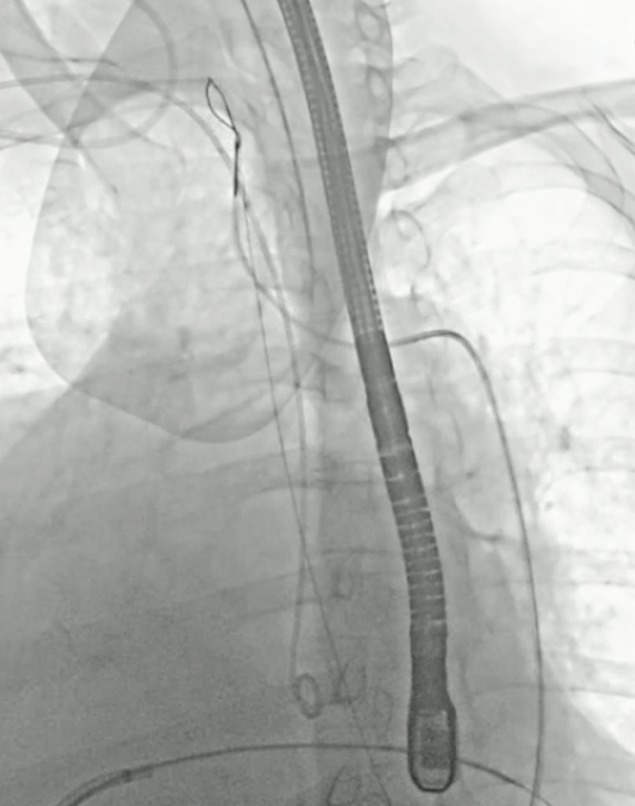
手术直播3:超大左房合并二尖瓣狭窄
本例患者存在严重心衰症状。心脏超声提示其左心房内径显著增大至176mm,属“超大左房”,并伴有重度二尖瓣狭窄,病情极为复杂危重。巨大的左房不仅显著增加了经房间隔穿刺及导管操作的技术难度与风险,也对术者建立稳定轨道、精准输送瓣膜的能力提出了极限挑战。


建立股静脉-房间隔-左房-左室-主动脉轨道
行二尖瓣球囊扩张


成功植入TAVR瓣膜
病例分享·凝练实战
见微知著萃真知
▼▼▼
吴丽映教授:TF-TAVR AR——单纯反流极限位一次性释放

吴丽映教授通过一例单纯AR患者的TAVR治疗,强调反流病例的特殊挑战:瓣环无钙化导致锚定困难,术后易出现瓣膜移位或反流。她总结了大瓣环、升主动脉扩张及锚定平面缺失等难点,并提出解决思路。



陈刚教授:小心室TAVR病例1例

陈刚教授分享了一例小心室功能型二叶瓣病例,重点提示外周血管斑块、迂曲入路与小心腔对手术的风险。他结合术中应对策略,提出“轻柔操作+充分补液”是关键。


模拟工坊·实践精进
手眼协同砺精技
▼▼▼




3D模拟器操作演练环节中,参会学员在专家指导下,围绕TAVR手术的关键步骤进行了全流程实操体验。从入路选择、球囊预扩到瓣膜释放,学员们通过瓣膜系统模拟器直观感受复杂解剖下的操作细节,进一步加深了对术中关键环节的理解。现场互动氛围热烈,专家团队针对学员操作中的问题逐一点评并传授经验,显著提升了学员的操作熟练度与临床思维能力。

本次交流班通过手术直播、专题授课、病例分享和模拟工坊等多维度环节,为参会学员提供了从理论到实践的全面提升平台。专家们的前沿观点与实战经验,为TAVR与TPVR的规范化发展注入了新思路。我们坚信,随着技术创新的持续突破与学科融合不断深化,介入瓣膜治疗将在更多复杂病例中展现更大潜力,最终惠及更广泛患者。