

2025年的文坛,被一部名为《逆风飞翔》的现实题材小说点燃。书中刻画的一代工业人,身陷困境却硬是把“走不通的死路”,一步一步踩成了向前的通途。这份“明知难行仍笃行”的韧劲,让无数“眼含热泪却依然奔赴梦想”的人深深共情。而在我国心血管领域,同样有着一群“逆风飞翔”的逆行者。他们的战场不在轰鸣的车间,而在直径仅3毫米的血管迷宫,以“逆向而行”的勇气,在血管的“绝境”中开辟生命通道。
2025年9月5日至6日,由广东省医师协会心脏重症医师分会主办、广东省人民医院承办的“第九届逆向介入治疗CTO研讨会”在广州如期召开。为期两天的会议以鲜活新颖的会议形式和实用性与前沿性兼顾的会议内容,为逆向CTO这场持续十余年的技术攻坚注入全新活力。

会议一如既往地得到了众多国内外CTO领域著名专家的支持。会议伊始,在大会主席张斌教授的主持下,复旦大学附属中山医院葛均波院士、新加坡国家心脏中心Lim Soo Teik教授致欢迎辞。两位嘉宾不仅深情阐释了逆向CTO技术为患者“打通心通路”的重要价值,同时对会议多年来的坚守与成果给予高度认可——会议不仅见证和推动着我国逆向技术从少数专家的探索实践,逐步成长为临床常规应用的成熟体系;更搭建起跨越国界的学术桥梁,让前沿理念与实战经验在交流中不断碰撞升华;同时厚植人才沃土,让青年术者在实战平台中快速成长,让技术传承有了坚实载体。同时,也对张斌教授为代表的逆向CTO技术推行术者扎根临床,勇破技术难关,引领我国逆向CTO技术创新发展给予高度赞扬。



『内容+形式』
向新求索 绘就逆向CTO技术创新图景
▼▼▼
本次会议在内容与形式上双向创新破局:内容上,呈现逆向CTO领域多元创新技术与实用方法,其中,备受期待的中国术者原创全新手术理念、适合CTO患者解剖特征的并发症预防新方法等,均一一呈现;研讨形式敢为人先,首创多元互动范式,为与会者带来全新研讨体验,让技术交流与成长更具活力:
国际化联动:全球逆向CTO经验的国际化交流与碰撞
会议汇聚了来自欧美、亚太、日本等地区的国际CTO介入治疗领域知名专家,展示了全球在慢性完全闭塞病变(CTO)介入治疗方面的最新进展与前沿技术。
其中,来自英国伯明翰哈特兰兹医院的Sandeep Basavarajaiah教授结合自身丰富的临床实践经验,系统分析了当前欧洲逆向技术的研究现状与发展趋势,深入探讨逆向策略在实际操作中的优势与挑战,为CTO逆向介入治疗提供了全新视角。
来自新加坡国家心脏中心的Lim Soo Teik教授则紧扣亚太CTO俱乐部最新专家共识,详尽介绍了3D导丝操作技术的关键细节、典型适应证与操作要点。他通过多个高难度病例视频,演示如何通过立体空间判断导丝走行,精准导航,显著提升手术成功率,为现场参会者带来了极具实用价值的指导。
上下滑动查看更多照片
全、新视点:全维度技术覆盖,中国原研创新技术再显锋芒
本次会议学术内容从技术流程、复杂病变、器械应用、并发症管理等维度,全面覆盖逆向CTO介入的临床痛点,同时凸显技术进展最新视点。
在流程与策略优化方面,张斌教授结合RPR技术,进一步提出贴合中国临床实际的CTO介入新路径。该方案通过优化侧支血管选择标准和病变通过策略,显著提升了手术效率和安全性,充分体现了CTO介入治疗的ESC(Efficiency、Safety、Classy,高效,安全,优质)理念。

张斌教授分享个人PCI新流程
仲昕教授、官学强教授分别针对“0级室间隔侧支循环通过”、“靶血管着陆区不良”等临床难点,拆解术前评估、器械选择与操作技巧。
大会本次聚焦CTO介入治疗安全性。葛雷教授、李宇教授、黄泽涵教授、潘亮教授等从并发症识别、逆向手术启动和终止时机、并发症的处理和预防等方面倾心传授实战心得,还剖析了CTO和非CTO闭塞病变并发症流行病学数据、处理和预后的异同,分享“平衡疗效与安全”的临床思维。
尤其值得关注的是,张斌教授针对逆向CTO术中最棘手的侧支血管损伤、器械嵌顿等并发症首次亮出数种全新处理思路与实操方法,为与会者构建了并发症管理的全新视野和思路。
上下滑动查看更多照片
手术演示:实战中彰显技术创新与临床实践融合的深厚积累
作为会议“硬核”内容,本次会议手术演示打破提前定好病例的传统模式,改用病例随机分配的模式,更真实地呈现了术者面对突发挑战时的决策与应对。大会还创新引入“Provoking讨论机制”,手术直播过程中,众多资深专家化身“实时观察员”,针对手术操作中的潜在风险“现场挑刺”,即时指出问题并剖析隐患,让手术直播研讨从“事后复盘纠错”实现“术中实时避险”的进阶。多样的临床案例与操作场景加上实时连线与多维度研讨,让与会者沉浸式感受逆向CTO介入的实操细节与策略碰撞。
陆浩教授、李成祥教授、Shunsuke Matsuno教授、赵林教授、张斌教授、葛雷教授、荆全民教授、窦克非教授、Ryuzo Hayashi教授、李春坚教授、马墩亮教授、Charles Chan教授等专家先后带来的精彩演示中,从侧支循环的巧妙选择,到反向CART等技术的灵活运用,再到延伸导管、新型球囊等器械的精准配合,每一台手术都是“实战能力”的直观检验与示范。
上下滑动查看更多照片
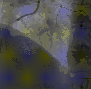
其中,张斌教授演示的一例CTO手术尤为亮眼。患者为63岁男性,造影提示LAD-PCI 术后,侧支循环迂曲(1),RCA近段慢性完全闭塞(CTO)病变,开口不清、严重钙化、血管迂曲,闭塞段长(2、3);正向识别后快速转为逆向策略。

1-LAD 造影及侧支循环

2-RCA 近段

3-RCA 远段

4-侧支循环超选造影


5-通过侧支循环近段
6-通过侧支中远段最艰难部位

7-最后结果
手术过程中张斌教授对高难度病变的拆解思路、操作精度,以及对迂曲侧支技术细节的把控,为与会者提供了处理同类复杂病例极具价值的参照,也彰显了当前逆向CTO技术在复杂病变处理上的高阶水准,更映照出中国术者在技术优化与临床落地中的引领性探索,引起大会现场热烈讨论。
实战筑基+大咖引路:多维赋能托起青年术者成长之路
技术的长青,源于薪火不息的传承。历届大会始终把青年医师培养放在重要位置,本次首日专门开设“逆向技术基础培训班”,面向地级市医院医生与青年医师,将逆向PCI关键步骤、器械选择逻辑、并发症预防要点,变成“手把手”带教的温暖课堂。这份精准浇灌,既补上基层医师与年轻医师的知识短板,更让逆向CTO技术的根脉,在青年力量与基层土壤里深深扎根,为行业续上生生不息的人才火种。


逆难笃行,在坚守与探索中勇攀高峰
▼▼▼
为期两天的逆向CTO盛会落下帷幕,而正如张斌教授所言:“逆向CTO治疗是一场‘以热爱为底色,以责任为指引’的长期战役。”这场跨越9年的学术之约,早已不止是逆向介入技术最新突破的展示窗口,更是引领我国逆向CTO技术迭代的前沿阵地——它以持续创新的魄力,托举着一代CTO术者“以患者为中心”的坚守与突破:既是串联国际前沿思路、推动原创技术落地的交流桥梁,更是孵化逆向新策略、打破临床瓶颈的创新纽带,让“以技术拓通心脉”的探索精神,在每一位术者心中愈发坚定。
当会议落幕,参会者带走的不只是领先的手术策略与前沿学术成果,更有“守正创新、勇攀高峰”的精神力量。相信未来,逆向CTO会议必将继续以“技术领先、持续创新”的“难中求进”姿态,引领更多医者深耕逆向技术的未知领域,让领先创新的技术光芒,最终化作守护患者心脏健康的温暖力量,为更多复杂CTO患者开辟生命的希望通道。



















