
8月25日至28日,强生医疗科技GREAT PFA脉动前沿全国首播圆满落幕。在房颤消融领域的革新浪潮中,多位心电生理专家云端相聚,围绕“高效”、“绿色”、“贴靠”三大核心议题,连续四天精彩呈现了20台VARIPULSE脉冲消融手术。通过实时手术演示与临床经验分享,专家们深入探讨了VARIPULSE在实现高效消融、践行绿色电生理理念及确保精准贴靠方面的技术优势与临床价值,为行业搭建了一个高水平的交流与学习平台。
作为直播周开场致辞的上海市第一人民医院的刘少稳教授表示:非常高兴在导管消融进入临床25年之际,脉冲场消融又给房颤导管消融增加了新的技术和推动力。强生公司凭借三维标测系统和压力导管作为最核心技术,对推动行业进步做出了巨大贡献,脉冲场消融时代,强生推出来的产品也非常有特色,具备三维、半量化压力检测,对临床非常有帮助。尤其是近一两年的数据提示,压力监测对提高脉冲场效应的有效性是非常重要的。脉冲场作为一种能量形式,若想在房颤治疗领域取得长足进步,需像射频消融技术一样,具备三维标测、压力监测及效果量化功能,才能实现“指哪打哪”的精准消融,进而帮助术者评估消融效果的有效性。希望在未来,一个好的技术就是让医生都掌握它,了解它的长处和不足,然后共同成长,为患者带来更多获益。

同为直播周开场致辞的中国医学科学院阜外医院姚焰教授表示:在近30年临床医学中,心律失常领域是最重大的突破学科,开创了通过微创技术基本治愈或接近治愈大部分心律失常疾病的局面。强生公司的技术和理念也在这一时期占据绝对主导地位,既造福了广大患者,也成就了众多医生。当前进入房颤治疗新时代,日本75%的导管消融手术已针对房颤患者,我国未来也将走向这一趋势。在技术层面,我们正经历从射频消融向脉冲消融的转变。根据阜外医院的日常使用经验,强生在脉冲消融产品的最大优势在于平稳过渡:沿用现有建模技术、三维标测、导航系统,仅需更换消融环状大头(即VARIPULSE导管)并增加相关线圈即可。产品学习曲线平缓,适应期短,实际效果良好。希望通过本次会议分享经验,助力各位同道更好使用该产品,共同取得优异临床成果。

“真三维 脉极智”:VARIPULSE重新定义脉冲消融

VARIPULSE作为首款搭载Carto三维平台的脉冲消融产品,自上市以来,凭借其“高效”、“绿色”与“贴靠”三大核心价值,赢得了国内专家的广泛认可。上市百日内,已成功服务近七百位中国患者,实现近100%的即刻手术成功率,平均消融时间仅35分钟,且超过20%的手术在零射线条件下完成。凭借这一卓越的临床表现,VARIPULSE不仅为医疗工作者提供了更先进、更全面的治疗方案,也为广大患者带来了恢复窦性心律的新希望。
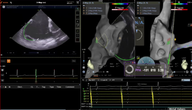
“高效率,更安心”:VARIPULSE高效绿色手术展示

在本次电生理手术直播周期间,20位资深术者通过实时手术演示,全方位展现了 VARIPULSE脉冲消融系统在房颤治疗中的高效与绿色优势,将其临床性能推向极致。手术数据亮眼——全场直播的平均消融时间仅28分钟,充分印证了该系统的高效性;学术交流同样热烈,超50位领域专家齐聚线上,围绕‘麻醉方案优化’‘、“术式创新选择”、”并发症预防策略”等脉冲电场消融领域的核心热点话题,展开深度研讨与观点碰撞。
此次直播呈现的不仅是精准娴熟的手术操作技巧,更沉淀了宝贵的临床实践经验。它不仅为全国电生理术者搭建了一个高质量、高互动性的学习交流平台,更以实践为基石,为房颤脉冲消融领域的技术迭代注入动力,将持续推动行业整体手术技能与学术知识水平的系统性提升。
上下滑动查看更多照片
“话基础,论原理”:理论知识和临床应用的完美结合

在直播手术之外,8位国内顶尖专家围绕PFA消融带来了多场学术讲座。内容涵盖脉冲消融的基本原理、高效绿色的工作流程,引导大家回归PFA技术本质,从原理层面理性分析脉冲消融技术的优势与局限,进而更好地指导其在临床实践中的规范应用。








上下滑动查看更多照片
李嘉教授
温州医科大学附属第二医院
无论是0射线还是低射线下,PFA总体安全性非常高了,阵发性房颤血管痉挛几乎没有发生,溶血只要控制次数概率非常低。PFA时代主要并发症与房穿相关,通过ICE(心腔内超声)+T3D技术实现精准房间隔穿刺,可保证手术安全;PFA治疗安全性较高,损伤主要与贴靠情况相关,我们需要保证足够的贴靠度和压力值,才能有足够的损伤,可调弯鞘管对导管到位帮助很大,让尽可能多的电极产生很好的贴靠再放电,可避免无效放电。
王群山教授
上海交通大学医学院附属新华医院
很多时候我们都采用零射线,ICE指导下建的模型,和三维CT相媲美,且可以标记肺静脉口部,指导PFA消融过程。PFA使得消融效率大幅提升,但手术过程中充分抗凝很重要!术中有时会出现ACT(活化凝血时间)不达标,或手术结束时 ACT仍未达到350s的情况;目前肝素给药剂量为100IU/kg,有国外专家建议可以200IU/kg加肝素,尽快使ACT达标。术后ACT还高的话,可用鱼精蛋白对冲。
张凤祥教授
江苏省人民医院
在PFA房颤手术中,三维很重要,可以帮助判断贴靠怎么样,寻找哪里有gap,同时现在是绿色电生理时代,只有三维才能做到绿色。PFA房颤手术中穿刺需要偏前偏低,结合ICE的穿刺能够使可调弯鞘管配合PFA导管在右下肺贴靠更好。术中肝素补足很重要,ACT300以上能大大减少无症状脑损伤等并发症。
匡晓晖教授
云南省第一人民医院
穿刺在ICE的指导下,即使是左房内镜小,也能够清楚的看到房间隔的位点选择,为后面鞘管的操作提供好的条件。同时在超声引导下,可以通过可调弯鞘的打弯来可以更好完成右下静脉的贴并完成消融。
丁立刚教授
中国医学科学院阜外医院
目前已经开始日间手术室,通过局麻的方式完成零射线阵发房颤。日间手术中,病人常规绑束腹带,防止肌颤。大部分患者大部分都能耐受,小部分在肺静脉内部可能会咳嗽,支气管痉挛。在交流中也提到,利用VARIPULSE建模,过程中做TPI可以提升手术效率。强生推荐的workflow不仅能提升整体操作效率,患者术后恢复效果也比较理想。
李腾教授
中国医学科学院阜外医院深圳医院
VARIPULSE在心房较大房颤患者中,无论是在建模还是贴靠上都具有优势,导管偏硬的设计,保证了良好的贴靠,帮助术者在术中更好的判断贴靠情况,同时TPI的加持使得VARIPULSE的隔离效率非常高。
此次GREAT PFA脉冲消融全国首播圆满结束,我们期待与全行业携手并进,共同推进中国电生理诊疗水平不断提升,让更多房颤患者享受到更安全、更有效的治疗,以实际行动助力“健康中国”战略的实现。
本次直播周特别鸣谢如下中心的参与与支持(按中心首字母排序):
北京大学人民医院,重庆医科大学附属第二医院,中国医学科学院阜外医院深圳医院,中国医学科学院阜外医院,中国人民解放军北部战区总医院,中国科学技术大学附属第一医院,郑州大学第一附属医院,云南省阜外心血管病医院,云南省第一人民医院,烟台毓璜顶医院,香港大学深圳医院,武汉亚洲心脏病医院,温州医科大学附属第二医院,潍坊市人民医院,天津胸科医院,泰安市中心医院,苏州市立医院,苏州大学附属第一医院,首都医科大学附属北京安贞医院,上海市胸科医院,上海市第一人民医院,上海交通大学医学院附属新华医院,陕西省人民医院,山西医科大学第一医院,山东大学齐鲁医院,厦门大学附属心血管病医院,攀枝花中心医院,南阳市中心医院,南昌大学第二附属医院,陆军军医大学第二附属医院,六安市第一人民医院,昆明医科大学第一附属医院,昆明市延安医院,江苏省人民医院,江苏大学附属医院,济宁市第一人民医院,湖州市中心医院,邯郸市第一医院,贵州省人民医院,广州医科大学附属第二医院,广州市第一人民医院,广西壮族自治区人民医院,广西医科大学第一附属医院,滨州医学院附属医院,南京鼓楼医院,广东省人民医院























