

2025年9月(总第28期)
主动脉瓣狭窄合并功能性二尖瓣反流是临床常见的老年瓣膜病病理类型。以往研究表明,虽然合并二尖瓣关闭不全的患者TAVR术后较不合并严重二尖瓣关闭不全患者死亡率高,但约半数TAVR术后患者二尖瓣反流程度明显改善。因此,对于不耐受外科手术的AS合并FMR患者TAVR手术是可选的治疗方案。但真实世界中,还有大量TAVR术后MR并未明显改善的患者。此类患者TAVR术后症状改善有限,生活质量差,心功能可能进一步减低。以往对于此类患者缺乏更加完善的诊疗方案,TAVR术后多以药物治疗为主。
经导管瓣膜病治疗技术的快速发展不断为临床提供新的治疗方式选择,并促进治疗理念更新。从TAVR到TEER,再到二尖瓣、三尖瓣的多种修复和置换技术研发,在临床呈现的是一系列新技术新器械组成的Toolbox。随着Toolbox内容的逐渐丰富和成熟,源自外科手术的复合治疗方案,如多瓣膜疾病的综合手术治疗,逐渐可以通过Toolbox中的不同技术组合形式以微创经导管非体外循环手术的方式实现。经导管瓣膜病的Toolbox技术理念为不能耐受体外循环手术的危重症患者治疗提供了重要的技术解决方案。
本期故事会为大家展示一例TAVR术后7年因FMR重度二尖瓣反流高龄高危患者行TEER治疗的诊疗过程,期待大家共同探讨。
患者基本信息
患者男,78岁,体重72Kg,患者7年前因重度AS合并急性心衰,行急诊ECMO辅助下TAVR手术,2年前出现胸闷气短加重,并伴有双下肢水肿,经治疗后好转,1月前症状出现并加重。5年前与2年前突发脑梗,于当地医院行溶栓手术治疗。术前诊断:主动脉瓣置换术后,二尖瓣关闭不全,三尖瓣关闭不全,心衰,心功能IV级(NYHA分级)。
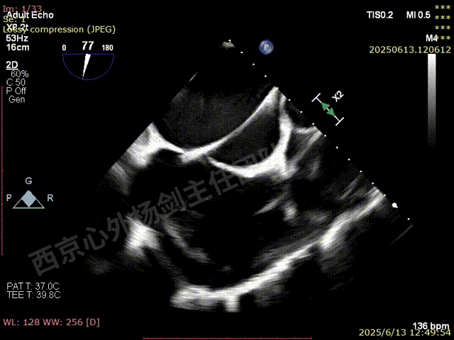
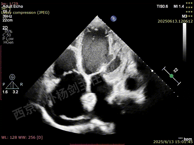
术前超声检查


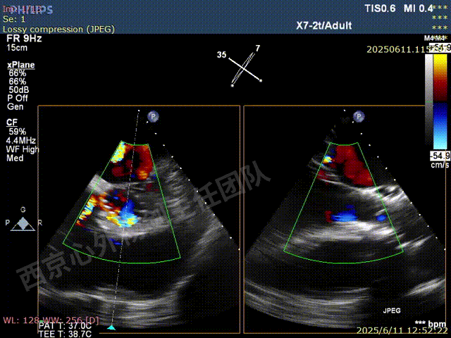
TAVR术后,全心增大,二尖瓣反流重度,三尖瓣反流重度。中量心包积液。左室严重增大,标准图像调整困难。主动脉瓣位带支架人工瓣膜瓣叶启闭正常,主动脉瓣位人工瓣上血流速度Vmax 148cm/s,PGmax 9mmHg,Vmean 86cm/s,PGmean 2mmHg, VTI 34.7cm,瓣周反流(轻)。估测肺动脉收缩压约49mmHg;左室收缩功能明显减低。LVEF:23%,EDV:364ml,ESV:221ml。
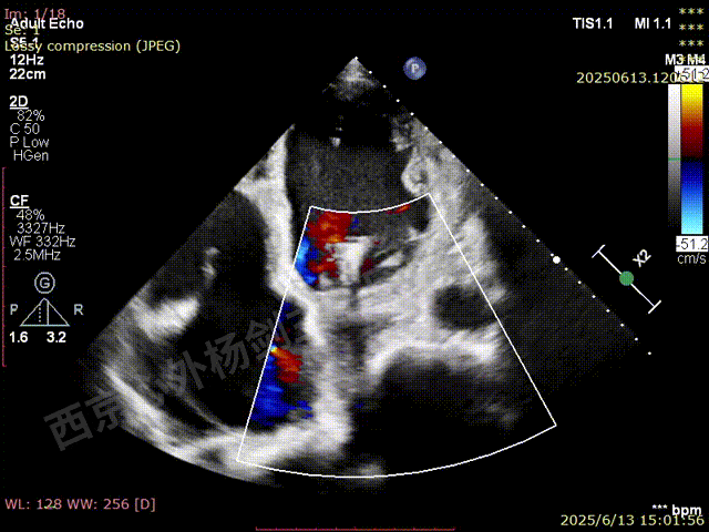
彩色血流示:二尖瓣反流缩流颈彩宽6.6mm,面积17cm²,容积30ml;二尖瓣瓣口面积6.6cm²,瓣环内径:左右径34mm,前后径34mm。2区瓣叶长度:前叶36mm,后叶20mm,叶环比1.6. 三尖反流面积17.2cm²,容积33ml,Vmax 291cm/s,PGmax 34mmHg。
TEER术前超声评估


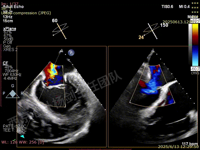
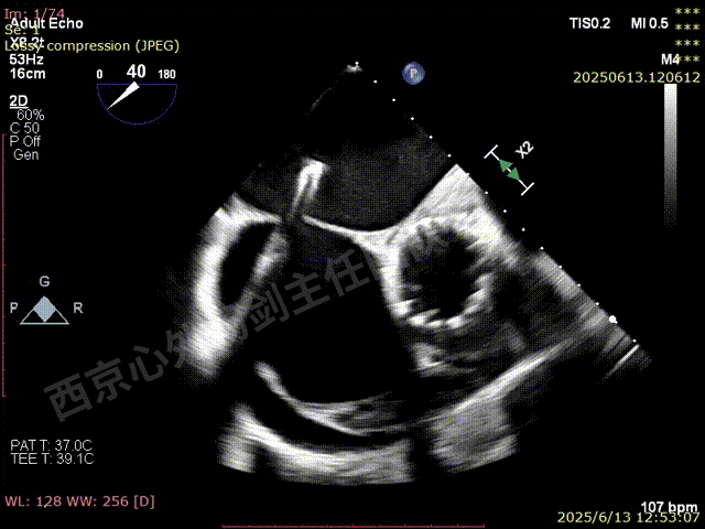
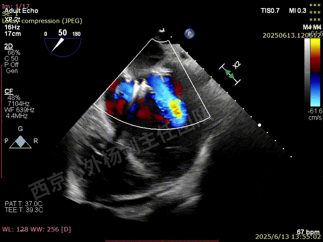
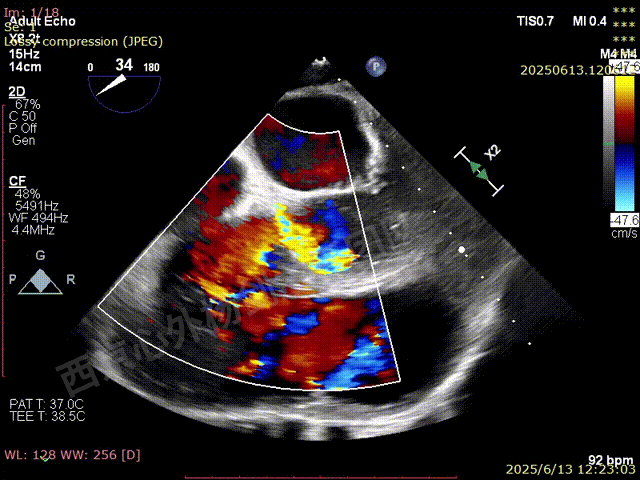
二尖瓣后叶栓系严重,前叶相对错位,反流束沿2区分布广泛,2偏3区处存在反流。

反流宽度至少23mm,因影像调整困难,考虑实际反流更宽。
术前3D数字模型

TEER手术难点
1、心脏过大,术中影像标准切面难以获取,TEE引导难度较大。
2、后叶大片栓系,栓系严重至8点钟,反流宽度较宽,α角度大,捕捞困难。
TEER手术策略
1、第一枚Mitraclip G4 XTW置于2区中央,改善对合,解决反流。
2、根据残余反流情况,优化第一枚夹子或side by side一枚XT或XTW。
3、双夹以上策略可能性大。
4、瓣叶栓系严重需要人为制造hug,穿刺位点可考虑不必太后。
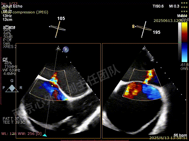
TEER术中操作


房间隔穿刺,最终高度4.5cm


超声引导下,扩张器螺纹组织及等号标记依次通过房间隔


第一枚XTW在2区弹道测试调整


第一枚XTW打开确认orientation,穿刺位置良好无需调整hug


XTW进入瓣下,以较小的角度先捕捞后叶


反复尝试,瓣叶卷曲,前后瓣叶不明确



捕捞完成后确认orientation,gripper down




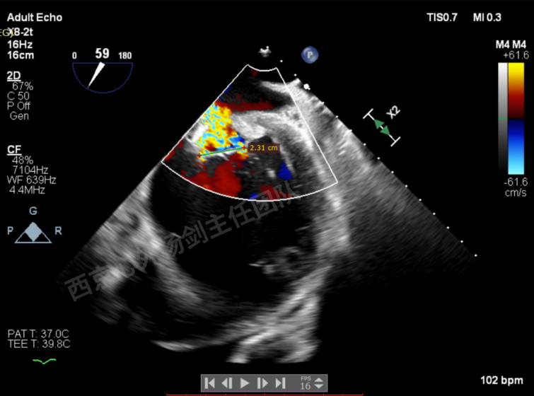
夹子关闭后检查夹子两侧反流


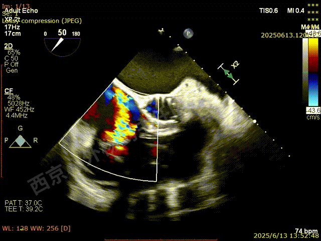
第一枚XTW释放后评估,外侧反流基本消失,内侧仍然有中度以上反流


第二枚XT于第一枚夹子内侧瓣上调整


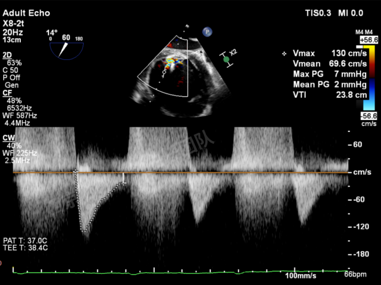
第二枚XT关闭后评估,trace

二尖瓣平均跨瓣压差1mmHg




释放后评估,反流降至1+,组织桥稳定


SGC撤回右房后,观察到有右向左的反流,血氧饱和度下降


行房间隔封堵


M-TEER术后三尖瓣反流减轻
小结
1.Toolbox技术是不能耐受外科手术危重瓣膜病患者可选的治疗方案,随着Toolbox的丰富成熟,合并多种瓣膜病的高危患者可以同期或分期行微创经导管治疗获益。
2.针对VFMR病例,栓系瓣叶与AP径成角越大,越需要考虑MR实际恶化程度及捕捞瓣叶难度。
3.针对术前肺动脉压力偏高患者,TEER术后应关注医源性房间隔缺损可能导致的右向左分流及低氧血症,必要时行房间隔封堵。
4.合并三尖瓣关闭不全患者,M-TEER 后三尖瓣反流可能会出现改善。
参考文献:
⇅ 向上滑动阅览
[1] Angellotti, D, Praz, F, Windecker, S. Tricuspid and mitral regurgitation after mitral transcatheter edge-to-edge repair: a complex interplay. EUR HEART J. 2025; 46 (15): 1428-1430.
[2] Rim, Y, McPherson, DD, Kim, H. Mitral valve function following ischemic cardiomyopathy: a biomechanical perspective. BIO-MED MATER ENG. 2014; 24 (1): 7-13.
[3] Nakai, H, Kaku, K, Takeuchi, M, et al. Different influences of left ventricular remodeling on anterior and posterior mitral leaflet tethering. CIRC J. 2012; 76 (10): 2481-7.
[4] Stone, GW, Abraham, WT, Lindenfeld, J, et al. Five-Year Follow-up after Transcatheter Repair of Secondary Mitral Regurgitation. NEW ENGL J MED. 2023; 388 (22): 2037-2048.
[5] Al-Kassou, B, Kapplinghaus, J, Meckelburg, C, et al. Prevalence of multiple native valvular heart disease in TAVR patients: a multicenter study assessing the impact of staged transcatheter edge-to-edge repair Eur Heart J. 2024; 45 (Supple1).
[6] Elkaryoni, A, Saad, M, Darki, A, et al. Mitral Valve Transcatheter Edge-to-Edge Repair After TAVR: A Nationwide Analysis. AM J CARDIOL. 2023; 209:184-189.
[7] Nagasaka, T, Shechter, A, Patel, V, et al. Two-Year Clinical Outcomes of Staged Transcatheter Mitral Edge-to-Edge Repair After Transcatheter Aortic Valve Replacement. AM J CARDIOL. 2024; 224:46-54.
